Tailor-made Antibodies
and Tools for Life Science
Home | | | | | Technical Support

UCHL1 antibody - 233 003

UCHL1 or PGP9.5 is a neuron specific member of the ubiquitin proteasome system
Rabbit polyclonal purified antibody
Cat. No.: 233 003
Amount: 50 µg
Price: $460.00
Cat. No. 233 003 50 µg specific antibody, lyophilized. Affinity purified with the immunogen. Albumin and azide were added for stabilization. For reconstitution add 50 µl H2O to get a 1mg/ml solution in PBS. Then aliquot and store at -20°C to -80°C until use.
Antibodies should be stored at +4°C when still lyophilized. Do not freeze!
Applications
 
WB: 1 : 1000 up to 1 : 5000 (AP staining) gallery  
IP: not tested yet
ICC: 1 : 500 gallery  
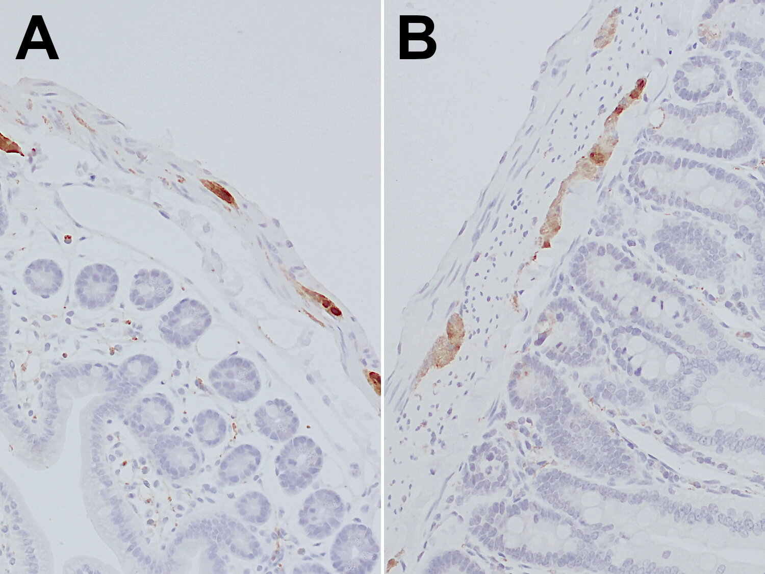
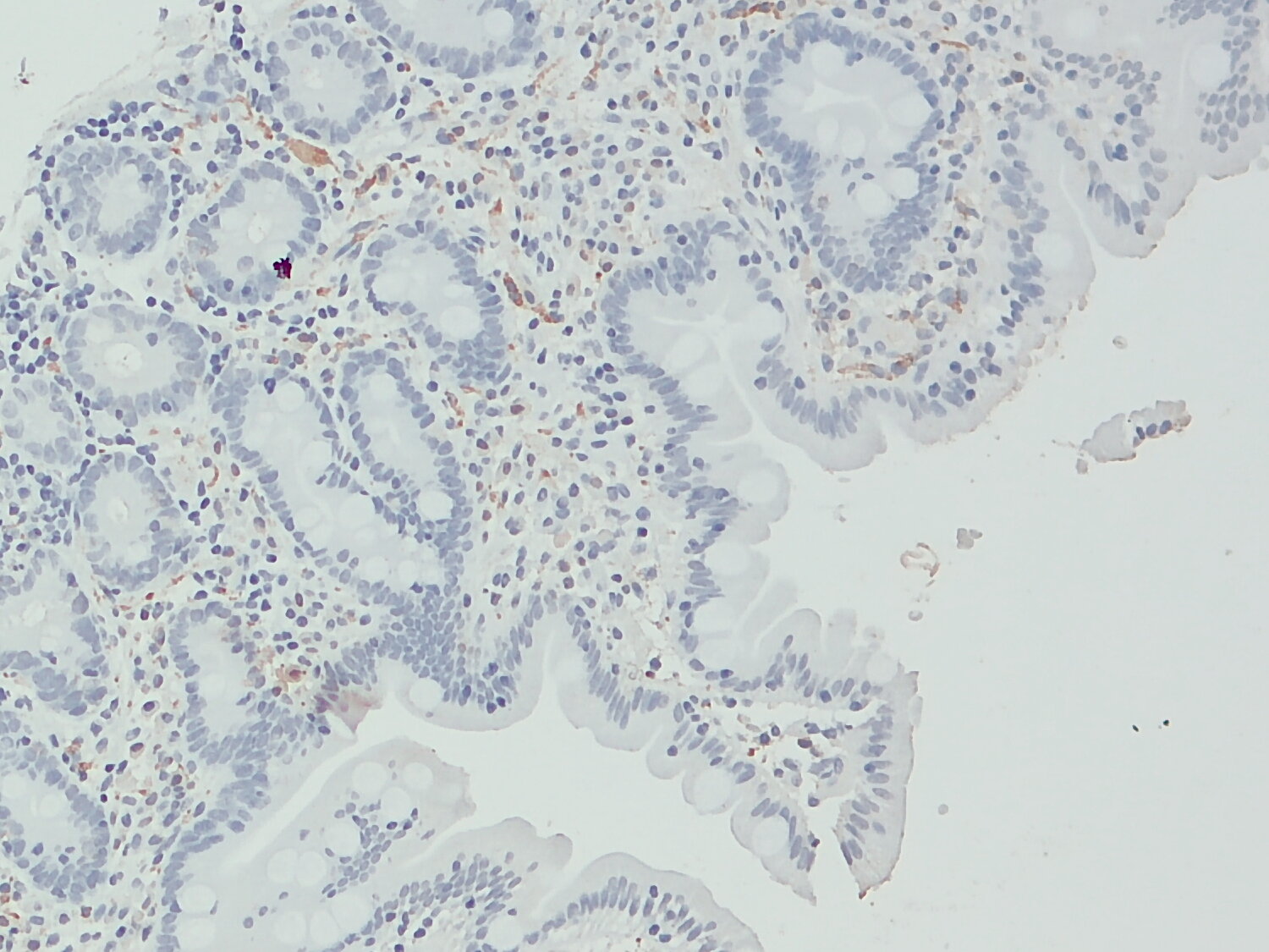
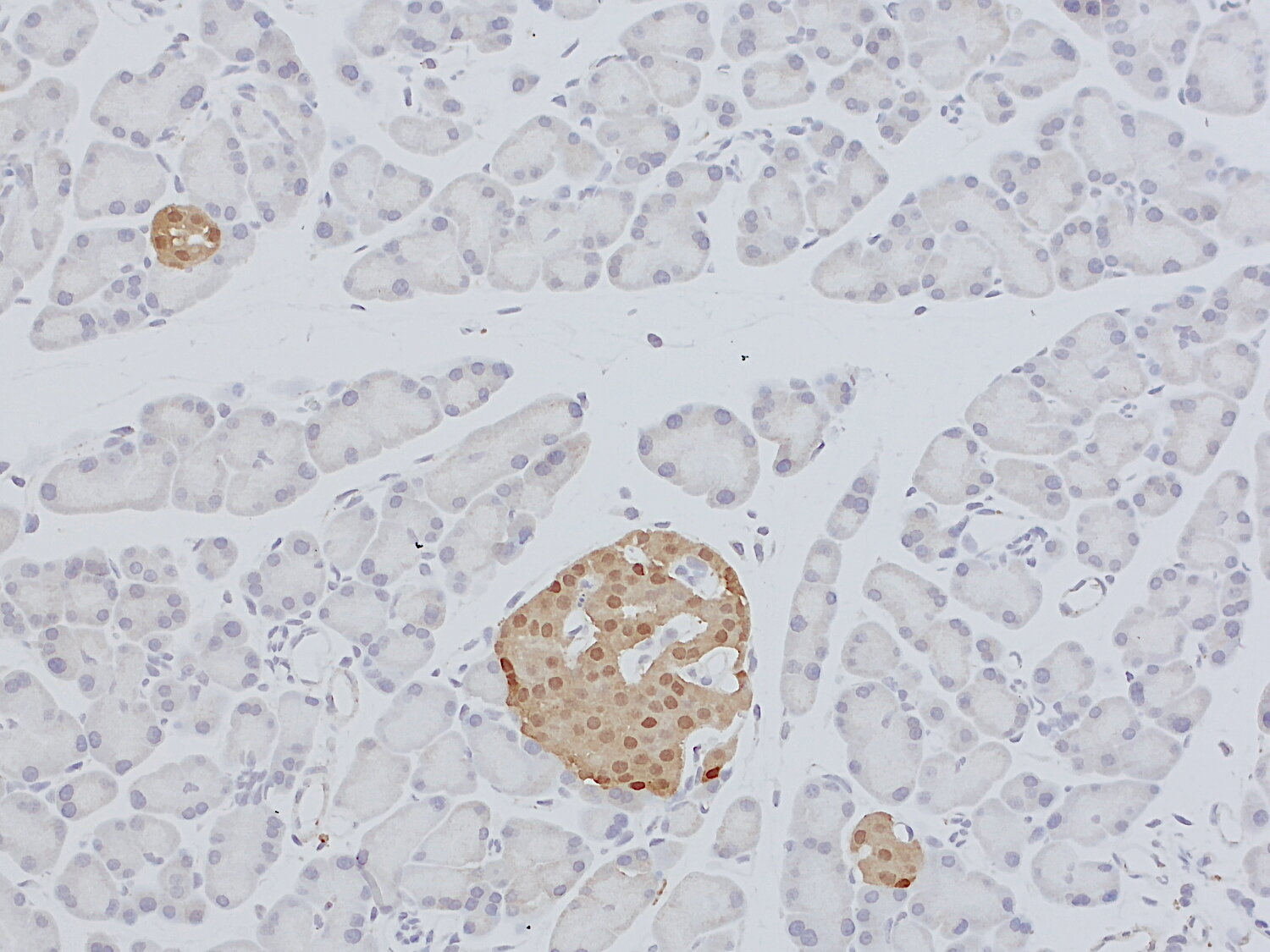
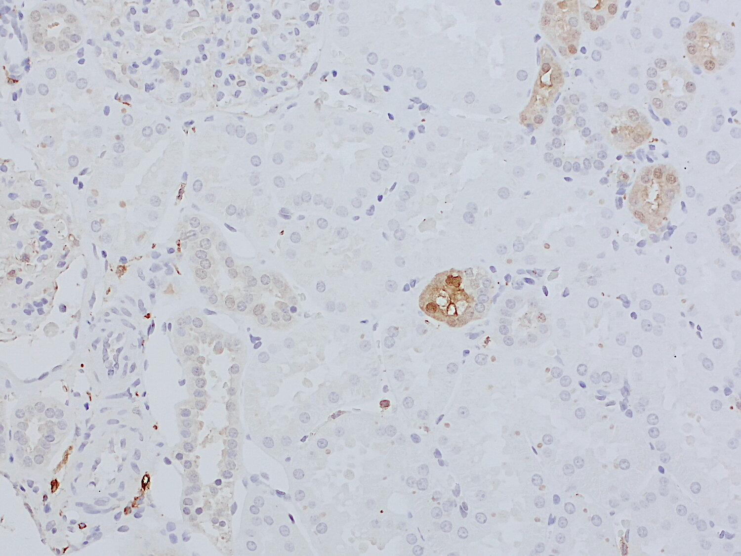
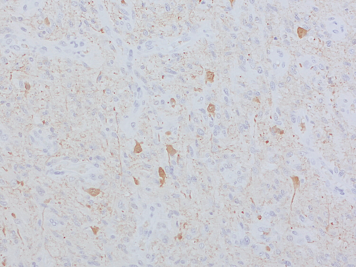
IHC: 1 : 500 gallery  
IHC-P (FFPE): 1 : 2000 gallery  

