Tailor-made Antibodies
and Tools for Life Science
Home | | | | | Technical Support

FAAH1 antibody - 469 003 K.O.

FAAH 1 is involved in endocannabinoid signaling
Rabbit polyclonal purified antibody
Cat. No.: 469 003
Amount: 100 µl
Price: $380.00
Cat. No. 469 003 100 µl specific antibody, lyophilized. Affinity purified with the immunogen. Albumin and azide were added for stabilization. For reconstitution add 100 µl H2O. Then aliquot and store at -20°C to -80°C until use.
Antibodies should be stored at +4°C when still lyophilized. Do not freeze!
Applications
 
WB: 1 : 1000 (AP staining) gallery  
IP: not tested yet
ICC: 1 : 500 gallery  
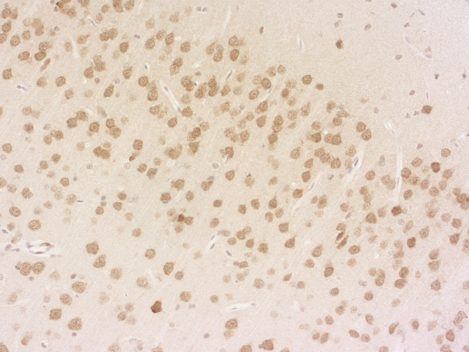
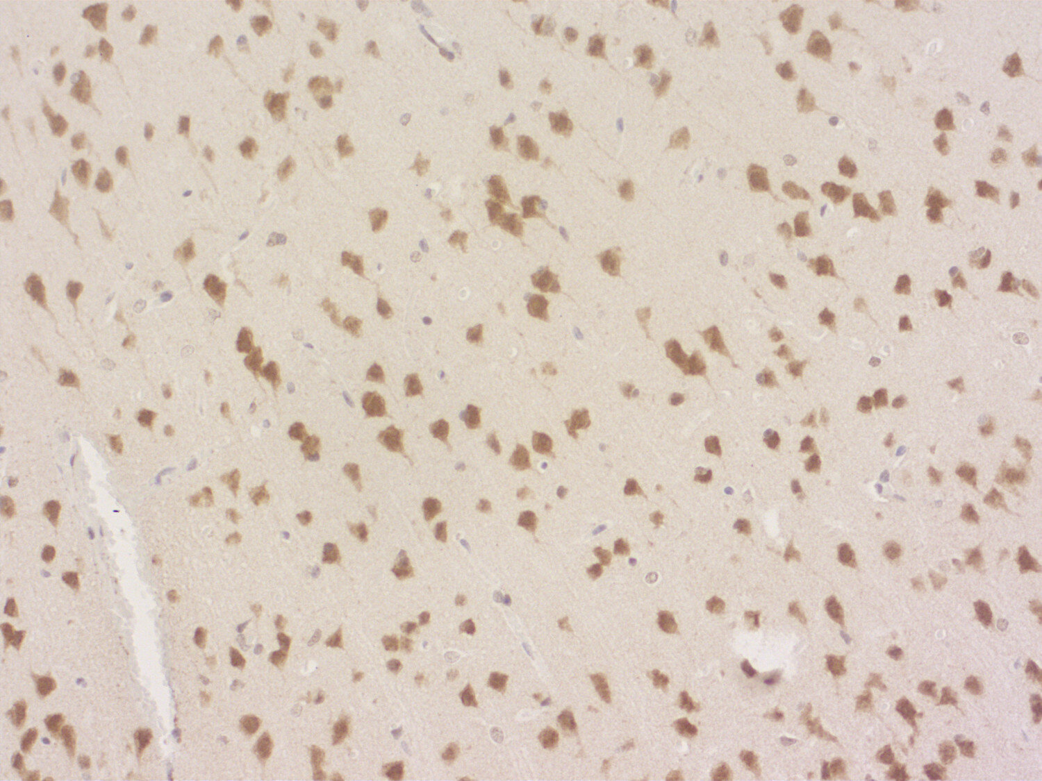
IHC: 1 : 500 gallery  
IHC-P: 1 : 100 gallery  

Western blot (WB); separation of proteins by PAGE and subsequent transfer to a membrane. Detection of target molecules is carried out with antibodies. Some antibodies require special sample preparation steps. For details, please refer to the “Remarks” section.

Immunoprecipitation (IP); Immunoisolation or pulldown of a target molecule using an antibody. For details and product specific hints, please refer to the ”Remarks” section.

Immunocytochemistry (ICC) on 4% PFA fixed cells. Immunoreactivity is usually revealed by fluorescence. Some antibodies require special fixation methods. For details, please refer to the “Remarks” section.

Immunohistochemistry (IHC) on 4% PFA perfusion fixed tissue with 24h PFA post fixation. Immunoreactivity is usually revealed by fluorescence or a chromogenic substrate. Some antibodies require special fixation methods or antigen retrieval steps. For details, please refer to the ”Remarks” section.

Immunohistochemistry (IHC-P) of formalin fixed, paraffin embedded (FFPE) tissue (some antibodies require special antigen retrieval steps, please refer to the ”Remarks” section). Immunoreactivity is usually revealed by fluorescence or a chromogenic substrate.

Immunogen Rat FAAH 1 recombinant protein lacking the amino terminal transmembrane domain. (UniProt Id: O08914)
Reactivity Reacts with: mouse (O08914), rat (P97612).
Other species not tested yet.
Specificity K.O. validated PubMed: 35986066
Data sheet 469_003.pdf

References for FAAH1 - 469 003

Cannabinoid CB1 receptors regulate salivation.
Andreis K, Billingsley J, Naimi Shirazi K, Wager-Miller J, Johnson C, Bradshaw H, Straiker A
Scientific reports (2022) 121: 14182. 469 003 IHC; KO verified; tested species: mouse
Cat. No.: 469 003
Amount: 100 µl
Price: $380.00
Cannabinoid CB1 receptors regulate salivation.
Andreis K, Billingsley J, Naimi Shirazi K, Wager-Miller J, Johnson C, Bradshaw H, Straiker A
Scientific reports (2022) 121: 14182. 469 003 IHC; KO verified; tested species: mouse
Background

N-acyl amino acids are a group of bioactive lipids with transmitter function (1) that consist of a fatty acid tail conjugated to an amino acid head group (amidated lipids or fatty acid amides). Fatty-acid amide hydrolase 1 (FAAH 1) is an ER associated transmembrane protein (2) that catalyzes the hydrolysis and thereby inactivation of different endogenous amidated lipids to their corresponding fatty acids. Prominent examples are the appetite stimulating endocannabinoid anandamide (3) as well as oleamid, a fatty acid amide involved in sleep regulation (4). Intracellular, membrane located FAAH1 and the extracellular N-acyl amino acid synthase/hydrolase PM20D1 cooperate in the hydrolysis of amino acid-conjugated fatty acids and show overlapping but distinct substrate specificity (2).