Tailor-made Antibodies
and Tools for Life Science
Home | | | | | Technical Support

Annexin A2 antibody - 540 004

Annexin A2 is a calcium-dependent phospholipid-binding protein highly expressed in brain endothelial cells
Guinea pig polyclonal antiserum
Cat. No.: 540 004
Amount: 100 µl
Price: $370.00
Cat. No. 540 004 100 µl antiserum, lyophilized. For reconstitution add 100 µl H2O, then aliquot and store at -20°C until use.
Antibodies should be stored at +4°C when still lyophilized. Do not freeze!
Applications
 
WB: not tested yet
IP: not tested yet
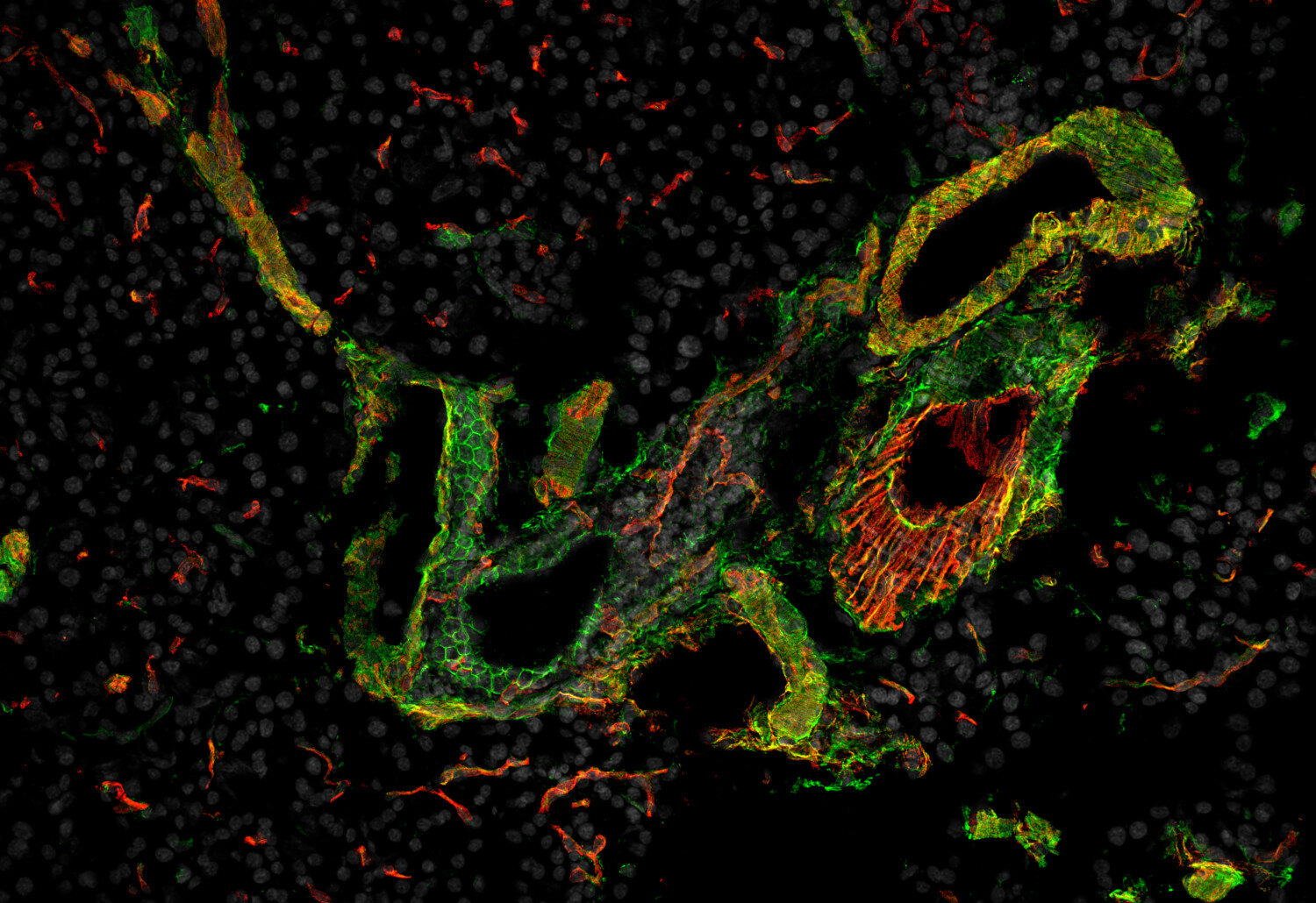
ICC: 1 : 500 up to 1 : 1000 (see remarks) gallery  
IHC: not tested yet
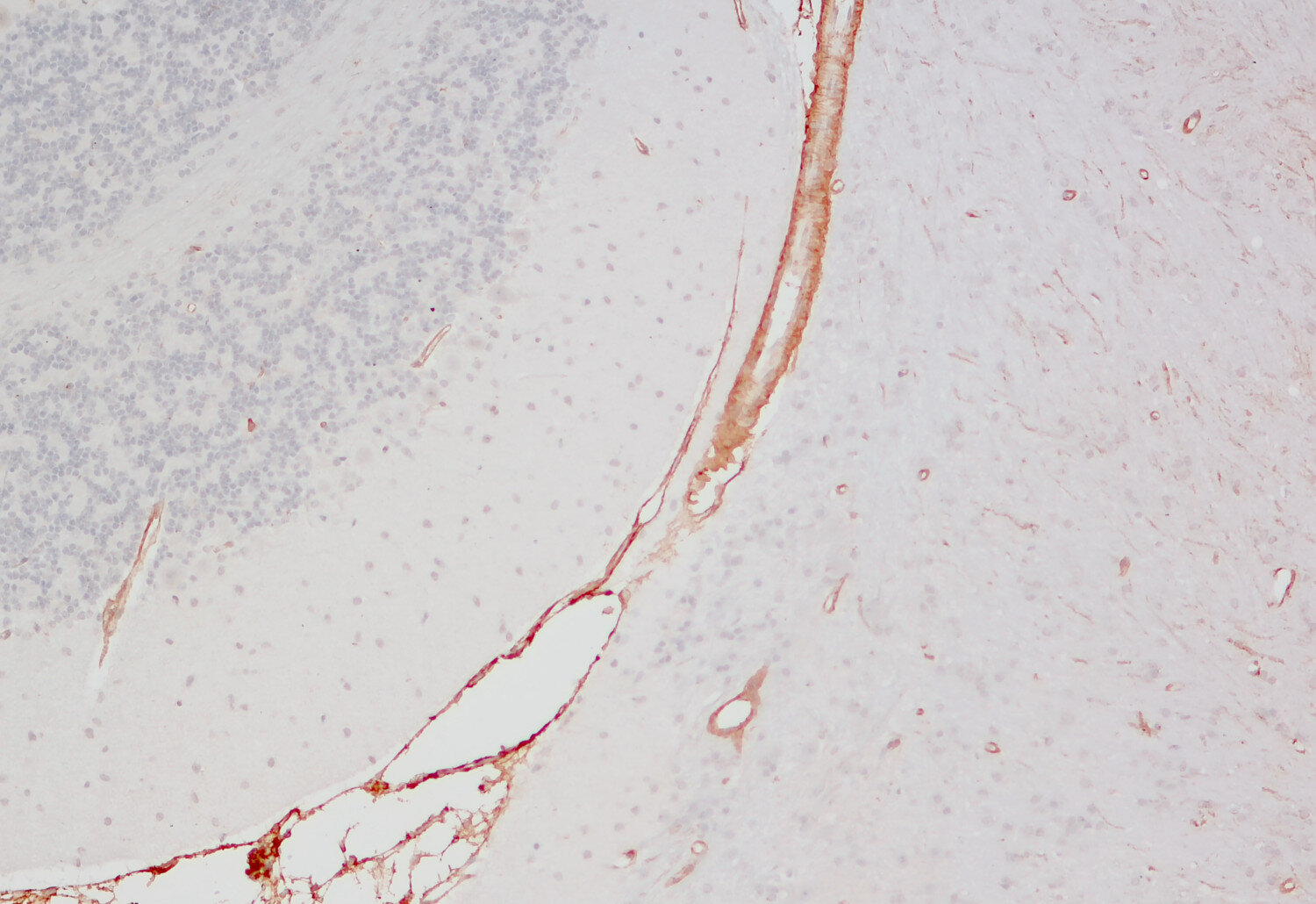
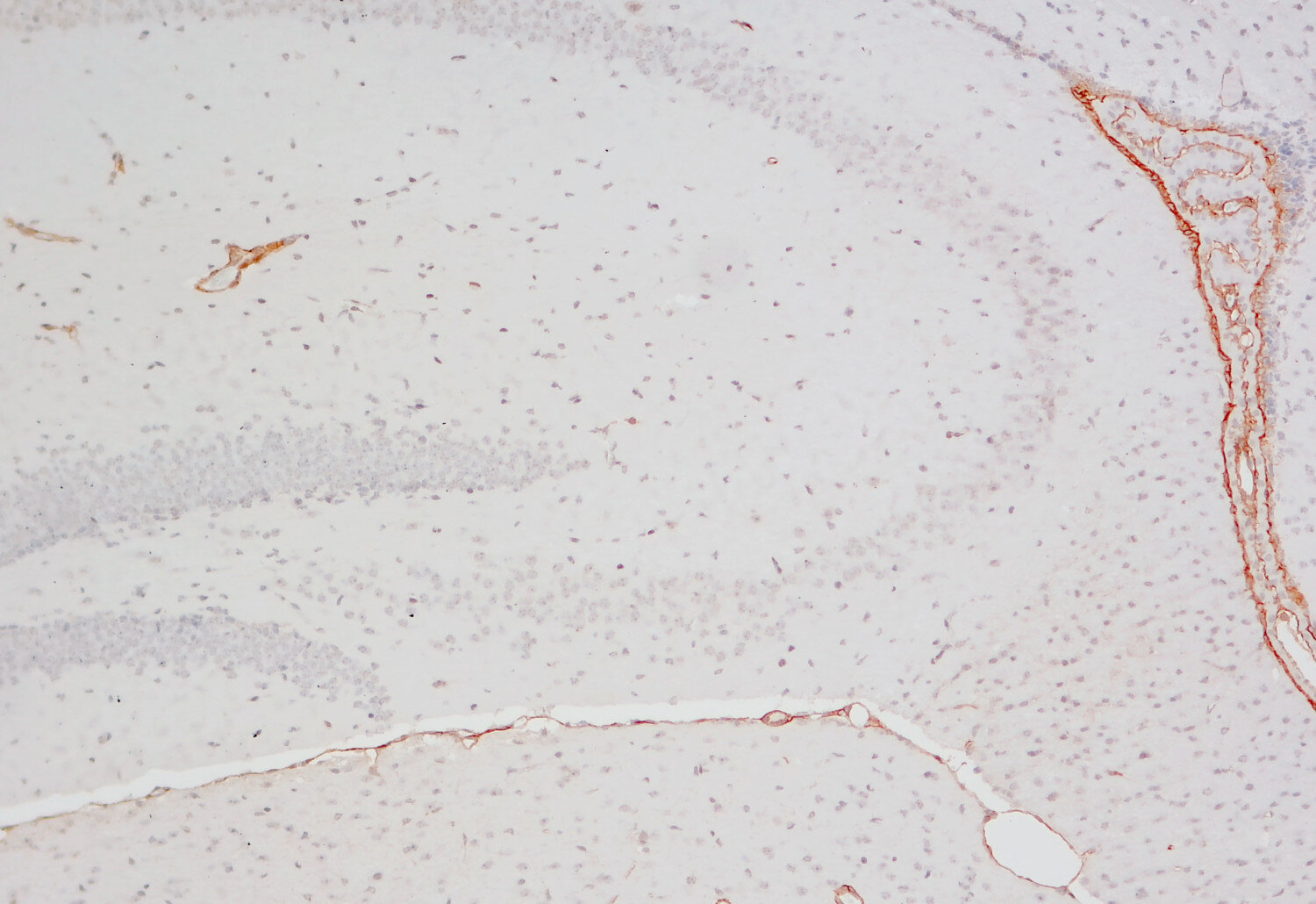
IHC-P: 1 : 500 up to 1 : 1000 (see remarks) gallery  
IHC-Fr: 1 : 500 up to 1 : 1000 (see remarks) gallery  

