Tailor-made Antibodies
and Tools for Life Science
Home | | | | | Technical Support

Brn3a antibody - 411 004

Brn3a is a transcription factor involved in neuronal development
Guinea pig polyclonal antiserum
Cat. No.: 411 004
Amount: 100 µl
Price: $370.00
Cat. No. 411 004 100 µl antiserum, lyophilized. For reconstitution add 100 µl H2O, then aliquot and store at -20°C until use.
Antibodies should be stored at +4°C when still lyophilized. Do not freeze!
Applications
 
WB: not tested yet
IP: not tested yet
ICC: not tested yet
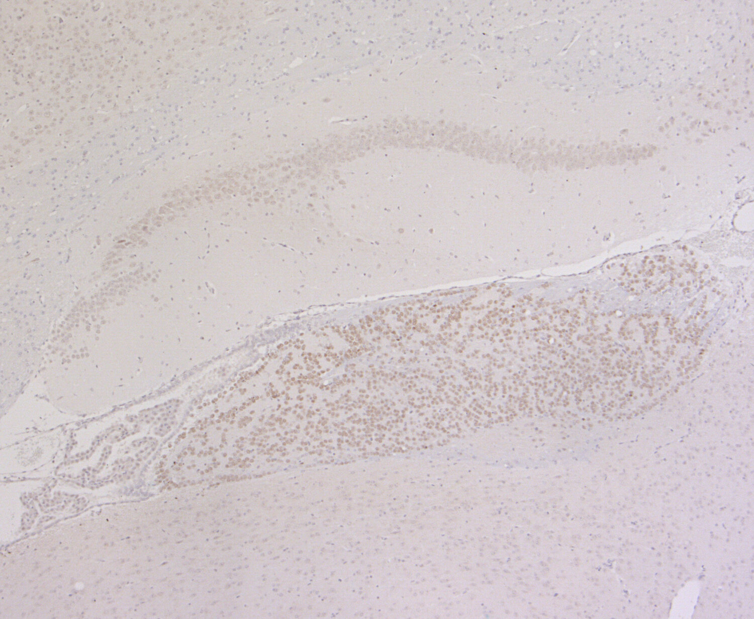
IHC: 1 : 2000 up to 1 : 10000 (see remarks) gallery  
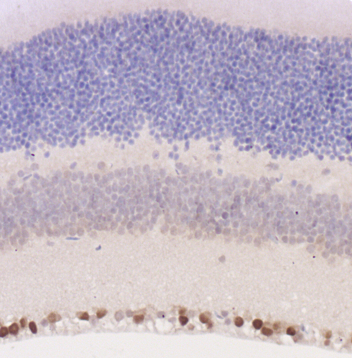
IHC-P: 1 : 500 gallery  

Western blot (WB); separation of proteins by PAGE and subsequent transfer to a membrane. Detection of target molecules is carried out with antibodies. Some antibodies require special sample preparation steps. For details, please refer to the “Remarks” section.

Immunoprecipitation (IP); Immunoisolation or pulldown of a target molecule using an antibody. For details and product specific hints, please refer to the ”Remarks” section.

Immunocytochemistry (ICC) on 4% PFA fixed cells. Immunoreactivity is usually revealed by fluorescence. Some antibodies require special fixation methods. For details, please refer to the “Remarks” section.

Immunohistochemistry (IHC) on 4% PFA perfusion fixed tissue with 24h PFA post fixation. Immunoreactivity is usually revealed by fluorescence or a chromogenic substrate. Some antibodies require special fixation methods or antigen retrieval steps. For details, please refer to the ”Remarks” section.

Immunohistochemistry (IHC-P) of formalin fixed, paraffin embedded (FFPE) tissue (some antibodies require special antigen retrieval steps, please refer to the ”Remarks” section). Immunoreactivity is usually revealed by fluorescence or a chromogenic substrate.

Immunogen Synthetic peptide corresponding to residues near the amino terminus of mouse Brn3a (UniProt Id: P17208)
Reactivity Reacts with: mouse (P17208).
Other species not tested yet.
Remarks

IHC: For optimal results in retina tissue, follow the retina protocol.

