TRIM46 antibody - 377 009 K.O.

TRIM46 is involved in establishing neuronal polarity
Chicken monoclonal recombinant IgY
Cat. No.: 377 009
Amount: 50 µg
Price: $420.00
Cat. No. 377 009 50 µg purified recombinant IgY, lyophilized. Albumin and azide were added for stabilization. For reconstitution add 50 µl H2O to get a 1mg/ml solution in PBS. Then aliquot and store at -20°C to -80°C until use.
Antibodies should be stored at +4°C when still lyophilized. Do not freeze!
Applications
 
WB: not tested yet
IP: not tested yet
ICC: 1 : 500 gallery  
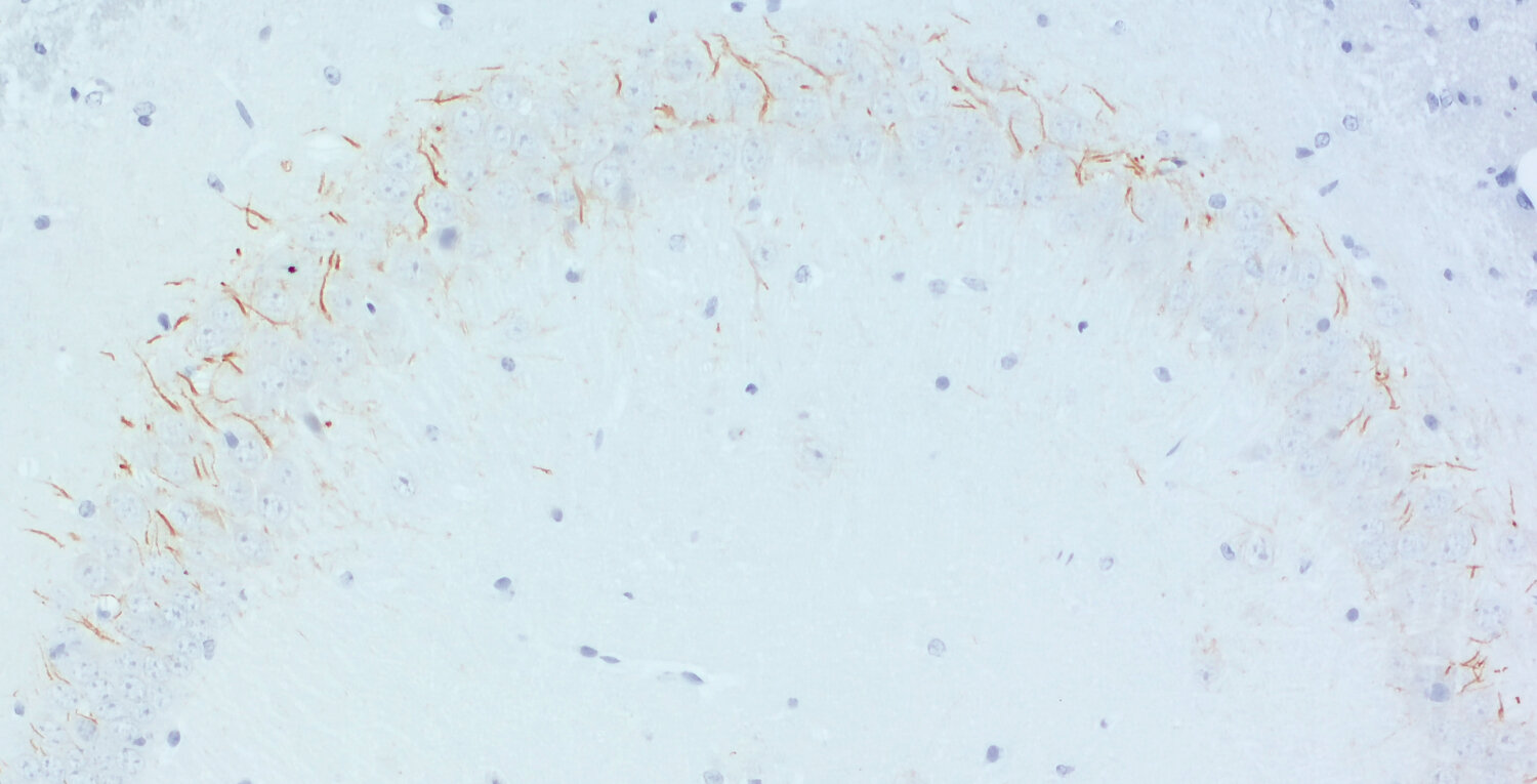
IHC: 1 : 500 gallery  
IHC-P (FFPE): 1 : 400 up to 1 : 2000 gallery  
IHC-Fr: 1 : 500 (see remarks) gallery  
IHC-G: 1 : 500 (see remarks) gallery  

