Tailor-made Antibodies
and Tools for Life Science
Home | | | | | Technical Support

TMEM119 antibody human specific - 400 121

TMEM119 is a microglia specific transmembrane protein
Mouse monoclonal purified IgG
Cat. No.: 400 121
Amount: 100 µg
Price: $420.00
Cat. No. 400 121 100 µg purified IgG, lyophilized. Albumin and azide were added for stabilization. For reconstitution add 100 µl H2O to get a 1mg/ml solution in PBS. Then aliquot and store at -20°C to -80°C until use.
Antibodies should be stored at +4°C when still lyophilized. Do not freeze!
Applications
 
WB: not tested yet
IP: not tested yet
ICC: not tested yet
IHC: not tested yet
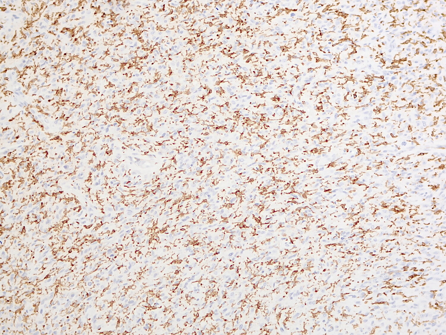
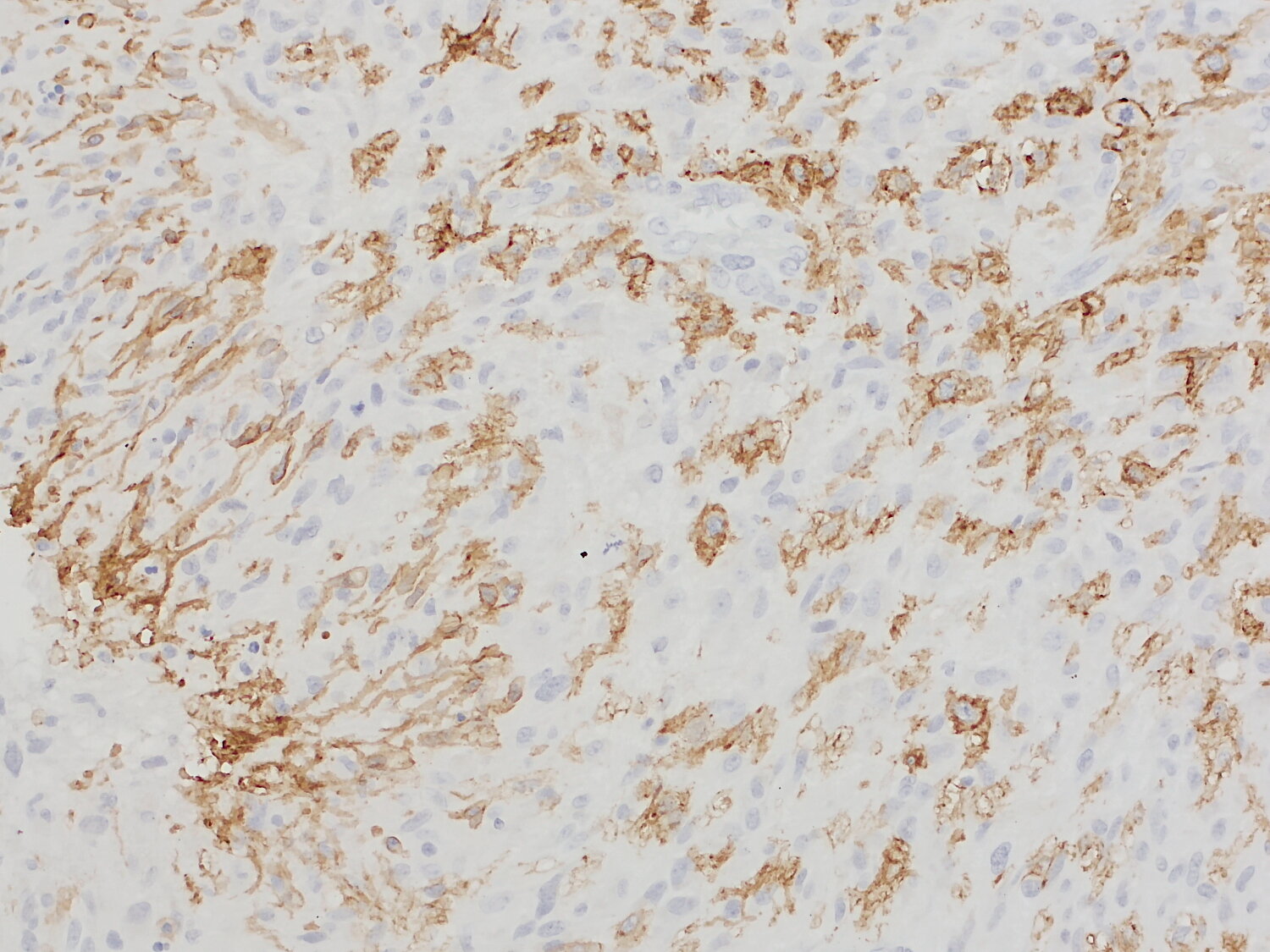
IHC-P: 1 : 1000 gallery  

Western blot (WB); separation of proteins by PAGE and subsequent transfer to a membrane. Detection of target molecules is carried out with antibodies. Some antibodies require special sample preparation steps. For details, please refer to the “Remarks” section.

Immunoprecipitation (IP); Immunoisolation or pulldown of a target molecule using an antibody. For details and product specific hints, please refer to the ”Remarks” section.

Immunocytochemistry (ICC) on 4% PFA fixed cells. Immunoreactivity is usually revealed by fluorescence. Some antibodies require special fixation methods. For details, please refer to the “Remarks” section.

Immunohistochemistry (IHC) on 4% PFA perfusion fixed tissue with 24h PFA post fixation. Immunoreactivity is usually revealed by fluorescence or a chromogenic substrate. Some antibodies require special fixation methods or antigen retrieval steps. For details, please refer to the ”Remarks” section.

Immunohistochemistry (IHC-P) of formalin fixed, paraffin embedded (FFPE) tissue (some antibodies require special antigen retrieval steps, please refer to the ”Remarks” section). Immunoreactivity is usually revealed by fluorescence or a chromogenic substrate.

Clone 26C4B3
Subtype IgG2a (κ light chain)
Immunogen Recombinant protein corresponding to AA 194 to 283 from human TMEM119 (UniProt Id: Q4V9L6)
Reactivity Reacts with: human (Q4V9L6).
Other species not tested yet.
Remarks

This antibody is recommended for material from human only. Due to significant differences of TMEM 119 among species, cross-reactivity is unlikely.

Data sheet Datasheet 400_121
Cat. No.: 400 121
Amount: 100 µg
Price: $420.00
Background

Microglia are resident myeloid cells of the central nervous system (CNS). They are ontogenetically and functionally distinct from monocyte-derived macrophages that infiltrate the CNS under pathological conditions. Transmembrane protein 119 (TMEM119) is a single-pass type I membrane protein that has been identified as a useful, highly selective microglia marker protein.

Certificates

ISO 9001 2015 Quality Management System and Green Lab Platinum certification level for sustaining laboratory processes.

Newsletter

Sign up for our newsletter and get the latest updates and news.
 

Please provide a valid E-Mail-Address
Please provide a valid First name
Please provide a valid Last name