Tailor-made Antibodies
and Tools for Life Science
Home | | | | | Technical Support

SENP1 antibody - 422 003

SENP1 is a SUMO specific protease
Rabbit polyclonal purified antibody
Cat. No.: 422 003
Amount: 50 µg
Price: $380.00
Cat. No. 422 003 50 µg specific antibody, lyophilized. Affinity purified with the immunogen. Albumin was added for stabilization. For reconstitution add 50 µl H2O to get a 1mg/ml solution in PBS. Then aliquot and store at -20°C to -80°C until use.
Antibodies should be stored at +4°C when still lyophilized. Do not freeze!
Applications
 
WB: 1 : 1000 up to 1 : 5000 (AP staining) gallery  
IP: not tested yet
ICC: not tested yet
IHC: not tested yet
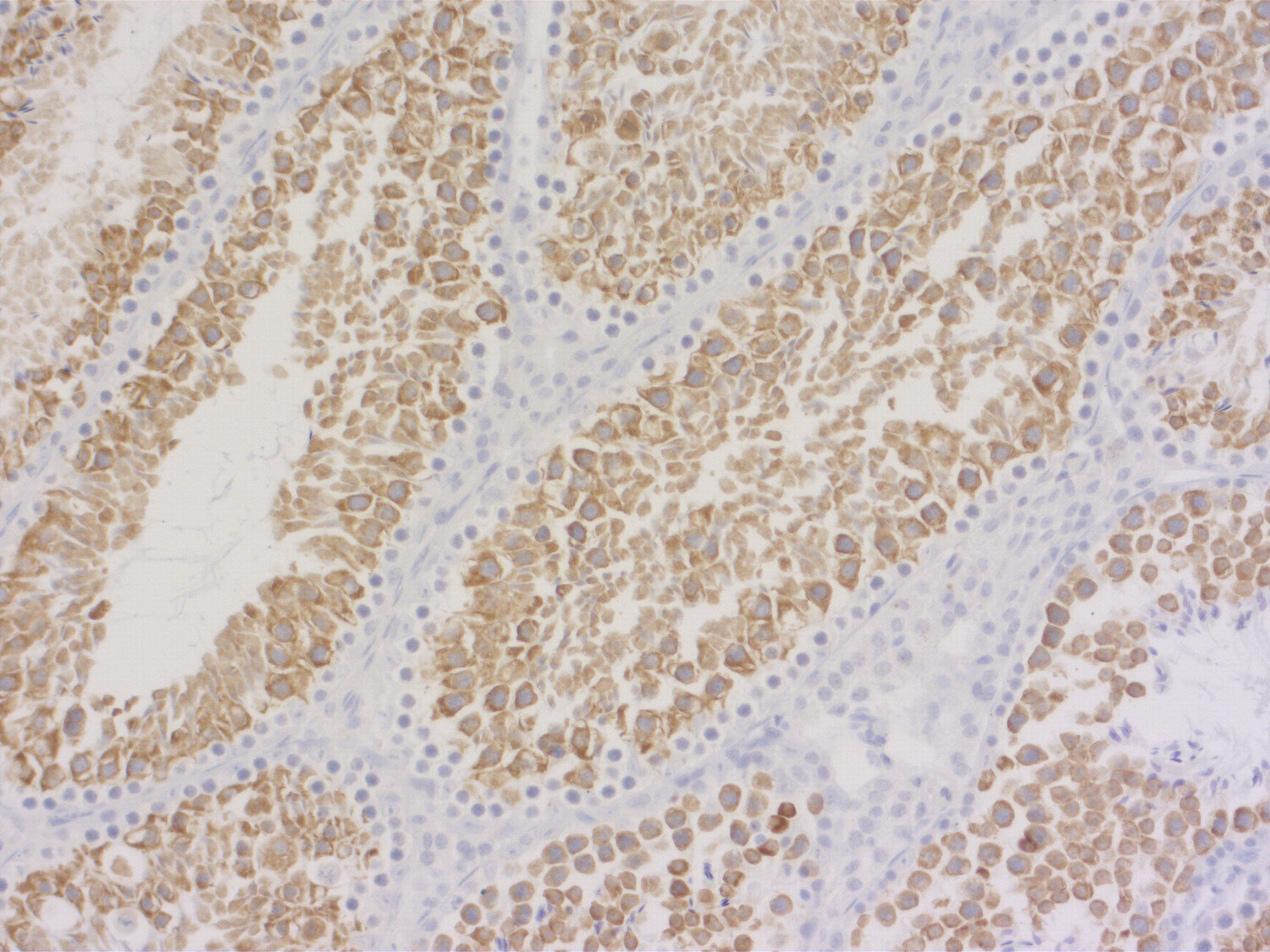
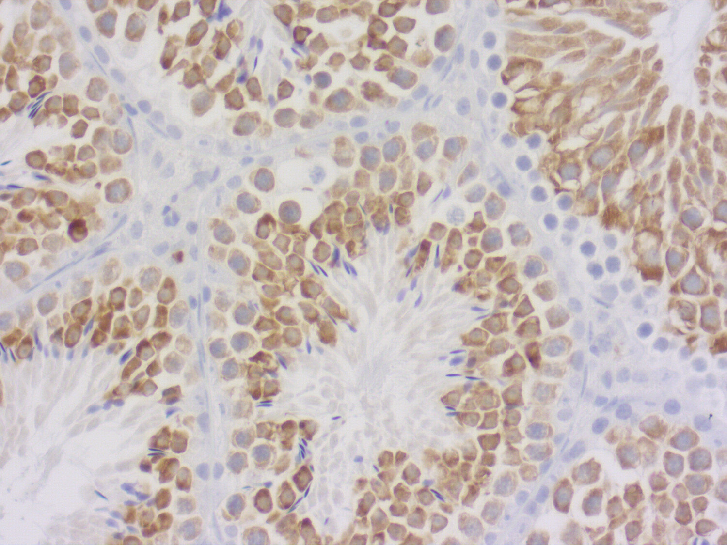
IHC-P (FFPE): 1 : 1000 up to 1 : 2000 gallery  

