c-Fos antibody - 226 308

c-Fos is a member of the transcription factor complex AP1
Guinea pig monoclonal recombinant IgG
Cat. No.: 226 308
Amount: 50 µg
Price: $430.00
Cat. No. 226 308 50 µg purified recombinant IgG, lyophilized. Albumin and azide were added for stabilization. For reconstitution add 50 µl H2O to get a 1mg/ml solution in PBS. Then aliquot and store at -20°C to -80°C until use.
Antibodies should be stored at +4°C when still lyophilized. Do not freeze!
Applications
 
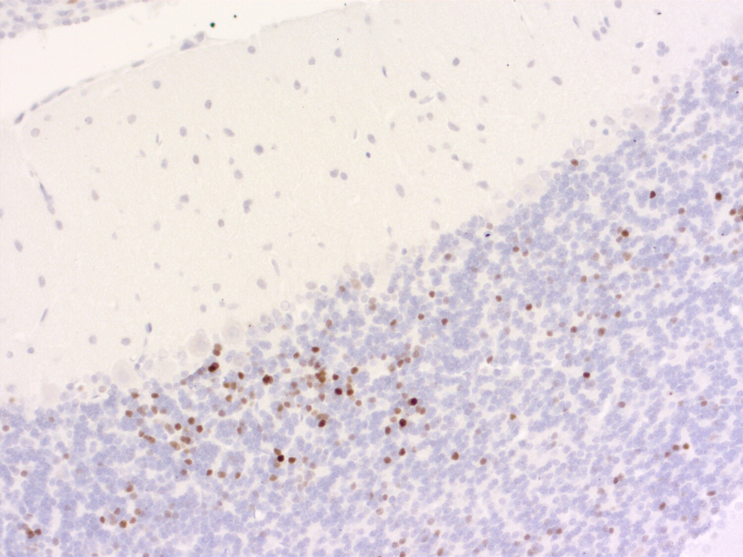
WB: 1 : 500 up to 1 : 2000 (AP staining) gallery  
IP: not tested yet
ICC: 1 : 1000 gallery  
IHC: 1 : 1000 up to 1 : 5000 (see remarks) gallery  
IHC-P (FFPE): 1 : 200 up to 1 : 1000 gallery  
Clarity: external data (see remarks)

Western blot (WB); separation of proteins by PAGE and subsequent transfer to a membrane. Detection of target molecules is carried out with antibodies. Some antibodies require special sample preparation steps. For details, please refer to the “Remarks” section.

Immunoprecipitation (IP); Immunoisolation or pulldown of a target molecule using an antibody. For details and product specific hints, please refer to the ”Remarks” section.

Immunocytochemistry (ICC) on 4% PFA fixed cells. Immunoreactivity is usually revealed by fluorescence. Some antibodies require special fixation methods. For details, please refer to the “Remarks” section.

Immunohistochemistry (IHC) on 4% PFA perfusion fixed tissue with 24h PFA post fixation. Immunoreactivity is usually revealed by fluorescence or a chromogenic substrate. Some antibodies require special fixation methods or antigen retrieval steps. For details, please refer to the ”Remarks” section.

Immunohistochemistry (IHC-P) of formalin fixed, paraffin embedded (FFPE) tissue (some antibodies require special antigen retrieval steps, please refer to the ”Remarks” section). Immunoreactivity is usually revealed by fluorescence or a chromogenic substrate.

Clarity is a sample preparation method for clearing, immunolabeling and volume imaging of large biological samples. Clearing is carried out by SDS and Focusclear treatment. For additional experimental details, please refer to the Remarks section.

