Tailor-made Antibodies
and Tools for Life Science
Home | | | | | Technical Support

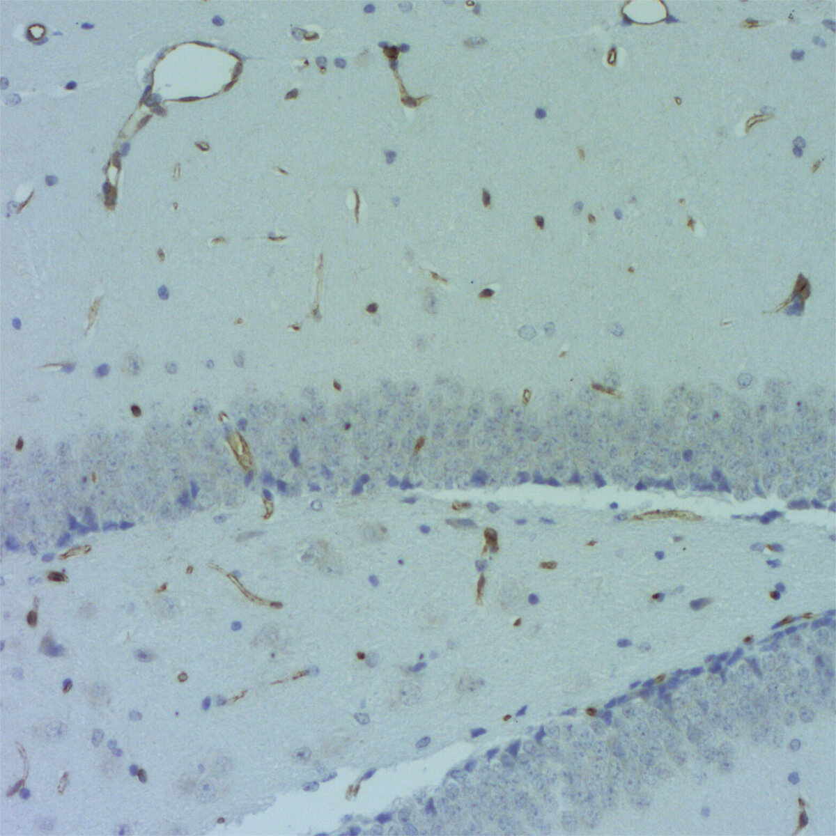
GLUT1 antibody - 419 005

GLUT1 is a major glucose transporter in the mammalian blood-brain barrier
Guinea pig polyclonal purified antibody
Cat. No.: 419 005
Amount: 50 µg
Price: $465.00
Cat. No. 419 005 50 µg specific antibody, lyophilized. Affinity purified with the immunogen. Albumin and azide were added for stabilization. For reconstitution add 50 µl H2O to get a 1mg/ml solution in PBS. Then aliquot and store at -20°C to -80°C until use.
Antibodies should be stored at +4°C when still lyophilized. Do not freeze!
Applications
 
WB: not recommended
IP: not tested yet
ICC: not tested yet
IHC: 1 : 500 (see remarks) gallery  
IHC-P: 1 : 100 gallery  
IHC-Fr: 1 : 500 (see remarks) gallery  

Western blot (WB); separation of proteins by PAGE and subsequent transfer to a membrane. Detection of target molecules is carried out with antibodies. Some antibodies require special sample preparation steps. For details, please refer to the “Remarks” section.

Immunoprecipitation (IP); Immunoisolation or pulldown of a target molecule using an antibody. For details and product specific hints, please refer to the ”Remarks” section.

Immunocytochemistry (ICC) on 4% PFA fixed cells. Immunoreactivity is usually revealed by fluorescence. Some antibodies require special fixation methods. For details, please refer to the “Remarks” section.

Immunohistochemistry (IHC) on 4% PFA perfusion fixed tissue with 24h PFA post fixation. Immunoreactivity is usually revealed by fluorescence or a chromogenic substrate. Some antibodies require special fixation methods or antigen retrieval steps. For details, please refer to the ”Remarks” section.

Immunohistochemistry (IHC-P) of formalin fixed, paraffin embedded (FFPE) tissue (some antibodies require special antigen retrieval steps, please refer to the ”Remarks” section). Immunoreactivity is usually revealed by fluorescence or a chromogenic substrate.

Immunohistochemistry on fresh frozen (IHC-Fr) cryo-tissue-sections. In contrast to standard PFA perfusion fixed tissues, fresh frozen cryo-tissue-sections can be variably postfixed with alcohols, acetone or PFA. Alcohol or acetone fixation is e.g. of advantage for antigens masked by PFA crosslinking. For recommended postfixation, please refer to the ”Remarks” section. Immunoreactivity is usually revealed by fluorescence or a chromogenic substrate.

Immunogen Synthetic peptide corresponding to AA 229 to 240 from mouse GluT1 (UniProt Id: P17809)
Reactivity Reacts with: mouse (P17809), rat (P11167).
Other species not tested yet.
Remarks

IHC: Antigen retrieval with citrate buffer pH 6 is required.
IHC-Fr: Methanol fixation is recommended.

Data sheet Datasheet 419_005

References for GLUT1 - 419 005

Oxygen-free metabolism in the bird inner retina supported by the pecten.
Damsgaard C, Skøtt MV, Williams CJA, Malte H, Kidmose CK, Busk M, Dedek K, Konradsen AH, Rasmussen ASS, Thomsen JS, Mikkelsen AVGT, et al.
Nature (2026) : . 419 005 IHC
Cat. No.: 419 005
Amount: 50 µg
Price: $465.00
Oxygen-free metabolism in the bird inner retina supported by the pecten.
Damsgaard C, Skøtt MV, Williams CJA, Malte H, Kidmose CK, Busk M, Dedek K, Konradsen AH, Rasmussen ASS, Thomsen JS, Mikkelsen AVGT, et al.
Nature (2026) : . 419 005 IHC
Background

Glucose transporter type 1 (GLUT1), also known as SLC2A1, is ubiquitously expressed, and is present at high levels in primate erythrocytes and brain endothelial cells. GLUT1 is a major glucose transporter in the mammalian blood-brain barrier and  is also able to transport dehydroascorbic acid (oxidized vitamin C) into the brain. GLUT1 may also contribute to HTLV-associated disorders through interactions with HTLV envelope glycoproteins.

Certificates

ISO 9001 2015 Quality Management System and Green Lab Platinum certification level for sustaining laboratory processes.

Newsletter

Sign up for our newsletter and get the latest updates and news.
 

Please provide a valid E-Mail-Address
Please provide a valid First name
Please provide a valid Last name