Tailor-made Antibodies
and Tools for Life Science
Home | | | | | Technical Support

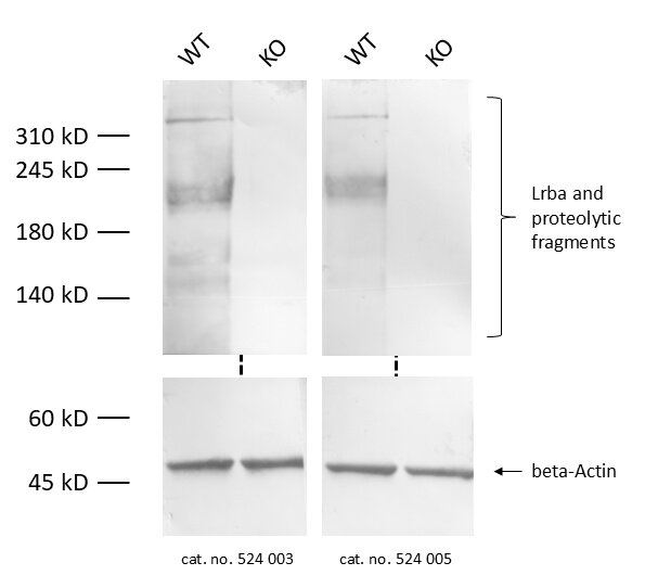
LRBA antibody - 524 005

LRBA is a member of the BEACH-protein family
Guinea pig polyclonal purified antibody
Cat. No.: 524 005
Amount: 50 µg
Price: $465.00
Cat. No. 524 005 50 µg specific antibody, lyophilized. Affinity purified with the immunogen. Albumin and azide were added for stabilization. For reconstitution add 50 µl H2O to get a 1mg/ml solution in PBS. Then aliquot and store at -20°C to -80°C until use.
Antibodies should be stored at +4°C when still lyophilized. Do not freeze!
Applications
 
