Tailor-made Antibodies
and Tools for Life Science
Home | | | | | Technical Support

Zyxin antibody - 307 011

Zyxin is involved in the regulation of actin dynamics
Mouse monoclonal purified IgG
Cat. No.: 307 011
Amount: 100 µg
Price: $420.00
Cat. No. 307 011 100 µg purified IgG, lyophilized. Albumin and azide were added for stabilization. For reconstitution add 100 µl H2O to get a 1mg/ml solution in PBS. Then aliquot and store at -20°C to -80°C until use.
Antibodies should be stored at +4°C when still lyophilized. Do not freeze!
Applications
 
WB: 1 : 100 up to 1 : 2000 (AP staining) gallery  
IP: yes
ICC: 1 : 100 gallery  
IHC: not tested yet
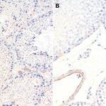
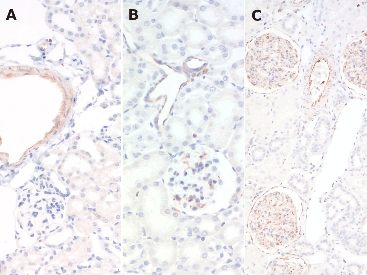
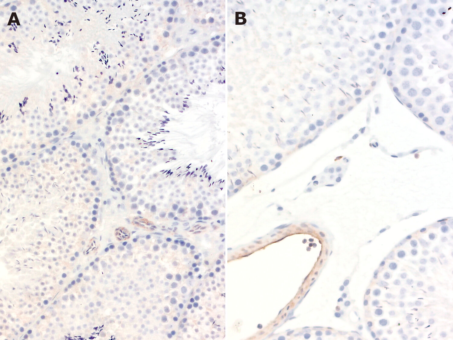
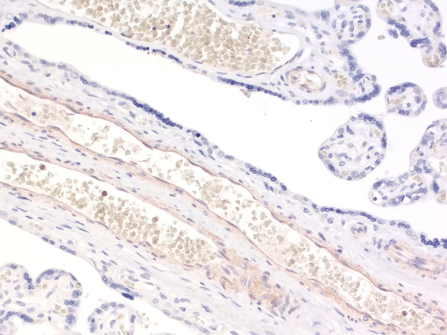
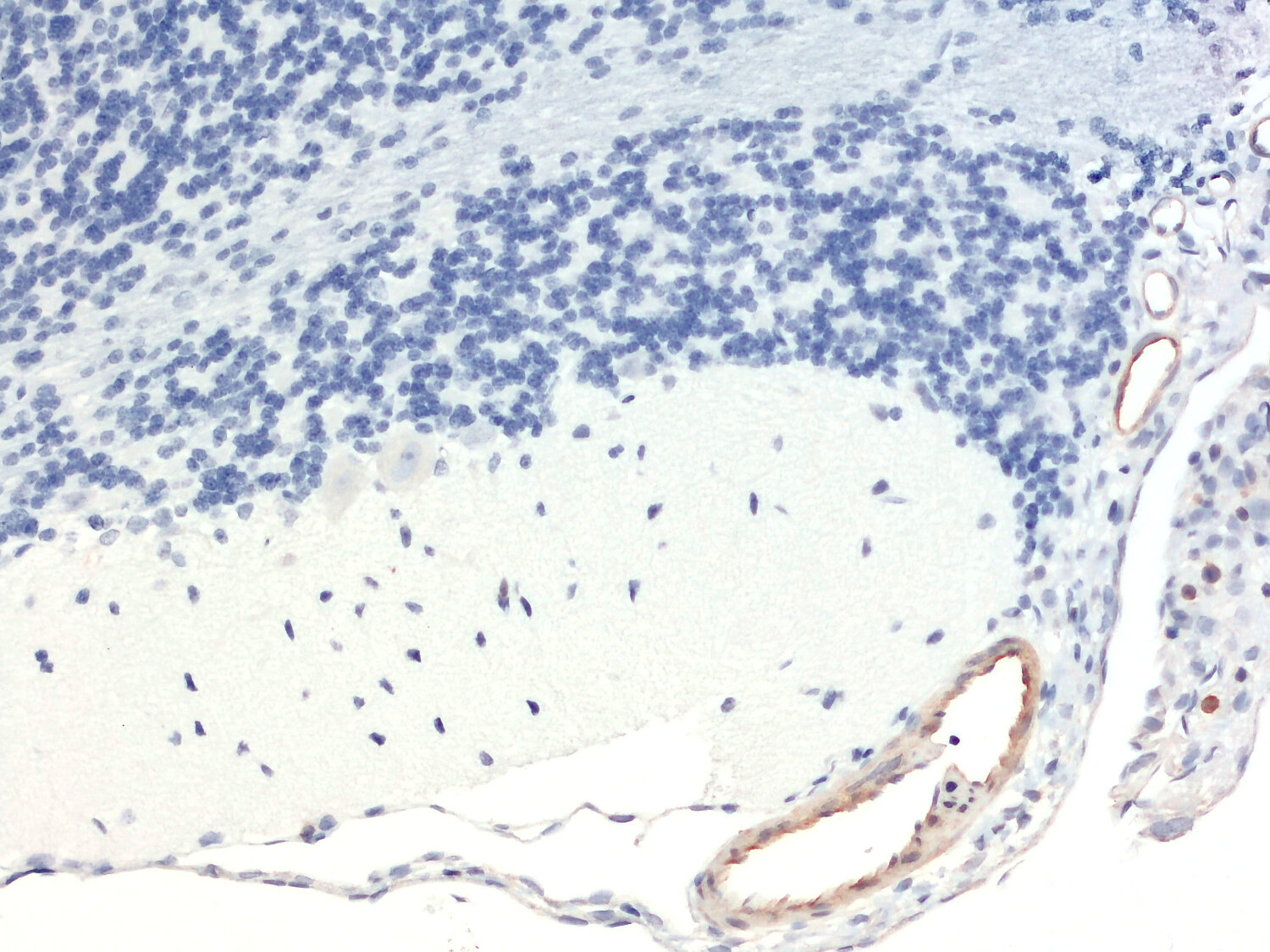
IHC-P (FFPE): 1 : 200 gallery  

