Tailor-made Antibodies
and Tools for Life Science
Home | | | | | Technical Support

Ig lambda light chain antibody - 349 017

Ig lambda light chain is a useful marker for the classification of B-cell lymphoma
Rat monoclonal purified IgG
Cat. No.: 349 017
Amount: 100 µg
Price: $420.00
Cat. No. 349 017 100 µg purified IgG, lyophilized. Azide was added before lyophilization. For reconstitution add 100 µl H2O to get a 1mg/ml solution in PBS. Then aliquot and store at -20°C to -80°C until use.
Antibodies should be stored at +4°C when still lyophilized. Do not freeze!
Applications
 
WB: 1 : 1000 (AP staining)
IP: yes
ICC: not tested yet
IHC: not tested yet
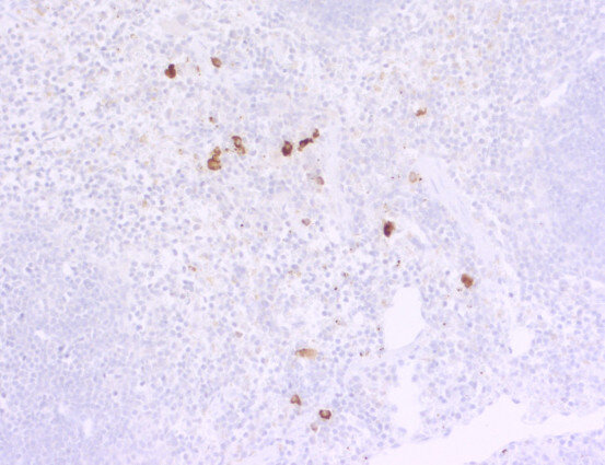
IHC-P: 1 : 50 up to 1 : 200 gallery  
FACS: yes

Western blot (WB); separation of proteins by PAGE and subsequent transfer to a membrane. Detection of target molecules is carried out with antibodies. Some antibodies require special sample preparation steps. For details, please refer to the “Remarks” section.

Immunoprecipitation (IP); Immunoisolation or pulldown of a target molecule using an antibody. For details and product specific hints, please refer to the ”Remarks” section.

Immunocytochemistry (ICC) on 4% PFA fixed cells. Immunoreactivity is usually revealed by fluorescence. Some antibodies require special fixation methods. For details, please refer to the “Remarks” section.

Immunohistochemistry (IHC) on 4% PFA perfusion fixed tissue with 24h PFA post fixation. Immunoreactivity is usually revealed by fluorescence or a chromogenic substrate. Some antibodies require special fixation methods or antigen retrieval steps. For details, please refer to the ”Remarks” section.

Immunohistochemistry (IHC-P) of formalin fixed, paraffin embedded (FFPE) tissue (some antibodies require special antigen retrieval steps, please refer to the ”Remarks” section). Immunoreactivity is usually revealed by fluorescence or a chromogenic substrate.

Fluorescence-activated cell sorting (FACS); usually cells are fluorescently labeled with antibodies against cell-surface antigens followed by cell-sorter analysis.

Clone L22.18.2
Subtype IgG2b
Immunogen Purified light chains from mouse IgGs
Reactivity Reacts with: mouse.
Other species not tested yet.
Specificity Specific for λ1-light chain of mouse immunoglobulins.
Data sheet Datasheet 349_017

References for Ig lambda light chain - 349 017

Alternative mechanisms of receptor editing in autoreactive B cells.
Kalinina O, Doyle-Cooper CM, Miksanek J, Meng W, Prak EL, Weigert MG
Proceedings of the National Academy of Sciences of the United States of America (2011) 10817: 7125-30. 349 017 FACS; tested species: mouse
Mice completely suppressed for the expression of immunoglobulin kappa light chain.
Weiss S, Lehmann K, Raschke WC, Cohn M
Proceedings of the National Academy of Sciences of the United States of America (1984) 811: 211-5. 349 017 ; tested species: mouse
Monoclonal antibodies to murine immunoglobulin isotypes.
Weiss S, Lehmann K, Cohn M
Hybridoma (1983) 21: 49-54. 349 017 ; tested species: mouse
Cat. No.: 349 017
Amount: 100 µg
Price: $420.00
Alternative mechanisms of receptor editing in autoreactive B cells.
Kalinina O, Doyle-Cooper CM, Miksanek J, Meng W, Prak EL, Weigert MG
Proceedings of the National Academy of Sciences of the United States of America (2011) 10817: 7125-30. 349 017 FACS; tested species: mouse
Mice completely suppressed for the expression of immunoglobulin kappa light chain.
Weiss S, Lehmann K, Raschke WC, Cohn M
Proceedings of the National Academy of Sciences of the United States of America (1984) 811: 211-5. 349 017 ; tested species: mouse
Monoclonal antibodies to murine immunoglobulin isotypes.
Weiss S, Lehmann K, Cohn M
Hybridoma (1983) 21: 49-54. 349 017 ; tested species: mouse
Background
Immunoglobulin (Ig) molecules consist of heavy chains and light chains of either lambda (λ) or kappa (κ) type, with κ light chains being the more common form. Immunoglobulines of the IgG, IgD and IgE type are composed of two heavy and two light chains. IgA occurs as dimeric and IgM as pentameric Ig complexes.

Certificates

ISO 9001 2015 Quality Management System and Green Lab Platinum certification level for sustaining laboratory processes.

Newsletter

Sign up for our newsletter and get the latest updates and news.
 

Please provide a valid E-Mail-Address
Please provide a valid First name
Please provide a valid Last name