Tailor-made Antibodies
and Tools for Life Science
Home | | | | | Technical Support

NeuN antibody - 266 014

NeuN is a neuron specific nuclear protein in vertebrates
Guinea pig polyclonal antiserum
Cat. No.: 266 014
Amount: 100 µl
Price: $375.00
Cat. No. 266 014 100 µl antiserum, lyophilized. For reconstitution add 100 µl H2O, then aliquot and store at -20°C until use.
Antibodies should be stored at +4°C when still lyophilized. Do not freeze!
Applications
 
WB: not tested yet
IP: not tested yet
ICC: 1 : 2000 up to 1 : 5000 gallery  
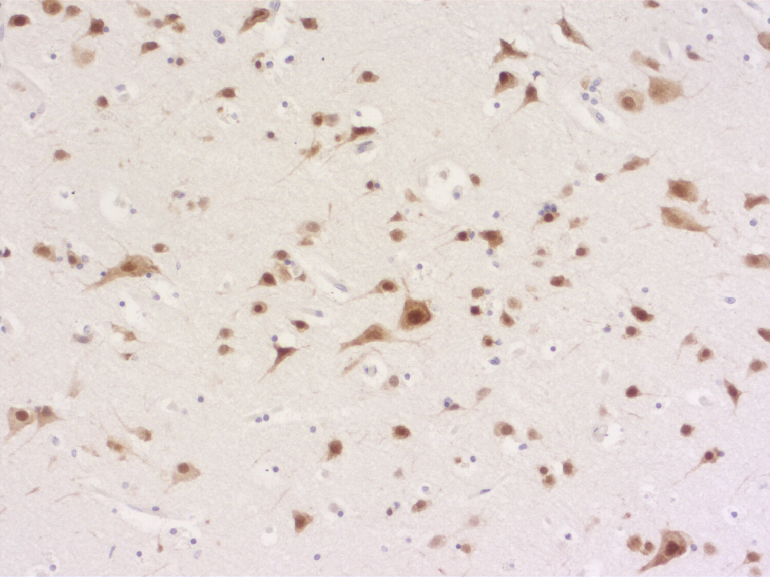
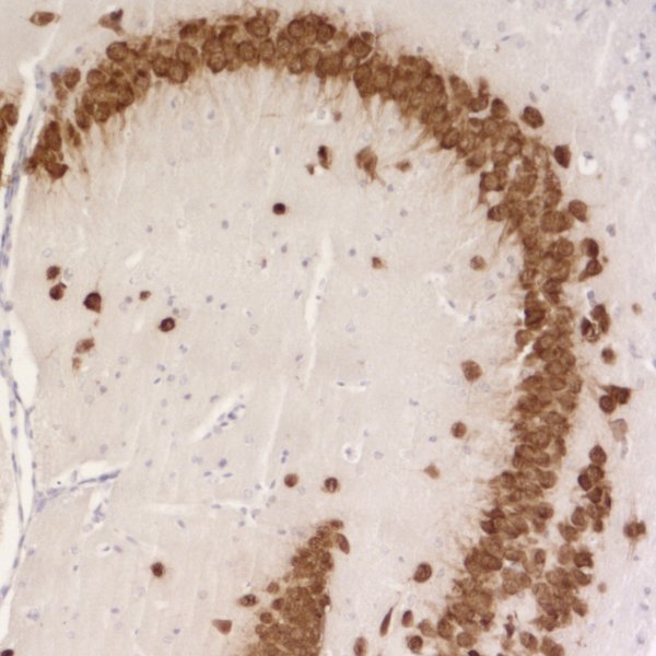
IHC: 1 : 2000 gallery  
IHC-P: 1 : 2000 up to 1 : 4000 gallery  

Western blot (WB); separation of proteins by PAGE and subsequent transfer to a membrane. Detection of target molecules is carried out with antibodies. Some antibodies require special sample preparation steps. For details, please refer to the “Remarks” section.

Immunoprecipitation (IP); Immunoisolation or pulldown of a target molecule using an antibody. For details and product specific hints, please refer to the ”Remarks” section.

Immunocytochemistry (ICC) on 4% PFA fixed cells. Immunoreactivity is usually revealed by fluorescence. Some antibodies require special fixation methods. For details, please refer to the “Remarks” section.

Immunohistochemistry (IHC) on 4% PFA perfusion fixed tissue with 24h PFA post fixation. Immunoreactivity is usually revealed by fluorescence or a chromogenic substrate. Some antibodies require special fixation methods or antigen retrieval steps. For details, please refer to the ”Remarks” section.

Immunohistochemistry (IHC-P) of formalin fixed, paraffin embedded (FFPE) tissue (some antibodies require special antigen retrieval steps, please refer to the ”Remarks” section). Immunoreactivity is usually revealed by fluorescence or a chromogenic substrate.

Immunogen Recombinant protein corresponding to residues near the amino terminus of human NeuN (UniProt Id: A6NFN3)
Reactivity Reacts with: human (A6NFN3), mouse (Q8BIF2), rat (D4A2H6).
Other species not tested yet.
Data sheet Datasheet 266_014

References for NeuN - 266 014

Temporal characterisation and electrophysiological implications of TBI-induced serine/threonine kinase activity in mouse cortex.
Celine G, Thomas M
Cellular and molecular life sciences : CMLS (2025) 821: 102. 266 014 WB, IHC; tested species: mouse
Temporal characterisation and electrophysiological implications of TBI-induced serine/threonine kinase activity in mouse cortex.
Celine G, Thomas M
Cellular and molecular life sciences : CMLS (2025) 821: 102. 266 014 WB, IHC; tested species: mouse
Cat. No.: 266 014
Amount: 100 µl
Price: $375.00
Temporal characterisation and electrophysiological implications of TBI-induced serine/threonine kinase activity in mouse cortex.
Celine G, Thomas M
Cellular and molecular life sciences : CMLS (2025) 821: 102. 266 014 WB, IHC; tested species: mouse
Temporal characterisation and electrophysiological implications of TBI-induced serine/threonine kinase activity in mouse cortex.
Celine G, Thomas M
Cellular and molecular life sciences : CMLS (2025) 821: 102. 266 014 WB, IHC; tested species: mouse
Background

NeuN (Neuronal Nuclei) is a neuron-specific nuclear protein that has been identified as Fox-3/Rbfox3, a member of the Fox-1 family of transcription factors.
NeuN is only expressed in the nuclei of differentiated neurons. In some neurons - Purkinje cells, sympathetic ganglion cells, INL retinal cells, Cajal-Retzius cells, inferior olivary, and dentate nucleus neurons - NeuN is not detectable.

 

For more information on protein expression pattern, please refer to the overview image in our SYSY Antibodies ATLAS.

Certificates

ISO 9001 2015 Quality Management System and Green Lab Platinum certification level for sustaining laboratory processes.

Newsletter

Sign up for our newsletter and get the latest updates and news.
 

Please provide a valid E-Mail-Address
Please provide a valid First name
Please provide a valid Last name