Tailor-made Antibodies
and Tools for Life Science
Home | | | | | Technical Support

Opalin antibody - 457 011

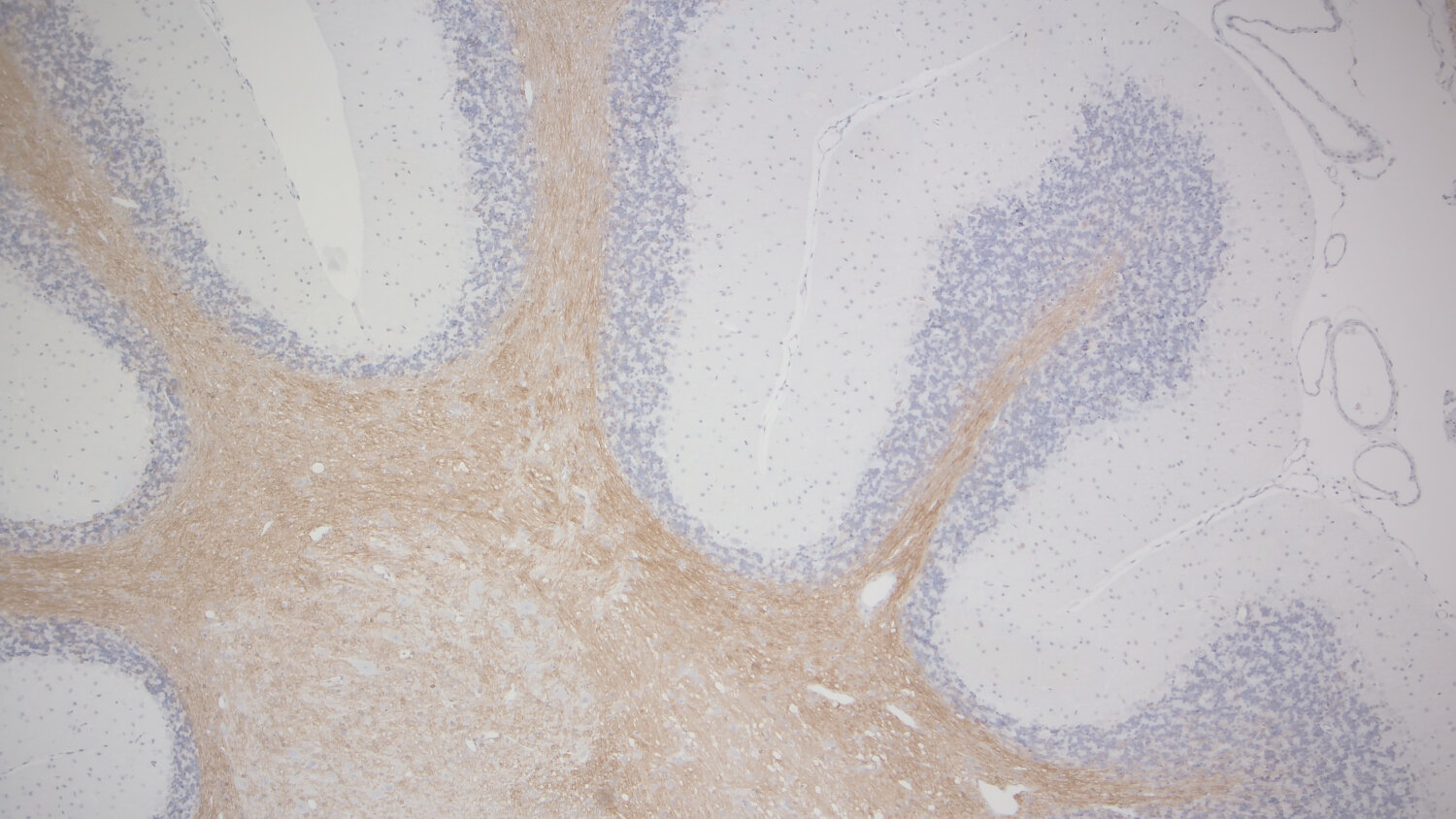
Opalin is a specific marker for myelinating oligodendrocytes
Mouse monoclonal purified IgG
Cat. No.: 457 011
Amount: 100 µg
Price: $420.00
Cat. No. 457 011 100 µg purified IgG, lyophilized. Albumin and azide were added for stabilization. For reconstitution add 100 µl H2O to get a 1mg/ml solution in PBS. Then aliquot and store at -20°C to -80°C until use.
Antibodies should be stored at +4°C when still lyophilized. Do not freeze!
Applications
 
WB: 1 : 1000 (AP staining) gallery  
IP: yes
ICC: 1 : 500 gallery  
IHC: 1 : 500 gallery  
IHC-P: 1 : 500 up to 1 : 2000 gallery  

Western blot (WB); separation of proteins by PAGE and subsequent transfer to a membrane. Detection of target molecules is carried out with antibodies. Some antibodies require special sample preparation steps. For details, please refer to the “Remarks” section.

Immunoprecipitation (IP); Immunoisolation or pulldown of a target molecule using an antibody. For details and product specific hints, please refer to the ”Remarks” section.

Immunocytochemistry (ICC) on 4% PFA fixed cells. Immunoreactivity is usually revealed by fluorescence. Some antibodies require special fixation methods. For details, please refer to the “Remarks” section.

Immunohistochemistry (IHC) on 4% PFA perfusion fixed tissue with 24h PFA post fixation. Immunoreactivity is usually revealed by fluorescence or a chromogenic substrate. Some antibodies require special fixation methods or antigen retrieval steps. For details, please refer to the ”Remarks” section.

Immunohistochemistry (IHC-P) of formalin fixed, paraffin embedded (FFPE) tissue (some antibodies require special antigen retrieval steps, please refer to the ”Remarks” section). Immunoreactivity is usually revealed by fluorescence or a chromogenic substrate.

Clone SY-301H8E4
Subtype IgG2a (κ light chain)
Immunogen Recombinant protein corresponding to AA 52 to 143 from mouse Opalin (UniProt Id: Q7M750)
Reactivity Reacts with: mouse (Q7M750), rat (Q56A26), human (Q96PE5).
Other species not tested yet.
Data sheet Datasheet 457_011
Cat. No.: 457 011
Amount: 100 µg
Price: $420.00
Background

Opalin also called Tmem10 is a transmembrane protein detected specifically in mammalian oligodendrocytes. Opalin homologs are found only in mammals and not in the genome sequences of other animal classes (1). Deficient mice are born the expected Mendelian ratio and have a normal body shape and weight. No obvious abnormalities in gross anatomy or major myelin protein components nor in the compartment of myelinated axons and oligodendrocyte maturation. Nevertheless, deficient mice display increased exploratory activity in a novel environment (2).

Certificates

ISO 9001 2015 Quality Management System and Green Lab Platinum certification level for sustaining laboratory processes.

Newsletter

Sign up for our newsletter and get the latest updates and news.
 

Please provide a valid E-Mail-Address
Please provide a valid First name
Please provide a valid Last name