Western blot (WB); separation of proteins by PAGE and subsequent transfer to a membrane. Detection of target molecules is carried out with antibodies. Some antibodies require special sample preparation steps. For details, please refer to the “Remarks” section.

Immunoprecipitation (IP); Immunoisolation or pulldown of a target molecule using an antibody. For details and product specific hints, please refer to the ”Remarks” section.

Immunocytochemistry (ICC) on 4% PFA fixed cells. Immunoreactivity is usually revealed by fluorescence. Some antibodies require special fixation methods. For details, please refer to the “Remarks” section.

Immunohistochemistry (IHC) on 4% PFA perfusion fixed tissue with 24h PFA post fixation. Immunoreactivity is usually revealed by fluorescence or a chromogenic substrate. Some antibodies require special fixation methods or antigen retrieval steps. For details, please refer to the ”Remarks” section.

Immunohistochemistry (IHC-P) of formalin fixed, paraffin embedded (FFPE) tissue (some antibodies require special antigen retrieval steps, please refer to the ”Remarks” section). Immunoreactivity is usually revealed by fluorescence or a chromogenic substrate.

Immunogen Recombinant protein corresponding to AA 2 to 223 from mouse UCHL1 (UniProt Id: Q9R0P9)
Reactivity Reacts with: rat (Q00981), mouse (Q9R0P9), human (P09936).
No signal: zebrafish.
Other species not tested yet.
Data sheet Datasheet 233_003
Cat. No.: 233 003
Amount: 50 µg
Price: $460.00
Background
The Ubiquitin carboxyl-terminal hydrolase isozyme L1 (UCHL 1) enzyme is a member of a protein family involved in the hydrolyzation of C-terminal adducts of polymeric ubiquitin to generate monomeric ubiquitin. It is abundantly expressed in neurons throughout the brain and belongs to the ubiquitin-proteasome system. This pathway is responsible for the degradation of misfolded and damaged proteins and has been postulated to play an important role in Parkinson's disease.

Certificates

ISO 9001 2015 Quality Management System and Green Lab Platinum certification level for sustaining laboratory processes.

Newsletter

Sign up for our newsletter and get the latest updates and news.
 

Please provide a valid E-Mail-Address
Please provide a valid First name
Please provide a valid Last name