Tailor-made Antibodies
and Tools for Life Science
Home | | | | | Technical Support

Acetylcholinesterase (AChE) antibody - 425 011

AChE terminates the signal transmission at the cholinergic synapses
Mouse monoclonal purified IgG
Cat. No.: 425 011
Amount: 100 µg
Price: $420.00
Cat. No. 425 011 100 µg purified IgG, lyophilized. Albumin and azide were added for stabilization. For reconstitution add 100 µl H2O to get a 1mg/ml solution in PBS. Then aliquot and store at -20°C to -80°C until use.
Antibodies should be stored at +4°C when still lyophilized. Do not freeze!
Applications
 
WB: not tested yet
IP: not tested yet
ICC: not tested yet
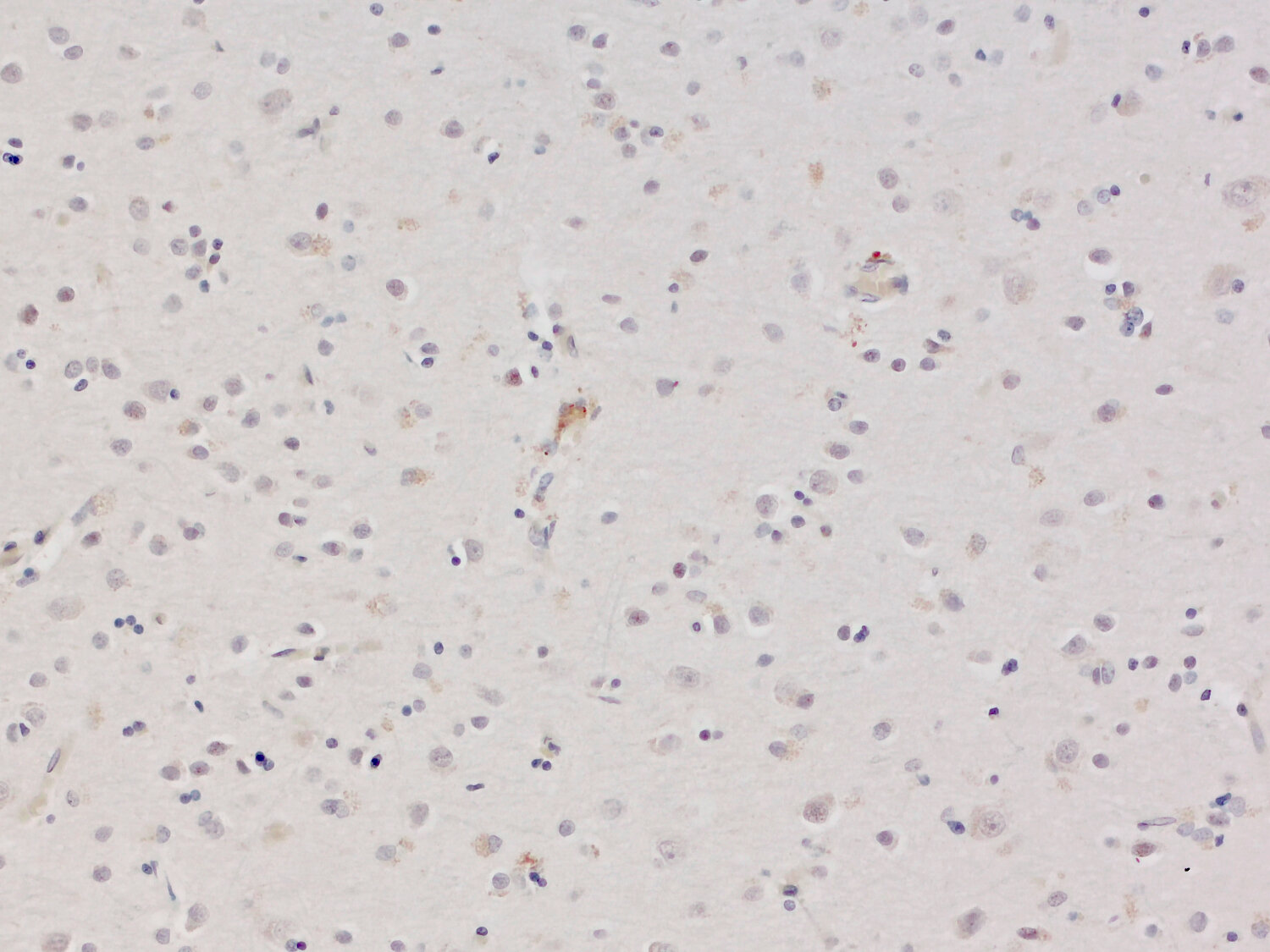
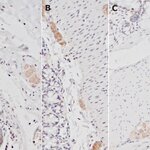
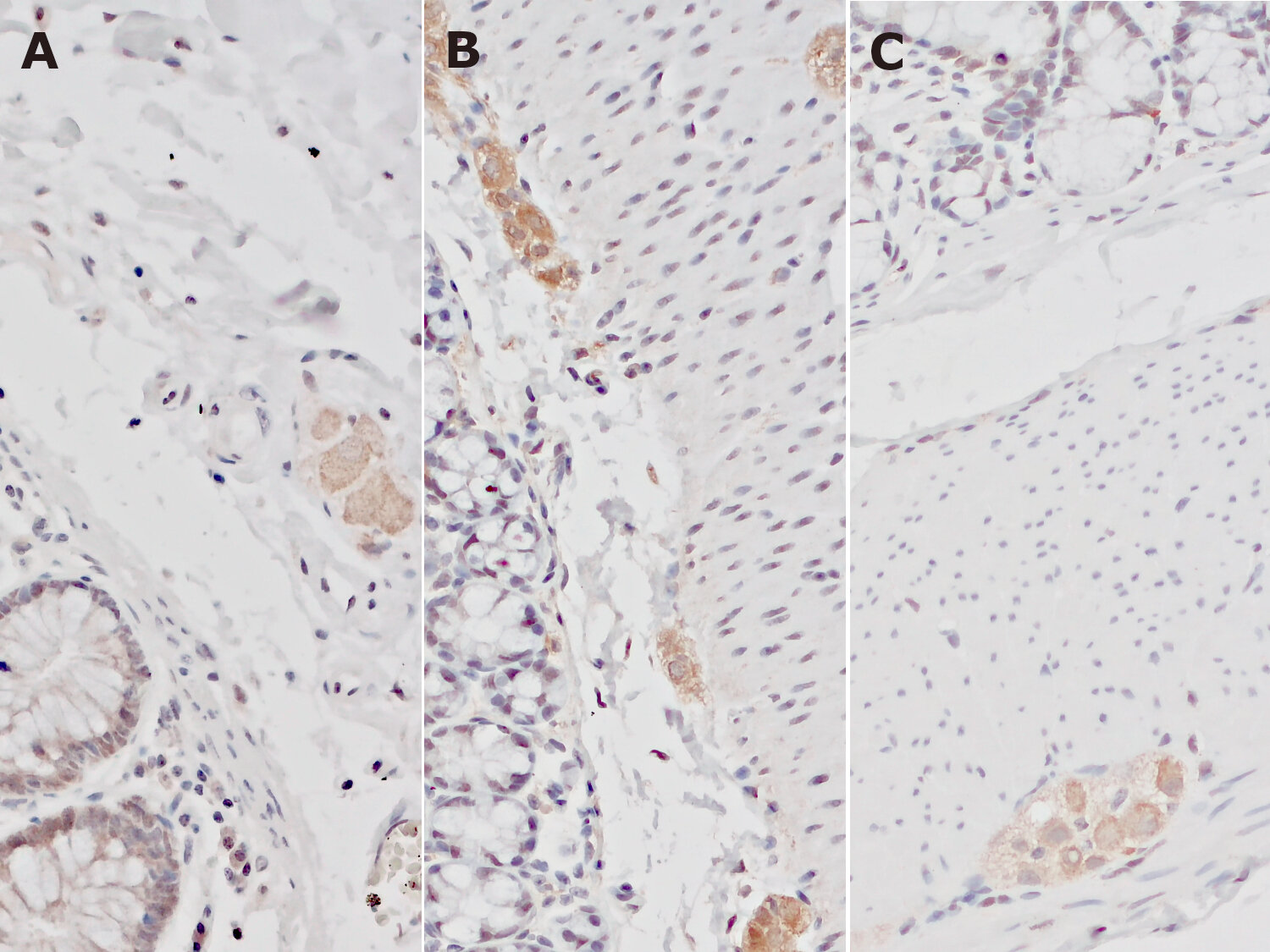
IHC: 1 : 500 (see remarks) gallery  
IHC-P: 1 : 500 up to 1 : 1000 gallery  