Western blot (WB); separation of proteins by PAGE and subsequent transfer to a membrane. Detection of target molecules is carried out with antibodies. Some antibodies require special sample preparation steps. For details, please refer to the “Remarks” section.

Immunoprecipitation (IP); Immunoisolation or pulldown of a target molecule using an antibody. For details and product specific hints, please refer to the ”Remarks” section.

Immunocytochemistry (ICC) on 4% PFA fixed cells. Immunoreactivity is usually revealed by fluorescence. Some antibodies require special fixation methods. For details, please refer to the “Remarks” section.

Immunohistochemistry (IHC) on 4% PFA perfusion fixed tissue with 24h PFA post fixation. Immunoreactivity is usually revealed by fluorescence or a chromogenic substrate. Some antibodies require special fixation methods or antigen retrieval steps. For details, please refer to the ”Remarks” section.

Immunohistochemistry (IHC-P) of formalin fixed, paraffin embedded (FFPE) tissue (some antibodies require special antigen retrieval steps, please refer to the ”Remarks” section). Immunoreactivity is usually revealed by fluorescence or a chromogenic substrate.

Clone 164D4
Subtype IgG1 (κ light chain)
Immunogen Recombinant protein corresponding to AA 1 to 572 from human Zyxin (UniProt Id: Q15942)
Epitop AA 352 to 357 from human Zyxin (UniProt Id: Q15942)
Reactivity Reacts with: human (Q15942), rat, mouse (Q62523), hamster.
Other species not tested yet.
Data sheet Datasheet 307_011

