Tailor-made Antibodies
and Tools for Life Science
Home | | | | | Technical Support

gamma-Enolase antibody - 230 003

gamma or neural Enolase is a neuron-specific enolase subunit
Rabbit polyclonal purified antibody
Cat. No.: 230 003
Amount: 50 µg
Price: $460.00
Cat. No. 230 003 50 µg specific antibody, lyophilized. Affinity purified with the immunogen. Albumin was added for stabilization. For reconstitution add 50 µl H2O to get a 1mg/ml solution in PBS. Then aliquot and store at -20°C to -80°C until use.
Antibodies should be stored at +4°C when still lyophilized. Do not freeze!
Applications
 
WB: 1 : 1000 up to 1 : 10000 (AP staining) gallery  
IP: yes
ICC: not tested yet
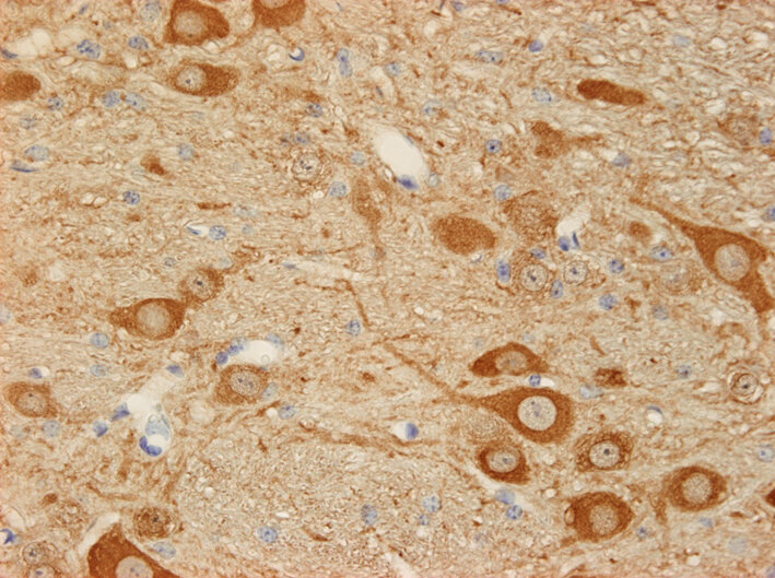
IHC: 1 : 1000 up to 1 : 5000 gallery  
IHC-P: 1 : 1000 up to 1 : 5000 gallery  

Western blot (WB); separation of proteins by PAGE and subsequent transfer to a membrane. Detection of target molecules is carried out with antibodies. Some antibodies require special sample preparation steps. For details, please refer to the “Remarks” section.

Immunoprecipitation (IP); Immunoisolation or pulldown of a target molecule using an antibody. For details and product specific hints, please refer to the ”Remarks” section.

Immunocytochemistry (ICC) on 4% PFA fixed cells. Immunoreactivity is usually revealed by fluorescence. Some antibodies require special fixation methods. For details, please refer to the “Remarks” section.

Immunohistochemistry (IHC) on 4% PFA perfusion fixed tissue with 24h PFA post fixation. Immunoreactivity is usually revealed by fluorescence or a chromogenic substrate. Some antibodies require special fixation methods or antigen retrieval steps. For details, please refer to the ”Remarks” section.

Immunohistochemistry (IHC-P) of formalin fixed, paraffin embedded (FFPE) tissue (some antibodies require special antigen retrieval steps, please refer to the ”Remarks” section). Immunoreactivity is usually revealed by fluorescence or a chromogenic substrate.

Immunogen Synthetic peptide corresponding to AA 418 to 434 from rat γ-Enolase (UniProt Id: P07323)
Reactivity Reacts with: rat (P07323), mouse (P17183).
Other species not tested yet.
Specificity Specific for γ-enolase.
Matching control protein/peptide 230-0P
Data sheet Datasheet 230_003

References for gamma-Enolase - 230 003

Preclinical long-term safety of intraspinal transplantation of human dorsal spinal GABA neural progenitor cells.
Zheng X, Liu Z, He Z, Xu J, Wang Y, Gong C, Zhang R, Zhang SC, Chen H, Wang W
iScience (2023) 2611: 108306. 230 003 IHC; tested species: rat
Cat. No.: 230 003
Amount: 50 µg
Price: $460.00
Preclinical long-term safety of intraspinal transplantation of human dorsal spinal GABA neural progenitor cells.
Zheng X, Liu Z, He Z, Xu J, Wang Y, Gong C, Zhang R, Zhang SC, Chen H, Wang W
iScience (2023) 2611: 108306. 230 003 IHC; tested species: rat
Background
The glycolytic enzyme enolase (2-phospho-d-glycerate hydrolyase; EC 4.2.1.11) occurs as heterodimers composed of three independently encoded isoforms (α, β, γ). Most tissues express the ubiquitous αα dimer. In the nervous system it is replaced by αγ,γγ, and in the striated muscle by αβ, ββ.

Certificates

ISO 9001 2015 Quality Management System and Green Lab Platinum certification level for sustaining laboratory processes.

Newsletter

Sign up for our newsletter and get the latest updates and news.
 

Please provide a valid E-Mail-Address
Please provide a valid First name
Please provide a valid Last name