Tailor-made Antibodies
and Tools for Life Science
Home | | | | | Technical Support

Somatostatin-28 antibody - 366 004

SST is a peptide hormone with inhibitory functions
Guinea pig polyclonal antiserum
Cat. No.: 366 004
Amount: 100 µl
Price: $375.00
Cat. No. 366 004 100 µl antiserum, lyophilized. For reconstitution add 100 µl H2O, then aliquot and store at -20°C until use.
Antibodies should be stored at +4°C when still lyophilized. Do not freeze!
Applications
 
WB: not tested yet
IP: not tested yet
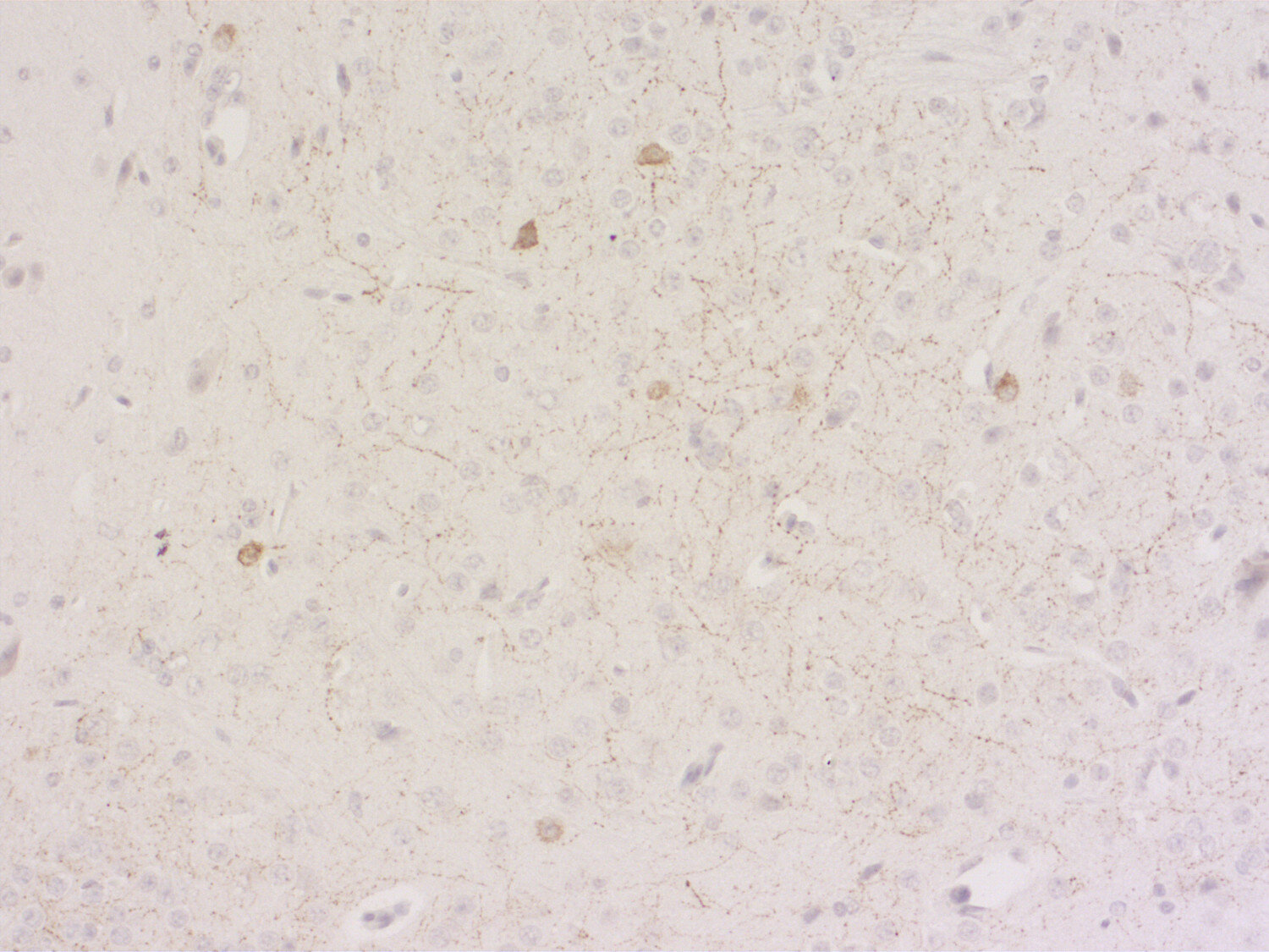
ICC: 1 : 500 gallery  
IHC: 1 : 500 gallery  
IHC-P: 1 : 500 gallery  

