Tailor-made Antibodies
and Tools for Life Science
Home | | | | | Technical Support

Dopamine receptor D1 antibody - 376 017

Dopamine receptors are involved in dopamine stimulation
Rat monoclonal purified IgG
Cat. No.: 376 017
Amount: 100 µg
Price: $420.00
Cat. No. 376 017 100 µg purified IgG, lyophilized. Albumin and azide were added for stabilization. For reconstitution add 100 µl H2O to get a 1mg/ml solution in PBS. Then aliquot and store at -20°C to -80°C until use.
Antibodies should be stored at +4°C when still lyophilized. Do not freeze!
Applications
 
WB: 1 : 100 (AP staining) (see remarks) gallery  
IP: not tested yet
ICC: 1 : 500 gallery  
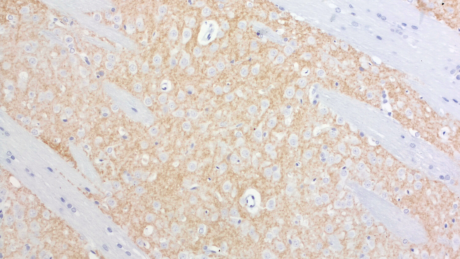
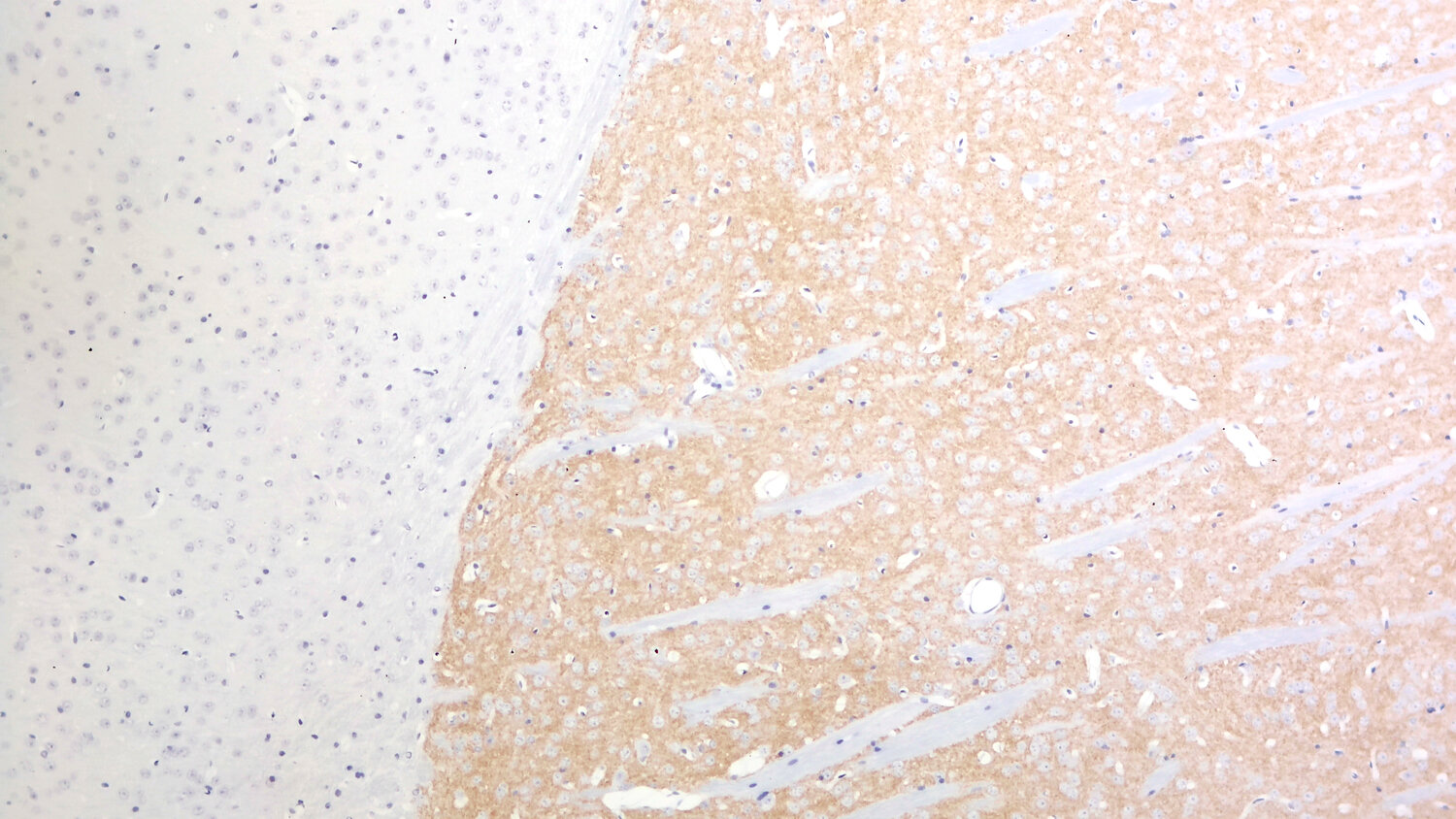
IHC: 1 : 500 gallery  
IHC-P (FFPE): 1 : 250 up to 1 : 500 gallery  

