Tailor-made Antibodies
and Tools for Life Science
Home | | | | | Technical Support

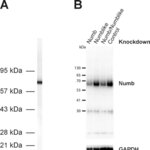
Numb antibody - 373 003 K.O.

Numb is a cell fate determinant with diverse functions
Rabbit polyclonal purified antibody
Cat. No.: 373 003
Amount: 50 µg
Price: $380.00
Cat. No. 373 003 50 µg specific antibody, lyophilized. Affinity purified with the immunogen. Albumin was added for stabilization. For reconstitution add 50 µl H2O to get a 1mg/ml solution in PBS. Then aliquot and store at -20°C to -80°C until use.
Antibodies should be stored at +4°C when still lyophilized. Do not freeze!
Applications
 
WB: 1 : 1000 (AP staining) gallery  
IP: not tested yet
ICC: 1 : 100 (see remarks) gallery  
IHC: not tested yet
IHC-P: not tested yet
IHC-Fr: 1 : 500 (see remarks) gallery  

Western blot (WB); separation of proteins by PAGE and subsequent transfer to a membrane. Detection of target molecules is carried out with antibodies. Some antibodies require special sample preparation steps. For details, please refer to the “Remarks” section.

Immunoprecipitation (IP); Immunoisolation or pulldown of a target molecule using an antibody. For details and product specific hints, please refer to the ”Remarks” section.

Immunocytochemistry (ICC) on 4% PFA fixed cells. Immunoreactivity is usually revealed by fluorescence. Some antibodies require special fixation methods. For details, please refer to the “Remarks” section.

Immunohistochemistry (IHC) on 4% PFA perfusion fixed tissue with 24h PFA post fixation. Immunoreactivity is usually revealed by fluorescence or a chromogenic substrate. Some antibodies require special fixation methods or antigen retrieval steps. For details, please refer to the ”Remarks” section.

Immunohistochemistry (IHC-P) of formalin fixed, paraffin embedded (FFPE) tissue (some antibodies require special antigen retrieval steps, please refer to the ”Remarks” section). Immunoreactivity is usually revealed by fluorescence or a chromogenic substrate.

Immunohistochemistry on fresh frozen (IHC-Fr) cryo-tissue-sections. In contrast to standard PFA perfusion fixed tissues, fresh frozen cryo-tissue-sections can be variably postfixed with alcohols, acetone or PFA. Alcohol or acetone fixation is e.g. of advantage for antigens masked by PFA crosslinking. For recommended postfixation, please refer to the ”Remarks” section. Immunoreactivity is usually revealed by fluorescence or a chromogenic substrate.

Immunogen Synthetic peptide corresponding to AA 625 to 644 from mouse Numb (UniProt Id: Q9QZS3)
Reactivity Reacts with: rat (Q2LC84), mouse (Q9QZS3).
Other species not tested yet.
Specificity Specific for Numb. Recognizes all four isoforms. K.O. validated
Matching control protein/peptide 373-0P
Remarks

ICC: The following fixatives are not advised: 2% formaldehyde/PFA.
IHC-Fr: Fixation for 10 min with 4% PFA at RT is recommended.

Data sheet Datasheet 373_003
Cat. No.: 373 003
Amount: 50 µg
Price: $380.00
Background

Numb proteins (Numb and Numblike) display a complex pattern of functions such as the control of asymmetric cell division, cell fate choice, endocytosis, cell adhesion, and cell migration. Numb has been shown to inhibit Notch signaling by recruiting α-Adaptin and stimulating endocytosis of Notch. It was also demonstrated that Numb helps activate the tumor suppressor p53, suggesting that loss of Numb in cancerous cells would result in both the activation of the potential oncogene Notch and the diminution of tumor suppression by p53. Numb is itself regulated via ubiquitinylation.
Numb and Numblike are redundant but essential in maintaining neural progenitor cells during early neurogenesis by allowing cells to choose progenitor over neuronal fates. Numb and Numblike were also recently discovered to be involved in cardiac morphogenesis.
Four isoforms of mammalian Numb are described with predicted molecular masses of 65, 66, 71, and 72 kDa.

Certificates

ISO 9001 2015 Quality Management System and Green Lab Platinum certification level for sustaining laboratory processes.

Newsletter

Sign up for our newsletter and get the latest updates and news.
 

Please provide a valid E-Mail-Address
Please provide a valid First name
Please provide a valid Last name