Tailor-made Antibodies
and Tools for Life Science
Home | | | | | Technical Support

Ca2+ channel L-type alpha-1F antibody - 365 003

Rabbit polyclonal purified antibody
Cat. No.: 365 003
Amount: 50 µg
Price: $380.00
Cat. No. 365 003 50 µg specific antibody, lyophilized. Affinity purified with the immunogen. Albumin and azide were added for stabilization. For reconstitution add 50 µl H2O to get a 1mg/ml solution in PBS. Then aliquot and store at -20°C to -80°C until use.
Antibodies should be stored at +4°C when still lyophilized. Do not freeze!
Applications
 
WB: not recommended
IP: not tested yet
ICC: not tested yet
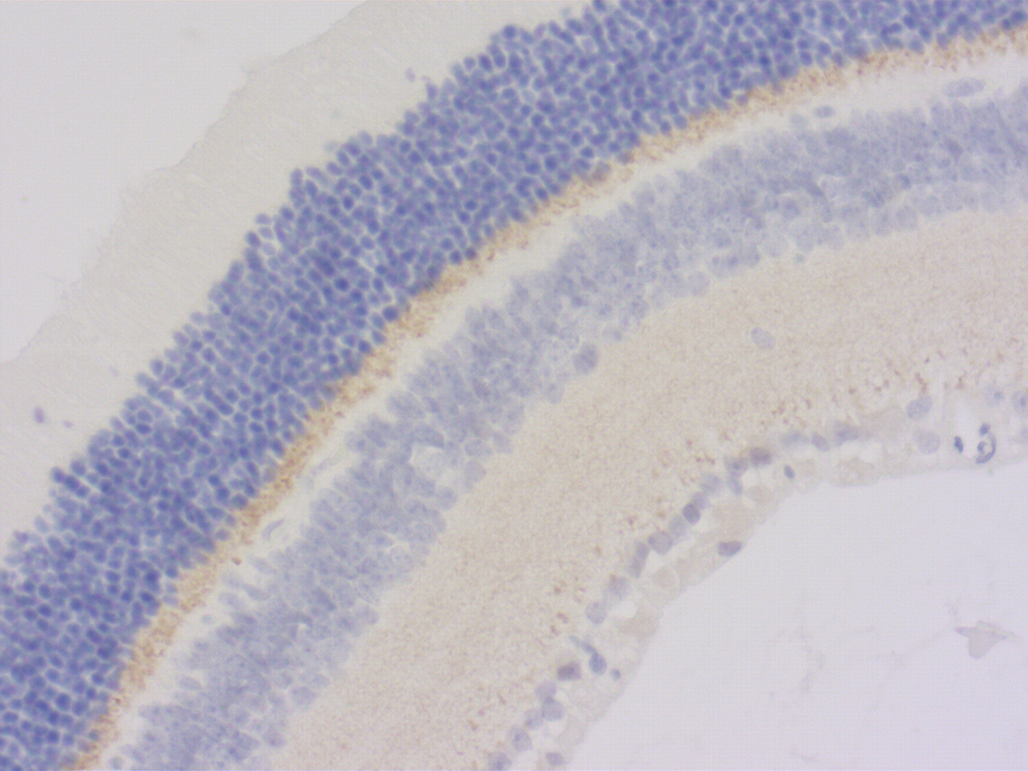
IHC: 1 : 500 up to 1 : 1000 (see remarks) gallery  
IHC-P: 1 : 1000 gallery  

Western blot (WB); separation of proteins by PAGE and subsequent transfer to a membrane. Detection of target molecules is carried out with antibodies. Some antibodies require special sample preparation steps. For details, please refer to the “Remarks” section.

Immunoprecipitation (IP); Immunoisolation or pulldown of a target molecule using an antibody. For details and product specific hints, please refer to the ”Remarks” section.

Immunocytochemistry (ICC) on 4% PFA fixed cells. Immunoreactivity is usually revealed by fluorescence. Some antibodies require special fixation methods. For details, please refer to the “Remarks” section.

