Tailor-made Antibodies
and Tools for Life Science
Home | | | | | Technical Support

GAP43 antibody - 344 004

GAP43 is involved in axonal differentiation
Guinea pig polyclonal antiserum
Cat. No.: 344 004
Amount: 100 µl
Price: $370.00
Cat. No. 344 004 100 µl antiserum, lyophilized. For reconstitution add 100 µl H2O, then aliquot and store at -20°C until use.
Antibodies should be stored at +4°C when still lyophilized. Do not freeze!
Applications
 
WB: 1 : 1000 (AP staining) gallery  
IP: yes
ICC: 1 : 500 gallery  
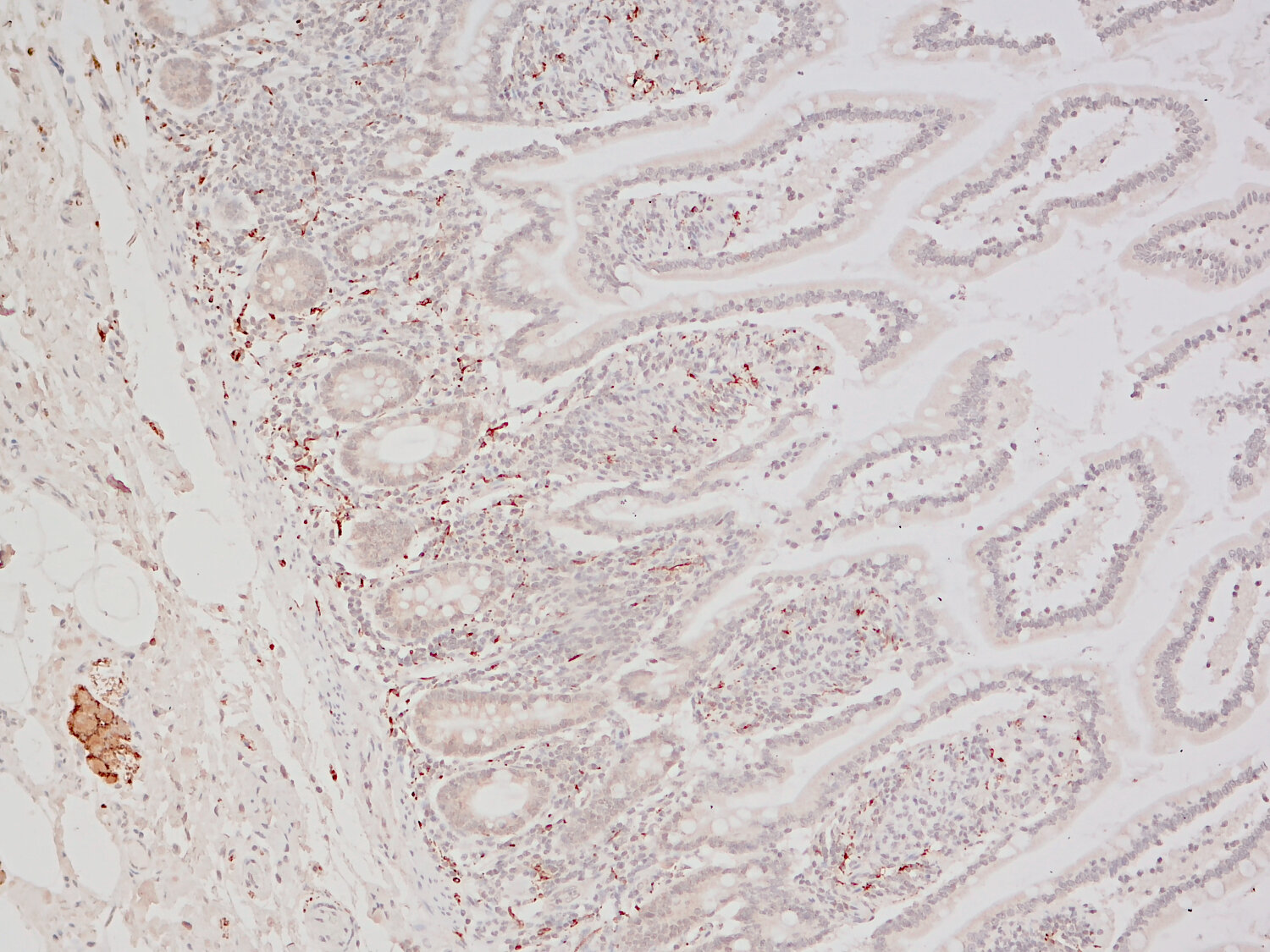
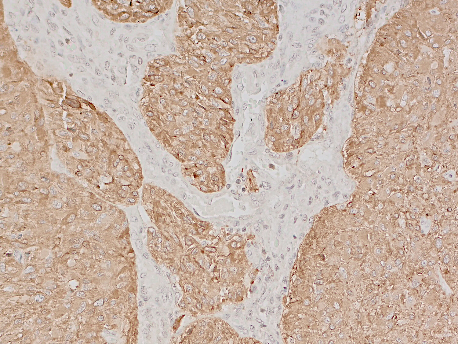
IHC: 1 : 500 gallery  
IHC-P: 1 : 500 up to 1 : 1000 gallery  