References for Zyxin - 307 011

Regulation of matrix metalloproteinases (MMPs) expression and secretion in MDA-MB-231 breast cancer cells by LIM and SH3 protein 1 (LASP1).
Endres M, Kneitz S, Orth MF, Perera RK, Zernecke A, Butt E
Oncotarget (2016) 739: 64244-64259. 307 011 WB
mTOR regulates expression of slit diaphragm proteins and cytoskeleton structure in podocytes.
Vollenbröker B, George B, Wolfgart M, Saleem MA, Pavenstädt H, Weide T
American journal of physiology. Renal physiology (2009) 2962: F418-26. 307 011 WB, ICC
Targeted disruption of the mouse Lipoma Preferred Partner gene.
Vervenne HB, Crombez KR, Delvaux EL, Janssens V, Van de Ven WJ, Petit MM
Biochemical and biophysical research communications (2009) 3792: 368-73. 307 011 WB
Zyxin mediates actin fiber reorganization in epithelial-mesenchymal transition and contributes to endocardial morphogenesis.
Mori M, Nakagami H, Koibuchi N, Miura K, Takami Y, Koriyama H, Hayashi H, Sabe H, Mochizuki N, Morishita R, Kaneda Y, et al.
Molecular biology of the cell (2009) 2013: 3115-24. 307 011 WB, ICC
TES is a novel focal adhesion protein with a role in cell spreading.
Coutts AS, MacKenzie E, Griffith E, Black DM
Journal of cell science (2003) 116Pt 5: 897-906. 307 011 WB, ICC
The conformational state of Tes regulates its zyxin-dependent recruitment to focal adhesions.
Garvalov BK, Higgins TE, Sutherland JD, Zettl M, Scaplehorn N, Köcher T, Piddini E, Griffiths G, Way M
The Journal of cell biology (2003) 1611: 33-9. 307 011 WB, ICC
Zyxin is not colocalized with vasodilator-stimulated phosphoprotein (VASP) at lamellipodial tips and exhibits different dynamics to vinculin, paxillin, and VASP in focal adhesions.
Rottner K, Krause M, Gimona M, Small JV, Wehland J
Molecular biology of the cell (2001) 1210: 3103-13. 307 011 WB, ICC
GSK3 and lamellipodin balance lamellipodial protrusions and focal adhesion maturation in mouse neural crest migration.
Dobson L, Barrell WB, Seraj Z, Lynham S, Wu SY, Krause M, Liu KJ
Cell reports (2023) 429: 113030. 307 011 ICC; tested species: mouse
Cell shape-dependent early responses of fibroblasts to cyclic strain.
Gadhari N, Charnley M, Marelli M, Brugger J, Chiquet M
Biochimica et biophysica acta (2013) 183312: 3415-3425. 307 011 ICC; tested species: mouse
Cell-penetrating peptides with intracellular actin-remodeling activity in malignant fibroblasts.
Delaroche D, Cantrelle FX, Subra F, Van Heijenoort C, Guittet E, Jiao CY, Blanchoin L, Chassaing G, Lavielle S, Auclair C, Sagan S, et al.
The Journal of biological chemistry (2010) 28510: 7712-21. 307 011 ICC
Domain analysis of alpha-actinin reveals new aspects of its association with F-actin during cytokinesis.
Low SH, Mukhina S, Srinivas V, Ng CZ, Murata-Hori M
Experimental cell research (2010) 31612: 1925-34. 307 011 ICC
mTOR regulates expression of slit diaphragm proteins and cytoskeleton structure in podocytes.
Vollenbröker B, George B, Wolfgart M, Saleem MA, Pavenstädt H, Weide T
American journal of physiology. Renal physiology (2009) 2962: F418-26. 307 011 WB, ICC
Zyxin mediates actin fiber reorganization in epithelial-mesenchymal transition and contributes to endocardial morphogenesis.
Mori M, Nakagami H, Koibuchi N, Miura K, Takami Y, Koriyama H, Hayashi H, Sabe H, Mochizuki N, Morishita R, Kaneda Y, et al.
Molecular biology of the cell (2009) 2013: 3115-24. 307 011 WB, ICC
Retrograde fluxes of focal adhesion proteins in response to cell migration and mechanical signals.
Guo WH, Wang YL
Molecular biology of the cell (2007) 1811: 4519-27. 307 011 ICC
TES is a novel focal adhesion protein with a role in cell spreading.
Coutts AS, MacKenzie E, Griffith E, Black DM
Journal of cell science (2003) 116Pt 5: 897-906. 307 011 WB, ICC
The conformational state of Tes regulates its zyxin-dependent recruitment to focal adhesions.
Garvalov BK, Higgins TE, Sutherland JD, Zettl M, Scaplehorn N, Köcher T, Piddini E, Griffiths G, Way M
The Journal of cell biology (2003) 1611: 33-9. 307 011 WB, ICC
Zyxin is not colocalized with vasodilator-stimulated phosphoprotein (VASP) at lamellipodial tips and exhibits different dynamics to vinculin, paxillin, and VASP in focal adhesions.
Rottner K, Krause M, Gimona M, Small JV, Wehland J
Molecular biology of the cell (2001) 1210: 3103-13. 307 011 WB, ICC
Cat. No.: 307 011