WB: 1 : 1000 (AP staining) (see remarks) gallery  
IP: not tested yet
ICC: 1 : 500 up to 1 : 1000 gallery  
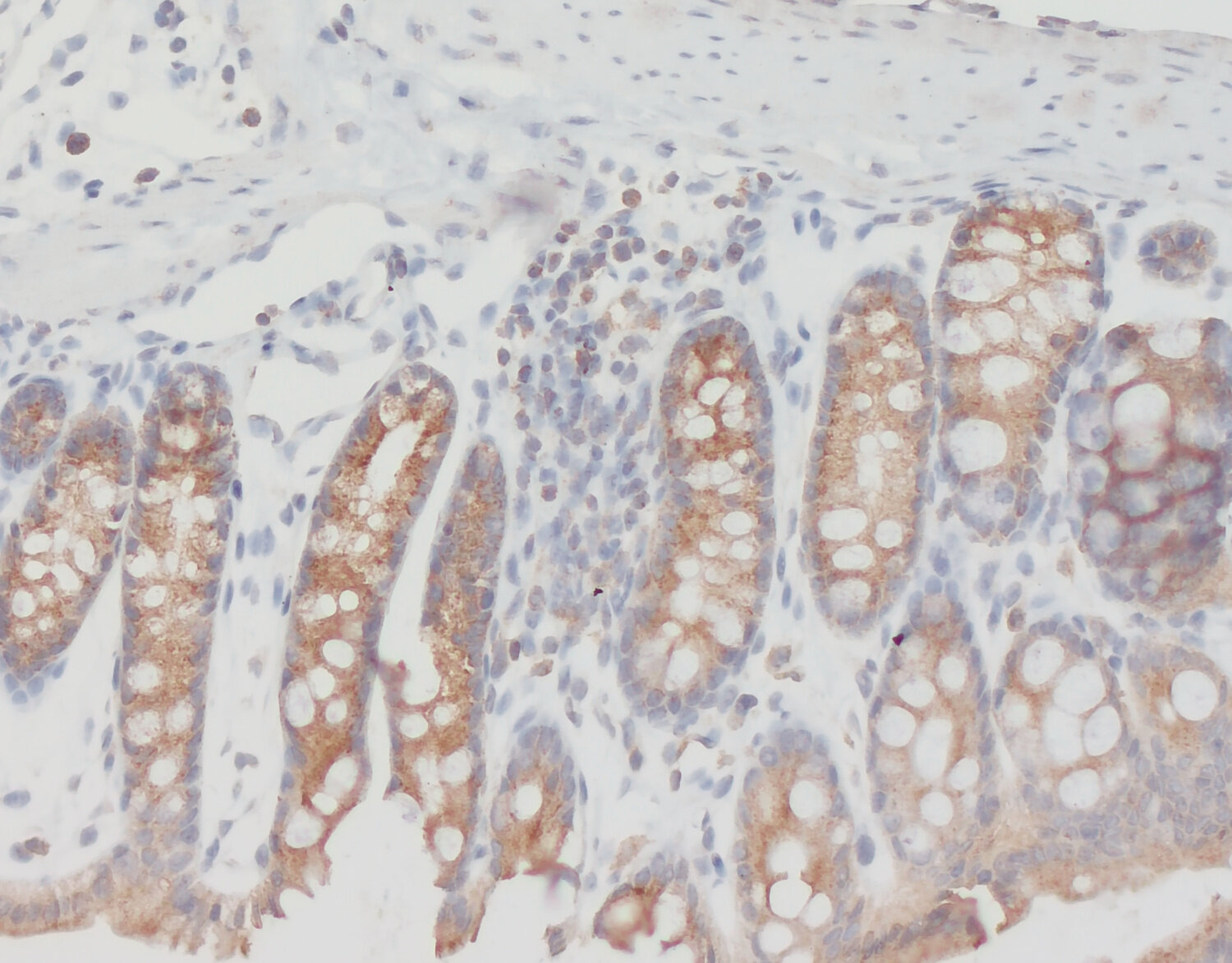
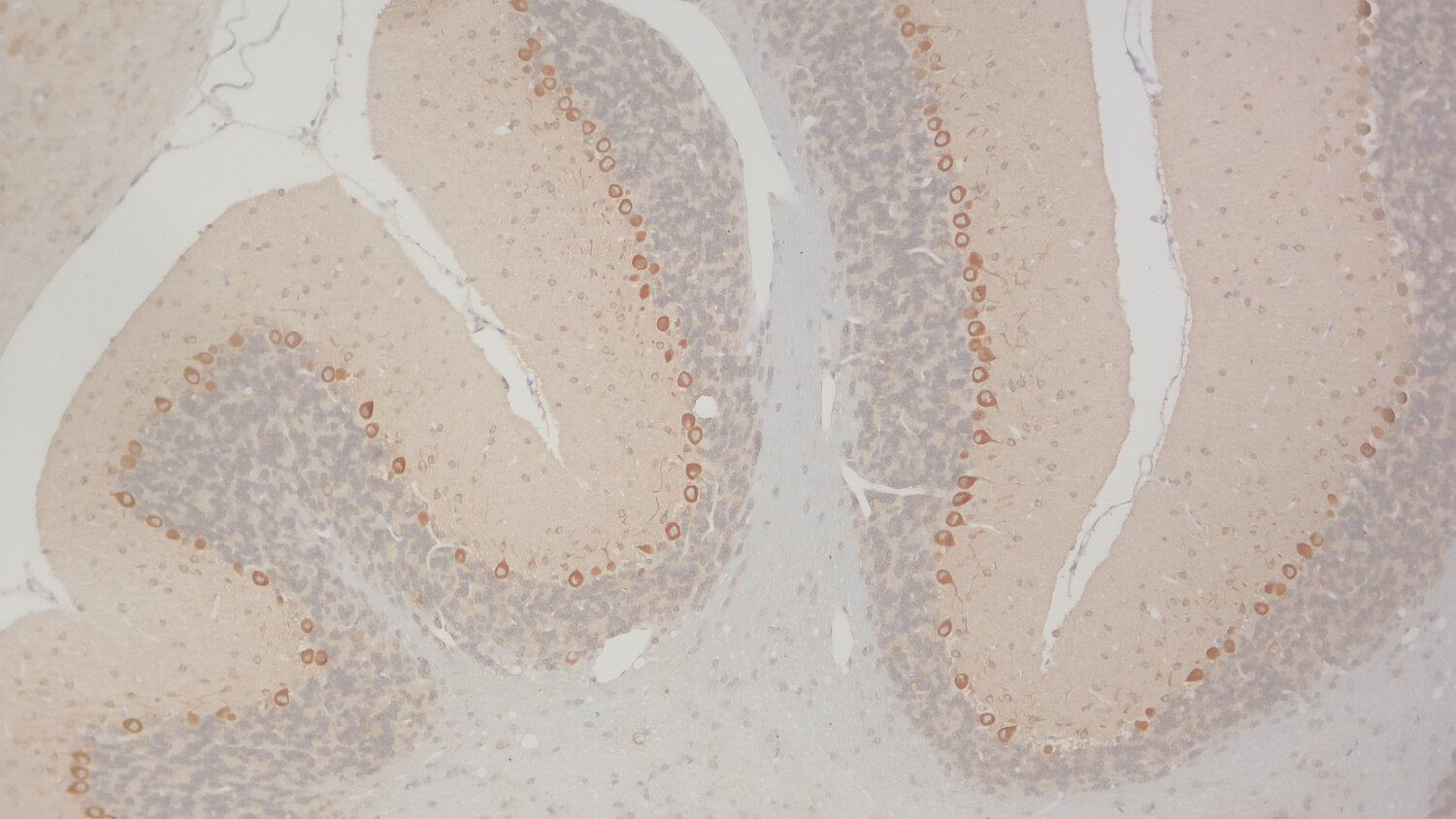
IHC: 1 : 1000 gallery  
IHC-P (FFPE): 1 : 1000 gallery  

