Tailor-made Antibodies
and Tools for Life Science
Home | | | | | Technical Support

CD63 antibody - 371 011

CD63 is a lysosome associated membrane protein
Mouse monoclonal purified IgG
Cat. No.: 371 011
Amount: 100 µg
Price: $420.00
Cat. No. 371 011 100 µg purified IgG, lyophilized. Azide was added before lyophilization. For reconstitution add 100 µl H2O to get a 1mg/ml solution in PBS. Then aliquot and store at -20°C to -80°C until use.
Antibodies should be stored at +4°C when still lyophilized. Do not freeze!
Applications
 
WB: not recommended
IP: not tested yet
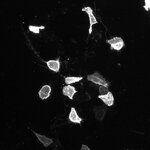
ICC: 1 : 250 up to 1 : 1000 gallery  
IHC: not tested yet
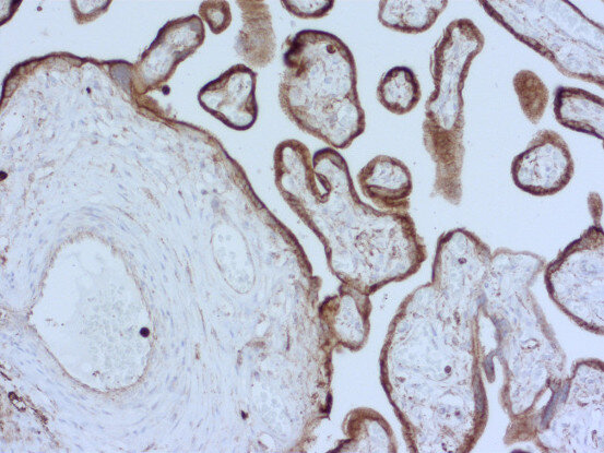
IHC-P (FFPE): 1 : 1000 up to 1 : 5000 gallery  
FACS: yes

Western blot (WB); separation of proteins by PAGE and subsequent transfer to a membrane. Detection of target molecules is carried out with antibodies. Some antibodies require special sample preparation steps. For details, please refer to the “Remarks” section.

Immunoprecipitation (IP); Immunoisolation or pulldown of a target molecule using an antibody. For details and product specific hints, please refer to the ”Remarks” section.

Immunocytochemistry (ICC) on 4% PFA fixed cells. Immunoreactivity is usually revealed by fluorescence. Some antibodies require special fixation methods. For details, please refer to the “Remarks” section.

Immunohistochemistry (IHC) on 4% PFA perfusion fixed tissue with 24h PFA post fixation. Immunoreactivity is usually revealed by fluorescence or a chromogenic substrate. Some antibodies require special fixation methods or antigen retrieval steps. For details, please refer to the ”Remarks” section.

Immunohistochemistry (IHC-P) of formalin fixed, paraffin embedded (FFPE) tissue (some antibodies require special antigen retrieval steps, please refer to the ”Remarks” section). Immunoreactivity is usually revealed by fluorescence or a chromogenic substrate.

Fluorescence-activated cell sorting (FACS); usually cells are fluorescently labeled with antibodies against cell-surface antigens followed by cell-sorter analysis.

Clone 101G9
Subtype IgG2b (κ light chain)
Immunogen Purified human basophil granulocytes. (UniProt Id: P08962)
Epitop AA 103 to 203 from human CD63 (UniProt Id: P08962)
Reactivity Reacts with: human (P08962).
Other species not tested yet.
Data sheet Datasheet 371_011
Cat. No.: 371 011
Amount: 100 µg
Price: $420.00
Background
CD 63 is a glycoprotein with four transmembrane domains. It is expressed in several cell types and localizes to late endosomes, lysosomes and secretory vesicles. In basophile granulocytes it is transiently exposed on the cell surface after activation. CD 63 expression is also associated with early stages of melanoma tumor progression.

Certificates

ISO 9001 2015 Quality Management System and Green Lab Platinum certification level for sustaining laboratory processes.

Newsletter

Sign up for our newsletter and get the latest updates and news.
 

Please provide a valid E-Mail-Address
Please provide a valid First name
Please provide a valid Last name