Western blot (WB); separation of proteins by PAGE and subsequent transfer to a membrane. Detection of target molecules is carried out with antibodies. Some antibodies require special sample preparation steps. For details, please refer to the “Remarks” section.

Immunoprecipitation (IP); Immunoisolation or pulldown of a target molecule using an antibody. For details and product specific hints, please refer to the ”Remarks” section.

Immunocytochemistry (ICC) on 4% PFA fixed cells. Immunoreactivity is usually revealed by fluorescence. Some antibodies require special fixation methods. For details, please refer to the “Remarks” section.

Immunohistochemistry (IHC) on 4% PFA perfusion fixed tissue with 24h PFA post fixation. Immunoreactivity is usually revealed by fluorescence or a chromogenic substrate. Some antibodies require special fixation methods or antigen retrieval steps. For details, please refer to the ”Remarks” section.

Immunohistochemistry (IHC-P) of formalin fixed, paraffin embedded (FFPE) tissue (some antibodies require special antigen retrieval steps, please refer to the ”Remarks” section). Immunoreactivity is usually revealed by fluorescence or a chromogenic substrate.

Immunogen Synthetic peptide corresponding to AA 89 to 100 from mouse Somatostatin (UniProt Id: P60041)
Reactivity Reacts with: human (P61278), rat (P60042), mouse (P60041).
Other species not tested yet.
Specificity This antibody preferentially recognizes somatostatin-28. It only shows minor cross-reactivity to the unprocessed precursor protein and does not detect somatostatin-14.
Data sheet Datasheet 366_004