Amount: 100 µg
Price: $420.00
Regulation of matrix metalloproteinases (MMPs) expression and secretion in MDA-MB-231 breast cancer cells by LIM and SH3 protein 1 (LASP1).
Endres M, Kneitz S, Orth MF, Perera RK, Zernecke A, Butt E
Oncotarget (2016) 739: 64244-64259. 307 011 WB
mTOR regulates expression of slit diaphragm proteins and cytoskeleton structure in podocytes.
Vollenbröker B, George B, Wolfgart M, Saleem MA, Pavenstädt H, Weide T
American journal of physiology. Renal physiology (2009) 2962: F418-26. 307 011 WB, ICC
Targeted disruption of the mouse Lipoma Preferred Partner gene.
Vervenne HB, Crombez KR, Delvaux EL, Janssens V, Van de Ven WJ, Petit MM
Biochemical and biophysical research communications (2009) 3792: 368-73. 307 011 WB
Zyxin mediates actin fiber reorganization in epithelial-mesenchymal transition and contributes to endocardial morphogenesis.
Mori M, Nakagami H, Koibuchi N, Miura K, Takami Y, Koriyama H, Hayashi H, Sabe H, Mochizuki N, Morishita R, Kaneda Y, et al.
Molecular biology of the cell (2009) 2013: 3115-24. 307 011 WB, ICC
TES is a novel focal adhesion protein with a role in cell spreading.
Coutts AS, MacKenzie E, Griffith E, Black DM
Journal of cell science (2003) 116Pt 5: 897-906. 307 011 WB, ICC
The conformational state of Tes regulates its zyxin-dependent recruitment to focal adhesions.
Garvalov BK, Higgins TE, Sutherland JD, Zettl M, Scaplehorn N, Köcher T, Piddini E, Griffiths G, Way M
The Journal of cell biology (2003) 1611: 33-9. 307 011 WB, ICC
Zyxin is not colocalized with vasodilator-stimulated phosphoprotein (VASP) at lamellipodial tips and exhibits different dynamics to vinculin, paxillin, and VASP in focal adhesions.
Rottner K, Krause M, Gimona M, Small JV, Wehland J
Molecular biology of the cell (2001) 1210: 3103-13. 307 011 WB, ICC
GSK3 and lamellipodin balance lamellipodial protrusions and focal adhesion maturation in mouse neural crest migration.
Dobson L, Barrell WB, Seraj Z, Lynham S, Wu SY, Krause M, Liu KJ
Cell reports (2023) 429: 113030. 307 011 ICC; tested species: mouse
Cell shape-dependent early responses of fibroblasts to cyclic strain.
Gadhari N, Charnley M, Marelli M, Brugger J, Chiquet M
Biochimica et biophysica acta (2013) 183312: 3415-3425. 307 011 ICC; tested species: mouse
Cell-penetrating peptides with intracellular actin-remodeling activity in malignant fibroblasts.
Delaroche D, Cantrelle FX, Subra F, Van Heijenoort C, Guittet E, Jiao CY, Blanchoin L, Chassaing G, Lavielle S, Auclair C, Sagan S, et al.
The Journal of biological chemistry (2010) 28510: 7712-21. 307 011 ICC
Domain analysis of alpha-actinin reveals new aspects of its association with F-actin during cytokinesis.
Low SH, Mukhina S, Srinivas V, Ng CZ, Murata-Hori M
Experimental cell research (2010) 31612: 1925-34. 307 011 ICC
mTOR regulates expression of slit diaphragm proteins and cytoskeleton structure in podocytes.
Vollenbröker B, George B, Wolfgart M, Saleem MA, Pavenstädt H, Weide T
American journal of physiology. Renal physiology (2009) 2962: F418-26. 307 011 WB, ICC
Zyxin mediates actin fiber reorganization in epithelial-mesenchymal transition and contributes to endocardial morphogenesis.
Mori M, Nakagami H, Koibuchi N, Miura K, Takami Y, Koriyama H, Hayashi H, Sabe H, Mochizuki N, Morishita R, Kaneda Y, et al.
Molecular biology of the cell (2009) 2013: 3115-24. 307 011 WB, ICC
Retrograde fluxes of focal adhesion proteins in response to cell migration and mechanical signals.
Guo WH, Wang YL
Molecular biology of the cell (2007) 1811: 4519-27. 307 011 ICC
TES is a novel focal adhesion protein with a role in cell spreading.
Coutts AS, MacKenzie E, Griffith E, Black DM
Journal of cell science (2003) 116Pt 5: 897-906. 307 011 WB, ICC
The conformational state of Tes regulates its zyxin-dependent recruitment to focal adhesions.
Garvalov BK, Higgins TE, Sutherland JD, Zettl M, Scaplehorn N, Köcher T, Piddini E, Griffiths G, Way M
The Journal of cell biology (2003) 1611: 33-9. 307 011 WB, ICC
Zyxin is not colocalized with vasodilator-stimulated phosphoprotein (VASP) at lamellipodial tips and exhibits different dynamics to vinculin, paxillin, and VASP in focal adhesions.
Rottner K, Krause M, Gimona M, Small JV, Wehland J
Molecular biology of the cell (2001) 1210: 3103-13. 307 011 WB, ICC
Background