Western blot (WB); separation of proteins by PAGE and subsequent transfer to a membrane. Detection of target molecules is carried out with antibodies. Some antibodies require special sample preparation steps. For details, please refer to the “Remarks” section.

Immunoprecipitation (IP); Immunoisolation or pulldown of a target molecule using an antibody. For details and product specific hints, please refer to the ”Remarks” section.

Immunocytochemistry (ICC) on 4% PFA fixed cells. Immunoreactivity is usually revealed by fluorescence. Some antibodies require special fixation methods. For details, please refer to the “Remarks” section.

Immunohistochemistry (IHC) on 4% PFA perfusion fixed tissue with 24h PFA post fixation. Immunoreactivity is usually revealed by fluorescence or a chromogenic substrate. Some antibodies require special fixation methods or antigen retrieval steps. For details, please refer to the ”Remarks” section.

Immunohistochemistry (IHC-P) of formalin fixed, paraffin embedded (FFPE) tissue (some antibodies require special antigen retrieval steps, please refer to the ”Remarks” section). Immunoreactivity is usually revealed by fluorescence or a chromogenic substrate.

Immunogen Recombinant protein corresponding to residues near the central region of mouse LRBA (UniProt Id: Q9ESE1)
Reactivity Reacts with: mouse (Q9ESE1).
Other species not tested yet.
Remarks

WB: To avoid protein aggregation, do not heat samples for SDS-PAGE.
Due to the large size of this protein, we recommend NuPAGE 3-8% Tris-Acetate gels for SDS-PAGE.

Data sheet Datasheet 524_005
Cat. No.: 524 005
Amount: 50 µg
Price: $465.00
Background

LRBA (Lipopolysaccharide-Responsive and Beige-Like Anchor Protein) is a member of the BEACH-protein family. It is a large cytosolic protein comprising several functional domains, including the Plekstrin Homology (PH)-like domain, BEACH domain, and multiple WD40 repeats (1).
LRBA is essential for the proper functioning of immune cells, particularly B cells and T cells. It has been shown to regulate the recycling of the immune receptor CTLA-4, which is crucial for T cell activation and downregulation (2, 3). LRBA deficiency manifests as immunodeficiency, autoimmune diseases, and various hematological disorders, like reduced levels of B cells, impaired immunoglobulin production and more (4).
Dysfunctional LRBA is also connected to several CNS disorders like sensorineural hearing loss (5), cerebral granulomatous lesions, nerve demyelination and atrophy (6).
LRBA is widely expressed in multiple tissues including lymphoid organs, the gastrointestinal tract, kidney, the pancreas, and neuronal cells (7).

 

For more information on protein expression pattern, please refer to the overview image in our SYSY Antibodies ATLAS.

Certificates

ISO 9001 2015 Quality Management System and Green Lab Platinum certification level for sustaining laboratory processes.

Newsletter

Sign up for our newsletter and get the latest updates and news.
 

Please provide a valid E-Mail-Address
Please provide a valid First name
Please provide a valid Last name