Western blot (WB); separation of proteins by PAGE and subsequent transfer to a membrane. Detection of target molecules is carried out with antibodies. Some antibodies require special sample preparation steps. For details, please refer to the “Remarks” section.

Immunoprecipitation (IP); Immunoisolation or pulldown of a target molecule using an antibody. For details and product specific hints, please refer to the ”Remarks” section.

Immunocytochemistry (ICC) on 4% PFA fixed cells. Immunoreactivity is usually revealed by fluorescence. Some antibodies require special fixation methods. For details, please refer to the “Remarks” section.

Immunohistochemistry (IHC) on 4% PFA perfusion fixed tissue with 24h PFA post fixation. Immunoreactivity is usually revealed by fluorescence or a chromogenic substrate. Some antibodies require special fixation methods or antigen retrieval steps. For details, please refer to the ”Remarks” section.

Immunohistochemistry (IHC-P) of formalin fixed, paraffin embedded (FFPE) tissue (some antibodies require special antigen retrieval steps, please refer to the ”Remarks” section). Immunoreactivity is usually revealed by fluorescence or a chromogenic substrate.

Clone SY-41C12
Subtype IgG2a (κ light chain)
Immunogen Recombinant protein comprising the C-terminal cytoplasmic domain of mouse Dopamine receptor D1 (UniProt Id: Q61616)
Reactivity Reacts with: mouse (Q61616), rat (P18901).
Other species not tested yet.
Remarks

WB: This antibody shows a reduced sensitivity in Western blot experiments.

Data sheet Datasheet 376_017
Cat. No.: 376 017
Amount: 100 µg
Price: $420.00

Indirect immunostaining of rat striatum neurons for Dopamine receptor D1 (white) and MAP2 (blue)

Background

Dopamine receptors transduce the signal of the neurotransmitter dopamine. Dopamine regulates a variety of functions including locomotor activity, emotion, food intake, hormone secretion, learning, and memory. The dysregulation of the dopaminergic system results in several neurological and neuropsychiatric diseases including Parkinson's disease, dystonia, and schizophrenia. Dopamine plays also an important role in the pathogenesis of hypertension by regulating epithelial sodium transport and by interacting with vasoactive hormones.
All five dopamine receptors belong to the 7-transmembrane domain, G protein-coupled receptor superfamily. They have been divided into two subfamilies: Two D1-like receptor subtypes (D1 and D5) couple to the G protein Gs and activate adenylyl cyclase, increasing the intracellular concentration of the second messenger cAMP. The other receptor subtypes belong to the D2-like subfamily (D2, D3, and D4) and are prototypic of G protein-coupled receptors that inhibit adenylyl cyclase.
Dopamine receptors can form heteromeric complexes with dopamine receptors from other subtypes or with receptors of other endogenous signaling ligands. These heteromeric complexes have functional properties distinct from the component receptors or are able to modulate the canonical signaling.
Dopamine receptor D1 is widely distributed throughout the brain with the highest expression in the striatum. In the periphery, the D1 receptor has been detected in the adrenal cortex, kidney and heart. Recently, it was shown that dopamine receptor D1 is expressed in breast cancer, thereby identifying this receptor as a novel therapeutic target in this disease. D1 receptor overexpression is associated with advanced breast cancer and poor prognosis.
Dopamine receptor D2 is most abundant in the striatum where it is expressed in medium spiny neurons. Functionally, the D1 and D2 receptors have been implicated in the regulation of both locomotor and cognitive functions.

 

For more information on protein expression pattern, please refer to the overview image in our SYSY Antibodies ATLAS.

Certificates

ISO 9001 2015 Quality Management System and Green Lab Platinum certification level for sustaining laboratory processes.

Newsletter

Sign up for our newsletter and get the latest updates and news.
 

Please provide a valid E-Mail-Address
Please provide a valid First name
Please provide a valid Last name