Tailor-made Antibodies
and Tools for Life Science
Home | | | | | Technical Support

Neurotensin antibody - 418 005

The peptide hormone Neurotensin is involved in dopamine neurotransmission and fat metabolism regulation
Guinea pig polyclonal purified antibody
Cat. No.: 418 005
Amount: 50 µg
Price: $465.00
Cat. No. 418 005 50 µg specific antibody, lyophilized. Affinity purified with the immunogen. Albumin and azide were added for stabilization. For reconstitution add 50 µl H2O to get a 1mg/ml solution in PBS. Then aliquot and store at -20°C to -80°C until use.
Antibodies should be stored at +4°C when still lyophilized. Do not freeze!
Applications
 
WB: not tested yet
IP: not tested yet
ICC: not tested yet
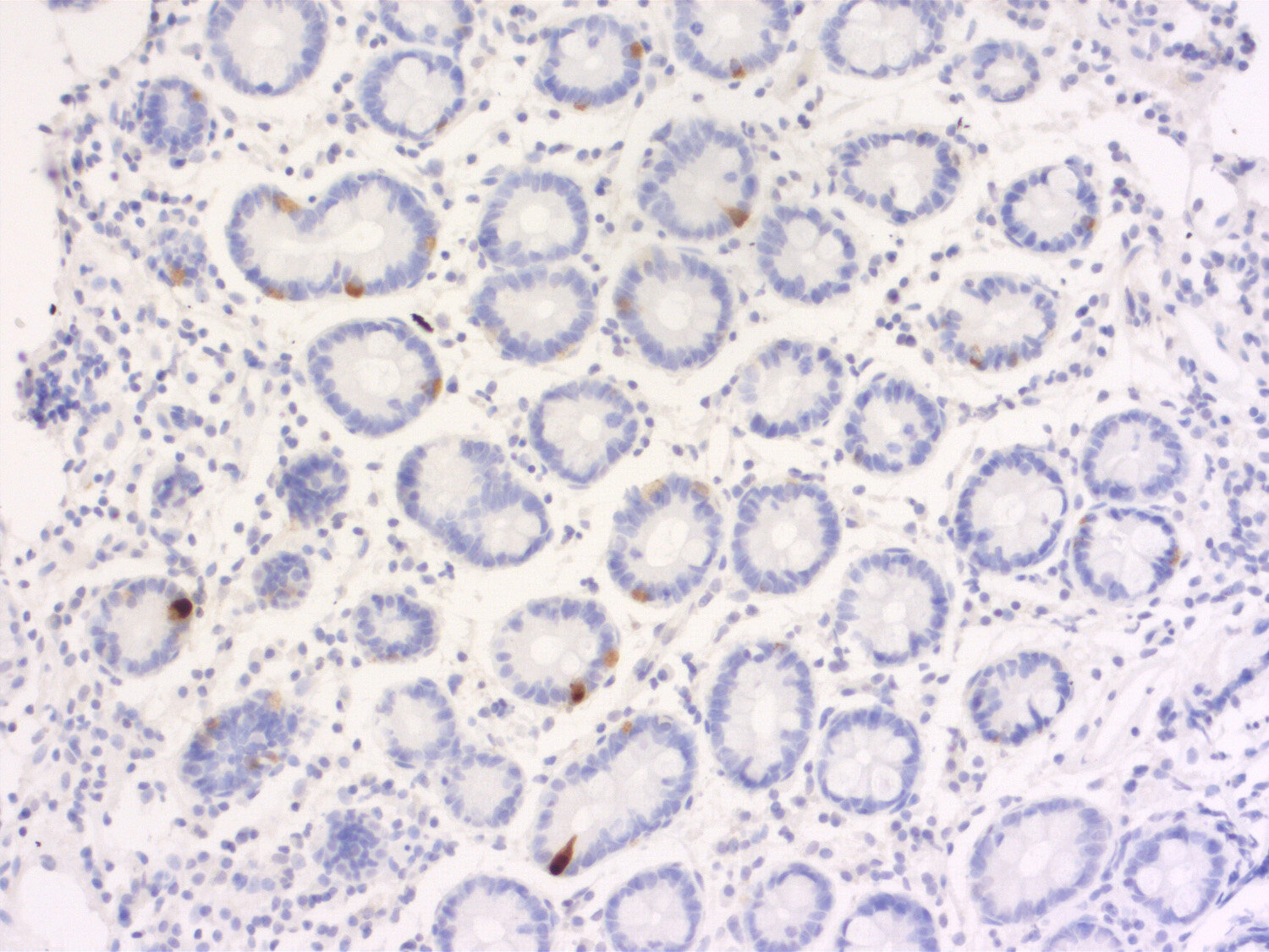
IHC: 1 : 100 up to 1 : 500 gallery  
IHC-P (FFPE): 1 : 100 gallery  

Western blot (WB); separation of proteins by PAGE and subsequent transfer to a membrane. Detection of target molecules is carried out with antibodies. Some antibodies require special sample preparation steps. For details, please refer to the “Remarks” section.

