Tailor-made Antibodies
and Tools for Life Science
Home | | | | | Technical Support

Monocarboxylate transporter1 (MCT1, SLC16A1) antibody - 356 003

MCTs translocate monocarboxylates across the plasma membranes
Rabbit polyclonal purified antibody
Cat. No.: 356 003
Amount: 50 µg
Price: $380.00
Cat. No. 356 003 50 µg specific antibody, lyophilized. Affinity purified with the immunogen. Albumin was added for stabilization. For reconstitution add 50 µl H2O to get a 1mg/ml solution in PBS. Then aliquot and store at -20°C to -80°C until use.
Antibodies should be stored at +4°C when still lyophilized. Do not freeze!
Applications
 
WB: 1 : 1000 (AP staining) gallery  
IP: not tested yet
ICC: 1 : 500 gallery  
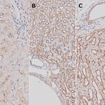
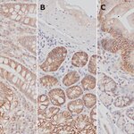
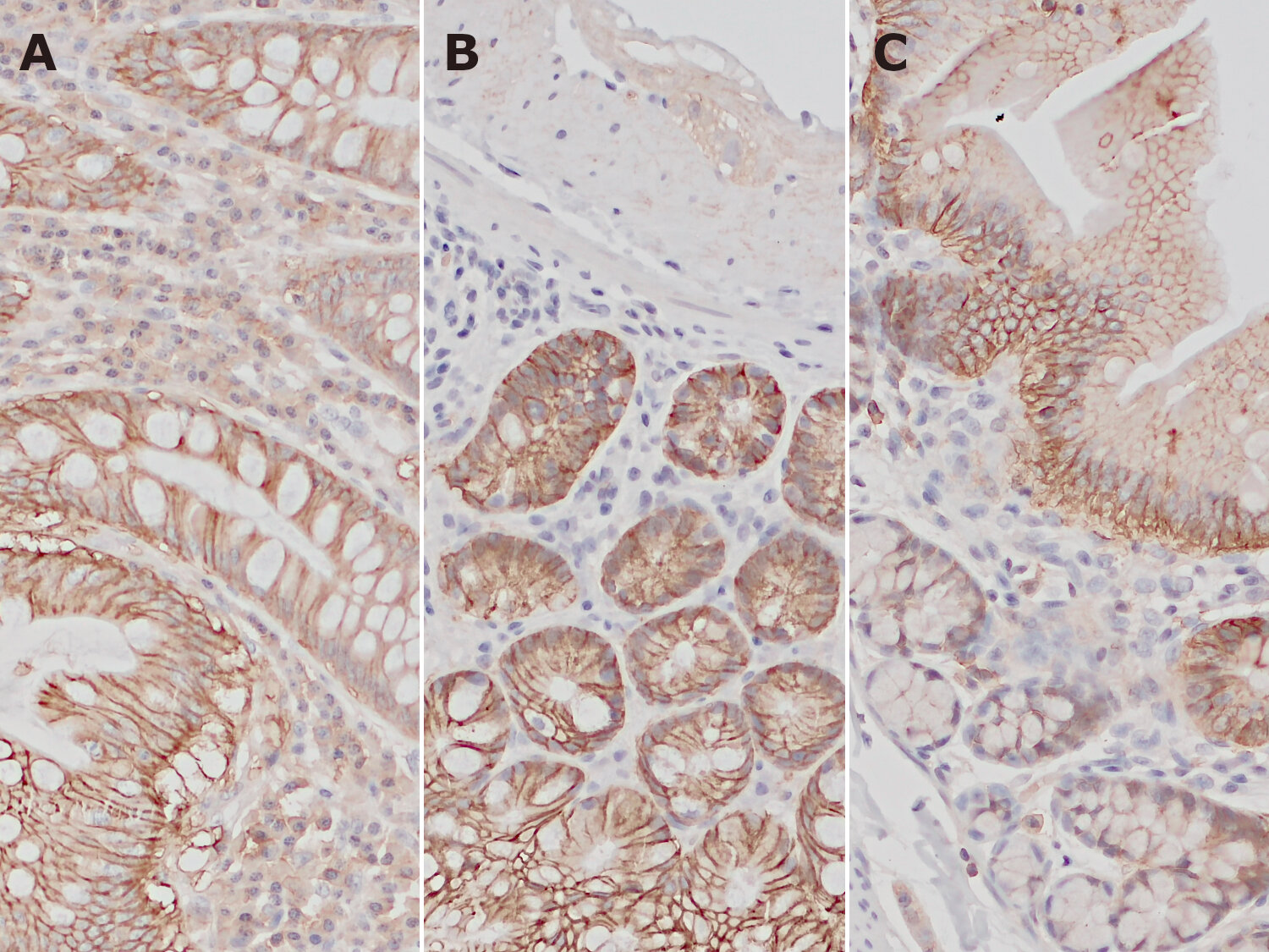
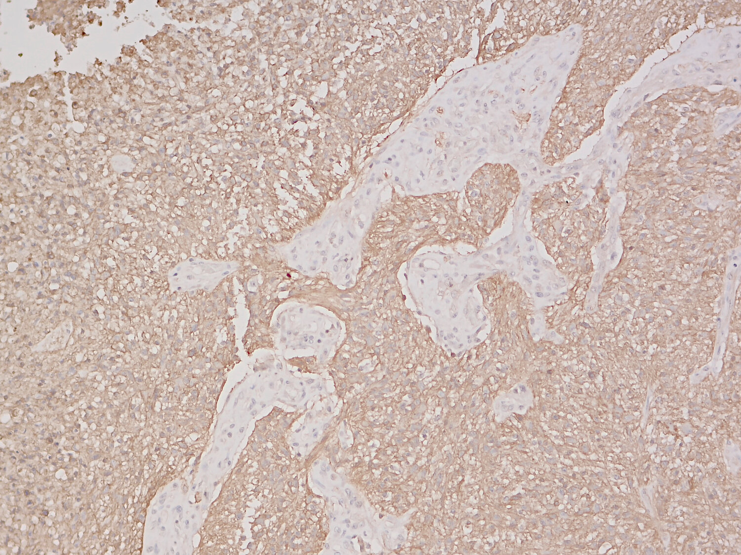
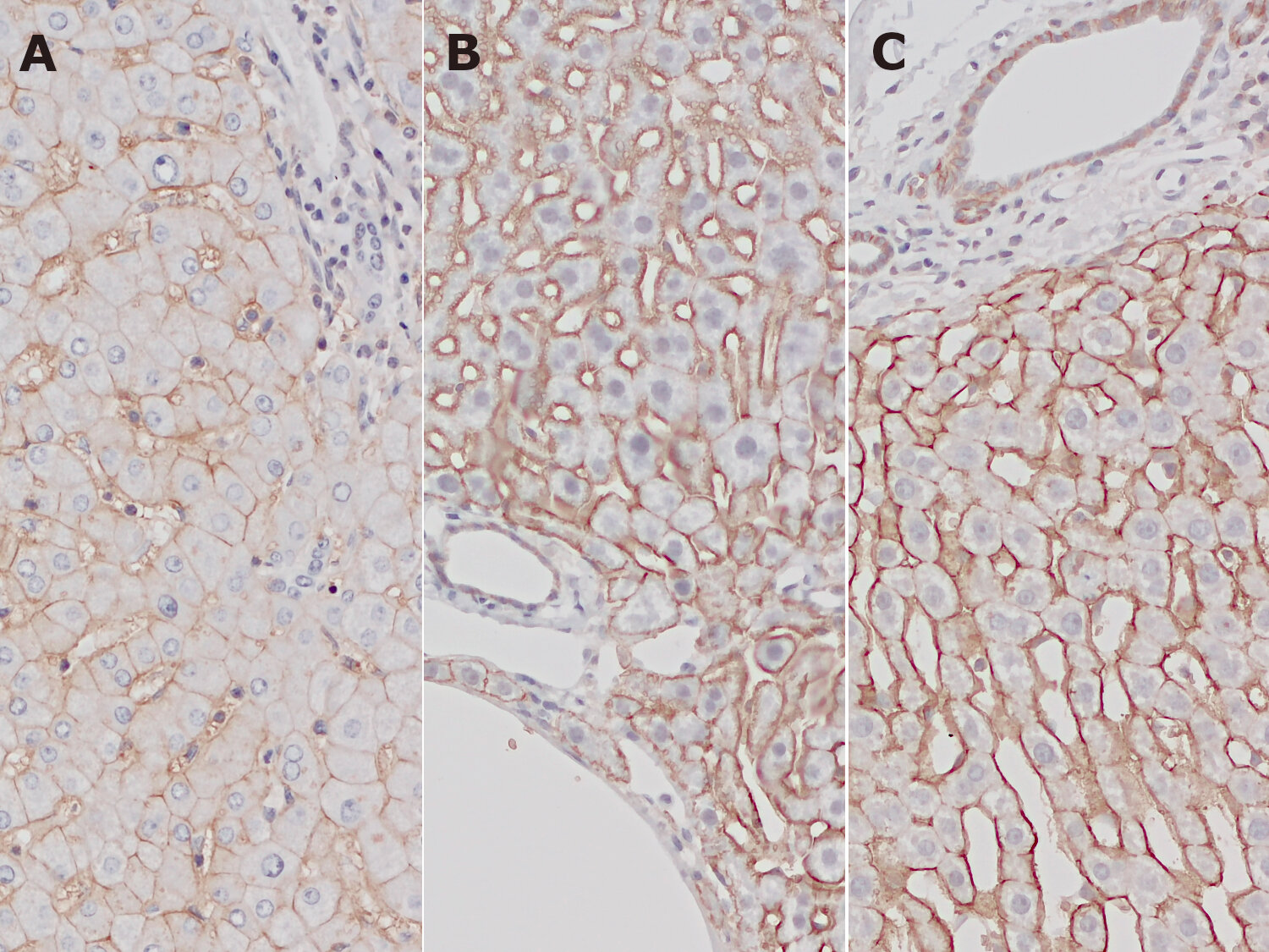
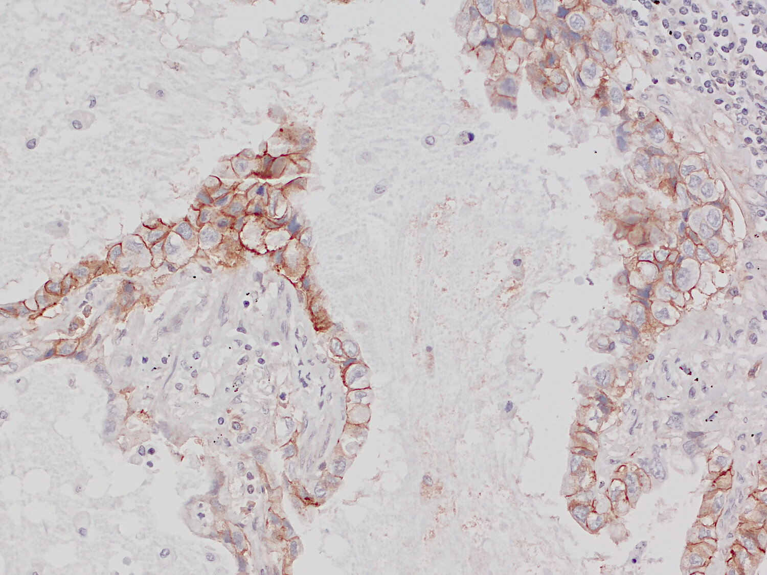
IHC: 1 : 500 gallery  
IHC-P: 1 : 500 gallery  

