Tailor-made Antibodies
and Tools for Life Science
Home | | | | | Technical Support

SGT2 antibody - 430 003

SGT2 is a cochaperone of Hsc70
Rabbit polyclonal purified antibody
Cat. No.: 430 003
Amount: 50 µg
Price: $380.00
Cat. No. 430 003 50 µg specific antibody, lyophilized. Affinity purified with the immunogen. Albumin and azide were added for stabilization. For reconstitution add 50 µl H2O to get a 1mg/ml solution in PBS. Then aliquot and store at -20°C to -80°C until use.
Antibodies should be stored at +4°C when still lyophilized. Do not freeze!
Applications
 
WB: 1 : 1000 (AP staining) gallery  
ICC: not tested yet
IHC: not tested yet
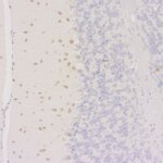
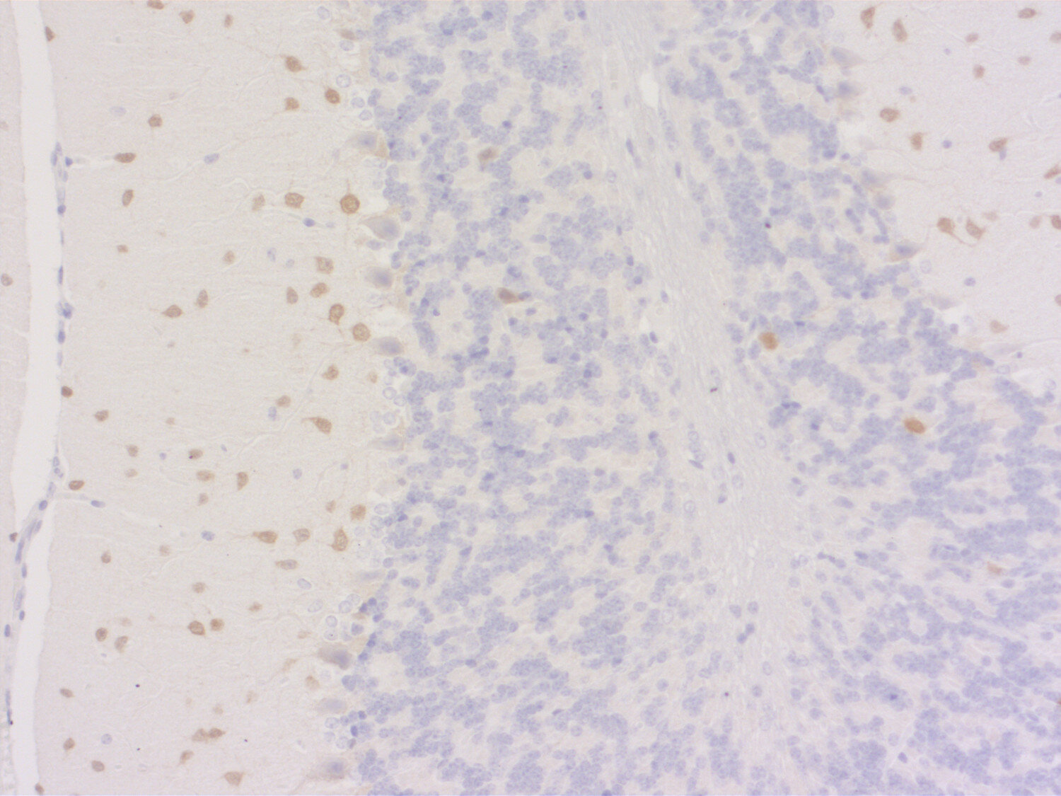
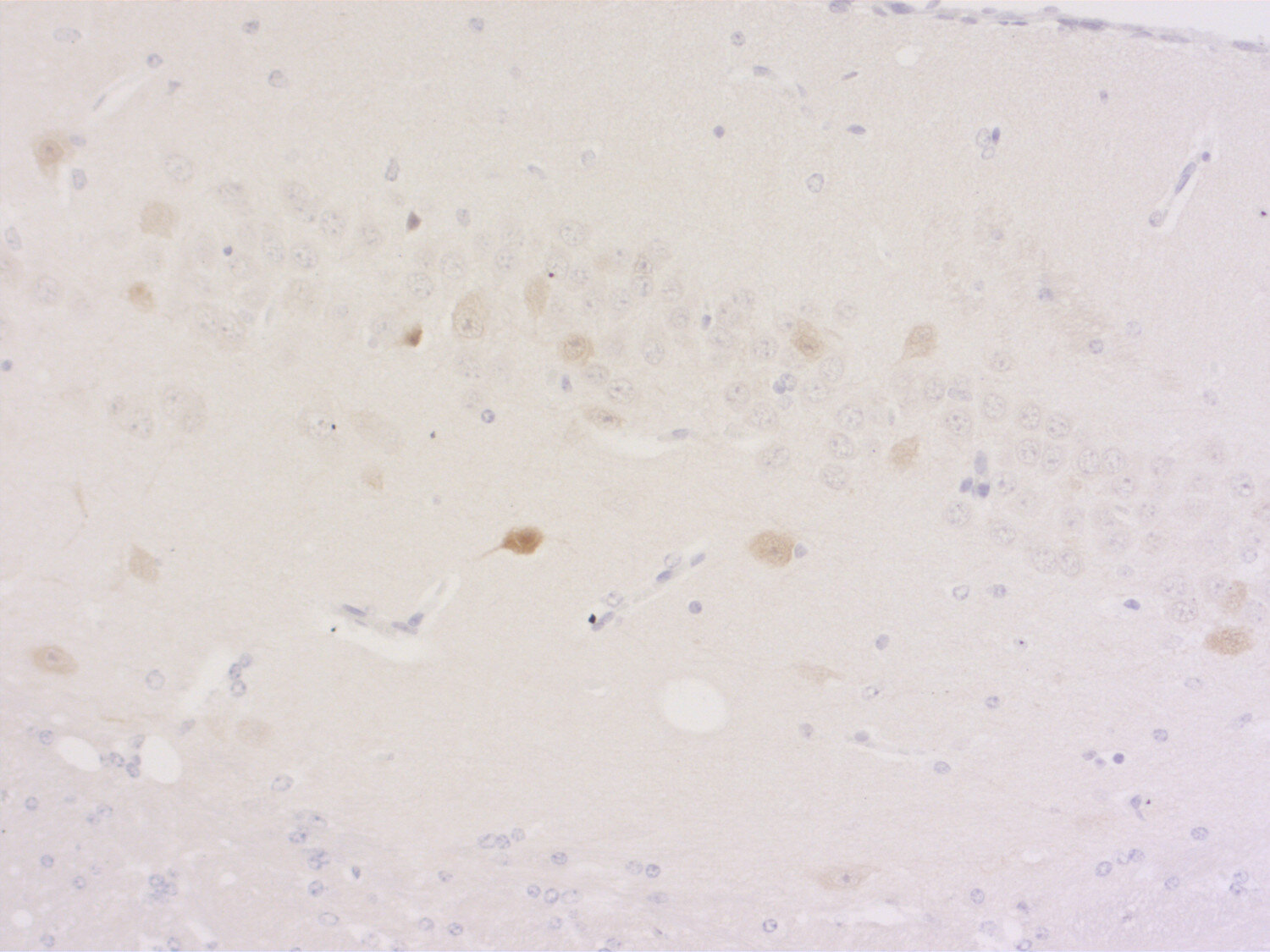
IHC-P (FFPE): 1 : 1000 up to 1 : 2000 gallery  