References for Somatostatin-28 - 366 004

Generation of self-organized autonomic ganglion organoids from fibroblasts.
Liu S, Xiang K, Yuan F, Xiang M
iScience (2023) 263: 106241. 366 004 ICC; tested species: mouse
Vitamin D Regulates Olfactory Function via Dual Transcriptional and mTOR-Dependent Translational Control of Synaptic Proteins.
Ren P, Cao R, Ye X, Pang W, Bi Q, Huang M, Zhou Q, Ye D, Xiang W, Xiao L
Advanced science (Weinheim, Baden-Wurttemberg, Germany) (2025) : e07181. 366 004 IHC; tested species: mouse
Synaptic and dendritic architecture of different types of hippocampal somatostatin interneurons.
Takács V, Bardóczi Z, Orosz Á, Major A, Tar L, Berki P, Papp P, Mayer MI, Sebők H, Zsolt L, Sos KE, et al.
PLoS biology (2024) 223: e3002539. 366 004 IHC; tested species: mouse
Selective prosaposin expression in Langerhans islets of the mouse pancreas.
Fuyuki A, Sohel MSH, Homma T, Kitamura K, Takashima S, Onouchi S, Saito S
Tissue & cell (2024) 88: 102367. 366 004 IHC; tested species: mouse
Voluntary running-induced activation of ventral hippocampal GABAergic interneurons contributes to exercise-induced hypoalgesia in neuropathic pain model mice.
Minami K, Kami K, Nishimura Y, Kawanishi M, Imashiro K, Kami T, Habata S, Senba E, Umemoto Y, Tajima F
Scientific reports (2023) 131: 2645. 366 004 IHC; tested species: mouse
PDGF-BB-Dependent Neurogenesis Buffers Depressive-Like Behaviors by Inhibition of GABAergic Projection from Medial Septum to Dentate Gyrus.
Li HH, Liu Y, Chen HS, Wang J, Li YK, Zhao Y, Sun R, He JG, Wang F, Chen JG
Advanced science (Weinheim, Baden-Wurttemberg, Germany) (2023) 1022: e2301110. 366 004 IHC; tested species: mouse
Total Number and Ratio of GABAergic Neuron Types in the Mouse Lateral and Basal Amygdala.
Vereczki VK, Müller K, Krizsán É, Máté Z, Fekete Z, Rovira-Esteban L, Veres JM, Erdélyi F, Hájos N
The Journal of neuroscience : the official journal of the Society for Neuroscience (2021) 4121: 4575-4595. 366 004 IHC; tested species: mouse
Nrg1 haploinsufficiency alters inhibitory cortical circuits.
Navarro-Gonzalez C, Carceller H, Benito Vicente M, Serra I, Navarrete M, Domínguez-Canterla Y, Rodríguez-Prieto Á, González-Manteiga A, Fazzari P
Neurobiology of disease (2021) 157: 105442. 366 004 IHC; tested species: mouse
ROCK/PKA inhibition rescues hippocampal hyperexcitability and GABAergic neuron alterations in Oligophrenin-1 Knock-out mouse model of X-linked intellectual disability.
Busti I, Allegra M, Spalletti C, Panzi C, Restani L, Billuart P, Caleo M
The Journal of neuroscience : the official journal of the Society for Neuroscience (2020) : . 366 004 IHC; tested species: mouse
Glia-to-Neuron Conversion by CRISPR-CasRx Alleviates Symptoms of Neurological Disease in Mice.
Zhou H, Su J, Hu X, Zhou C, Li H, Chen Z, Xiao Q, Wang B, Wu W, Sun Y, Zhou Y, et al.
Cell (2020) : . 366 004 IHC; tested species: mouse
Ventral hippocampal projections to the medial prefrontal cortex regulate social memory.
Phillips ML, Robinson HA, Pozzo-Miller L
eLife (2019) 8: . 366 004 IHC; tested species: mouse
Phase-specific surround suppression in mouse primary visual cortex correlates with figure detection behavior based on phase discontinuity.
Li F, Jiang W, Wang TY, Xie T, Yao H
Neuroscience (2018) : . 366 004 IHC; tested species: mouse
Supramammillary Nucleus Afferents to the Dentate Gyrus Co-release Glutamate and GABA and Potentiate Granule Cell Output.
Hashimotodani Y, Karube F, Yanagawa Y, Fujiyama F, Kano M
Cell reports (2018) 2510: 2704-2715.e4. 366 004 IHC; tested species: mouse
Amyloid β induces interneuron-specific changes in the hippocampus of APPNL-F mice.
Sos KE, Mayer MI, Takács VT, Major A, Bardóczi Z, Beres BM, Szeles T, Saito T, Saido TC, Mody I, Freund TF, et al.
PloS one (2020) 155: e0233700. 366 004 EM; tested species: mouse
Cat. No.: 366 004
Amount: 100 µl
Price: $375.00
Generation of self-organized autonomic ganglion organoids from fibroblasts.
Liu S, Xiang K, Yuan F, Xiang M
iScience (2023) 263: 106241. 366 004 ICC; tested species: mouse
Vitamin D Regulates Olfactory Function via Dual Transcriptional and mTOR-Dependent Translational Control of Synaptic Proteins.
Ren P, Cao R, Ye X, Pang W, Bi Q, Huang M, Zhou Q, Ye D, Xiang W, Xiao L
Advanced science (Weinheim, Baden-Wurttemberg, Germany) (2025) : e07181. 366 004 IHC; tested species: mouse
