Tailor-made Antibodies
and Tools for Life Science
Home | | | | | Technical Support
- will be discontinued soon
Polyclonal antibodies are a finite resource. We have now started to sell the last lots of our well received rabbit polyclonal MLC-2V antibody 310 203. It will be replaced by our new rabbit monoclonal recombinant IgG MLC-2V antibody 310 118.

MLC-2V antibody - 310 203

Myosin light chain 2V or MLC-2V is specific for the ventricle of the mammalian heart
Rabbit polyclonal purified antibody
Cat. No.: 310 203
Amount: 50 µg
Price: $460.00
Cat. No. 310 203 50 µg specific antibody, lyophilized. Affinity purified with the immunogen. Albumin was added for stabilization. For reconstitution add 50 µl H2O to get a 1mg/ml solution in PBS. Then aliquot and store at -20°C to -80°C until use.
Antibodies should be stored at +4°C when still lyophilized. Do not freeze!
Applications
 
WB: 1 : 1000 (AP staining) gallery  
IP: not tested yet
ICC: not tested yet
IHC: not tested yet
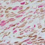
IHC-P: 1 : 200 gallery  

Western blot (WB); separation of proteins by PAGE and subsequent transfer to a membrane. Detection of target molecules is carried out with antibodies. Some antibodies require special sample preparation steps. For details, please refer to the “Remarks” section.

Immunoprecipitation (IP); Immunoisolation or pulldown of a target molecule using an antibody. For details and product specific hints, please refer to the ”Remarks” section.

Immunocytochemistry (ICC) on 4% PFA fixed cells. Immunoreactivity is usually revealed by fluorescence. Some antibodies require special fixation methods. For details, please refer to the “Remarks” section.

Immunohistochemistry (IHC) on 4% PFA perfusion fixed tissue with 24h PFA post fixation. Immunoreactivity is usually revealed by fluorescence or a chromogenic substrate. Some antibodies require special fixation methods or antigen retrieval steps. For details, please refer to the ”Remarks” section.

Immunohistochemistry (IHC-P) of formalin fixed, paraffin embedded (FFPE) tissue (some antibodies require special antigen retrieval steps, please refer to the ”Remarks” section). Immunoreactivity is usually revealed by fluorescence or a chromogenic substrate.

Immunogen Synthetic peptide corresponding to AA 3 to 14 from human MLC-2V (UniProt Id: P10916)
Reactivity Reacts with: human (P10916).
Other species not tested yet.
Specificity Specific for MLC-2V, no cross-reactivity to MLC-2A.
Matching control protein/peptide 310-2P
Data sheet Datasheet 310_203

References for MLC-2V - 310 203

An iPS-derived in vitro model of human atrial conduction.
Biendarra-Tiegs SM, Yechikov S, Shergill B, Brumback B, Takahashi K, Shirure VS, Gonzalez RE, Houshmand L, Zhong D, Weng KC, Silva J, et al.
Physiological reports (2022) 1018: e15407. 310 203 ICC; tested species: human
Cat. No.: 310 203
Amount: 50 µg
Price: $460.00
An iPS-derived in vitro model of human atrial conduction.
Biendarra-Tiegs SM, Yechikov S, Shergill B, Brumback B, Takahashi K, Shirure VS, Gonzalez RE, Houshmand L, Zhong D, Weng KC, Silva J, et al.
Physiological reports (2022) 1018: e15407. 310 203 ICC; tested species: human
Background

During cardiogenesis two major isoforms of myosin light chain 2 are co-expressed in a tightly regulated manner. MLC-2V is only present in the ventricle while MLC-2A is exclusively expressed in the atrium. Knock out studies revealed that the 2A isoform cannot substitute for the 2V variant in the ventricular chamber.
Recently it has been demonstrated that embryonic and adult stem cells can be differentiated into cardiomyocytes which may generate suitable replacements for damaged heart tissue in the future.
These antibodies are useful tools to distinguish between ventricle and atrium specific cardiomyocytes.

Certificates

ISO 9001 2015 Quality Management System and Green Lab Platinum certification level for sustaining laboratory processes.

Newsletter

Sign up for our newsletter and get the latest updates and news.
 

Please provide a valid E-Mail-Address
Please provide a valid First name
Please provide a valid Last name