Tailor-made Antibodies
and Tools for Life Science
Home | | | | | Technical Support

Dopamine beta-hydroxylase antibody - 496 017

Dopamine β-hydroxylase catalyzes the hydroxylation of dopamine to noradrenaline
Rat monoclonal purified IgG
Cat. No.: 496 017
Amount: 100 µg
Price: $420.00
Cat. No. 496 017 100 µg purified IgG, lyophilized. Albumin and azide were added for stabilization. For reconstitution add 100 µl H2O to get a 1mg/ml solution in PBS. Then aliquot and store at -20°C to -80°C until use.
Antibodies should be stored at +4°C when still lyophilized. Do not freeze!
Applications
 
WB: not tested yet
IP: not tested yet
ICC: not tested yet
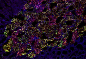
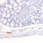
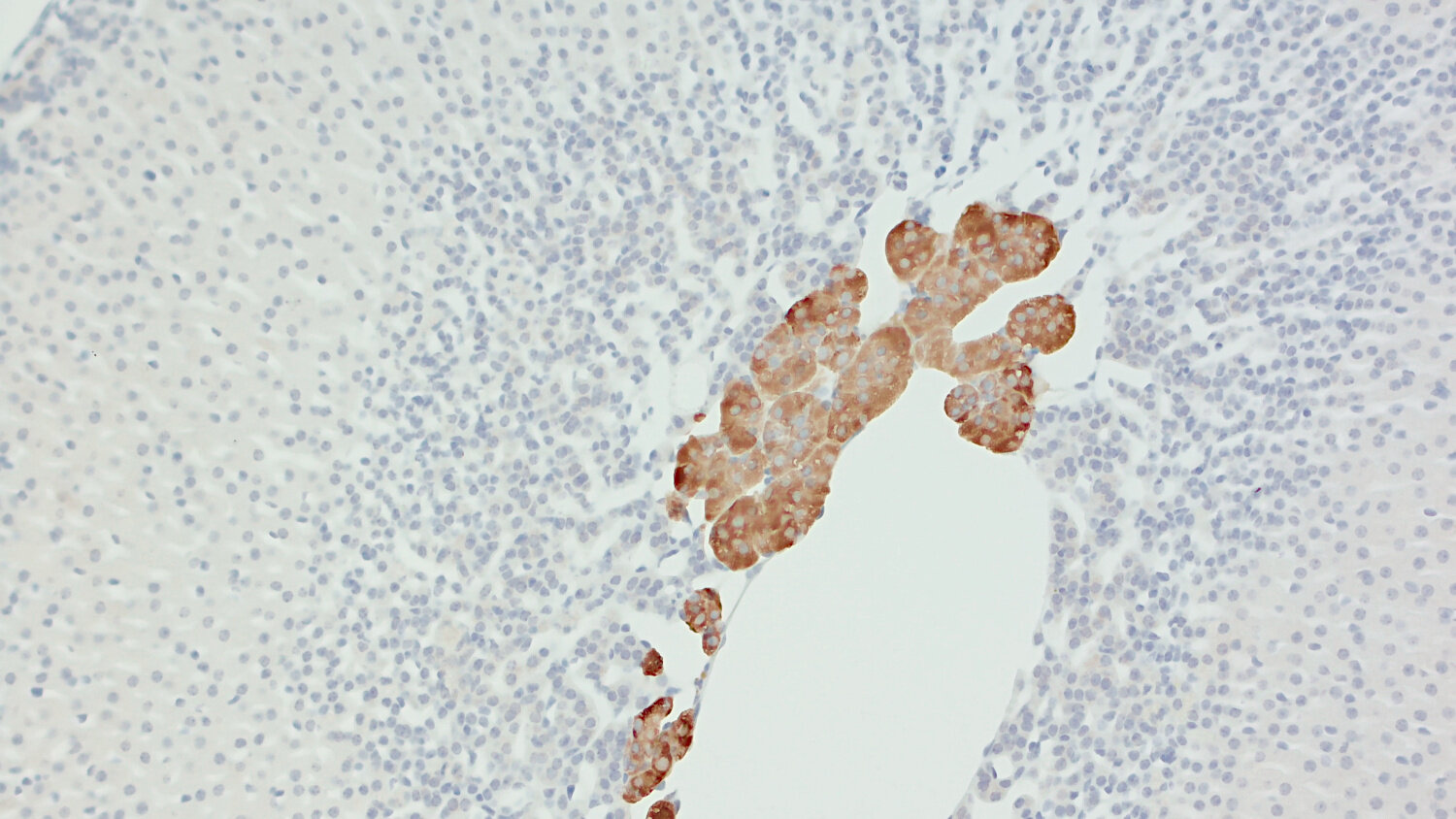
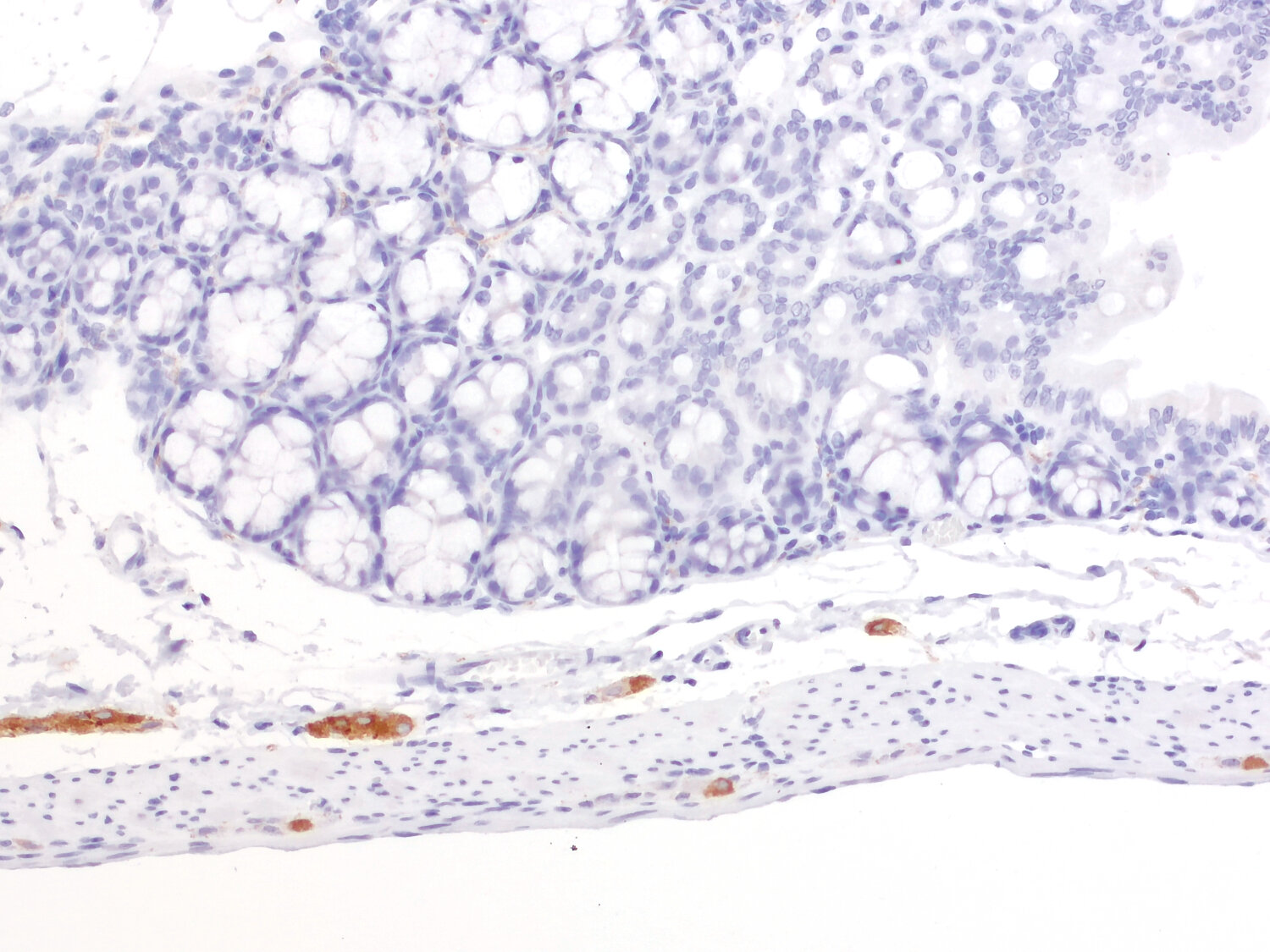
IHC: 1 : 500 (see remarks) gallery  
IHC-P (FFPE): 1 : 500 gallery  

