Tailor-made Antibodies
and Tools for Life Science
Home | | | | | Technical Support

Opalin antibody - 457 008

Opalin is a specific marker for myelinating oligodendrocytes
Rabbit monoclonal recombinant IgG
Cat. No.: 457 008
Amount: 50 µg
Price: $420.00
Cat. No. 457 008 50 µg purified recombinant IgG, lyophilized. Albumin and azide were added for stabilization. For reconstitution add 50 µl H2O to get a 1mg/ml solution in PBS. Then aliquot and store at -20°C to -80°C until use.
Antibodies should be stored at +4°C when still lyophilized. Do not freeze!
Applications
 
WB: 1 : 1000 up to 1 : 2000 (AP staining) gallery  
IP: yes
ICC: 1 : 500 up to 1 : 1000 gallery  
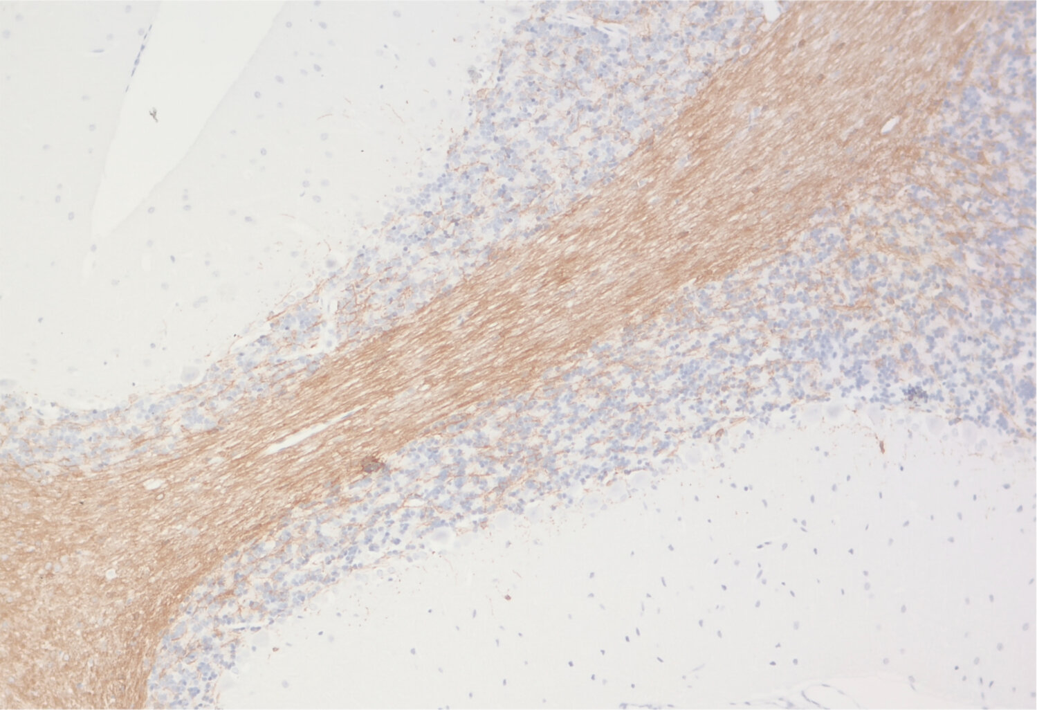
IHC: 1 : 500 up to 1 : 1000 gallery  
IHC-P (FFPE): 1 : 1000 up to 1 : 4000 gallery  

Western blot (WB); separation of proteins by PAGE and subsequent transfer to a membrane. Detection of target molecules is carried out with antibodies. Some antibodies require special sample preparation steps. For details, please refer to the “Remarks” section.

Immunoprecipitation (IP); Immunoisolation or pulldown of a target molecule using an antibody. For details and product specific hints, please refer to the ”Remarks” section.

Immunocytochemistry (ICC) on 4% PFA fixed cells. Immunoreactivity is usually revealed by fluorescence. Some antibodies require special fixation methods. For details, please refer to the “Remarks” section.

Immunohistochemistry (IHC) on 4% PFA perfusion fixed tissue with 24h PFA post fixation. Immunoreactivity is usually revealed by fluorescence or a chromogenic substrate. Some antibodies require special fixation methods or antigen retrieval steps. For details, please refer to the ”Remarks” section.

Immunohistochemistry (IHC-P) of formalin fixed, paraffin embedded (FFPE) tissue (some antibodies require special antigen retrieval steps, please refer to the ”Remarks” section). Immunoreactivity is usually revealed by fluorescence or a chromogenic substrate.

Clone Rb301H8
Subtype IgG1 (κ light chain)
Immunogen Recombinant protein corresponding to AA 52 to 143 from mouse Opalin (UniProt Id: Q7M750)
Reactivity Reacts with: mouse (Q7M750), rat (Q56A26), human (Q96PE5).
Other species not tested yet.
Remarks

This antibody is a chimeric antibody based on the monoclonal mouse antibody  SY-301H8E4. The constant regions of the heavy and light chains have been replaced by rabbit specific sequences. The antibody can therefore be used with standard anti-rabbit secondary reagents. The antibody has been expressed in mammalian cells

Data sheet Datasheet 457_008
Cat. No.: 457 008
Amount: 50 µg
Price: $420.00
Background

Opalin also called Tmem10 is a transmembrane protein detected specifically in mammalian oligodendrocytes. Opalin homologs are found only in mammals and not in the genome sequences of other animal classes (1). Deficient mice are born the expected Mendelian ratio and have a normal body shape and weight. No obvious abnormalities in gross anatomy or major myelin protein components nor in the compartment of myelinated axons and oligodendrocyte maturation. Nevertheless, deficient mice display increased exploratory activity in a novel environment (2).

Certificates

ISO 9001 2015 Quality Management System and Green Lab Platinum certification level for sustaining laboratory processes.

Newsletter

Sign up for our newsletter and get the latest updates and news.
 

Please provide a valid E-Mail-Address
Please provide a valid First name
Please provide a valid Last name