Tailor-made Antibodies
and Tools for Life Science
Home | | | | | Technical Support

NeuN antibody - 266 308

NeuN is a neuron specific nuclear protein in vertebrates
Guinea pig monoclonal recombinant IgG
Cat. No.: 266 308
Amount: 50 µg
Price: $420.00
Cat. No. 266 308 50 µg purified recombinant IgG, lyophilized. Albumin and azide were added for stabilization. For reconstitution add 50 µl H2O to get a 1mg/ml solution in PBS. Then aliquot and store at -20°C to -80°C until use.
Antibodies should be stored at +4°C when still lyophilized. Do not freeze!
Applications
 
WB: not tested yet
IP: not tested yet
ICC: 1 : 500 gallery  
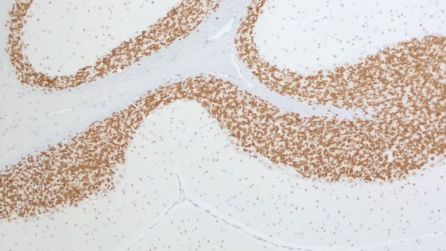
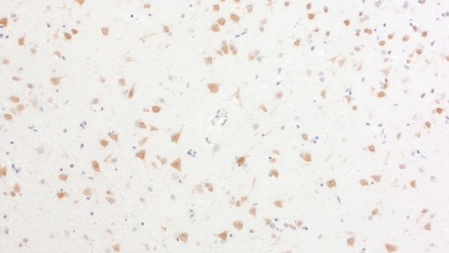
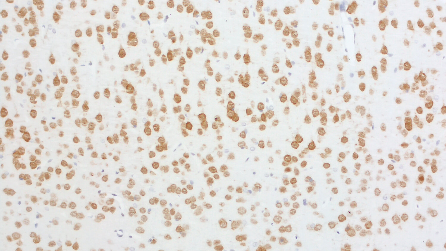
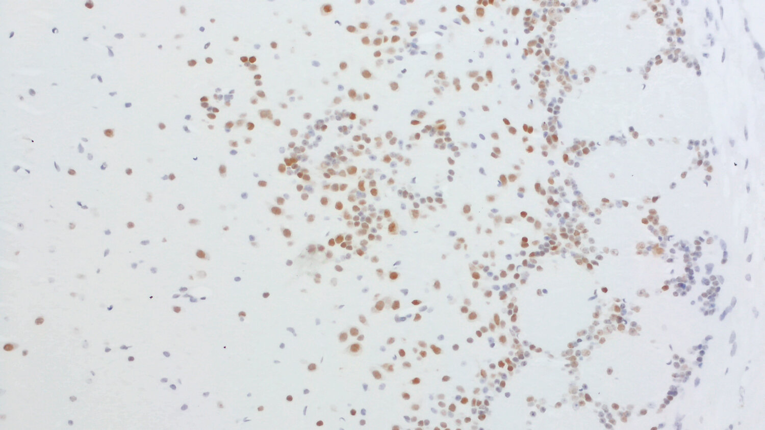
IHC: 1 : 500 gallery  
IHC-P: 1 : 200 up to 1 : 1000 gallery  

Western blot (WB); separation of proteins by PAGE and subsequent transfer to a membrane. Detection of target molecules is carried out with antibodies. Some antibodies require special sample preparation steps. For details, please refer to the “Remarks” section.

Immunoprecipitation (IP); Immunoisolation or pulldown of a target molecule using an antibody. For details and product specific hints, please refer to the ”Remarks” section.

Immunocytochemistry (ICC) on 4% PFA fixed cells. Immunoreactivity is usually revealed by fluorescence. Some antibodies require special fixation methods. For details, please refer to the “Remarks” section.

Immunohistochemistry (IHC) on 4% PFA perfusion fixed tissue with 24h PFA post fixation. Immunoreactivity is usually revealed by fluorescence or a chromogenic substrate. Some antibodies require special fixation methods or antigen retrieval steps. For details, please refer to the ”Remarks” section.

Immunohistochemistry (IHC-P) of formalin fixed, paraffin embedded (FFPE) tissue (some antibodies require special antigen retrieval steps, please refer to the ”Remarks” section). Immunoreactivity is usually revealed by fluorescence or a chromogenic substrate.

Clone Gp167H3
Subtype IgG2 (κ light chain)
Immunogen Recombinant protein corresponding to residues near the amino terminus of human NeuN (UniProt Id: A6NFN3)
Reactivity Reacts with: mouse (Q8BIF2), rat (D4A2H6), human.
Other species not tested yet.
Remarks

This antibody is a chimeric antibody based on the monoclonal mouse antibody SY-167H3. The constant regions of the heavy and light chains have been replaced with guinea pig specific sequences. Therefore, the antibody can be used with standard anti-guinea pig secondary reagents. The antibody has been expressed in mammalian cells.

Data sheet Datasheet 266_308

References for NeuN - 266 308

Nose-to-brain siRNA delivery by PEI/PPI-based nanoparticles reduces α-synuclein expression in a Parkinson's disease mouse model.
Feja M, Drath I, Weiß S, Ewe A, Gericke B, Outeiro TF, Stefanis L, Aigner A, Richter F
Molecular therapy. Nucleic acids (2025) 363: 102671. 266 308 IHC; tested species: mouse
Cat. No.: 266 308
Amount: 50 µg
Price: $420.00

Indirect immunostaining of rat cortex neurons for NeuN (green) and MAP2 (red)

Nose-to-brain siRNA delivery by PEI/PPI-based nanoparticles reduces α-synuclein expression in a Parkinson's disease mouse model.
Feja M, Drath I, Weiß S, Ewe A, Gericke B, Outeiro TF, Stefanis L, Aigner A, Richter F
Molecular therapy. Nucleic acids (2025) 363: 102671. 266 308 IHC; tested species: mouse
Background

NeuN (Neuronal Nuclei) is a neuron-specific nuclear protein that has been identified as Fox-3/Rbfox3, a member of the Fox-1 family of transcription factors.
NeuN is only expressed in the nuclei of differentiated neurons. In some neurons - Purkinje cells, sympathetic ganglion cells, INL retinal cells, Cajal-Retzius cells, inferior olivary, and dentate nucleus neurons - NeuN is not detectable.

 

For more information on protein expression pattern, please refer to the overview image in our SYSY Antibodies ATLAS.

Certificates

ISO 9001 2015 Quality Management System and Green Lab Platinum certification level for sustaining laboratory processes.

Newsletter

Sign up for our newsletter and get the latest updates and news.
 

Please provide a valid E-Mail-Address
Please provide a valid First name
Please provide a valid Last name