Tailor-made Antibodies
and Tools for Life Science
Home | | | | | Technical Support

Neurocan antibody - 453 004

Neurocan is a brain specific chondroitin sulfate proteoglycan
Guinea pig polyclonal antiserum
Cat. No.: 453 004
Amount: 100 µl
Price: $370.00
Cat. No. 453 004 100 µl antiserum, lyophilized. For reconstitution add 100 µl H2O, then aliquot and store at -20°C until use.
Antibodies should be stored at +4°C when still lyophilized. Do not freeze!
Applications
 
WB: not tested yet
IP: not tested yet
ICC: 1 : 500 up to 1 : 1000 gallery  
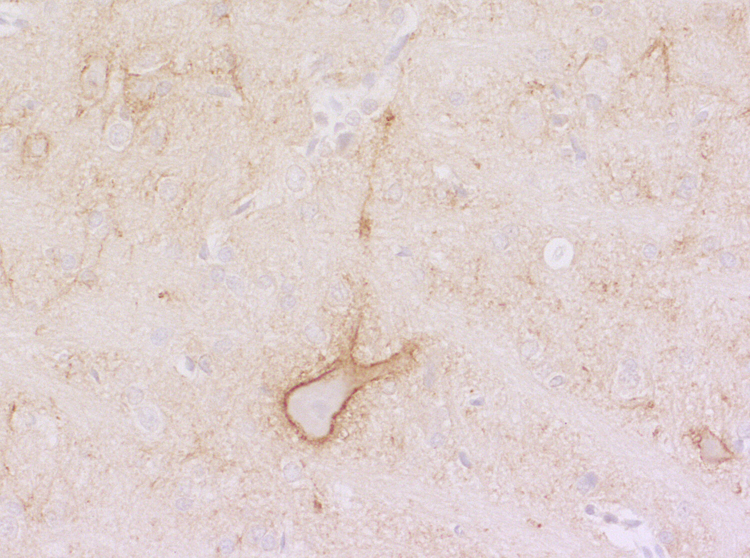
IHC: 1 : 500 gallery  
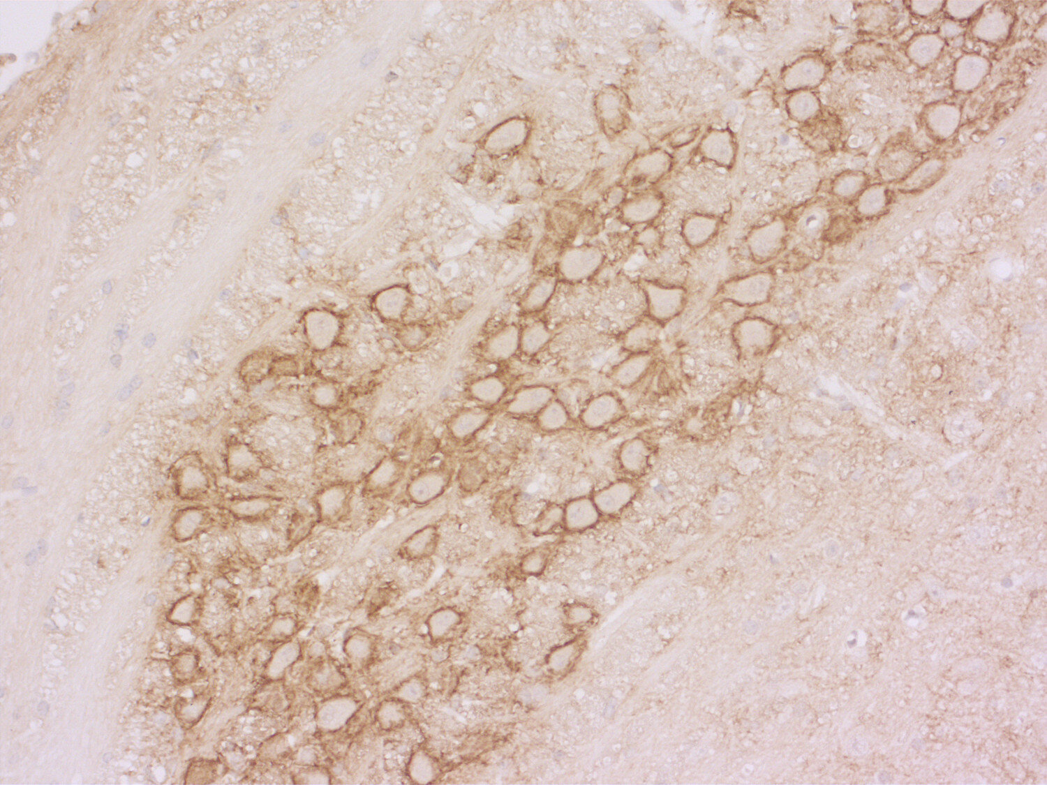
IHC-P (FFPE): 1 : 250 up to 1 : 500 gallery  

Western blot (WB); separation of proteins by PAGE and subsequent transfer to a membrane. Detection of target molecules is carried out with antibodies. Some antibodies require special sample preparation steps. For details, please refer to the “Remarks” section.

Immunoprecipitation (IP); Immunoisolation or pulldown of a target molecule using an antibody. For details and product specific hints, please refer to the ”Remarks” section.

Immunocytochemistry (ICC) on 4% PFA fixed cells. Immunoreactivity is usually revealed by fluorescence. Some antibodies require special fixation methods. For details, please refer to the “Remarks” section.

Immunohistochemistry (IHC) on 4% PFA perfusion fixed tissue with 24h PFA post fixation. Immunoreactivity is usually revealed by fluorescence or a chromogenic substrate. Some antibodies require special fixation methods or antigen retrieval steps. For details, please refer to the ”Remarks” section.

Immunohistochemistry (IHC-P) of formalin fixed, paraffin embedded (FFPE) tissue (some antibodies require special antigen retrieval steps, please refer to the ”Remarks” section). Immunoreactivity is usually revealed by fluorescence or a chromogenic substrate.

Immunogen Synthetic peptide corresponding to AA 489 to 505 from mouse Neurocan (UniProt Id: P55066)
Reactivity Reacts with: rat (P55067), mouse (P55066).
Other species not tested yet.
Specificity Specific for full length Neurocan and the N-terminal fragment (CSPG-190). Does not detect the c-terminal fragment (CSPG-150).
Matching control protein/peptide 453-0P
Data sheet Datasheet 453_004
Cat. No.: 453 004
Amount: 100 µl
Price: $370.00
Background

Neurocan is a secreted brain-specific chondroitin sulfate proteoglycan (CSPG) whose expression and proteolytic cleavage are developmentally regulated (1). It belongs to the lectican family, is a component of the extracellular matrix and interacts with numerous molecules like Hyalorunan, Tenascins, N-CAM and more (2).
It is processed into a C-terminal (CSPG-150) and an N-terminal (CSPG-190) core glycoprotein which are the major forms occuring in adult rodent brain.
In young brains unprocessed Neurocan can also be detected together with both proteolytic products while its expression drops during development and is hardly detectable In adult brains (3).

Certificates

ISO 9001 2015 Quality Management System and Green Lab Platinum certification level for sustaining laboratory processes.

Newsletter

Sign up for our newsletter and get the latest updates and news.
 

Please provide a valid E-Mail-Address
Please provide a valid First name
Please provide a valid Last name