Tailor-made Antibodies
and Tools for Life Science
Home | | | | | Technical Support

FTO antibody - 428 003 K.D.

A Fat mass and obesity-associated protein
Rabbit polyclonal purified antibody
Cat. No.: 428 003
Amount: 50 µg
Price: $380.00
Cat. No. 428 003 50 µg specific antibody, lyophilized. Affinity purified with the immunogen. Albumin and azide were added for stabilization. For reconstitution add 50 µl H2O to get a 1mg/ml solution in PBS. Then aliquot and store at -20°C to -80°C until use.
Antibodies should be stored at +4°C when still lyophilized. Do not freeze!
Applications
 
WB: 1 : 2000 up to 1 : 10000 (AP staining) gallery  
IP: not tested yet
ICC: 1 : 500 gallery  
IHC: not tested yet
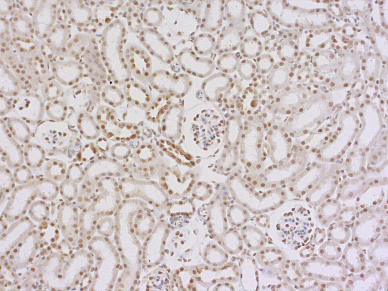
IHC-P: 1 : 1000 gallery  

Western blot (WB); separation of proteins by PAGE and subsequent transfer to a membrane. Detection of target molecules is carried out with antibodies. Some antibodies require special sample preparation steps. For details, please refer to the “Remarks” section.

Immunoprecipitation (IP); Immunoisolation or pulldown of a target molecule using an antibody. For details and product specific hints, please refer to the ”Remarks” section.

Immunocytochemistry (ICC) on 4% PFA fixed cells. Immunoreactivity is usually revealed by fluorescence. Some antibodies require special fixation methods. For details, please refer to the “Remarks” section.

Immunohistochemistry (IHC) on 4% PFA perfusion fixed tissue with 24h PFA post fixation. Immunoreactivity is usually revealed by fluorescence or a chromogenic substrate. Some antibodies require special fixation methods or antigen retrieval steps. For details, please refer to the ”Remarks” section.

Immunohistochemistry (IHC-P) of formalin fixed, paraffin embedded (FFPE) tissue (some antibodies require special antigen retrieval steps, please refer to the ”Remarks” section). Immunoreactivity is usually revealed by fluorescence or a chromogenic substrate.

Immunogen Recombinant protein corresponding to AA 2 to 67 from mouse FTO (UniProt Id: Q8BGW1)
Reactivity Reacts with: mouse (Q8BGW1), rat (Q2A121).
Other species not tested yet.
Predicted to cross-react with human (Q9C0B1) due to high sequence homology.
Specificity In human it detects exclusively isoform 1. Isoforms 2, 3 and 4 lack the N-terminus that contains the antibody epitope. In mouse and rat these isoforms lacking the N-terminus have not been described. K.D. validated
Data sheet Datasheet 428_003
Cat. No.: 428 003
Amount: 50 µg
Price: $380.00
Background

Fat mass and obesity-associated protein also known as alpha-ketoglutarate-dependent dioxygenase FTO is an RNA demethylase that mediates oxidative demethylation of different RNA species, such as mRNAs, tRNAs and snRNAs. It has been shown to act as a regulator of fat mass, adipogenesis and energy homeostasis.  FTO specifically demethylates N6-methyladenosine (m6A) RNA, the most prevalent internal modification of messenger RNA (mRNA) in higher eukaryotes.

Certificates

ISO 9001 2015 Quality Management System and Green Lab Platinum certification level for sustaining laboratory processes.

Newsletter

Sign up for our newsletter and get the latest updates and news.
 

Please provide a valid E-Mail-Address
Please provide a valid First name
Please provide a valid Last name