Tailor-made Antibodies
and Tools for Life Science
Home | | | | | Technical Support

LAMP5 antibody - 412 011 K.O.

LAMP5 is a lysosomal transmembrane protein expressed in the CNS and in human pDCs
Mouse monoclonal purified IgG
Cat. No.: 412 011
Amount: 100 µg
Price: $420.00
Cat. No. 412 011 100 µg purified IgG, lyophilized. Albumin and azide were added for stabilization. For reconstitution add 100 µl H2O to get a 1mg/ml solution in PBS. Then aliquot and store at -20°C to -80°C until use.
Antibodies should be stored at +4°C when still lyophilized. Do not freeze!
Applications
 
WB: not tested yet
Dot blot: 1 : 1000 (AP staining) (see remarks) gallery  
IP: not tested yet
ICC: 1 : 200 up to 1 : 500 gallery  
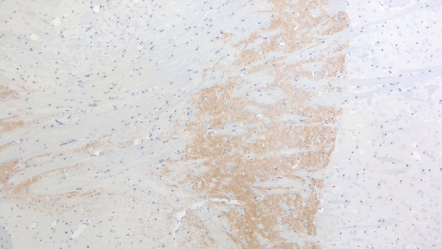
IHC: 1 : 500 (see remarks) gallery  
IHC-P (FFPE): 1 : 100 up to 1 : 1000 gallery  

Western blot (WB); separation of proteins by PAGE and subsequent transfer to a membrane. Detection of target molecules is carried out with antibodies. Some antibodies require special sample preparation steps. For details, please refer to the “Remarks” section.

Immunodetection of target molecules spotted onto a membrane.

Immunoprecipitation (IP); Immunoisolation or pulldown of a target molecule using an antibody. For details and product specific hints, please refer to the ”Remarks” section.

Immunocytochemistry (ICC) on 4% PFA fixed cells. Immunoreactivity is usually revealed by fluorescence. Some antibodies require special fixation methods. For details, please refer to the “Remarks” section.

Immunohistochemistry (IHC) on 4% PFA perfusion fixed tissue with 24h PFA post fixation. Immunoreactivity is usually revealed by fluorescence or a chromogenic substrate. Some antibodies require special fixation methods or antigen retrieval steps. For details, please refer to the ”Remarks” section.

Immunohistochemistry (IHC-P) of formalin fixed, paraffin embedded (FFPE) tissue (some antibodies require special antigen retrieval steps, please refer to the ”Remarks” section). Immunoreactivity is usually revealed by fluorescence or a chromogenic substrate.

Clone SY-330E12
Subtype IgG1 (κ light chain)
Immunogen Synthetic peptide corresponding to the carboxy terminal part of mouse LAMP5 (UniProt Id: Q9D387)
Reactivity Reacts with: mouse (Q9D387), rat (Q5PPI4).
Other species not tested yet.
Specificity K.O. validated
Remarks

Dot blot: This application was only tested with synthetic peptides.
IHC: Antigen retrieval with citrate buffer pH 6 can be applied to improve the signal to noise ratio.

Data sheet Datasheet 412_011
Cat. No.: 412 011
Amount: 100 µg
Price: $420.00

Indirect immunostaining of a mouse olfactory bulb section for LAMP5 (red) and Tyrosine hydroxylase (green)

Background

LAMP5 (Lysosome-associated membrane protein 5), also referred to as BAD-LAMP (Brain and dendritic cell-associated LAMP), is a member of the LAMP family of membrane proteins. However, in contrast to canonical members of this family, that show widespread expression, LAMP5 is, at least in rodents, strictly confined to the CNS where it appears at postnatal stages coincidently with synaptogenesis.

In the human immune system, LAMP5 is expressed at high levels in non-activated plasmacytoid dendritic cells (pDCs), where it allows discrimination of normal from leukemic pDCs in tissue and blood.

 

For more information on protein expression pattern, please refer to the overview image in our SYSY Antibodies ATLAS.

Certificates

ISO 9001 2015 Quality Management System and Green Lab Platinum certification level for sustaining laboratory processes.

Newsletter

Sign up for our newsletter and get the latest updates and news.
 

Please provide a valid E-Mail-Address
Please provide a valid First name
Please provide a valid Last name