Tailor-made Antibodies
and Tools for Life Science
Home | | | | | Technical Support

GLP-2 antibody - 471 203

GLP-2 is a pleiotropic regulator of intestine function
Rabbit polyclonal purified antibody
Cat. No.: 471 203
Amount: 50 µg
Price: $380.00
Cat. No. 471 203 50 µg specific antibody, lyophilized. Affinity purified with the immunogen. Albumin and azide were added for stabilization. For reconstitution add 50 µl H2O to get a 1mg/ml solution in PBS. Then aliquot and store at -20°C to -80°C until use.
Antibodies should be stored at +4°C when still lyophilized. Do not freeze!
Applications
 
WB: not tested yet
Dot blot: 1 : 1000 (AP staining) (see remarks) gallery  
IP: not tested yet
ICC: not tested yet
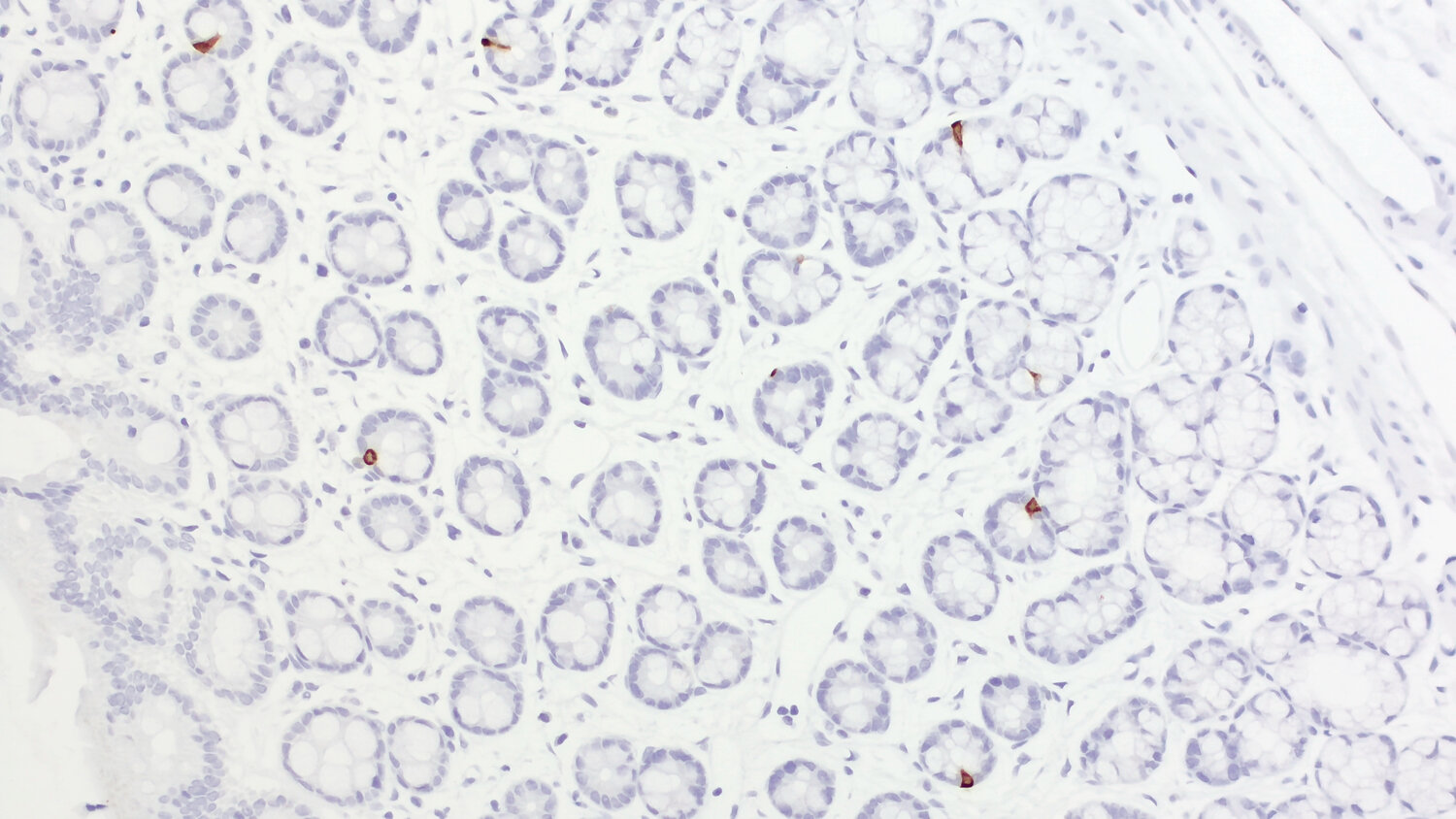
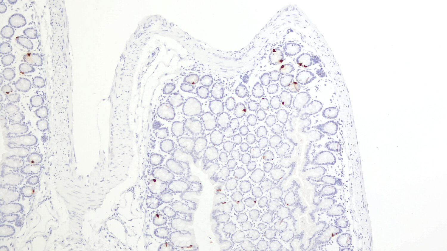
IHC: 1 : 1000 up to 1 : 2000 gallery  
IHC-P: 1 : 1000 up to 1 : 4000 gallery  

