Tailor-made Antibodies
and Tools for Life Science
Home | | | | | Technical Support

MCAM (CD146) antibody - 517 003

MCAM/CD146 is a member of the immunoglobulin superfamily
Rabbit polyclonal purified antibody
Cat. No.: 517 003
Amount: 50 µg
Price: $380.00
Cat. No. 517 003 50 µg specific antibody, lyophilized. Affinity purified with the immunogen. Albumin and azide were added for stabilization. For reconstitution add 50 µl H2O to get a 1mg/ml solution in PBS. Then aliquot and store at -20°C to -80°C until use.
Antibodies should be stored at +4°C when still lyophilized. Do not freeze!
Applications
 
WB: 1 : 1000 up to 1 : 2000 (AP staining) gallery  
ICC: 1 : 500 up to 1 : 1000 gallery  
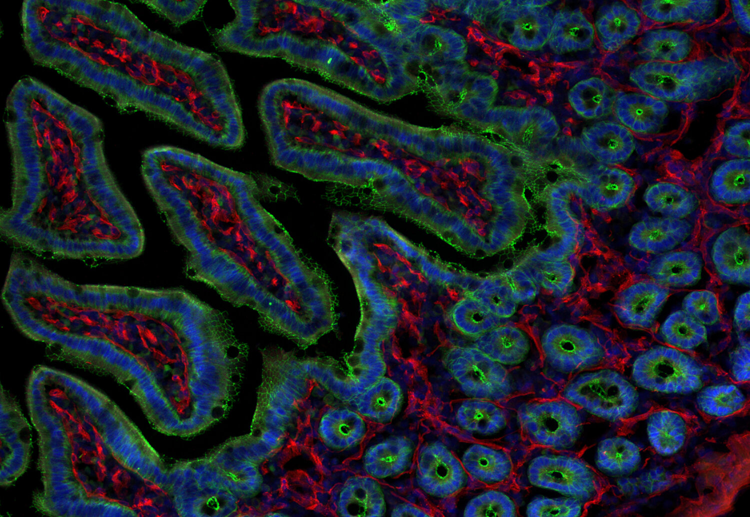
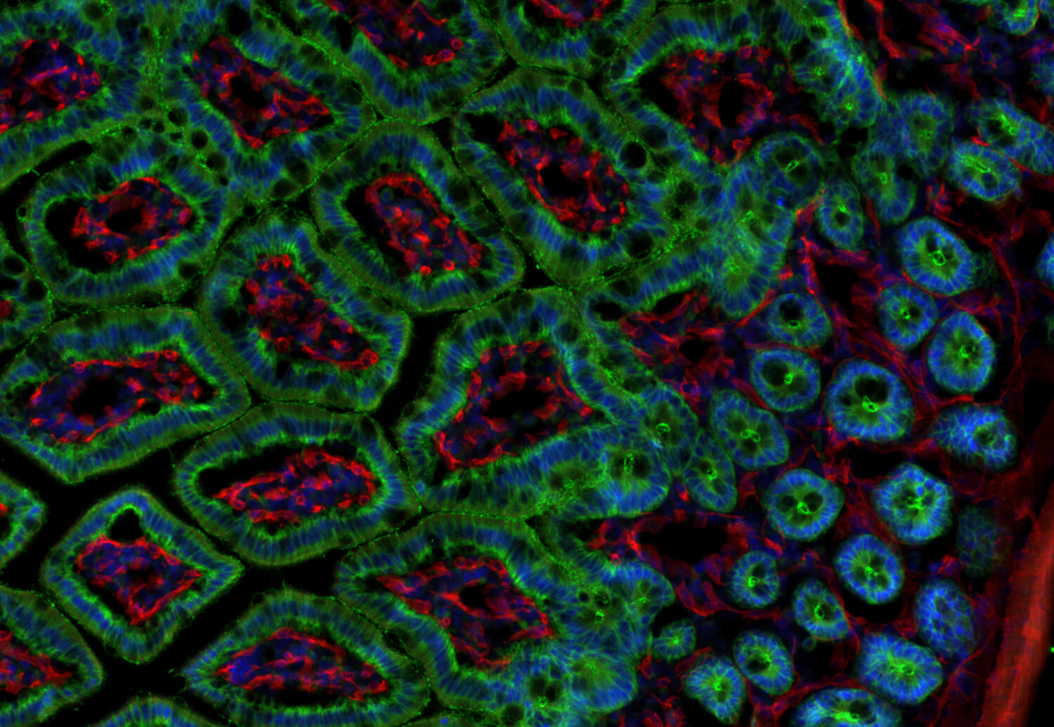
IHC: 1 : 500 up to 1 : 1000 (see remarks) gallery  
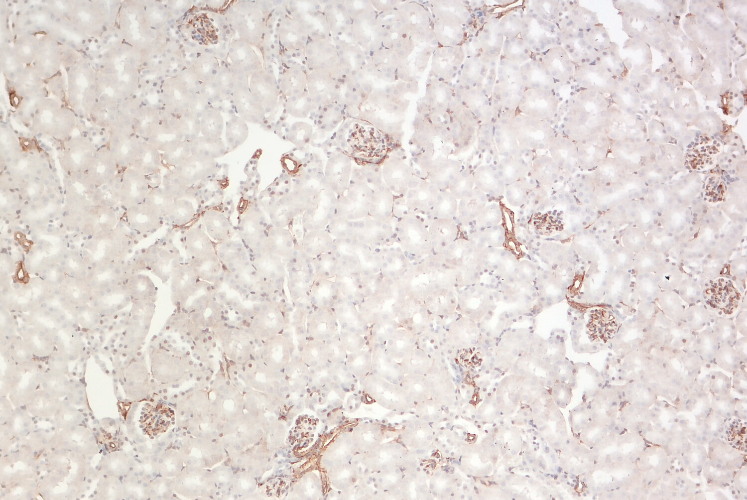
IHC-P: 1 : 1000 gallery  
IHC-Fr: 1 : 500 Acetone fixation is recommended (see remarks) gallery  

