Tailor-made Antibodies
and Tools for Life Science
Home | | | | | Technical Support

NeuN antibody - 266 108

NeuN is a neuron-specific nuclear protein in vertebrates
Rabbit monoclonal recombinant IgG
Cat. No.: 266 108
Amount: 50 µg
Price: $420.00
Cat. No. 266 108 50 µg purified recombinant IgG, lyophilized. Albumin and azide were added for stabilization. For reconstitution add 50 µl H2O to get a 1mg/ml solution in PBS. Then aliquot and store at -20°C to -80°C until use.
Antibodies should be stored at +4°C when still lyophilized. Do not freeze!
Applications
 
WB: not tested yet
IP: not tested yet
ICC: 1 : 500 gallery  
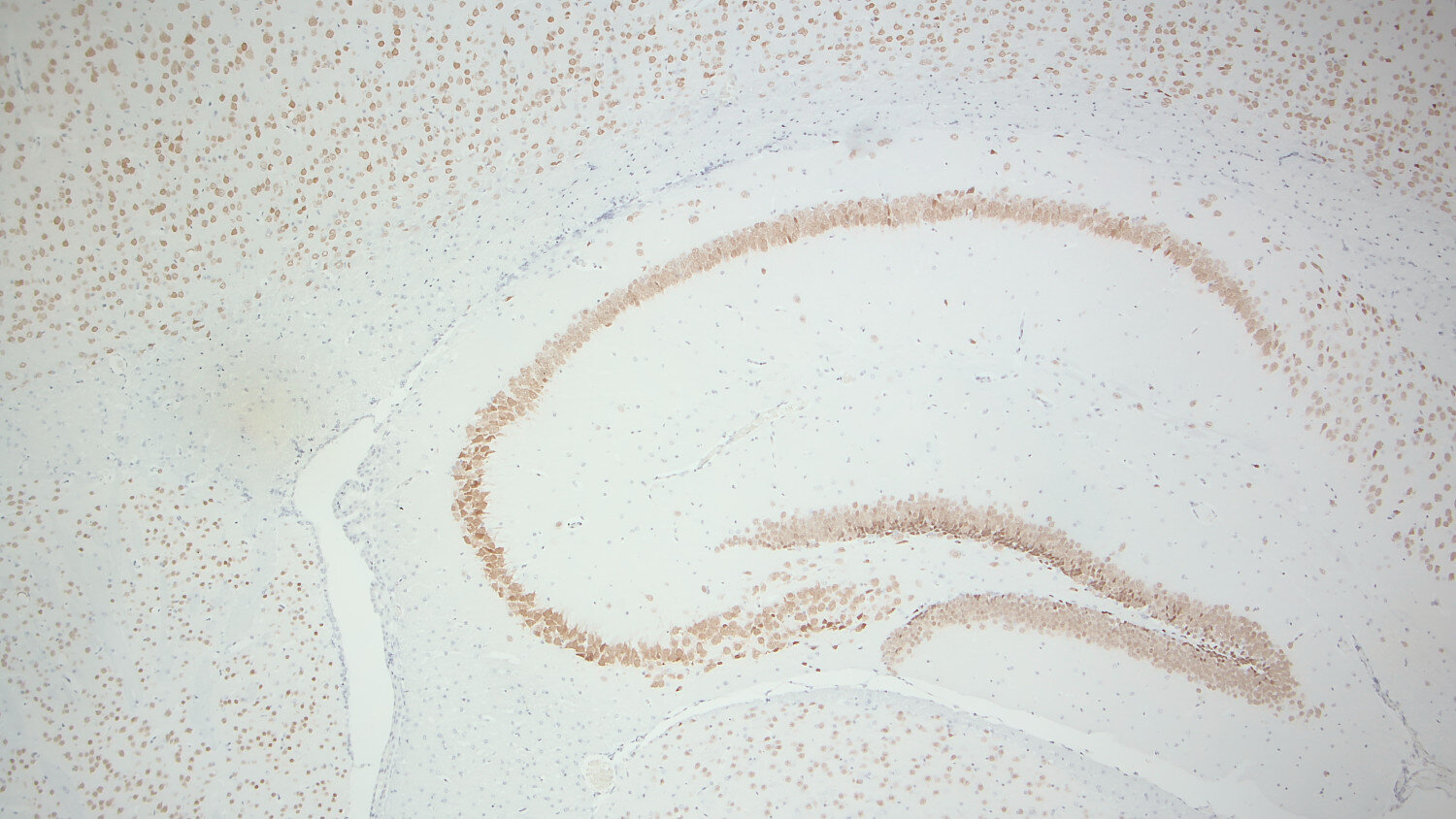
IHC: 1 : 500 gallery  
IHC-P: 1 : 100 gallery  

Western blot (WB); separation of proteins by PAGE and subsequent transfer to a membrane. Detection of target molecules is carried out with antibodies. Some antibodies require special sample preparation steps. For details, please refer to the “Remarks” section.

Immunoprecipitation (IP); Immunoisolation or pulldown of a target molecule using an antibody. For details and product specific hints, please refer to the ”Remarks” section.

Immunocytochemistry (ICC) on 4% PFA fixed cells. Immunoreactivity is usually revealed by fluorescence. Some antibodies require special fixation methods. For details, please refer to the “Remarks” section.

Immunohistochemistry (IHC) on 4% PFA perfusion fixed tissue with 24h PFA post fixation. Immunoreactivity is usually revealed by fluorescence or a chromogenic substrate. Some antibodies require special fixation methods or antigen retrieval steps. For details, please refer to the ”Remarks” section.

Immunohistochemistry (IHC-P) of formalin fixed, paraffin embedded (FFPE) tissue (some antibodies require special antigen retrieval steps, please refer to the ”Remarks” section). Immunoreactivity is usually revealed by fluorescence or a chromogenic substrate.

Clone Rb167H3
Subtype IgG1 (κ light chain)
Immunogen Recombinant protein corresponding to residues near the amino terminus of human NeuN (UniProt Id: A6NFN3)
Reactivity Reacts with: mouse (Q8BIF2), rat (D4A2H6), human (A6NFN3).
Other species not tested yet.
Remarks

This antibody is a chimeric antibody based on the monoclonal mouse antibody SY-167H3. The constant regions of the heavy and light chains have been replaced with rabbit specific sequences. The antibody can therefore be used with standard anti-rabbit secondary reagents. The antibody has been expressed in mammalian cells.

Data sheet Datasheet 266_108
Cat. No.: 266 108
Amount: 50 µg
Price: $420.00
Background

NeuN (Neuronal Nuclei) is a neuron-specific nuclear protein that has been identified as Fox-3/Rbfox3, a member of the Fox-1 family of transcription factors.
NeuN is only expressed in the nuclei of differentiated neurons. In some neurons - Purkinje cells, sympathetic ganglion cells, INL retinal cells, Cajal-Retzius cells, inferior olivary, and dentate nucleus neurons - NeuN is not detectable.

 

For more information on protein expression pattern, please refer to the overview image in our SYSY Antibodies ATLAS.

Certificates

ISO 9001 2015 Quality Management System and Green Lab Platinum certification level for sustaining laboratory processes.

Newsletter

Sign up for our newsletter and get the latest updates and news.
 

Please provide a valid E-Mail-Address
Please provide a valid First name
Please provide a valid Last name