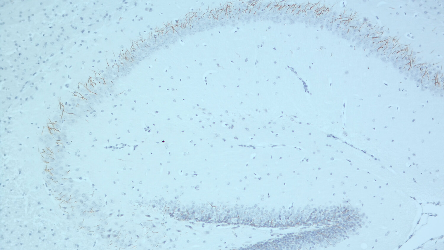
TRIM46 antibody - 377 008 K.O.

TRIM46 is involved in establishing neuronal polarity
Rabbit monoclonal recombinant IgG
Cat. No.: 377 008
Amount: 50 µg
Price: $420.00
Cat. No. 377 008 50 µg purified recombinant IgG, lyophilized. Albumin and azide were added for stabilization. For reconstitution add 50 µl H2O to get a 1mg/ml solution in PBS. Then aliquot and store at -20°C to -80°C until use.
Antibodies should be stored at +4°C when still lyophilized. Do not freeze!
Applications
 
WB: not tested yet
IP: not tested yet
ICC: 1 : 500 gallery  
IHC: 1 : 1000 gallery  
IHC-P (FFPE): 1 : 1000 gallery  

Western blot (WB); separation of proteins by PAGE and subsequent transfer to a membrane. Detection of target molecules is carried out with antibodies. Some antibodies require special sample preparation steps. For details, please refer to the “Remarks” section.

Immunoprecipitation (IP); Immunoisolation or pulldown of a target molecule using an antibody. For details and product specific hints, please refer to the ”Remarks” section.

Immunocytochemistry (ICC) on 4% PFA fixed cells. Immunoreactivity is usually revealed by fluorescence. Some antibodies require special fixation methods. For details, please refer to the “Remarks” section.

Immunohistochemistry (IHC) on 4% PFA perfusion fixed tissue with 24h PFA post fixation. Immunoreactivity is usually revealed by fluorescence or a chromogenic substrate. Some antibodies require special fixation methods or antigen retrieval steps. For details, please refer to the ”Remarks” section.

Immunohistochemistry (IHC-P) of formalin fixed, paraffin embedded (FFPE) tissue (some antibodies require special antigen retrieval steps, please refer to the ”Remarks” section). Immunoreactivity is usually revealed by fluorescence or a chromogenic substrate.

Clone Rb264D12
Subtype IgG1 (κ light chain)
Immunogen Recombinant protein comprising a major part of the protein (UniProt Id: A0A0G2JXN2)
Epitop AA 1 to 114 from rat Trim46 (UniProt Id: A0A0G2JXN2)
Reactivity Reacts with: mouse (Q7TNM2), rat (A0A0G2JXN2).
Other species not tested yet.
Predicted to cross-react with human (Q7Z4K8) due to high sequence homology.
Specificity K.O. validated
Remarks

This antibody is a chimeric antibody based on the monoclonal mouse antibody clone 264D12. The constant regions of the heavy and light chains have been replaced by rabbit specific sequences. Therefore, the antibody can be used with standard anti-rabbit secondary reagents. The antibody has been expressed in mammalian cells.

Data sheet Datasheet 377_008

References for TRIM46 - 377 008

Expression of synaptic proteins and development of dendritic spines in fetal and postnatal neocortex of the pig, the European wild boar Sus scrofa.
Sobierajski E, Czubay K, Schmidt MR, Wiedenski S, Rettschlag S, Beemelmans C, Beemelmans C, Wahle P
Brain structure & function (2025) 2302: 38. 377 008 WB; tested species: pig
Cat. No.: 377 008
Amount: 50 µg
Price: $420.00
Expression of synaptic proteins and development of dendritic spines in fetal and postnatal neocortex of the pig, the European wild boar Sus scrofa.
Sobierajski E, Czubay K, Schmidt MR, Wiedenski S, Rettschlag S, Beemelmans C, Beemelmans C, Wahle P
Brain structure & function (2025) 2302: 38. 377 008 WB; tested species: pig
Background

The tripartite motif containing protein TRIM46, also referred to as TRIFIC, is a member of the C-I TRIM family, a subfamily of the RBCC (N-terminal RING finger/B-box/coiled coil)/TRIM superfamily.
TRIM46 localizes to newly specified axons and, at later stages, to the axon initial segment (AIS). By forming closely spaced parallel microtubule bundles it plays a crucial role in the initial polarization of neuronal cells.

Certificates

ISO 9001 2015 Quality Management System and Green Lab Platinum certification level for sustaining laboratory processes.

Newsletter

Sign up for our newsletter and get the latest updates and news.
 

Please provide a valid E-Mail-Address
Please provide a valid First name
Please provide a valid Last name