Western blot (WB); separation of proteins by PAGE and subsequent transfer to a membrane. Detection of target molecules is carried out with antibodies. Some antibodies require special sample preparation steps. For details, please refer to the “Remarks” section.

Immunoprecipitation (IP); Immunoisolation or pulldown of a target molecule using an antibody. For details and product specific hints, please refer to the ”Remarks” section.

Immunocytochemistry (ICC) on 4% PFA fixed cells. Immunoreactivity is usually revealed by fluorescence. Some antibodies require special fixation methods. For details, please refer to the “Remarks” section.

Immunohistochemistry (IHC) on 4% PFA perfusion fixed tissue with 24h PFA post fixation. Immunoreactivity is usually revealed by fluorescence or a chromogenic substrate. Some antibodies require special fixation methods or antigen retrieval steps. For details, please refer to the ”Remarks” section.

Immunohistochemistry (IHC-P) of formalin fixed, paraffin embedded (FFPE) tissue (some antibodies require special antigen retrieval steps, please refer to the ”Remarks” section). Immunoreactivity is usually revealed by fluorescence or a chromogenic substrate.

Clone 35F8E8
Subtype IgG2a (κ light chain)
Immunogen Recombinant protein corresponding to AA 489 to 614 from rat AChE (UniProt Id: P37136)
Reactivity Reacts with: mouse (P21836), rat (P37136), human (P07101).
Other species not tested yet.
Specificity Specific for AChE, may cross react to isoforms R and H.
Remarks

IHC: Antigen retrieval with citrate buffer pH 6 is required.

Data sheet 425_011.pdf
Cat. No.: 425 011
Amount: 100 µg
Price: $420.00
Background

Acetylcholinesterase also known as AChE or Acetylhydrolase, hydrolyzes the neurotransmitter acetylcholine at neuromuscular junctions and cholinergic synapses in the brain and thus terminates signal transmission. The protein is also found on the membranes of erythrocytes.

Acetylcholinesterase is a globular, glycosylated protein that lacks a transmembrane peptide-anchor region and occurs as several isoforms, originating from alternative splicing of the AChE mRNA.