Tailor-made Antibodies
and Tools for Life Science
Home | | | | | Technical Support

beta1-Integrin antibody - 240 003

beta-Integrins are cell adhesion molecules
Rabbit polyclonal purified antibody
Cat. No.: 240 003
Amount: 50 µg
Price: $380.00
Cat. No. 240 003 50 µg specific antibody, lyophilized. Affinity purified with the immunogen. Albumin was added for stabilization. For reconstitution add 50 µl H2O to get a 1mg/ml solution in PBS. Then aliquot and store at -20°C to -80°C until use.
Antibodies should be stored at +4°C when still lyophilized. Do not freeze!
Applications
 
WB: 1 : 1000 (AP staining) gallery  
IP: not tested yet
ICC: not tested yet
IHC: not tested yet
IHC-P (FFPE): not tested yet
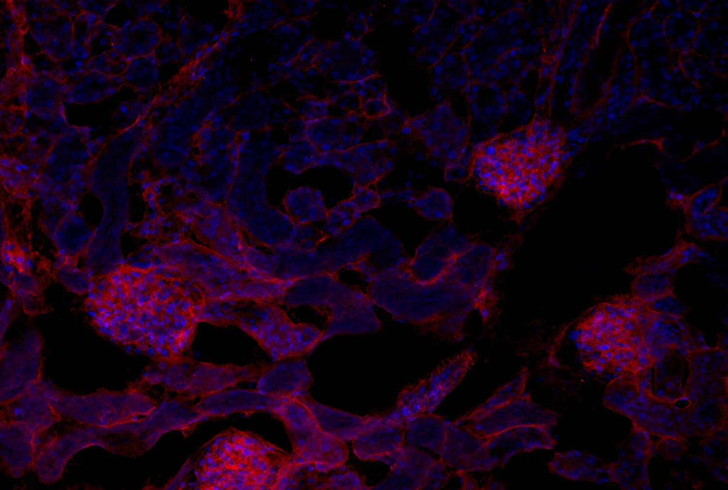
IHC-G: 1 : 1000 up to 1 : 2000 (see remarks) gallery  

Western blot (WB); separation of proteins by PAGE and subsequent transfer to a membrane. Detection of target molecules is carried out with antibodies. Some antibodies require special sample preparation steps. For details, please refer to the “Remarks” section.

Immunoprecipitation (IP); Immunoisolation or pulldown of a target molecule using an antibody. For details and product specific hints, please refer to the ”Remarks” section.

Immunocytochemistry (ICC) on 4% PFA fixed cells. Immunoreactivity is usually revealed by fluorescence. Some antibodies require special fixation methods. For details, please refer to the “Remarks” section.

Immunohistochemistry (IHC) on 4% PFA perfusion fixed tissue with 24h PFA post fixation. Immunoreactivity is usually revealed by fluorescence or a chromogenic substrate. Some antibodies require special fixation methods or antigen retrieval steps. For details, please refer to the ”Remarks” section.

Immunohistochemistry (IHC-P) of formalin fixed, paraffin embedded (FFPE) tissue (some antibodies require special antigen retrieval steps, please refer to the ”Remarks” section). Immunoreactivity is usually revealed by fluorescence or a chromogenic substrate.

Immunohistochemistry on glyoxal fixed (IHC-G) tissue. The tissue is perfused with saline and afterwards immersion fixed with a glyoxal solution. For details of the glyoxal solution, please refer to the remarks section. Immunoreactivity is usually revealed by fluorescence.

Immunogen Synthetic peptide corresponding to AA 96 to 113 from mouse β1-Integrin (UniProt Id: P09055)
Reactivity Reacts with: rat (P49134), mouse (P09055).
Other species not tested yet.
Specificity Specific for β1-integrin.
Matching control protein/peptide 240-0P
Remarks

IHC-G: 9% glyoxal fixation is recommended.

Data sheet Datasheet 240_003

References for beta1-Integrin - 240 003

Tenascin-C fibronectin D domain is involved in the fine-tuning of glial response to CNS injury in vitro.
Bijelić D, Adžić M, Perić M, Reiss G, Milošević M, Andjus PR, Jakovčevski I
Frontiers in cell and developmental biology (2022) 10: 952208. 240 003 WB; tested species: mouse
The Higher Sensitivity of GABAergic Compared to Glutamatergic Neurons to Growth-Promoting C3bot Treatment Is Mediated by Vimentin.
Adolf A, Turko P, Rohrbeck A, Just I, Vida I, Ahnert-Hilger G, Höltje M
Frontiers in cellular neuroscience (2020) 14: 596072. 240 003 WB; tested species: rat
Cat. No.: 240 003
Amount: 50 µg
Price: $380.00
Tenascin-C fibronectin D domain is involved in the fine-tuning of glial response to CNS injury in vitro.
Bijelić D, Adžić M, Perić M, Reiss G, Milošević M, Andjus PR, Jakovčevski I
Frontiers in cell and developmental biology (2022) 10: 952208. 240 003 WB; tested species: mouse
The Higher Sensitivity of GABAergic Compared to Glutamatergic Neurons to Growth-Promoting C3bot Treatment Is Mediated by Vimentin.
Adolf A, Turko P, Rohrbeck A, Just I, Vida I, Ahnert-Hilger G, Höltje M
Frontiers in cellular neuroscience (2020) 14: 596072. 240 003 WB; tested species: rat
Background
Integrins are heterodimers consisting of noncovalently associated α and β subunits. More than 20 different integrin receptors composed of 16 different α and 8 different β subunits have been described so far. Most of these receptors bind components of the extracellular matrix like fibronectin, collagen and vitronectin.
Integrins are transmembrane glycoproteins involved in many normal cellular processes (embryogenesis, hemostasis, tissue repair, immune response) but also in abnormal pathological events like metastatic spread of tumor cells. In humans five isoforms of β1-integrin have been described (β1A-1D, 1C-2). β1-integrin is also known as very late antigen VLA or CD29.
β3-integrin, also referred to a CD 61, is found with the alpha IIb chain in platelets.

Certificates

ISO 9001 2015 Quality Management System and Green Lab Platinum certification level for sustaining laboratory processes.

Newsletter

Sign up for our newsletter and get the latest updates and news.
 

Please provide a valid E-Mail-Address
Please provide a valid First name
Please provide a valid Last name