Tailor-made Antibodies
and Tools for Life Science
Home | | | | | Technical Support

ATP1A2 antibody Cytoplasmic loop - 512 015

ATP1A2 is the catalytic subunit of the Na+/K+ transporting ATPase expressed in glia cells in the brain
Guinea pig polyclonal purified antibody
Cat. No.: 512 015
Amount: 50 µg
Price: $465.00
Cat. No. 512 015 50 µg specific antibody, lyophilized. Affinity purified with the immunogen. Albumin and azide were added for stabilization. For reconstitution add 50 µl H2O to get a 1mg/ml solution in PBS. Then aliquot and store at -20°C to -80°C until use.
Antibodies should be stored at +4°C when still lyophilized. Do not freeze!
Applications
 
WB: 1 : 1000 up to 1 : 2000 (AP staining) gallery  
ICC: 1 : 500 up to 1 : 1000 gallery  
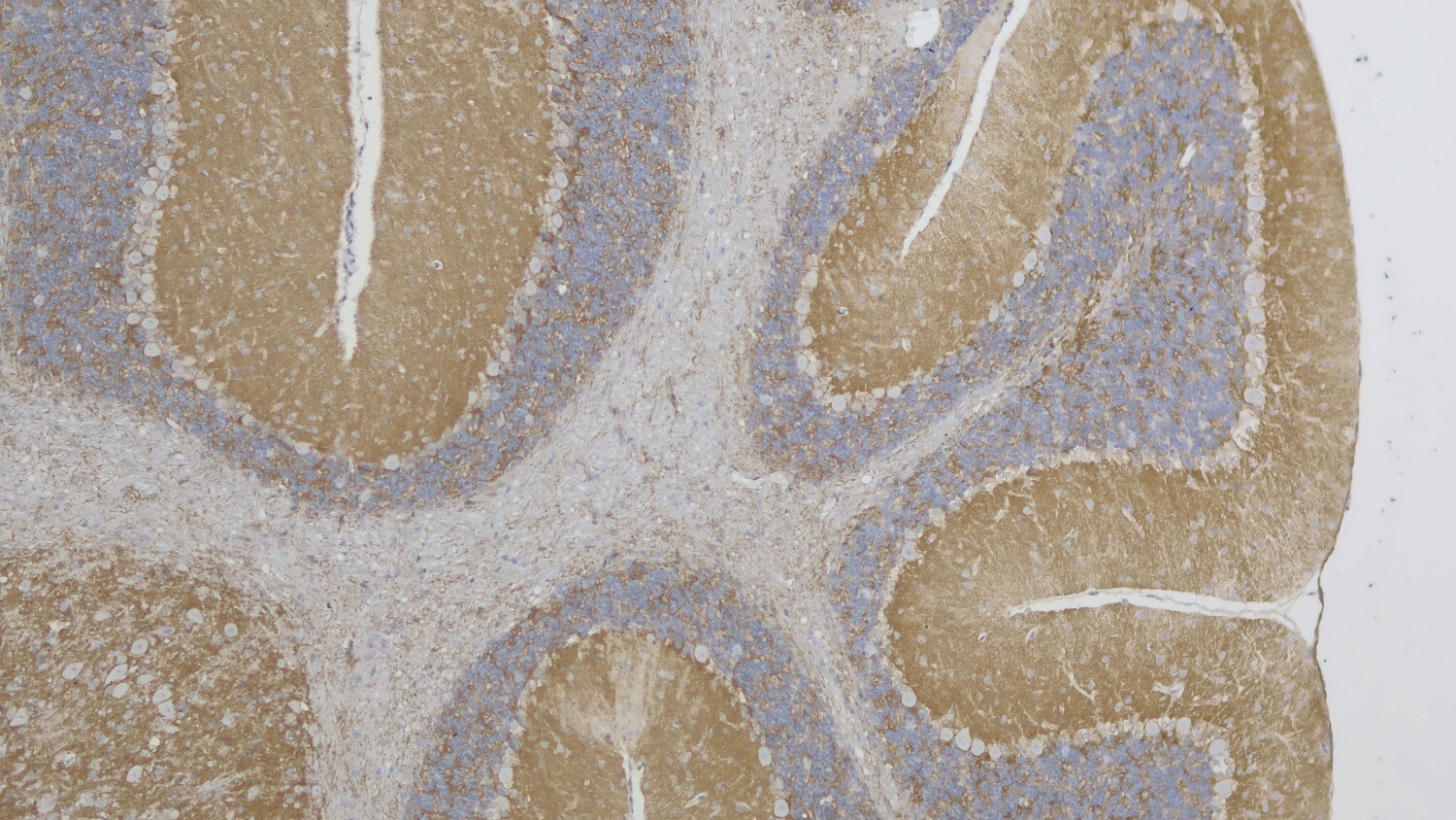
IHC: 1 : 500 gallery  
IHC-P (FFPE): 1 : 500 gallery  