Immunohistochemistry (IHC) on 4% PFA perfusion fixed tissue with 24h PFA post fixation. Immunoreactivity is usually revealed by fluorescence or a chromogenic substrate. Some antibodies require special fixation methods or antigen retrieval steps. For details, please refer to the ”Remarks” section.

Immunohistochemistry (IHC-P) of formalin fixed, paraffin embedded (FFPE) tissue (some antibodies require special antigen retrieval steps, please refer to the ”Remarks” section). Immunoreactivity is usually revealed by fluorescence or a chromogenic substrate.

Immunogen Recombinant protein corresponding to AA 1667 to 1985 from mouse Cav1.4 (UniProt Id: Q7TNI3)
Reactivity Reacts with: mouse (Q9JIS7).
Other species not tested yet.
Specificity Specific for the Ca2+ channel α-1F subunit.
Remarks

IHC: For optimal results in retina tissue, follow the retina protocol.

Data sheet Datasheet 365_003

References for Ca2+ channel L-type alpha-1F - 365 003

The first synapse in vision in the aging mouse retina.
Gierke K, Lux UT, Regus-Leidig H, Brandstätter JH
Frontiers in cellular neuroscience (2023) 17: 1291054. 365 003 IHC; tested species: mouse
Genetic disruption of bassoon in two mutant mouse lines causes divergent retinal phenotypes.
Ryl M, Urbasik A, Gierke K, Babai N, Joachimsthaler A, Feigenspan A, Frischknecht R, Stallwitz N, Fejtová A, Kremers J, von Wittgenstein J, et al.
FASEB journal : official publication of the Federation of American Societies for Experimental Biology (2021) 355: e21520. 365 003 IHC; tested species: mouse
The absence of functional bassoon at cone photoreceptor ribbon synapses affects signal transmission at Off cone bipolar cell contacts in mouse retina.
Babai N, von Wittgenstein J, Gierke K, Brandstätter JH, Feigenspan A
Acta physiologica (Oxford, England) (2021) 2313: e13584. 365 003 IHC; tested species: mouse
Cat. No.: 365 003
Amount: 50 µg
Price: $380.00
The first synapse in vision in the aging mouse retina.
Gierke K, Lux UT, Regus-Leidig H, Brandstätter JH
Frontiers in cellular neuroscience (2023) 17: 1291054. 365 003 IHC; tested species: mouse
Genetic disruption of bassoon in two mutant mouse lines causes divergent retinal phenotypes.
Ryl M, Urbasik A, Gierke K, Babai N, Joachimsthaler A, Feigenspan A, Frischknecht R, Stallwitz N, Fejtová A, Kremers J, von Wittgenstein J, et al.
FASEB journal : official publication of the Federation of American Societies for Experimental Biology (2021) 355: e21520. 365 003 IHC; tested species: mouse
The absence of functional bassoon at cone photoreceptor ribbon synapses affects signal transmission at Off cone bipolar cell contacts in mouse retina.
Babai N, von Wittgenstein J, Gierke K, Brandstätter JH, Feigenspan A
Acta physiologica (Oxford, England) (2021) 2313: e13584. 365 003 IHC; tested species: mouse
Background
Voltage gated calcium channels (VGCCs), also referred to as voltage sensitive calcium channels (VSCCs), are present in most excitable cells. They mediate the influx of Ca2+ ions into the cell and trigger the release of neurotransmitters or hormons but are also involved in other calcium dependent processes like metabolism, cell proliferation and cell death.
VGCCs are composed of four subunits (α-1, α-2, β and δ) in a 1:1:1:1 ratio. The α-1F subunit occurs in VGCCs of the L-type expressed in the retina.

Certificates

ISO 9001 2015 Quality Management System and Green Lab Platinum certification level for sustaining laboratory processes.

Newsletter

Sign up for our newsletter and get the latest updates and news.
 

Please provide a valid E-Mail-Address
Please provide a valid First name
Please provide a valid Last name