Tailor-made Antibodies
and Tools for Life Science
Home | | | | | Technical Support

SOX1 antibody - 347 104

SOX proteins are transcription factors involved in CNS development
Guinea pig polyclonal antiserum
Cat. No.: 347 104
Amount: 100 µl
Price: $370.00
Cat. No. 347 104 100 µl antiserum, lyophilized. Albumin and azide were added for stabilization. For reconstitution add 100 µl H2O, then aliquot and store at -20°C until use.
Antibodies should be stored at +4°C when still lyophilized. Do not freeze!
Applications
 
WB: not tested yet
IP: not tested yet
ICC: 1 : 500 up to 1 : 2000 gallery  
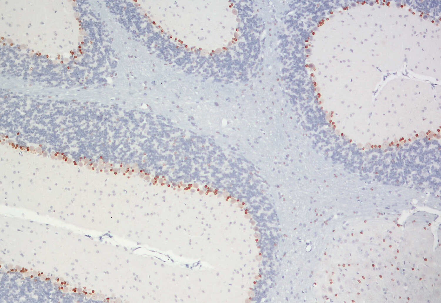
IHC: 1 : 2000 gallery  
IHC-P (FFPE): 1 : 500 up to 1 : 2000 gallery  

Western blot (WB); separation of proteins by PAGE and subsequent transfer to a membrane. Detection of target molecules is carried out with antibodies. Some antibodies require special sample preparation steps. For details, please refer to the “Remarks” section.

Immunoprecipitation (IP); Immunoisolation or pulldown of a target molecule using an antibody. For details and product specific hints, please refer to the ”Remarks” section.

Immunocytochemistry (ICC) on 4% PFA fixed cells. Immunoreactivity is usually revealed by fluorescence. Some antibodies require special fixation methods. For details, please refer to the “Remarks” section.

Immunohistochemistry (IHC) on 4% PFA perfusion fixed tissue with 24h PFA post fixation. Immunoreactivity is usually revealed by fluorescence or a chromogenic substrate. Some antibodies require special fixation methods or antigen retrieval steps. For details, please refer to the ”Remarks” section.

Immunohistochemistry (IHC-P) of formalin fixed, paraffin embedded (FFPE) tissue (some antibodies require special antigen retrieval steps, please refer to the ”Remarks” section). Immunoreactivity is usually revealed by fluorescence or a chromogenic substrate.

Immunogen Synthetic peptide corresponding to residues near the amino terminus of mouse SOX1 (UniProt Id: P53783)
Reactivity Reacts with: mouse (P53783), rat (A0A8I6G2U2).
Other species not tested yet.
Predicted to cross-react with human (O00570) due to high sequence homology.
Data sheet Datasheet 347_104
Cat. No.: 347 104
Amount: 100 µl
Price: $370.00
Background

Sex determining region of Y chromosome (Sry)-related high mobility group box1-3) or SOX1-3 proteins belong to the earliest transcription factors expressed in the developing CNS.
SOX1, SOX2 and SOX3 constitute the B1-subgroup of the SOX gene family 12. They are expressed by most progenitor cells of the developing CNS and are generally downregulated by neural cells when they exit the cell cycle and differentiate.

 

For more information on protein expression pattern, please refer to the overview image in our SYSY Antibodies ATLAS.

Certificates

ISO 9001 2015 Quality Management System and Green Lab Platinum certification level for sustaining laboratory processes.

Newsletter

Sign up for our newsletter and get the latest updates and news.
 

Please provide a valid E-Mail-Address
Please provide a valid First name
Please provide a valid Last name