Tailor-made Antibodies
and Tools for Life Science
Home | | | | | Technical Support

MOG antibody - 401 004

MOG is a component of the myelin sheath
Guinea pig polyclonal antiserum
Cat. No.: 401 004
Amount: 100 µl
Price: $370.00
Cat. No. 401 004 100 µl antiserum, lyophilized. For reconstitution add 100 µl H2O, then aliquot and store at -20°C until use.
Antibodies should be stored at +4°C when still lyophilized. Do not freeze!
Applications
 
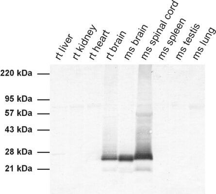
WB: 1 : 1000 (AP staining) gallery  
IP: not tested yet
ICC: not recommended
IHC: 1 : 500 (see remarks) gallery  
IHC-P: 1 : 250 up to 1 : 500 gallery  

Western blot (WB); separation of proteins by PAGE and subsequent transfer to a membrane. Detection of target molecules is carried out with antibodies. Some antibodies require special sample preparation steps. For details, please refer to the “Remarks” section.

Immunoprecipitation (IP); Immunoisolation or pulldown of a target molecule using an antibody. For details and product specific hints, please refer to the ”Remarks” section.

Immunocytochemistry (ICC) on 4% PFA fixed cells. Immunoreactivity is usually revealed by fluorescence. Some antibodies require special fixation methods. For details, please refer to the “Remarks” section.

Immunohistochemistry (IHC) on 4% PFA perfusion fixed tissue with 24h PFA post fixation. Immunoreactivity is usually revealed by fluorescence or a chromogenic substrate. Some antibodies require special fixation methods or antigen retrieval steps. For details, please refer to the ”Remarks” section.

Immunohistochemistry (IHC-P) of formalin fixed, paraffin embedded (FFPE) tissue (some antibodies require special antigen retrieval steps, please refer to the ”Remarks” section). Immunoreactivity is usually revealed by fluorescence or a chromogenic substrate.

Immunogen Synthetic peptide corresponding to AA 60 to 75 and 71 to 86 from mouse Myelin oligodendrocyte glycoprotein (UniProt Id: Q61885)
Reactivity Reacts with: mouse (Q61885), rat (Q63345), human (Q16653).
Other species not tested yet.
Remarks

IHC: Antigen retrieval with citrate buffer pH 6 is required.

Data sheet Datasheet 401_004
Cat. No.: 401 004
Amount: 100 µl
Price: $370.00
Background
The myelin oligodendrocyte glycoprotein (MOG) is an integral membrane protein belonging to the immunoglobulin superfamily. It is found exclusively in the central nervous system, where it is localized at the outermost surface of myelin sheaths and oligodendrocyte membranes.
MOG is an important marker for oligodendrocyte maturation since it's expression is delayed compared with other major myelin proteins. It may function in completion, compaction, and/or maintenance of myelin, as it has an adhesive role within the CNS. Consistent with this, a homodimeric form of MOG has been observed.
MOG is a key target of demyelinating autoantibodies in inflammatory demyelinating diseases of the CNS, such as multiple sclerosis (MS).

Certificates

ISO 9001 2015 Quality Management System and Green Lab Platinum certification level for sustaining laboratory processes.

Newsletter

Sign up for our newsletter and get the latest updates and news.
 

Please provide a valid E-Mail-Address
Please provide a valid First name
Please provide a valid Last name