Tailor-made Antibodies
and Tools for Life Science
Home | | | | | Technical Support

P2Y12 antibody mouse specific - 476 011 K.O.

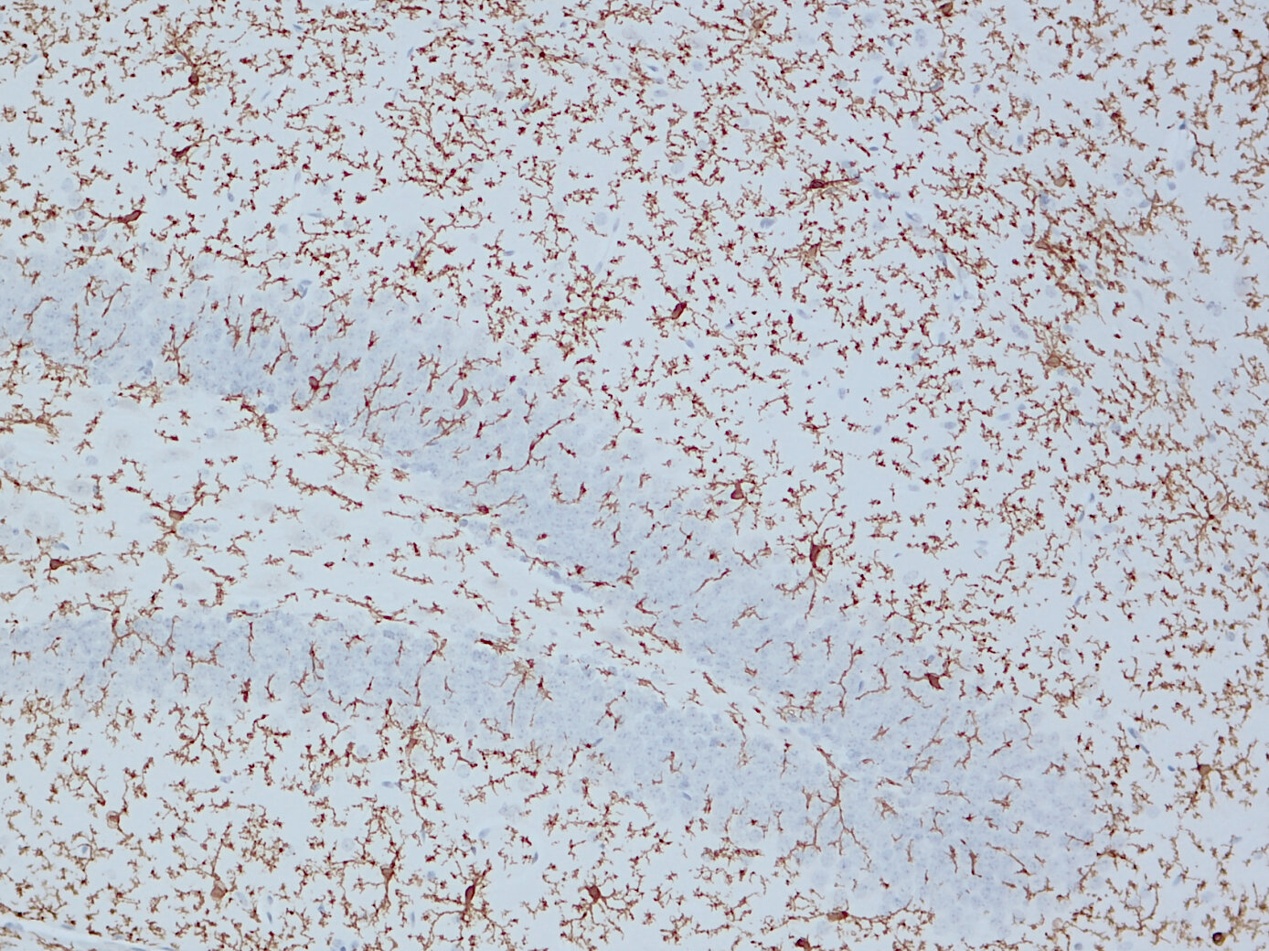
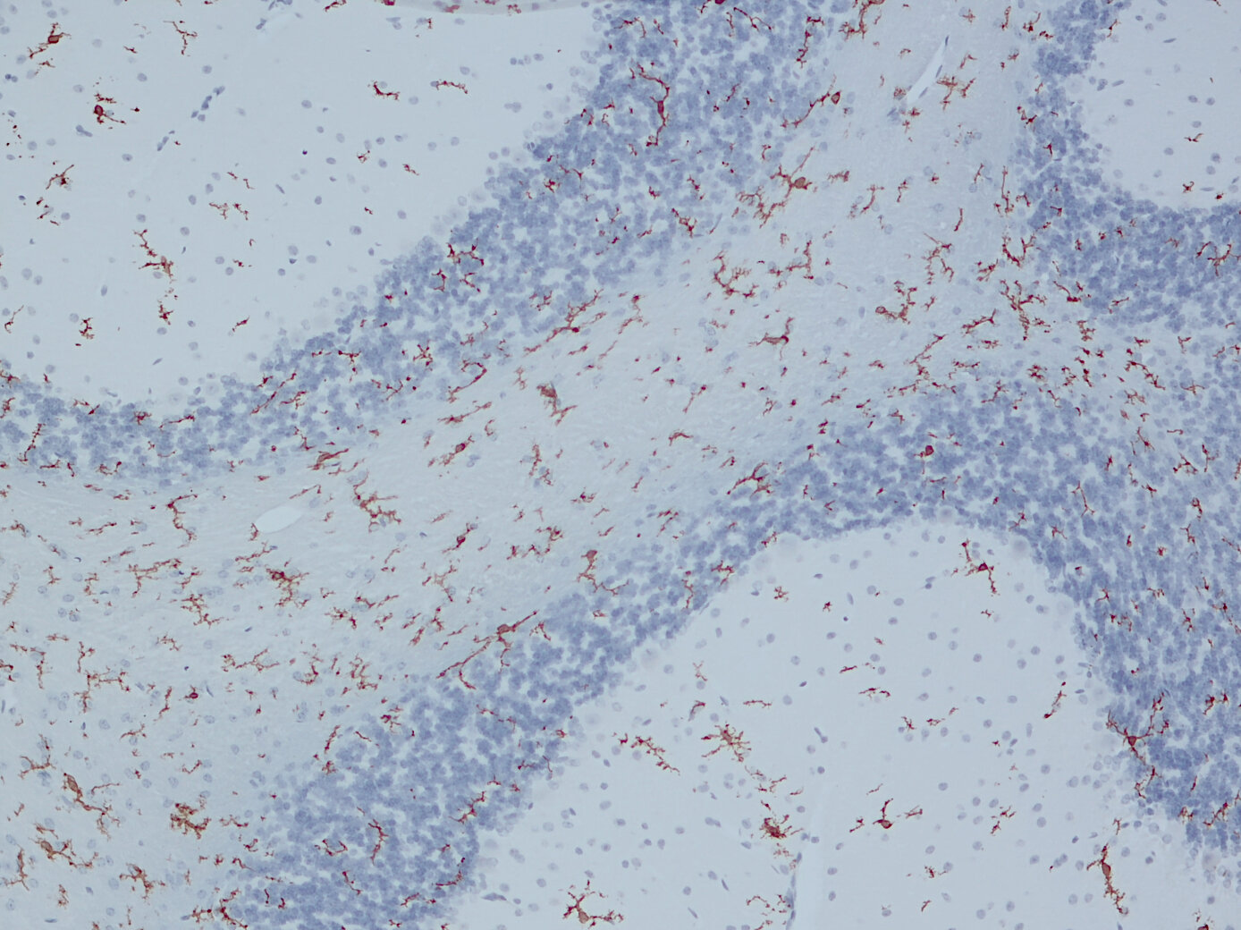
P2Y12 is a Gi - coupled purinergic receptor relevant for microglia activation and platelet aggregation
Mouse monoclonal purified IgG
Cat. No.: 476 011
Amount: 100 µg
Price: $420.00
Cat. No. 476 011 100 µg purified IgG, lyophilized. Albumin and azide were added for stabilization. For reconstitution add 100 µl H2O to get a 1mg/ml solution in PBS. Then aliquot and store at -20°C to -80°C until use.
Antibodies should be stored at +4°C when still lyophilized. Do not freeze!
Applications
 
