Tailor-made Antibodies
and Tools for Life Science
Home | | | | | Technical Support

Septin11 antibody - 440 003 K.D.

Septin11 is a cytoskeleton GTPase expressed in brain
Rabbit polyclonal purified antibody
Cat. No.: 440 003
Amount: 50 µg
Price: $380.00
Cat. No. 440 003 50 µg specific antibody, lyophilized. Affinity purified with the immunogen. Albumin and azide were added for stabilization. For reconstitution add 50 µl H2O to get a 1mg/ml solution in PBS. Then aliquot and store at -20°C to -80°C until use.
Antibodies should be stored at +4°C when still lyophilized. Do not freeze!
Applications
 
WB: 1 : 1000 (AP staining) gallery  
IP: not tested yet
ICC: 1 : 500 gallery  
IHC: 1 : 500 gallery  
IHC-P (FFPE): 1 : 1000 gallery  
EM: external data (see remarks)

Western blot (WB); separation of proteins by PAGE and subsequent transfer to a membrane. Detection of target molecules is carried out with antibodies. Some antibodies require special sample preparation steps. For details, please refer to the “Remarks” section.

Immunoprecipitation (IP); Immunoisolation or pulldown of a target molecule using an antibody. For details and product specific hints, please refer to the ”Remarks” section.

Immunocytochemistry (ICC) on 4% PFA fixed cells. Immunoreactivity is usually revealed by fluorescence. Some antibodies require special fixation methods. For details, please refer to the “Remarks” section.

Immunohistochemistry (IHC) on 4% PFA perfusion fixed tissue with 24h PFA post fixation. Immunoreactivity is usually revealed by fluorescence or a chromogenic substrate. Some antibodies require special fixation methods or antigen retrieval steps. For details, please refer to the ”Remarks” section.

Immunohistochemistry (IHC-P) of formalin fixed, paraffin embedded (FFPE) tissue (some antibodies require special antigen retrieval steps, please refer to the ”Remarks” section). Immunoreactivity is usually revealed by fluorescence or a chromogenic substrate.

Electron microscopy (EM) is a microscopy technique that detects the scatter of electrons through thin tissue sections. In Immuno-EM the antigen is usually revealed by colloidal gold conjugated secondary antibodies linking electron dense structures to antigen-bound primary antibodies.

Immunogen Synthetic peptide corresponding to AA 1 to 14 from rat Septin11 (UniProt Id: B3GNI6)
Reactivity Reacts with: rat (B3GNI6), mouse (Q8C1B7).
Other species not tested yet.
Specificity K.D. validated PubMed: 19380581
Matching control protein/peptide 440-0P
Remarks

EM: This antibody has been successfully applied and published for this method by customers (see application-specific references).