Western blot (WB); separation of proteins by PAGE and subsequent transfer to a membrane. Detection of target molecules is carried out with antibodies. Some antibodies require special sample preparation steps. For details, please refer to the “Remarks” section.

Immunoprecipitation (IP); Immunoisolation or pulldown of a target molecule using an antibody. For details and product specific hints, please refer to the ”Remarks” section.

Immunocytochemistry (ICC) on 4% PFA fixed cells. Immunoreactivity is usually revealed by fluorescence. Some antibodies require special fixation methods. For details, please refer to the “Remarks” section.

Immunohistochemistry (IHC) on 4% PFA perfusion fixed tissue with 24h PFA post fixation. Immunoreactivity is usually revealed by fluorescence or a chromogenic substrate. Some antibodies require special fixation methods or antigen retrieval steps. For details, please refer to the ”Remarks” section.

Immunohistochemistry (IHC-P) of formalin fixed, paraffin embedded (FFPE) tissue (some antibodies require special antigen retrieval steps, please refer to the ”Remarks” section). Immunoreactivity is usually revealed by fluorescence or a chromogenic substrate.

Immunohistochemistry on fresh frozen (IHC-Fr) cryo-tissue-sections. In contrast to standard PFA perfusion fixed tissues, fresh frozen cryo-tissue-sections can be variably postfixed with alcohols, acetone or PFA. Alcohol or acetone fixation is e.g. of advantage for antigens masked by PFA crosslinking. For recommended postfixation, please refer to the ”Remarks” section. Immunoreactivity is usually revealed by fluorescence or a chromogenic substrate.

Immunogen Synthetic peptides corresponding to residues surrounding AA 20 and AA 180 of mouse Annexin A2 (UniProt Id: P07356)
Remarks

ICC: Methanol fixation is recommended.
IHC-P: Antigen retrieval with Tris-EDTA buffer pH 9 is recommended for chromogenic detection.
IHC-Fr: Methanol fixation is recommended.

Data sheet Datasheet 540_004
Cat. No.: 540 004
Amount: 100 µl
Price: $370.00

Annexin A2-positive staining (green) in a mouse brain section

Background

Annexin A2 (ANXA2) is a calcium-dependent phospholipid-binding protein of the annexin family that is widely expressed in eukaryotic cells. It is localized at the plasma membrane as well as in the cytoplasm and participates in several cellular processes, including endocytosis, exocytosis, signal transduction, actin cytoskeleton remodeling, and membrane organization (1,2). ANXA2 commonly forms a heterotetrameric complex with S100A10, which regulates its calcium sensitivity and functional activity (3). The protein is highly expressed in endothelial cells and contributes to membrane stability, endothelial junction maintenance, and vascular integrity. ANXA2 also acts as a co-receptor for plasminogen and tissue plasminogen activator (tPA), promoting plasmin generation and extracellular matrix degradation, thereby facilitating angiogenesis and cell migration (4). Increased ANXA2 expression has been reported in multiple cancers and inflammatory diseases and is associated with tumor progression, neovascularization, and immune activation (5). Due to its endothelial membrane localization and immunological relevance, ANXA2 has been identified as a potential endothelial autoantigen in diseases such as Behçet’s disease (6).

Certificates

ISO 9001 2015 Quality Management System and Green Lab Platinum certification level for sustaining laboratory processes.

Newsletter

Sign up for our newsletter and get the latest updates and news.
 

Please provide a valid E-Mail-Address
Please provide a valid First name
Please provide a valid Last name