Western blot (WB); separation of proteins by PAGE and subsequent transfer to a membrane. Detection of target molecules is carried out with antibodies. Some antibodies require special sample preparation steps. For details, please refer to the “Remarks” section.

Immunoprecipitation (IP); Immunoisolation or pulldown of a target molecule using an antibody. For details and product specific hints, please refer to the ”Remarks” section.

Immunocytochemistry (ICC) on 4% PFA fixed cells. Immunoreactivity is usually revealed by fluorescence. Some antibodies require special fixation methods. For details, please refer to the “Remarks” section.

Immunohistochemistry (IHC) on 4% PFA perfusion fixed tissue with 24h PFA post fixation. Immunoreactivity is usually revealed by fluorescence or a chromogenic substrate. Some antibodies require special fixation methods or antigen retrieval steps. For details, please refer to the ”Remarks” section.

Immunohistochemistry (IHC-P) of formalin fixed, paraffin embedded (FFPE) tissue (some antibodies require special antigen retrieval steps, please refer to the ”Remarks” section). Immunoreactivity is usually revealed by fluorescence or a chromogenic substrate.

Immunogen Synthetic peptide corresponding to AA 483 to 493 from mouse MCT1 (UniProt Id: P53986)
Reactivity Reacts with: rat (P53987), mouse (P53986), human (P53985 ).
Other species not tested yet.
Matching control protein/peptide 356-0P
Data sheet Datasheet 356_003
Cat. No.: 356 003
Amount: 50 µg
Price: $380.00
Background

The proton-linked transport of monocarboxylates across the plasma membrane plays a critical role in the metabolism and pH regulation of most cells. Fourteen different monocarboxylic acid transporters (MCTs) have been identified, so far. Only four of them (MCT 1-4) have been shown to actively transport the monocarboxylates pyruvate and lactate across the cell membrane.
MCT 1, also referrred to as Slc16 a1, and MCT 2 show differential expression in astrocyte subpopulations and blood vessels in the mammalian brain.
MCT4 is highly expressed in glycolytic cells, such as skeletal muscle fibers, astrocytes, leukocytes, chondrocytes, and some mammalian cell lineages.

Certificates

ISO 9001 2015 Quality Management System and Green Lab Platinum certification level for sustaining laboratory processes.

Newsletter

Sign up for our newsletter and get the latest updates and news.
 

Please provide a valid E-Mail-Address
Please provide a valid First name
Please provide a valid Last name