Tailor-made Antibodies
and Tools for Life Science
Home | | | | | Technical Support

GLP-1 antibody - 471 005

GLP-1 is an incretin hormone with various effects
Guinea pig polyclonal purified antibody
Cat. No.: 471 005
Amount: 50 µg
Price: $465.00
Cat. No. 471 005 50 µg specific antibody, lyophilized. Affinity purified with the immunogen. Albumin and azide were added for stabilization. For reconstitution add 50 µl H2O to get a 1mg/ml solution in PBS. Then aliquot and store at -20°C to -80°C until use.
Antibodies should be stored at +4°C when still lyophilized. Do not freeze!
Applications
 
WB: not tested yet
Dot blot: 1 : 1000 (AP staining) (see remarks) gallery  
IP: not tested yet
ICC: not tested yet
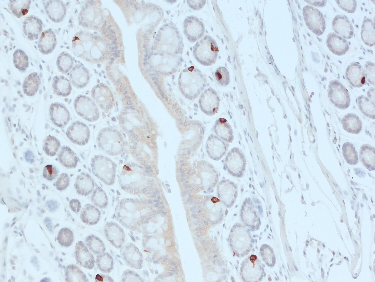
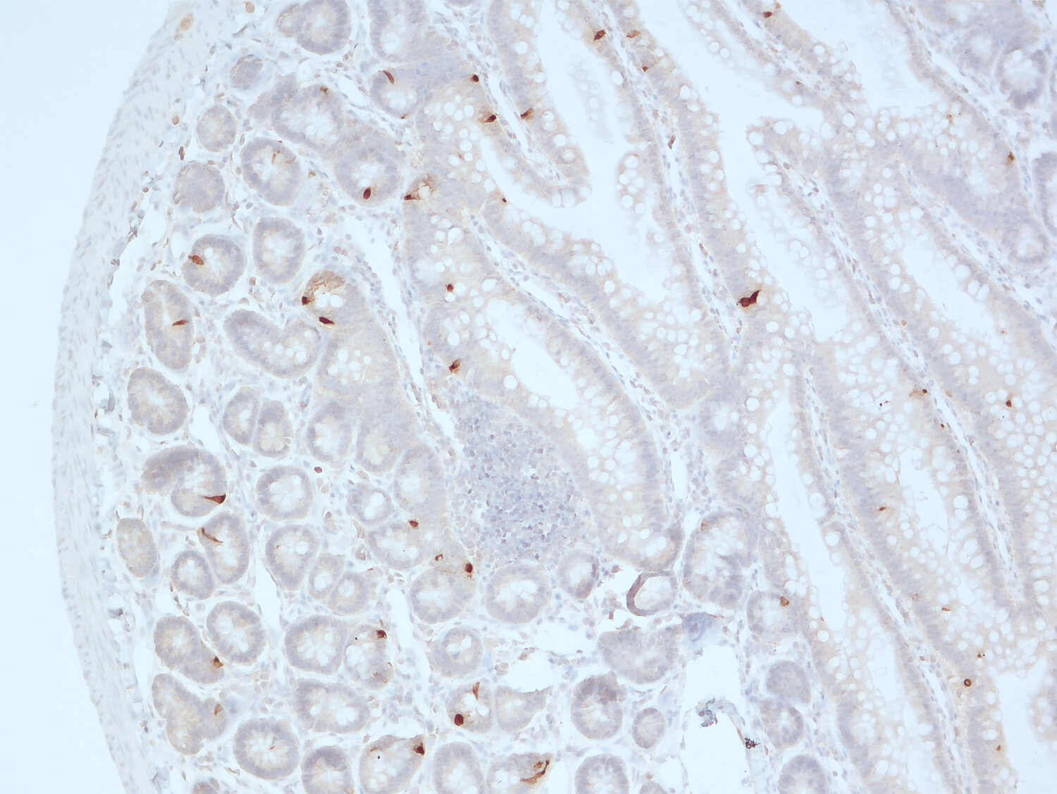
IHC: 1 : 500 gallery  
IHC-P: 1 : 1000 up to 1 : 2000 gallery  

Western blot (WB); separation of proteins by PAGE and subsequent transfer to a membrane. Detection of target molecules is carried out with antibodies. Some antibodies require special sample preparation steps. For details, please refer to the “Remarks” section.

Immunodetection of target molecules spotted onto a membrane.

Immunoprecipitation (IP); Immunoisolation or pulldown of a target molecule using an antibody. For details and product specific hints, please refer to the ”Remarks” section.

Immunocytochemistry (ICC) on 4% PFA fixed cells. Immunoreactivity is usually revealed by fluorescence. Some antibodies require special fixation methods. For details, please refer to the “Remarks” section.

Immunohistochemistry (IHC) on 4% PFA perfusion fixed tissue with 24h PFA post fixation. Immunoreactivity is usually revealed by fluorescence or a chromogenic substrate. Some antibodies require special fixation methods or antigen retrieval steps. For details, please refer to the ”Remarks” section.

Immunohistochemistry (IHC-P) of formalin fixed, paraffin embedded (FFPE) tissue (some antibodies require special antigen retrieval steps, please refer to the ”Remarks” section). Immunoreactivity is usually revealed by fluorescence or a chromogenic substrate.

Immunogen Synthetic peptide comprising almost all of the processed mouse GLP-1(7-36)amide. (UniProt Id: P55095)
Reactivity Reacts with: mouse (P55095), rat (P06883).
Other species not tested yet.
Specificity The antibody recognizes GLP-1 with a preference for the amidated GLP-1(7-36)amide. It may show some cross-reactivity with the unprocessed precursor protein.
Remarks

Dot blot: This application was tested with synthetic peptides only.

Data sheet Datasheet 471_005
Cat. No.: 471 005
Amount: 50 µg
Price: $465.00
Background

Glucagon-like peptide-1 (GLP-1) is a member of the glucagon family of hormones.
The well conserved peptide is generated by tissue-specific posttranslational processing of the proglucagon precursor, yielding the amidated GLP-1(7-36)amide or the non-amidated GLP-1(7-37) (1). In humans and mice, GLP-1 is predominantly amidated, whereas in rats both amidated and nonamidated GLP-1 is present (1,2). Both forms are biologically active and rapidly inactivated by proteolytic cleavage (1,3). 
GLP-1 is produced and secreted by intestinal enteroendocrine L-cells and certain neurons within the nucleus of the solitary tract in the brainstem in response to nutrient ingestion (1). Although there is some species variation, the density of L-cells increases distally along the gut, with greatest density in the ileum and colon (1,2).
GLP-1 exerts its effects via interaction with its specific G-protein-coupled receptor GLP-1R. Receptor binding stimulates insulin secretion from pancreatic beta cells.
In addition to its insulinotropic effects, GLP-1 promotes beta cell proliferation, it is involved in gastrointestinal motility, and it inhibits gastric emptying. In bone, GLP-1 inhibits bone resorption. In the brain, GLP-1 is thought to be involved in memory formation as well as in the control of appetite (1,3).
The numerous beneficial effects of GLP-1 render this hormone an interesting candidate for the development of pharmacotherapies to treat obesity and diabetes (4,5).

Certificates

ISO 9001 2015 Quality Management System and Green Lab Platinum certification level for sustaining laboratory processes.

Newsletter

Sign up for our newsletter and get the latest updates and news.
 

Please provide a valid E-Mail-Address
Please provide a valid First name
Please provide a valid Last name