Tailor-made Antibodies
and Tools for Life Science
Home | | | | | Technical Support

Brn3a antibody - 411 008

Brn3a is a transcription factor involved in neuronal development
Rabbit monoclonal recombinant IgG
Cat. No.: 411 008
Amount: 50 µg
Price: $420.00
Cat. No. 411 008 50 µg purified recombinant IgG, lyophilized. Albumin and azide were added for stabilization. For reconstitution add 50 µl H2O to get a 1mg/ml solution in PBS. Then aliquot and store at -20°C to -80°C until use.
Antibodies should be stored at +4°C when still lyophilized. Do not freeze!
Applications
 
WB: not tested yet
IP: not tested yet
ICC: not tested yet
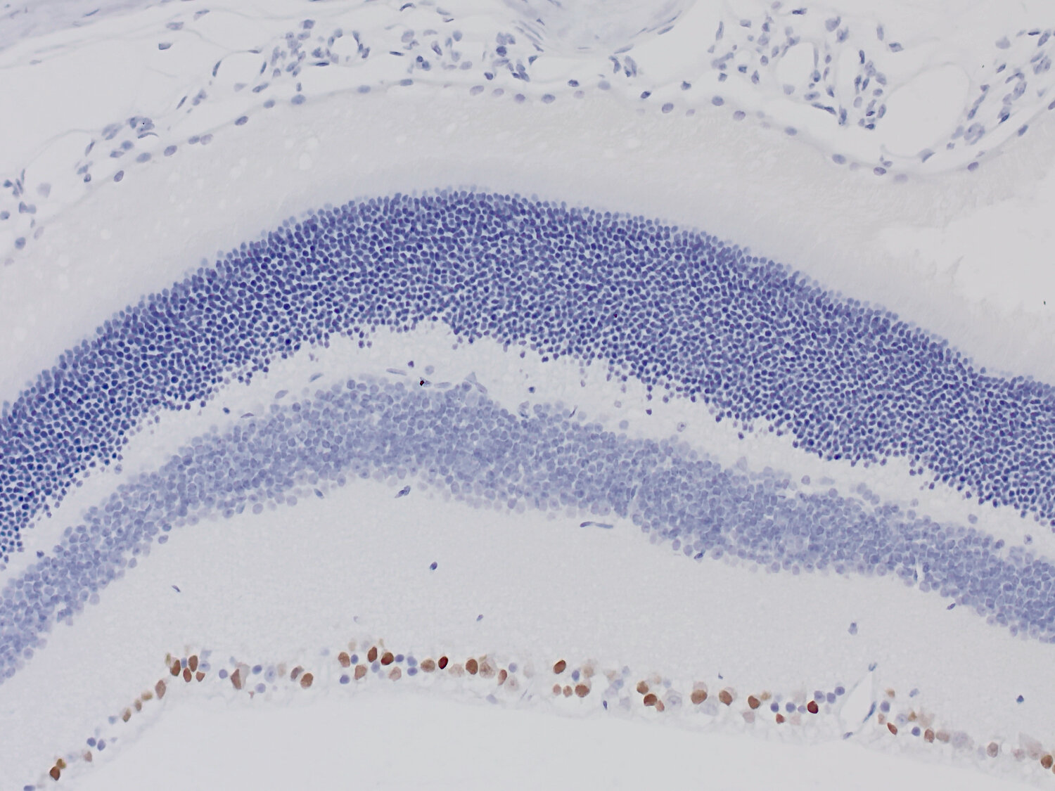
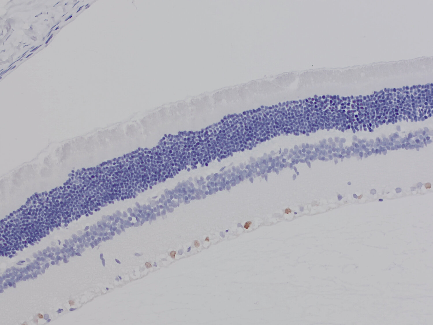
IHC: 1 : 500 (see remarks) gallery  
IHC-P: 1 : 400 up to 1 : 500 gallery  

Western blot (WB); separation of proteins by PAGE and subsequent transfer to a membrane. Detection of target molecules is carried out with antibodies. Some antibodies require special sample preparation steps. For details, please refer to the “Remarks” section.

Immunoprecipitation (IP); Immunoisolation or pulldown of a target molecule using an antibody. For details and product specific hints, please refer to the ”Remarks” section.

Immunocytochemistry (ICC) on 4% PFA fixed cells. Immunoreactivity is usually revealed by fluorescence. Some antibodies require special fixation methods. For details, please refer to the “Remarks” section.

Immunohistochemistry (IHC) on 4% PFA perfusion fixed tissue with 24h PFA post fixation. Immunoreactivity is usually revealed by fluorescence or a chromogenic substrate. Some antibodies require special fixation methods or antigen retrieval steps. For details, please refer to the ”Remarks” section.

Immunohistochemistry (IHC-P) of formalin fixed, paraffin embedded (FFPE) tissue (some antibodies require special antigen retrieval steps, please refer to the ”Remarks” section). Immunoreactivity is usually revealed by fluorescence or a chromogenic substrate.

Clone Rb61A2
Subtype IgG1 (κ light chain)
Immunogen Synthetic peptide corresponding to residues near the amino terminus of mouse Brn3a (UniProt Id: P17208)
Reactivity Reacts with: mouse (P17208), rat.
Other species not tested yet.
Remarks

This antibody is a chimeric antibody based on the monoclonal rat antibody SY-61A2. The constant regions of the heavy and light chains have been replaced by rabbit specific sequences. The antibody can therefore be used with standard anti-rabbit secondary reagents. The antibody has been expressed in mammalian cells.
IHC: For optimal results in retina tissue, follow the retina protocol.
Alternatively, Antigen retrieval with citrate buffer pH 6 can be applied.

Data sheet Datasheet 411_008
Cat. No.: 411 008
Amount: 50 µg
Price: $420.00
Background

Brn3a, also referred to as POU4F1, RGC-1 or Oct-T1, is a transcription factor highly expressed in the developing peripheral sensory nervous system, in cells of the B- and T-lymphocytic lineages and in certain regions of the CNS e.g. retina, spinal cord, midbrain superior colliculus, red nucleus, nucleus ambiguus, inferior olivary nucleus and habenula. In the retina Brn3a is a well-established marker for retinal ganglion cells.

Certificates

ISO 9001 2015 Quality Management System and Green Lab Platinum certification level for sustaining laboratory processes.

Newsletter

Sign up for our newsletter and get the latest updates and news.
 

Please provide a valid E-Mail-Address
Please provide a valid First name
Please provide a valid Last name