WB: not recommended
IP: not tested yet
ICC: not tested yet
IHC: 1 : 1000 up to 1 : 10000 (see remarks) gallery  
IHC-P: 1 : 1000 up to 1 : 10000 gallery  
IHC-Fr: 1 : 1000 (see remarks) gallery  

Western blot (WB); separation of proteins by PAGE and subsequent transfer to a membrane. Detection of target molecules is carried out with antibodies. Some antibodies require special sample preparation steps. For details, please refer to the “Remarks” section.

Immunoprecipitation (IP); Immunoisolation or pulldown of a target molecule using an antibody. For details and product specific hints, please refer to the ”Remarks” section.

Immunocytochemistry (ICC) on 4% PFA fixed cells. Immunoreactivity is usually revealed by fluorescence. Some antibodies require special fixation methods. For details, please refer to the “Remarks” section.

Immunohistochemistry (IHC) on 4% PFA perfusion fixed tissue with 24h PFA post fixation. Immunoreactivity is usually revealed by fluorescence or a chromogenic substrate. Some antibodies require special fixation methods or antigen retrieval steps. For details, please refer to the ”Remarks” section.

Immunohistochemistry (IHC-P) of formalin fixed, paraffin embedded (FFPE) tissue (some antibodies require special antigen retrieval steps, please refer to the ”Remarks” section). Immunoreactivity is usually revealed by fluorescence or a chromogenic substrate.

Immunohistochemistry on fresh frozen (IHC-Fr) cryo-tissue-sections. In contrast to standard PFA perfusion fixed tissues, fresh frozen cryo-tissue-sections can be variably postfixed with alcohols, acetone or PFA. Alcohol or acetone fixation is e.g. of advantage for antigens masked by PFA crosslinking. For recommended postfixation, please refer to the ”Remarks” section. Immunoreactivity is usually revealed by fluorescence or a chromogenic substrate.

Clone SY-341D12
Subtype IgG2b (κ light chain)
Immunogen Synthetic peptide corresponding to residues near the carboxy terminus of ms P2Y12 receptor (UniProt Id: Q9CPV9)
Reactivity Reacts with: mouse (Q9CPV9).
No signal: rat (Q9EPX4), human (Q9H244).
Other species not tested yet.
Specificity K.O. validated
Remarks

IHC: Antigen retrieval with citrate buffer pH 6 is tolerated.
IHC-Fr: Methanol fixation is recommended.

Data sheet Datasheet 476_011

References for P2Y12 - 476 011

Inflammation modifies breathing phenotype in mice with epilepsy.
Bhandare AM, Boaten A, Dunkwu D, Hill J, Balazs B, Dale N
Journal of neuroinflammation (2026) : . 476 011 IHC; tested species: mouse
Microglia drive synaptic and functional connectivity deficits in the Ts65Dn mouse model of Down syndrome by affecting inhibition.
Tiberi A, Montagni E, Borgonovo G, Coulomb E, Restani L, Mascaro ALA, Capsoni S, Cattaneo A
Acta neuropathologica communications (2025) 141: 21. 476 011 IHC; tested species: mouse
Cat. No.: 476 011
Amount: 100 µg
Price: $420.00
Inflammation modifies breathing phenotype in mice with epilepsy.
Bhandare AM, Boaten A, Dunkwu D, Hill J, Balazs B, Dale N
Journal of neuroinflammation (2026) : . 476 011 IHC; tested species: mouse
Microglia drive synaptic and functional connectivity deficits in the Ts65Dn mouse model of Down syndrome by affecting inhibition.
Tiberi A, Montagni E, Borgonovo G, Coulomb E, Restani L, Mascaro ALA, Capsoni S, Cattaneo A
Acta neuropathologica communications (2025) 141: 21. 476 011 IHC; tested species: mouse
Background

P2Y12 receptor (P2RY12) is a Gi – coupled purinoceptor and is of particular relevance for microglia in the central nervous system (CNS) (1). The preferred agonist is ADP, the degradation product of ATP, which is released from neurons and other glial cells during physiological activity or after tissue damage. P2Y12 receptor is highly expressed in processes and somata of surveilling microglia and plays a major role in microglial chemotaxis in response to local CNS injury (2). More recently, P2Y12 receptors have been shown to be concentrated at microglia process-neuronal somata contacts (3) and to be critical for neuroprotection. To date, P2Y12 receptor is one of the most accepted microglia-specific markers used to distinguish CNS-resident microglia from CNS-associated macrophages (CAMs) and infiltrating monocytes/macrophages (4). The expression level of P2Y12 receptor is downregulated in an activated state of microglia referred to as disease-associated microglia (DAM). In the periphery, P2Y12 receptor is expressed in platelets and is a well-known biological target for anti-thrombotic drugs due to its central role in platelet activation, aggregation and blood clotting (5).

Certificates

ISO 9001 2015 Quality Management System and Green Lab Platinum certification level for sustaining laboratory processes.

Newsletter

Sign up for our newsletter and get the latest updates and news.
 

Please provide a valid E-Mail-Address
Please provide a valid First name
Please provide a valid Last name