Data sheet Datasheet 440_003

References for Septin11 - 440 003

Septin 11 is present in GABAergic synapses and plays a functional role in the cytoarchitecture of neurons and GABAergic synaptic connectivity.
Li X, Serwanski DR, Miralles CP, Nagata K, De Blas AL
The Journal of biological chemistry (2009) 28425: 17253-65. 440 003 WB, ICC, IHC, EM; KD verified; tested species: rat
Septin 11 is present in GABAergic synapses and plays a functional role in the cytoarchitecture of neurons and GABAergic synaptic connectivity.
Li X, Serwanski DR, Miralles CP, Nagata K, De Blas AL
The Journal of biological chemistry (2009) 28425: 17253-65. 440 003 WB, ICC, IHC, EM; KD verified; tested species: rat
Septin 11 is present in GABAergic synapses and plays a functional role in the cytoarchitecture of neurons and GABAergic synaptic connectivity.
Li X, Serwanski DR, Miralles CP, Nagata K, De Blas AL
The Journal of biological chemistry (2009) 28425: 17253-65. 440 003 WB, ICC, IHC, EM; KD verified; tested species: rat
Septin 11 is present in GABAergic synapses and plays a functional role in the cytoarchitecture of neurons and GABAergic synaptic connectivity.
Li X, Serwanski DR, Miralles CP, Nagata K, De Blas AL
The Journal of biological chemistry (2009) 28425: 17253-65. 440 003 WB, ICC, IHC, EM; KD verified; tested species: rat
Cat. No.: 440 003
Amount: 50 µg
Price: $380.00
Septin 11 is present in GABAergic synapses and plays a functional role in the cytoarchitecture of neurons and GABAergic synaptic connectivity.
Li X, Serwanski DR, Miralles CP, Nagata K, De Blas AL
The Journal of biological chemistry (2009) 28425: 17253-65. 440 003 WB, ICC, IHC, EM; KD verified; tested species: rat
Septin 11 is present in GABAergic synapses and plays a functional role in the cytoarchitecture of neurons and GABAergic synaptic connectivity.
Li X, Serwanski DR, Miralles CP, Nagata K, De Blas AL
The Journal of biological chemistry (2009) 28425: 17253-65. 440 003 WB, ICC, IHC, EM; KD verified; tested species: rat
Septin 11 is present in GABAergic synapses and plays a functional role in the cytoarchitecture of neurons and GABAergic synaptic connectivity.
Li X, Serwanski DR, Miralles CP, Nagata K, De Blas AL
The Journal of biological chemistry (2009) 28425: 17253-65. 440 003 WB, ICC, IHC, EM; KD verified; tested species: rat
Septin 11 is present in GABAergic synapses and plays a functional role in the cytoarchitecture of neurons and GABAergic synaptic connectivity.
Li X, Serwanski DR, Miralles CP, Nagata K, De Blas AL
The Journal of biological chemistry (2009) 28425: 17253-65. 440 003 WB, ICC, IHC, EM; KD verified; tested species: rat
Background

Septins are a family of conserved cytoskeletal GTPases implicated in a variety of cellular functions such as cytokinesis and vesicle trafficking. They polymerize into heterooligomeric protein complexes that form filaments, and can associate with cellular membranes, actin filaments and microtubules.

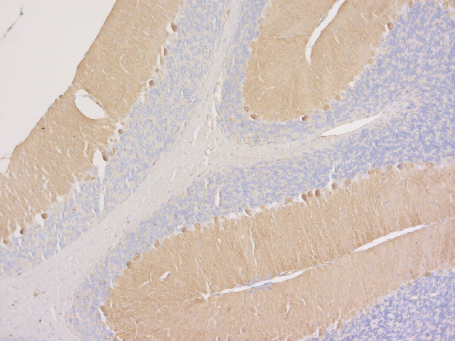
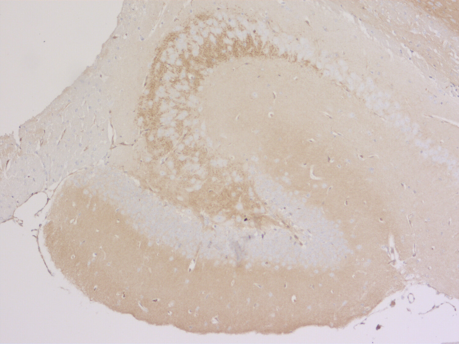
Septin 11 is expressed throughout the brain. Highest levels can be detected in the spiny branchlets of Purkinje cells, in the molecular layer of cerebellum and in the olfactory bulb.

Septin 11 probably plays an important role in the cytoarchitecture of neurons, including dendritic arborization and dendritic spines.

A quite high degree of co-localization of Septin 11 with GABAergic synapses suggests its involvement in GABAergic synaptic connectivity.

Certificates

ISO 9001 2015 Quality Management System and Green Lab Platinum certification level for sustaining laboratory processes.

Newsletter

Sign up for our newsletter and get the latest updates and news.
 

Please provide a valid E-Mail-Address
Please provide a valid First name
Please provide a valid Last name