Synaptic and dendritic architecture of different types of hippocampal somatostatin interneurons.
Takács V, Bardóczi Z, Orosz Á, Major A, Tar L, Berki P, Papp P, Mayer MI, Sebők H, Zsolt L, Sos KE, et al.
PLoS biology (2024) 223: e3002539. 366 004 IHC; tested species: mouse
Selective prosaposin expression in Langerhans islets of the mouse pancreas.
Fuyuki A, Sohel MSH, Homma T, Kitamura K, Takashima S, Onouchi S, Saito S
Tissue & cell (2024) 88: 102367. 366 004 IHC; tested species: mouse
Voluntary running-induced activation of ventral hippocampal GABAergic interneurons contributes to exercise-induced hypoalgesia in neuropathic pain model mice.
Minami K, Kami K, Nishimura Y, Kawanishi M, Imashiro K, Kami T, Habata S, Senba E, Umemoto Y, Tajima F
Scientific reports (2023) 131: 2645. 366 004 IHC; tested species: mouse
PDGF-BB-Dependent Neurogenesis Buffers Depressive-Like Behaviors by Inhibition of GABAergic Projection from Medial Septum to Dentate Gyrus.
Li HH, Liu Y, Chen HS, Wang J, Li YK, Zhao Y, Sun R, He JG, Wang F, Chen JG
Advanced science (Weinheim, Baden-Wurttemberg, Germany) (2023) 1022: e2301110. 366 004 IHC; tested species: mouse
Total Number and Ratio of GABAergic Neuron Types in the Mouse Lateral and Basal Amygdala.
Vereczki VK, Müller K, Krizsán É, Máté Z, Fekete Z, Rovira-Esteban L, Veres JM, Erdélyi F, Hájos N
The Journal of neuroscience : the official journal of the Society for Neuroscience (2021) 4121: 4575-4595. 366 004 IHC; tested species: mouse
Nrg1 haploinsufficiency alters inhibitory cortical circuits.
Navarro-Gonzalez C, Carceller H, Benito Vicente M, Serra I, Navarrete M, Domínguez-Canterla Y, Rodríguez-Prieto Á, González-Manteiga A, Fazzari P
Neurobiology of disease (2021) 157: 105442. 366 004 IHC; tested species: mouse
ROCK/PKA inhibition rescues hippocampal hyperexcitability and GABAergic neuron alterations in Oligophrenin-1 Knock-out mouse model of X-linked intellectual disability.
Busti I, Allegra M, Spalletti C, Panzi C, Restani L, Billuart P, Caleo M
The Journal of neuroscience : the official journal of the Society for Neuroscience (2020) : . 366 004 IHC; tested species: mouse
Glia-to-Neuron Conversion by CRISPR-CasRx Alleviates Symptoms of Neurological Disease in Mice.
Zhou H, Su J, Hu X, Zhou C, Li H, Chen Z, Xiao Q, Wang B, Wu W, Sun Y, Zhou Y, et al.
Cell (2020) : . 366 004 IHC; tested species: mouse
Ventral hippocampal projections to the medial prefrontal cortex regulate social memory.
Phillips ML, Robinson HA, Pozzo-Miller L
eLife (2019) 8: . 366 004 IHC; tested species: mouse
Phase-specific surround suppression in mouse primary visual cortex correlates with figure detection behavior based on phase discontinuity.
Li F, Jiang W, Wang TY, Xie T, Yao H
Neuroscience (2018) : . 366 004 IHC; tested species: mouse
Supramammillary Nucleus Afferents to the Dentate Gyrus Co-release Glutamate and GABA and Potentiate Granule Cell Output.
Hashimotodani Y, Karube F, Yanagawa Y, Fujiyama F, Kano M
Cell reports (2018) 2510: 2704-2715.e4. 366 004 IHC; tested species: mouse
Amyloid β induces interneuron-specific changes in the hippocampus of APPNL-F mice.
Sos KE, Mayer MI, Takács VT, Major A, Bardóczi Z, Beres BM, Szeles T, Saito T, Saido TC, Mody I, Freund TF, et al.
PloS one (2020) 155: e0233700. 366 004 EM; tested species: mouse
Background

Somatostatin, also referred to as SST, growth hormone-inhibiting hormone or GHIH, is a peptide hormone that regulates the endocrine system and affects neurotransmission and cell proliferation via interaction with G protein-coupled somatostatin receptors. It inhibits the secretion of many important hormones, including insulin, glucagon and somatotropin (also designated growth hormone, or GH).
Somatostatin has two forms, active 14 amino acid and 28 amino acid. They are produced by alternative cleavage of the single precursor protein encoded by this gene.

 

For more information on protein expression pattern, please refer to the overview image in our SYSY Antibodies ATLAS.

Certificates

ISO 9001 2015 Quality Management System and Green Lab Platinum certification level for sustaining laboratory processes.

Newsletter

Sign up for our newsletter and get the latest updates and news.
 

Please provide a valid E-Mail-Address
Please provide a valid First name
Please provide a valid Last name