Zyxin is a LIM domain-containing cytoskeletal protein crucial for mechanotransduction, actin cytoskeleton remodeling, and cell adhesion. Predominantly localized at focal adhesions and actin stress fibers, zyxin serves as a scaffold for proteins involved in signal transduction and mechanical force adaptation. Its N-terminal proline-rich domain enables interactions with SH3 domain-containing proteins, while its C-terminal LIM domains facilitate protein-protein interactions, contributing to cytoskeletal integrity and gene expression regulation (1).
Beyond its general cytoskeletal functions, zyxin plays a pivotal role in vascular biology by maintaining endothelial barrier function and regulating actin dynamics in response to shear stress, thus impacting vascular homeostasis and angiogenesis, as well as a role in inflammatory diseases such as psoriasis and inflammatory bowel disease (2). In brain ischemia, zyxin modulates neurovascular responses, influencing cell survival and tissue recovery following stroke-induced damage. It has been shown to regulate blood-brain barrier integrity and contribute to neuronal cytoskeletal reorganization under ischemic stress (3).
Moreover, zyxin has emerged as a significant player in tumorigenesis, where it exerts context-dependent effects on cancer progression. While it supports tumor cell migration and invasion by modulating actin polymerization and focal adhesion turnover, it also interacts with signaling pathways that can either suppress or promote malignancy, depending on tumor type and the cellular microenvironment (4). Understanding zyxin’s dual role in tumor biology provides potential therapeutic insights into targeting cytoskeletal dynamics in cancer treatment.

Certificates

ISO 9001 2015 Quality Management System and Green Lab Platinum certification level for sustaining laboratory processes.

Newsletter

Sign up for our newsletter and get the latest updates and news.
 

Please provide a valid E-Mail-Address
Please provide a valid First name
Please provide a valid Last name