Tailor-made Antibodies
and Tools for Life Science
Home | | | | | Technical Support

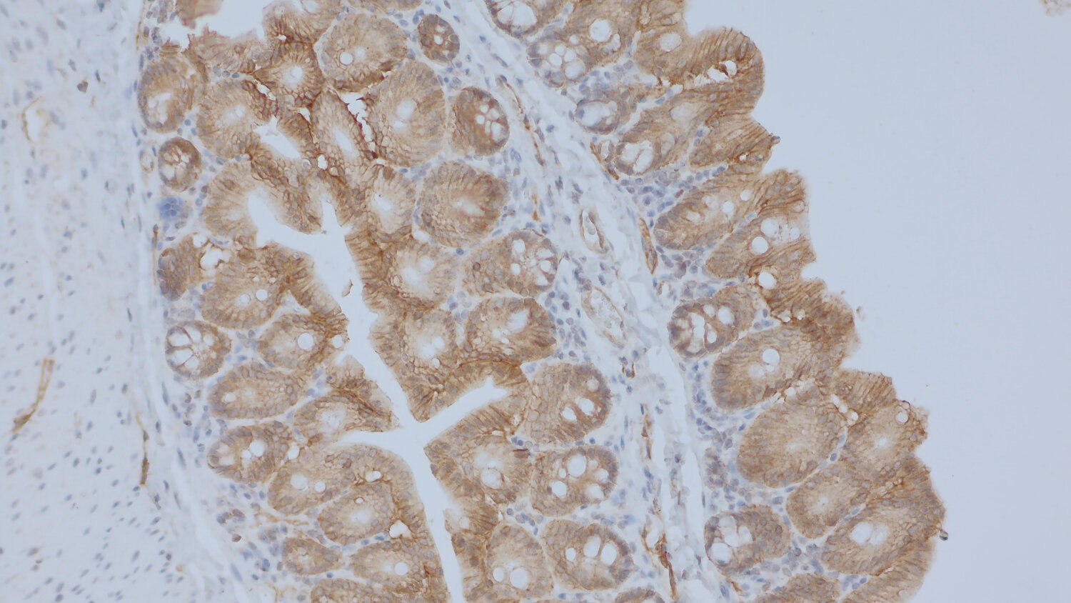
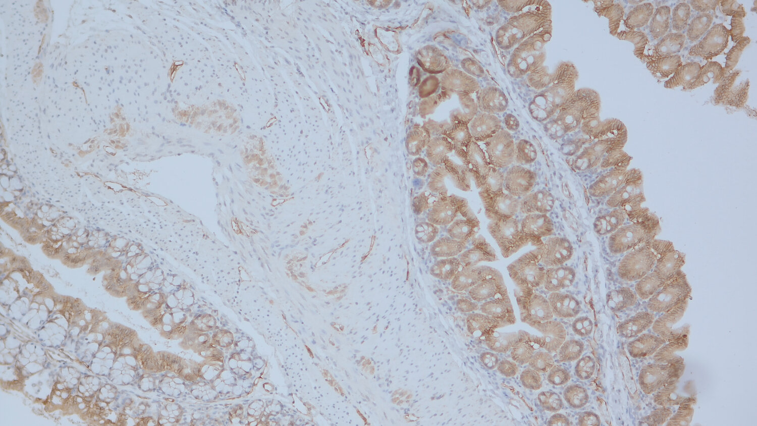
Claudin5 antibody - 482 005

Claudin5 a member of the claudin family
Guinea pig polyclonal purified antibody
Cat. No.: 482 005
Amount: 50 µg
Price: $465.00
Cat. No. 482 005 50 µg specific antibody, lyophilized. Affinity purified with the immunogen. Albumin and azide were added for stabilization. For reconstitution add 50 µl H2O to get a 1mg/ml solution in PBS. Then aliquot and store at -20°C to -80°C until use.
Antibodies should be stored at +4°C when still lyophilized. Do not freeze!
Applications
 
WB: 1 : 1000 up to 1 : 2000 (AP staining) gallery  
ICC: 1 : 500 (see remarks) gallery  
IHC: not recommended
IHC-P: 1 : 200 gallery  
IHC-Fr: 1 : 500 up to 1 : 1000 (see remarks) gallery  
IHC-G: 1 : 500 up to 1 : 1000 (see remarks) gallery  

Western blot (WB); separation of proteins by PAGE and subsequent transfer to a membrane. Detection of target molecules is carried out with antibodies. Some antibodies require special sample preparation steps. For details, please refer to the “Remarks” section.

Immunocytochemistry (ICC) on 4% PFA fixed cells. Immunoreactivity is usually revealed by fluorescence. Some antibodies require special fixation methods. For details, please refer to the “Remarks” section.

Immunohistochemistry (IHC) on 4% PFA perfusion fixed tissue with 24h PFA post fixation. Immunoreactivity is usually revealed by fluorescence or a chromogenic substrate. Some antibodies require special fixation methods or antigen retrieval steps. For details, please refer to the ”Remarks” section.

Immunohistochemistry (IHC-P) of formalin fixed, paraffin embedded (FFPE) tissue (some antibodies require special antigen retrieval steps, please refer to the ”Remarks” section). Immunoreactivity is usually revealed by fluorescence or a chromogenic substrate.

Immunohistochemistry on fresh frozen (IHC-Fr) cryo-tissue-sections. In contrast to standard PFA perfusion fixed tissues, fresh frozen cryo-tissue-sections can be variably postfixed with alcohols, acetone or PFA. Alcohol or acetone fixation is e.g. of advantage for antigens masked by PFA crosslinking. For recommended postfixation, please refer to the ”Remarks” section. Immunoreactivity is usually revealed by fluorescence or a chromogenic substrate.

Immunohistochemistry on glyoxal fixed (IHC-G) tissue. The tissue is perfused with saline and afterwards immersion fixed with a glyoxal solution. For details of the glyoxal solution, please refer to the remarks section. Immunoreactivity is usually revealed by fluorescence.

Immunogen Recombinant protein corresponding to residues near the carboxy terminus of mouse Claudin5. (UniProt Id: O54942)
Reactivity Reacts with: rat (Q9JKD6), mouse (O54942), dog.
Other species not tested yet.
Remarks

ICC: Methanol fixation is recommended.
IHC-Fr: The following fixatives are possible: methanol, 4% formaldehyde/PFA.
IHC-G: 9% glyoxal fixation is recommended.

Data sheet Datasheet 482_005
Cat. No.: 482 005
Amount: 50 µg
Price: $465.00
Background

Claudin5 is predominantly expressed in endothelial cells, especially brain endothelial cells (1) and therefore it is thought that the paracellular permeability of the blood–brain barrier is largely determined by the expression levels of Claudin5. An initial study using Claudin5 knockout (KO) mice clearly showed that expression of Claudin5 in the blood–brain barrier is essential for preventing the entrance of molecules with molecular weights between 400 and 800 Da in the brain. (2) The size-selective modulation of blood–brain barrier permeability has an advantage in comparison to clinically performed methods for increasing blood–brain barrier permeability, namely intra-carotid hyperosmolar mannitol administration. Mannitol administration completely disrupts the blood–brain barrier by withdrawing water from endothelial cells and enabling the entrance of bloodborne proteins into the brain. (3,4)

Certificates

ISO 9001 2015 Quality Management System and Green Lab Platinum certification level for sustaining laboratory processes.

Newsletter

Sign up for our newsletter and get the latest updates and news.
 

Please provide a valid E-Mail-Address
Please provide a valid First name
Please provide a valid Last name