Tailor-made Antibodies
and Tools for Life Science
Home | | | | | Technical Support

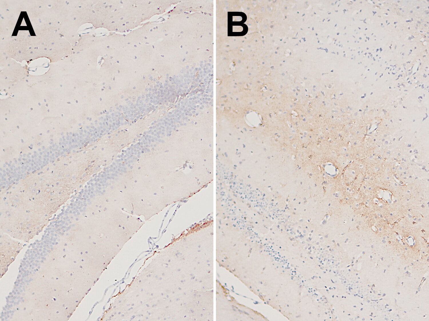
MLC1 antibody - 525 005 K.O.

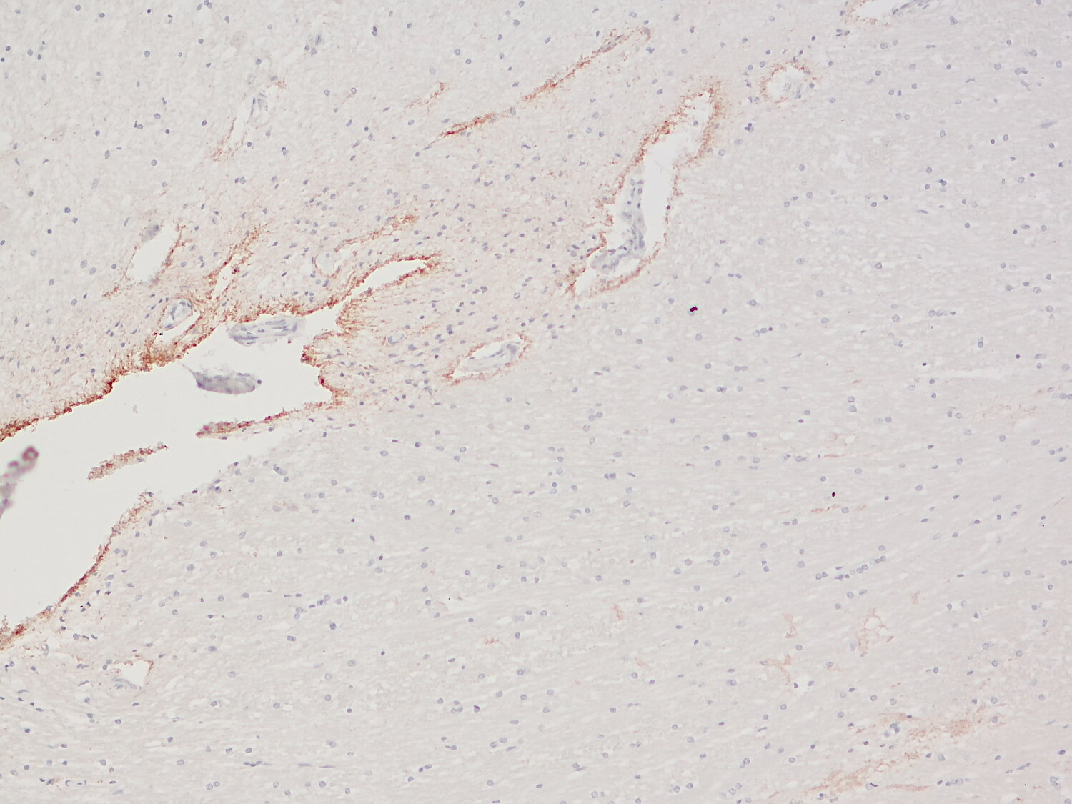
Megalencephalic leukoencephalopathy with subcortical cysts protein-1 (MLC1) is a membrane protein expressed by perivascular astrocytes
Guinea pig polyclonal purified antibody
Cat. No.: 525 005
Amount: 50 µg
Price: $465.00
Cat. No. 525 005 50 µg specific antibody, lyophilized. Affinity purified with the immunogen. For reconstitution add 50 µl H2O to get a 1mg/ml solution in PBS. Then aliquot and store at -20°C to -80°C until use.
Antibodies should be stored at +4°C when still lyophilized. Do not freeze!
Applications
 
WB: 1 : 1000 up to 1 : 2000 (AP staining) gallery  
IP: not tested yet
ICC: 1 : 500 up to 1 : 1000 gallery  
IHC: 1 : 1000 up to 1 : 2000 (see remarks) gallery  
IHC-P (FFPE): 1 : 1000 up to 1 : 2000 gallery  

Western blot (WB); separation of proteins by PAGE and subsequent transfer to a membrane. Detection of target molecules is carried out with antibodies. Some antibodies require special sample preparation steps. For details, please refer to the “Remarks” section.

Immunoprecipitation (IP); Immunoisolation or pulldown of a target molecule using an antibody. For details and product specific hints, please refer to the ”Remarks” section.

Immunocytochemistry (ICC) on 4% PFA fixed cells. Immunoreactivity is usually revealed by fluorescence. Some antibodies require special fixation methods. For details, please refer to the “Remarks” section.

Immunohistochemistry (IHC) on 4% PFA perfusion fixed tissue with 24h PFA post fixation. Immunoreactivity is usually revealed by fluorescence or a chromogenic substrate. Some antibodies require special fixation methods or antigen retrieval steps. For details, please refer to the ”Remarks” section.

Immunohistochemistry (IHC-P) of formalin fixed, paraffin embedded (FFPE) tissue (some antibodies require special antigen retrieval steps, please refer to the ”Remarks” section). Immunoreactivity is usually revealed by fluorescence or a chromogenic substrate.

Immunogen Synthetic peptide corresponding to residues near the amino terminus of mouse MLC1 (UniProt Id: Q8VHK5)
Reactivity Reacts with: mouse (Q8VHK5 ), rat (D4ABB2).
Other species not tested yet.
Specificity K.O. validated
Remarks

IHC: Antigen retrieval with citrate buffer pH 6 is required.

Data sheet Datasheet 525_005
Cat. No.: 525 005
Amount: 50 µg
Price: $465.00
Background

MLC1 is a membrane protein highly expressed in the distal processes of astrocytes, particularly in perivascular, subpial, and subependymal regions. Recessive mutations in MLC1 genes cause Megalencephalic leukoencephalopathy with subcortical cysts (MLC). Additionally, MLC1 upregulation has been observed in brain tissues affected by multiple sclerosis, Alzheimer’s disease, and Creutzfeldt-Jakob disease.
Although its precise function remains unclear, MLC1 interacts with various proteins, including adhesion proteins such as GlialCAM, chloride channels like CLCN2, and gap junction proteins such as connexin 43. It also modulates receptor tyrosine kinases, including EGFR and Axl, by suppressing their enzymatic activity.
MLC1 plays a crucial role in restoring astrocyte homeostasis after inflammation by inhibiting IL-1β–induced inflammatory signaling pathways (pERK, pNF-kB) (3). Experimental in vitro and ex vivo studies suggest that MLC1 contributes to cell volume regulation in astrocytes during osmotic stress by modulating anion channels (VRAC) and Ca²⁺ influx.
Recent findings indicate that loss of MLC1 disrupts astrocyte–excitatory synapse interactions, potentially affecting extracellular glutamate dynamics under conditions of impaired glutamate transporter activity (5). Furthermore, MLC1 stabilizes membrane structure fluctuations in primary astrocytes by regulating actin filament branching (2).

Certificates

ISO 9001 2015 Quality Management System and Green Lab Platinum certification level for sustaining laboratory processes.

Newsletter

Sign up for our newsletter and get the latest updates and news.
 

Please provide a valid E-Mail-Address
Please provide a valid First name
Please provide a valid Last name