Western blot (WB); separation of proteins by PAGE and subsequent transfer to a membrane. Detection of target molecules is carried out with antibodies. Some antibodies require special sample preparation steps. For details, please refer to the “Remarks” section.

Immunocytochemistry (ICC) on 4% PFA fixed cells. Immunoreactivity is usually revealed by fluorescence. Some antibodies require special fixation methods. For details, please refer to the “Remarks” section.

Immunohistochemistry (IHC) on 4% PFA perfusion fixed tissue with 24h PFA post fixation. Immunoreactivity is usually revealed by fluorescence or a chromogenic substrate. Some antibodies require special fixation methods or antigen retrieval steps. For details, please refer to the ”Remarks” section.

Immunohistochemistry (IHC-P) of formalin fixed, paraffin embedded (FFPE) tissue (some antibodies require special antigen retrieval steps, please refer to the ”Remarks” section). Immunoreactivity is usually revealed by fluorescence or a chromogenic substrate.

Immunogen Synthetic peptide corresponding to AA 67 to 90 from rat SGT2 (UniProt Id: Q80W98)
Reactivity Reacts with: rat (Q80W98), mouse (Q8VD33).
Other species not tested yet.
Matching control protein/peptide 430-0P
Data sheet Datasheet 430_003
Cat. No.: 430 003
Amount: 50 µg
Price: $380.00
Background

Two isoforms of Small glutamine-rich tetratricopeptide repeat-containing proteins (SGTs) have been described. SGT 1 also named aSGT or SGT a is ubiquitously expressed whereas SGT 2 also known as bSGT or SGT b predominatly occurs in brain. SGTs are cochaperones of heat shock cognate protein of 70 kDa (Hsc70).

Certificates

ISO 9001 2015 Quality Management System and Green Lab Platinum certification level for sustaining laboratory processes.

Newsletter

Sign up for our newsletter and get the latest updates and news.
 

Please provide a valid E-Mail-Address
Please provide a valid First name
Please provide a valid Last name