Western blot (WB); separation of proteins by PAGE and subsequent transfer to a membrane. Detection of target molecules is carried out with antibodies. Some antibodies require special sample preparation steps. For details, please refer to the “Remarks” section.

Immunocytochemistry (ICC) on 4% PFA fixed cells. Immunoreactivity is usually revealed by fluorescence. Some antibodies require special fixation methods. For details, please refer to the “Remarks” section.

Immunohistochemistry (IHC) on 4% PFA perfusion fixed tissue with 24h PFA post fixation. Immunoreactivity is usually revealed by fluorescence or a chromogenic substrate. Some antibodies require special fixation methods or antigen retrieval steps. For details, please refer to the ”Remarks” section.

Immunohistochemistry (IHC-P) of formalin fixed, paraffin embedded (FFPE) tissue (some antibodies require special antigen retrieval steps, please refer to the ”Remarks” section). Immunoreactivity is usually revealed by fluorescence or a chromogenic substrate.

Immunohistochemistry on fresh frozen (IHC-Fr) cryo-tissue-sections. In contrast to standard PFA perfusion fixed tissues, fresh frozen cryo-tissue-sections can be variably postfixed with alcohols, acetone or PFA. Alcohol or acetone fixation is e.g. of advantage for antigens masked by PFA crosslinking. For recommended postfixation, please refer to the ”Remarks” section. Immunoreactivity is usually revealed by fluorescence or a chromogenic substrate.

Immunogen Recombinant protein comprising the extracellular domain of mouse MCAM (UniProt Id: Q8R2Y2)
Reactivity Reacts with: mouse (Q8R2Y2), rat (Q9EPF2).
Other species not tested yet.
Remarks

IHC: Antigen retrieval with citrate buffer pH 6 is required.
IHC-Fr: Acetone fixation is recommended.

Data sheet Datasheet 517_003
Cat. No.: 517 003
Amount: 50 µg
Price: $380.00
Background

The melanoma cell adhesion molecule (MCAM, also known as MUC18, CD146, S-endo-1 or P1H12) is a member of the immunoglobulin superfamily that was originally described as a cell surface adhesion protein and marker for the progression and metastasis of melanoma (1,2). Metazoan MCAM has been detected in the majority of cell types, including vasculogenic cells (endothelial, pericytes and smooth muscle cells), epithelia, fibroblasts, mesenchymal stem cells and lymphocytes, with the exception of erythrocytes (3).
MCAM is a strongly glycosylated type I transmembrane protein. On the basis of a bioinformatical analysis, eight putative N-glycosylation sites in the extracellular are present in the extracellular fragment across all species (4).

Certificates

ISO 9001 2015 Quality Management System and Green Lab Platinum certification level for sustaining laboratory processes.

Newsletter

Sign up for our newsletter and get the latest updates and news.
 

Please provide a valid E-Mail-Address
Please provide a valid First name
Please provide a valid Last name