Data sheet Datasheet 411_004

References for Brn3a - 411 004

Oriented cell divisions induce basal progenitors and regulate neural expansion across tissues and species.
Boulan B, Lacomme M, Benadjal A, Krueger M, Currie K, La Torre A, Chédotal A, Cayouette M
Science advances (2026) 126: eadz6827. 411 004 IHC; tested species: mouse
NLRX1 limits inflammatory neurodegeneration in the anterior visual pathway.
Gill AJ, Smith MD, Galleguillos D, Garton T, Mace JW, Gadani SP, Kumar S, Pokharel A, Solem K, Potluri S, Hussein O, et al.
Journal of neuroinflammation (2025) 221: 21. 411 004 IHC; tested species: mouse
Pou3f1 orchestrates a gene regulatory network controlling contralateral retinogeniculate projections.
Fries M, Brown TW, Jolicoeur C, Boulan B, Boudreau-Pinsonneault C, Javed A, Abram P, Cayouette M
Cell reports (2023) 428: 112985. 411 004 IHC; tested species: mouse
Methods to Identify Rat and Mouse Retinal Ganglion Cells in Retinal Flat-Mounts.
Miralles de Imperial-Ollero JA, Vidal-Villegas B, Gallego-Ortega A, Nadal-Nicolás FM, Salinas-Navarro M, Norte-Muñoz M, Di Pierdomenico J, Galindo-Romero C, Agudo-Barriuso M, Vidal-Sanz M, Valiente-Soriano FJ, et al.
Methods in molecular biology (Clifton, N.J.) (2023) 2708: 175-194. 411 004 IHC; tested species: mouse
Diversity in homeostatic calcium set points predicts retinal ganglion cell survival following optic nerve injury in vivo.
McCracken S, Fitzpatrick MJ, Hall AL, Wang Z, Kerschensteiner D, Morgan JL, Williams PR
Cell reports (2023) 4210: 113165. 411 004 IHC; tested species: mouse
Alpha retinal ganglion cells in pigmented mice retina: number and distribution.
Gallego-Ortega A, Norte-Muñoz M, Di Pierdomenico J, Avilés-Trigueros M, de la Villa P, Valiente-Soriano FJ, Vidal-Sanz M
Frontiers in neuroanatomy (2022) 16: 1054849. 411 004 IHC; tested species: mouse
Cat. No.: 411 004
Amount: 100 µl
Price: $370.00
Oriented cell divisions induce basal progenitors and regulate neural expansion across tissues and species.
Boulan B, Lacomme M, Benadjal A, Krueger M, Currie K, La Torre A, Chédotal A, Cayouette M
Science advances (2026) 126: eadz6827. 411 004 IHC; tested species: mouse
NLRX1 limits inflammatory neurodegeneration in the anterior visual pathway.
Gill AJ, Smith MD, Galleguillos D, Garton T, Mace JW, Gadani SP, Kumar S, Pokharel A, Solem K, Potluri S, Hussein O, et al.
Journal of neuroinflammation (2025) 221: 21. 411 004 IHC; tested species: mouse
Pou3f1 orchestrates a gene regulatory network controlling contralateral retinogeniculate projections.
Fries M, Brown TW, Jolicoeur C, Boulan B, Boudreau-Pinsonneault C, Javed A, Abram P, Cayouette M
Cell reports (2023) 428: 112985. 411 004 IHC; tested species: mouse
Methods to Identify Rat and Mouse Retinal Ganglion Cells in Retinal Flat-Mounts.
Miralles de Imperial-Ollero JA, Vidal-Villegas B, Gallego-Ortega A, Nadal-Nicolás FM, Salinas-Navarro M, Norte-Muñoz M, Di Pierdomenico J, Galindo-Romero C, Agudo-Barriuso M, Vidal-Sanz M, Valiente-Soriano FJ, et al.
Methods in molecular biology (Clifton, N.J.) (2023) 2708: 175-194. 411 004 IHC; tested species: mouse
Diversity in homeostatic calcium set points predicts retinal ganglion cell survival following optic nerve injury in vivo.
McCracken S, Fitzpatrick MJ, Hall AL, Wang Z, Kerschensteiner D, Morgan JL, Williams PR
Cell reports (2023) 4210: 113165. 411 004 IHC; tested species: mouse
Alpha retinal ganglion cells in pigmented mice retina: number and distribution.
Gallego-Ortega A, Norte-Muñoz M, Di Pierdomenico J, Avilés-Trigueros M, de la Villa P, Valiente-Soriano FJ, Vidal-Sanz M
Frontiers in neuroanatomy (2022) 16: 1054849. 411 004 IHC; tested species: mouse
Background

Brn3a, also referred to as POU4F1, RGC-1 or Oct-T1, is a transcription factor highly expressed in the developing peripheral sensory nervous system, in cells of the B- and T-lymphocytic lineages and in certain regions of the CNS e.g. retina, spinal cord, midbrain superior colliculus, red nucleus, nucleus ambiguus, inferior olivary nucleus and habenula. In the retina Brn3a is a well-established marker for retinal ganglion cells.

Certificates

ISO 9001 2015 Quality Management System and Green Lab Platinum certification level for sustaining laboratory processes.

Newsletter

Sign up for our newsletter and get the latest updates and news.
 

Please provide a valid E-Mail-Address
Please provide a valid First name
Please provide a valid Last name