Western blot (WB); separation of proteins by PAGE and subsequent transfer to a membrane. Detection of target molecules is carried out with antibodies. Some antibodies require special sample preparation steps. For details, please refer to the “Remarks” section.

Immunocytochemistry (ICC) on 4% PFA fixed cells. Immunoreactivity is usually revealed by fluorescence. Some antibodies require special fixation methods. For details, please refer to the “Remarks” section.

Immunohistochemistry (IHC) on 4% PFA perfusion fixed tissue with 24h PFA post fixation. Immunoreactivity is usually revealed by fluorescence or a chromogenic substrate. Some antibodies require special fixation methods or antigen retrieval steps. For details, please refer to the ”Remarks” section.

Immunohistochemistry (IHC-P) of formalin fixed, paraffin embedded (FFPE) tissue (some antibodies require special antigen retrieval steps, please refer to the ”Remarks” section). Immunoreactivity is usually revealed by fluorescence or a chromogenic substrate.

Immunogen Synthetic peptide corresponding to residues surrounding AA 550 from human ATP1A2 (UniProt Id: P50993)
Reactivity Reacts with: rat (P06686), mouse (Q6PIE5).
Other species not tested yet.
Specificity The peptide sequence used for immunization is specific for subunit alpha-2 and should not recognize the other subunits alpha 1, 3 or 4.
Data sheet Datasheet 512_015
Cat. No.: 512 015
Amount: 50 µg
Price: $465.00
Background

ATP1A2, also referred to as Sodium/potassium-transporting ATPase subunit alpha-2, is the catalytic subunit of the enzyme, which catalyzes the hydrolysis of ATP coupled with the exchange of sodium and potassium ions across the plasma membrane. This process is essential for maintaining the asymmetrical distribution of Na+ and K+ ions and the resting membrane potential, thereby providing the energy needed for active nutrient transport.
A functional Na+/K+ ATPase consists of a catalytic α-subunit, which contains the ATP-binding sites, and a smaller β-subunit, necessary for full enzymatic activity and serving as an anchoring protein. Auxiliary proteins, such as γ subunits (FXYD polypeptides), further modify the enzyme's transport properties.
Currently, four catalytic (α) and two glycoprotein (β) subunits have been identified, each distributed in a highly tissue- and cell-specific manner. In the brain, three α subunit isoforms (α1, α2, and α3) are expressed: ATP1A1 is present in all cell types, ATP1A3 is primarily found in neurons, and ATP1A2 is almost exclusively expressed in glial cells (1).
Specific roles for glial Na+/K+-ATPases, and specifically the α2-subunit containing enzyme include a contribution to K+ homeostasis and to neurotransmitter (notably glutamate) clearing from the synaptic cleft. Interestingly, it has been shown that a glial Sodium/potassium-transporting ATPase containing the α2 subunit is recruited in response to glutamate uptake and is necessary to couple neuronal activity to glucose utilization (2).

Certificates

ISO 9001 2015 Quality Management System and Green Lab Platinum certification level for sustaining laboratory processes.

Newsletter

Sign up for our newsletter and get the latest updates and news.
 

Please provide a valid E-Mail-Address
Please provide a valid First name
Please provide a valid Last name