Western blot (WB); separation of proteins by PAGE and subsequent transfer to a membrane. Detection of target molecules is carried out with antibodies. Some antibodies require special sample preparation steps. For details, please refer to the “Remarks” section.

Immunoprecipitation (IP); Immunoisolation or pulldown of a target molecule using an antibody. For details and product specific hints, please refer to the ”Remarks” section.

Immunocytochemistry (ICC) on 4% PFA fixed cells. Immunoreactivity is usually revealed by fluorescence. Some antibodies require special fixation methods. For details, please refer to the “Remarks” section.

Immunohistochemistry (IHC) on 4% PFA perfusion fixed tissue with 24h PFA post fixation. Immunoreactivity is usually revealed by fluorescence or a chromogenic substrate. Some antibodies require special fixation methods or antigen retrieval steps. For details, please refer to the ”Remarks” section.

Immunohistochemistry (IHC-P) of formalin fixed, paraffin embedded (FFPE) tissue (some antibodies require special antigen retrieval steps, please refer to the ”Remarks” section). Immunoreactivity is usually revealed by fluorescence or a chromogenic substrate.

Immunohistochemistry on fresh frozen (IHC-Fr) cryo-tissue-sections. In contrast to standard PFA perfusion fixed tissues, fresh frozen cryo-tissue-sections can be variably postfixed with alcohols, acetone or PFA. Alcohol or acetone fixation is e.g. of advantage for antigens masked by PFA crosslinking. For recommended postfixation, please refer to the ”Remarks” section. Immunoreactivity is usually revealed by fluorescence or a chromogenic substrate.

Immunohistochemistry on glyoxal fixed (IHC-G) tissue. The tissue is perfused with saline and afterwards immersion fixed with a glyoxal solution. For details of the glyoxal solution, please refer to the remarks section. Immunoreactivity is usually revealed by fluorescence.

Clone Ch264D12
Subtype IgY (λ light chain)
Immunogen Recombinant protein comprising a major part of the protein (UniProt Id: A0A0G2JXN2)
Epitop AA 1 to 114 from rat Trim46 (UniProt Id: A0A0G2JXN2)
Reactivity Reacts with: mouse (Q7TNM2), rat (A0A0G2JXN2).
Other species not tested yet.
Predicted to cross-react with human (Q7Z4K8) due to high sequence homology.
Specificity K.O. validated
Remarks

This antibody is a chimeric antibody based on the monoclonal mouse antibody 264D12. The constant regions of the heavy and light chains have been replaced by chicken specific sequences. The antibody can therefore be used with standard anti-chicken secondary reagents. The antibody has been expressed in mammalian cells.
IHC-Fr: The following fixatives are possible: acetone, 4% formaldehyde/PFA, methanol-acetone, methanol.
Signal intensities as follows: acetone > PFA >> acetone-methanol > methanol.
IHC-G: 9% glyoxal fixation is recommended.

Data sheet Datasheet 377_009
Cat. No.: 377 009
Amount: 50 µg
Price: $420.00
Background

The tripartite motif containing protein TRIM46, also referred to as TRIFIC, is a member of the C-I TRIM family, a subfamily of the RBCC (N-terminal RING finger/B-box/coiled coil)/TRIM superfamily.
TRIM46 localizes to newly specified axons and, at later stages, to the axon initial segment (AIS). By forming closely spaced parallel microtubule bundles it plays a crucial role in the initial polarization of neuronal cells.

Certificates

ISO 9001 2015 Quality Management System and Green Lab Platinum certification level for sustaining laboratory processes.

Newsletter

Sign up for our newsletter and get the latest updates and news.
 

Please provide a valid E-Mail-Address
Please provide a valid First name
Please provide a valid Last name