Tailor-made Antibodies
and Tools for Life Science
Home | | | | | Technical Support

Glycine transporter2 antibody - 272 008

Glycine transporters are transmembrane proteins involved in the removal of extracellular glycine
Rabbit monoclonal recombinant IgG
Cat. No.: 272 008
Amount: 50 µg
Price: $420.00
Cat. No. 272 008 50 µg purified recombinant IgG, lyophilized. Albumin and azide were added for stabilization. For reconstitution add 50 µl H2O to get a 1mg/ml solution in PBS. Then aliquot and store at -20°C to -80°C until use.
Antibodies should be stored at +4°C when still lyophilized. Do not freeze!
Applications
 
WB: 1 : 1000 (AP staining) gallery  
IP: not tested yet
ICC: 1 : 500 gallery  
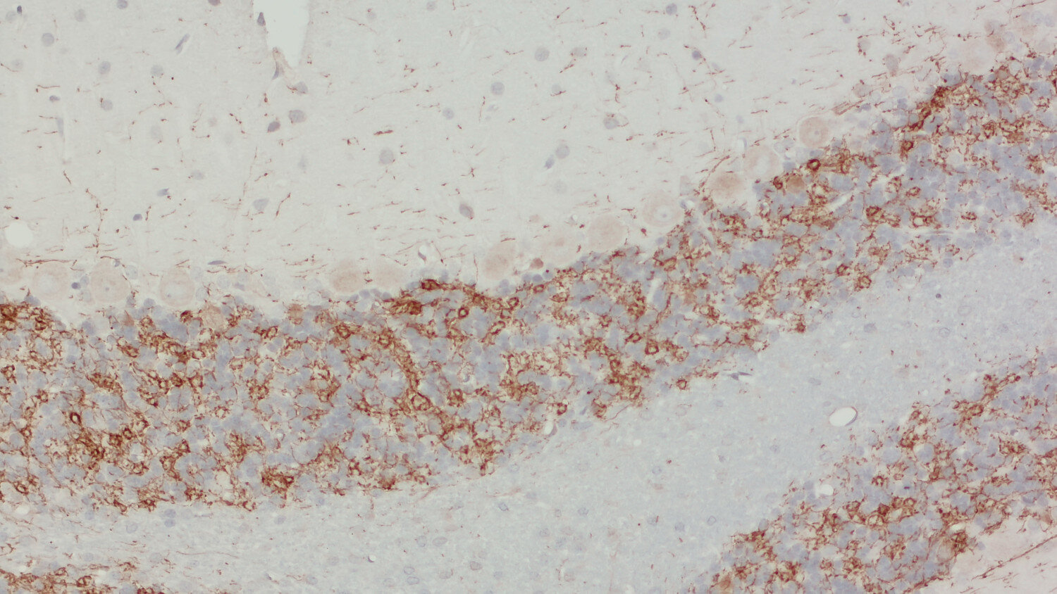
IHC: 1 : 500 gallery  
IHC-P (FFPE): 1 : 200 gallery  

Western blot (WB); separation of proteins by PAGE and subsequent transfer to a membrane. Detection of target molecules is carried out with antibodies. Some antibodies require special sample preparation steps. For details, please refer to the “Remarks” section.

Immunoprecipitation (IP); Immunoisolation or pulldown of a target molecule using an antibody. For details and product specific hints, please refer to the ”Remarks” section.

Immunocytochemistry (ICC) on 4% PFA fixed cells. Immunoreactivity is usually revealed by fluorescence. Some antibodies require special fixation methods. For details, please refer to the “Remarks” section.

Immunohistochemistry (IHC) on 4% PFA perfusion fixed tissue with 24h PFA post fixation. Immunoreactivity is usually revealed by fluorescence or a chromogenic substrate. Some antibodies require special fixation methods or antigen retrieval steps. For details, please refer to the ”Remarks” section.

Immunohistochemistry (IHC-P) of formalin fixed, paraffin embedded (FFPE) tissue (some antibodies require special antigen retrieval steps, please refer to the ”Remarks” section). Immunoreactivity is usually revealed by fluorescence or a chromogenic substrate.

Clone Rb117F12
Subtype IgG1 (κ light chain)
Immunogen Recombinant protein corresponding to residues near the amino-terminus of rat Glycine transporter2. (UniProt Id: P58295)
Reactivity Reacts with: mouse (Q761V0), rat (P58295).
Other species not tested yet.
Data sheet Datasheet 272_008
Cat. No.: 272 008
Amount: 50 µg
Price: $420.00
Background
Glycine is the major inhibitory neurotransmitter in the spinal cord and brainstem. Two differentially expressed glycine transporters, GLYT 1 and GLYT 2, regulate the extracellular concentration of this neuroactive amino acid in the synaptic cleft.
GLYT 1 is expressed in both neurons as well as in glia with high expression levels in the main olfactory bulb, cerebellum, brainstem and spinal cord and low expression in other brain regions. It has been hypothesized to regulate glycine levels in NMDA receptor-mediated neurotransmission.
GLYT 2 shows an axonal localization and is mainly expressed in spinal cord, brain-stem and cerebellum.

Certificates

ISO 9001 2015 Quality Management System and Green Lab Platinum certification level for sustaining laboratory processes.

Newsletter

Sign up for our newsletter and get the latest updates and news.
 

Please provide a valid E-Mail-Address
Please provide a valid First name
Please provide a valid Last name