Immunoprecipitation (IP); Immunoisolation or pulldown of a target molecule using an antibody. For details and product specific hints, please refer to the ”Remarks” section.

Immunocytochemistry (ICC) on 4% PFA fixed cells. Immunoreactivity is usually revealed by fluorescence. Some antibodies require special fixation methods. For details, please refer to the “Remarks” section.

Immunohistochemistry (IHC) on 4% PFA perfusion fixed tissue with 24h PFA post fixation. Immunoreactivity is usually revealed by fluorescence or a chromogenic substrate. Some antibodies require special fixation methods or antigen retrieval steps. For details, please refer to the ”Remarks” section.

Immunohistochemistry (IHC-P) of formalin fixed, paraffin embedded (FFPE) tissue (some antibodies require special antigen retrieval steps, please refer to the ”Remarks” section). Immunoreactivity is usually revealed by fluorescence or a chromogenic substrate.

Immunogen Synthetic peptide corresponding to AA 150 to 162 from mouse Neurotensin/neuromedin N (UniProt Id: Q9D3P9)
Reactivity Reacts with: mouse (Q9D3P9), rat (P20068), human (P30990).
Other species not tested yet.
Specificity The antibody recognizes Neurotensin. It may crossreact to the unprocessed precursor protein.
Data sheet Datasheet 418_005

References for Neurotensin - 418 005

Downstream interaction by glucagon-like peptide-1 and glucose-dependent insulinotropic polypeptide agonism is required for synergistic effects on body weight.
Feetham CH, Ai M, Culotta I, Costa A, Hunter J, Coskun T, Emmerson PJ, D'Agostino G, Luckman SM
Molecular metabolism (2025) : 102214. 418 005 IHC; tested species: mouse
iPSC-derived models of PACS1 syndrome reveal transcriptional and functional deficits in neuron activity.
Rylaarsdam L, Rakotomamonjy J, Pope E, Guemez-Gamboa A
Nature communications (2024) 151: 827. 418 005 IHC; tested species: human
Differential recruitment of ventral pallidal e-types by behaviorally salient stimuli during Pavlovian conditioning.
Hegedüs P, Heckenast J, Hangya B
iScience (2021) 244: 102377. 418 005 IHC; tested species: mouse
Cat. No.: 418 005
Amount: 50 µg
Price: $465.00
Downstream interaction by glucagon-like peptide-1 and glucose-dependent insulinotropic polypeptide agonism is required for synergistic effects on body weight.
Feetham CH, Ai M, Culotta I, Costa A, Hunter J, Coskun T, Emmerson PJ, D'Agostino G, Luckman SM
Molecular metabolism (2025) : 102214. 418 005 IHC; tested species: mouse
iPSC-derived models of PACS1 syndrome reveal transcriptional and functional deficits in neuron activity.
Rylaarsdam L, Rakotomamonjy J, Pope E, Guemez-Gamboa A
Nature communications (2024) 151: 827. 418 005 IHC; tested species: human
Differential recruitment of ventral pallidal e-types by behaviorally salient stimuli during Pavlovian conditioning.
Hegedüs P, Heckenast J, Hangya B
iScience (2021) 244: 102377. 418 005 IHC; tested species: mouse
Background

Neurotensin, also referred to as NT or Nts is a 13 amino acid neuropeptide that is processed from a precursor protein that also contains the related neuromedin N. It has a highly conserved C-terminal portion (8–13) which is responsible for its biological activity.

Neurotensin is widely distributed throughout the central nervous system. The highest expression levels are seen in the hypothalamus, amygdala and nucleus accumbens. In the periphery, it is produced by endocrine cells (N cells) of the intestine, where it leads to secretion and smooth muscle contraction.

Neurotensin is involved in the regulation of dopamine pathways, in the maintenance of gut structure and function, and in the regulation of fat metabolism.

Neurotensin has been shown to produce a spectrum of pharmacological effects resembling those of antipsychotic drugs, leading to the suggestion that neurotensin may be an endogenous neuroleptic.

Certificates

ISO 9001 2015 Quality Management System and Green Lab Platinum certification level for sustaining laboratory processes.

Newsletter

Sign up for our newsletter and get the latest updates and news.
 

Please provide a valid E-Mail-Address
Please provide a valid First name
Please provide a valid Last name