Western blot (WB); separation of proteins by PAGE and subsequent transfer to a membrane. Detection of target molecules is carried out with antibodies. Some antibodies require special sample preparation steps. For details, please refer to the “Remarks” section.

Immunoprecipitation (IP); Immunoisolation or pulldown of a target molecule using an antibody. For details and product specific hints, please refer to the ”Remarks” section.

Immunocytochemistry (ICC) on 4% PFA fixed cells. Immunoreactivity is usually revealed by fluorescence. Some antibodies require special fixation methods. For details, please refer to the “Remarks” section.

Immunohistochemistry (IHC) on 4% PFA perfusion fixed tissue with 24h PFA post fixation. Immunoreactivity is usually revealed by fluorescence or a chromogenic substrate. Some antibodies require special fixation methods or antigen retrieval steps. For details, please refer to the ”Remarks” section.

Immunohistochemistry (IHC-P) of formalin fixed, paraffin embedded (FFPE) tissue (some antibodies require special antigen retrieval steps, please refer to the ”Remarks” section). Immunoreactivity is usually revealed by fluorescence or a chromogenic substrate.

Immunogen Recombinant protein corresponding to AA 1 to 226 from rat GAP43 (UniProt Id: P07936)
Reactivity Reacts with: rat (P07936), mouse (P06837), human (P17677).
Other species not tested yet.
Data sheet Datasheet 344_004

References for GAP43 - 344 004

Jun N-terminal kinase's role in neuropathic pain: C-fiber remodeling and growth-associated protein-43 phosphorylation.
Yamanaka H, Kobayashi K, Kanda H, Noguchi K
Pain reports (2025) 106: e1367. 344 004 IHC; tested species: rat
Cat. No.: 344 004
Amount: 100 µl
Price: $370.00
Jun N-terminal kinase's role in neuropathic pain: C-fiber remodeling and growth-associated protein-43 phosphorylation.
Yamanaka H, Kobayashi K, Kanda H, Noguchi K
Pain reports (2025) 106: e1367. 344 004 IHC; tested species: rat
Background
The neuronal growth-associated protein GAP 43 plays an important role in nerve growth and is a major component of the motile "growth cones" that form the tips of elongating axons. It is the major substrate for protein kinase C and is associated with axonal and dendritic filopodia induction. GAP 43 is also known as Neuromodulin, B-50, P-57, pp46, and F1.

Certificates

ISO 9001 2015 Quality Management System and Green Lab Platinum certification level for sustaining laboratory processes.

Newsletter

Sign up for our newsletter and get the latest updates and news.
 

Please provide a valid E-Mail-Address
Please provide a valid First name
Please provide a valid Last name