Western blot (WB); separation of proteins by PAGE and subsequent transfer to a membrane. Detection of target molecules is carried out with antibodies. Some antibodies require special sample preparation steps. For details, please refer to the “Remarks” section.

Immunodetection of target molecules spotted onto a membrane.

Immunoprecipitation (IP); Immunoisolation or pulldown of a target molecule using an antibody. For details and product specific hints, please refer to the ”Remarks” section.

Immunocytochemistry (ICC) on 4% PFA fixed cells. Immunoreactivity is usually revealed by fluorescence. Some antibodies require special fixation methods. For details, please refer to the “Remarks” section.

Immunohistochemistry (IHC) on 4% PFA perfusion fixed tissue with 24h PFA post fixation. Immunoreactivity is usually revealed by fluorescence or a chromogenic substrate. Some antibodies require special fixation methods or antigen retrieval steps. For details, please refer to the ”Remarks” section.

Immunohistochemistry (IHC-P) of formalin fixed, paraffin embedded (FFPE) tissue (some antibodies require special antigen retrieval steps, please refer to the ”Remarks” section). Immunoreactivity is usually revealed by fluorescence or a chromogenic substrate.

Immunogen Synthetic peptide comprising almost all of the processed mouse GLP-2 (UniProt Id: P55095)
Reactivity Reacts with: mouse (P55095), rat (P06883).
Other species not tested yet.
Specificity The antibody recognizes GLP-2. It may show cross-reactivity with the unprocessed precursor protein, but it does not detect GLP-1.
Remarks

Dot blot: This application was tested with synthetic peptides only.

Data sheet Datasheet 471_203
Cat. No.: 471 203
Amount: 50 µg
Price: $380.00
Background

Glucagon-like peptide-2 (GLP-2) is a 33-amino acid peptide generated by tissue-specific posttranslational processing of the proglucagon precursor. It is primarily secreted by enteroendocrine L cells located in the distal small intestine and colon, and in much smaller quantities from certain neurons in the brainstem and the hypothalamus. Its secretion is stimulated by nutrient ingestion, especially fats and carbohydrates (1-3).
GLP-2 exerts its effects via interaction with its specific G-protein-coupled receptor GLP-2R (1). GLP-2R can couple to different G-protein subunits to activate multiple signalling pathways (4).
The actions of GLP-2 in the gastrointestinal tract include promotion of intestinal growth, stimulation of nutrient absorption, improvement in intestinal barrier function and suppression of gastric emptying. Further, GLP-2 increases intestinal blood flow, and it has anti-inflammatory effects (3,4).
GLP-2 has been identified as a promising target for gastrointestinal diseases, such as short bowel syndrome (SBS), inflammatory bowel disease, and chemotherapy-induced mucositis, and GLP-2 analogues have been developed for treatment of SBS (1-4).

Certificates

ISO 9001 2015 Quality Management System and Green Lab Platinum certification level for sustaining laboratory processes.

Newsletter

Sign up for our newsletter and get the latest updates and news.
 

Please provide a valid E-Mail-Address
Please provide a valid First name
Please provide a valid Last name