Western blot (WB); separation of proteins by PAGE and subsequent transfer to a membrane. Detection of target molecules is carried out with antibodies. Some antibodies require special sample preparation steps. For details, please refer to the “Remarks” section.

Immunoprecipitation (IP); Immunoisolation or pulldown of a target molecule using an antibody. For details and product specific hints, please refer to the ”Remarks” section.

Immunocytochemistry (ICC) on 4% PFA fixed cells. Immunoreactivity is usually revealed by fluorescence. Some antibodies require special fixation methods. For details, please refer to the “Remarks” section.

Immunohistochemistry (IHC) on 4% PFA perfusion fixed tissue with 24h PFA post fixation. Immunoreactivity is usually revealed by fluorescence or a chromogenic substrate. Some antibodies require special fixation methods or antigen retrieval steps. For details, please refer to the ”Remarks” section.

Immunohistochemistry (IHC-P) of formalin fixed, paraffin embedded (FFPE) tissue (some antibodies require special antigen retrieval steps, please refer to the ”Remarks” section). Immunoreactivity is usually revealed by fluorescence or a chromogenic substrate.

Clone SY-251H5
Subtype IgG2a (κ light chain)
Immunogen Synthetic peptide corresponding to residues near the amino terminus of mouse dopamine β-hydroxylase (UniProt Id: Q64237)
Reactivity Reacts with: mouse (Q64237), rat (Q05754).
Other species not tested yet.
Remarks

IHC: Antigen retrieval with citrate buffer pH 6 can be applied to improve the signal to noise ratio.

Data sheet Datasheet 496_017
Cat. No.: 496 017
Amount: 100 µg
Price: $420.00
Background

The norepinephrine pathway is involved in several behavioral and physiological processes, such as blood pressure, mood, overall arousal, and attention. Abnormalities in this pathway have been linked to several diseases, like hypertension, depression, anxiety, attention deficit hyperactivity disorder, and more (1).
Dopamine β-hydroxylase (DBH), also known as dopamine β-monooxygenase, catalyzes the conversion of dopamine to noradrenaline/norepinephrine (2).
DBH is expressed in noradrenergic neurons of the central nervous system (e.g. locus coeruleus), the peripheral nervous system (e.g. sympathetic ganglia) (3) and by chromaffin cells in large dense core vesicles (LDCVs) of the adrenal medulla (3, 4).

 

Certificates

ISO 9001 2015 Quality Management System and Green Lab Platinum certification level for sustaining laboratory processes.

Newsletter

Sign up for our newsletter and get the latest updates and news.
 

Please provide a valid E-Mail-Address
Please provide a valid First name
Please provide a valid Last name