Western blot (WB); separation of proteins by PAGE and subsequent transfer to a membrane. Detection of target molecules is carried out with antibodies. Some antibodies require special sample preparation steps. For details, please refer to the “Remarks” section.

Immunoprecipitation (IP); Immunoisolation or pulldown of a target molecule using an antibody. For details and product specific hints, please refer to the ”Remarks” section.

Immunocytochemistry (ICC) on 4% PFA fixed cells. Immunoreactivity is usually revealed by fluorescence. Some antibodies require special fixation methods. For details, please refer to the “Remarks” section.

Immunohistochemistry (IHC) on 4% PFA perfusion fixed tissue with 24h PFA post fixation. Immunoreactivity is usually revealed by fluorescence or a chromogenic substrate. Some antibodies require special fixation methods or antigen retrieval steps. For details, please refer to the ”Remarks” section.

Immunohistochemistry (IHC-P) of formalin fixed, paraffin embedded (FFPE) tissue (some antibodies require special antigen retrieval steps, please refer to the ”Remarks” section). Immunoreactivity is usually revealed by fluorescence or a chromogenic substrate.

Immunogen Synthetic peptide corresponding to AA 623 to 640 from mouse SENP1 (UniProt Id: P59110)
Reactivity Reacts with: mouse (P59110).
Other species not tested yet.
Matching control protein/peptide 422-0P
Data sheet Datasheet 422_003
Cat. No.: 422 003
Amount: 50 µg
Price: $380.00
Background

The Small ubiquitin-related modifiers SUMOs are ubiquitin-like proteins (UBLs) that can be conjugated to other proteins in a manner analogous to ubiquitin.

Modification of proteins with SUMOs requires a unique activating enzyme complex as well as a conjugation enzyme. An important step is the processing of longer precursors by SUMO-specific proteases, known as SENPs, which remove several C-terminal amino acids of SUMO to expose the Gly-Gly motif.

Certificates

ISO 9001 2015 Quality Management System and Green Lab Platinum certification level for sustaining laboratory processes.

Newsletter

Sign up for our newsletter and get the latest updates and news.
 

Please provide a valid E-Mail-Address
Please provide a valid First name
Please provide a valid Last name