Clone Gp108B5
Subtype IgG2 (κ light chain)
Immunogen Synthetic peptide corresponding to residues near the amino terminus of rat c-Fos (UniProt Id: P12841)
Reactivity Reacts with: mouse (P01101), rat (P12841), human (P01100).
Other species not tested yet.
Matching control protein/peptide 226-0P
Remarks

This antibody is a chimeric antibody based on the monoclonal rat antibody clone 108B5. The constant regions of the heavy and light chains have been replaced by Guinea pig specific sequences. Therefore, the antibody can be used with standard anti-Guinea pig secondary reagents. The antibody has been expressed in mammalian cells.
IHC: For best results, tissue sections should be stored at -20°C in cryoprotectant solution. Prolonged storage at 4°C leads to a substantial loss of signal.
Clarity: This antibody has been successfully applied and published for this method by customers (see application-specific references).

Data sheet Datasheet 226_308

References for c-Fos - 226 308

Liver-expressed antimicrobial peptide 2 elevation contributes to age-associated cognitive decline.
Tian J, Guo L, Wang T, Jia K, Swerdlow RH, Zigman JM, Du H
JCI insight (2023) 810: . 226 308 ICC; tested species: mouse
Cav3.1 is a neuronal leucine sensor that mediates satiety and weight loss in response to dietary protein.
Tsang AH, Heeley N, Alcaino C, Hwang E, Lam BY, Rahman T, Darwish T, Nuzzaci D, Kay RG, Sarkar A, Wang R, et al.
Cell metabolism (2026) : . 226 308 IHC; tested species: mouse
Chronic stress alters neurotransmitter co-expression and disrupts context discrimination in a sex-dependent manner.
Mazon C, Betters R, Salmeron-Ceballos G, Tomaziefski A, Coffman C, Simonson R, Tunc-Ozcan E
IBRO neuroscience reports (2026) 20: 160-169. 226 308 IHC; tested species: mouse
Electroacupuncture alleviates inflammatory pain via the activation of GABAergic inhibitory interneurons in mouse spinal dorsal horn.
Zhang J, Bao Y, Zhu M, Wan Q, Zhang J, Cao X, Zou H, Yin Q, Chen Z, Xu G, Zhang X, et al.
Brain research bulletin (2026) 235: 111741. 226 308 IHC; tested species: mouse
GABAergic Inhibition from the Nucleus Tractus Solitarius to Ventrolateral Medulla Phox2b Neurons Modulates Central Respiratory Chemoreflex and Ventilatory Homeostasis.
Shao L, Ji Y, Yu H, Cheng Z, Kong F, Wang X, Zhang B, Wang Y, Song Y, Yuan F, Fu C, et al.
Neuroscience bulletin (2026) : . 226 308 IHC; tested species: mouse
Transcriptional code for circuit integration in the injured brain by transplanted human neurons.
Wang Z, Zheng D, Chou SM, Kang PJ, Ye F, Zhang SC
Cell stem cell (2026) 331: 44-57.e7. 226 308 IHC; tested species: mouse
Electroacupuncture suppresses premature ventricular complexes occurring post-myocardial infarction through corticothalamic circuit.
Zhang F, Wang QY, Wei NX, Zhu X, Wu LB, Shu Q, Chang HM, Wu Y, Luo ZJ, Shao WJ, Wei X, et al.
Cell reports (2026) 451: 116734. 226 308 IHC; tested species: mouse
Accumulation of prosaposin and progranulin around the subfornical organ induces polydipsia in SAP-D-deficient mice.
Hisaki H, Susa T, Okudaira N, Akimoto M, Iizuka M, Matsuda J, Uchida S, Okinaga H, Okazaki T, Tamamori-Adachi M
Biochemistry and biophysics reports (2026) 45: 102388. 226 308 IHC; tested species: mouse
The mechanism of Calhm2 regulating the expression of CaMKIIα in spinal dorsal horn involved in the pathogenesis of bone cancer pain.
Xiong M, Li X, Su S, Xu X, Yu J, Tian W, Wang L, Ke C
Brain research (2026) 1874: 150158. 226 308 IHC; tested species: mouse
The role of the locus coeruleus in giant migrating contractions of colonic motility in Suncus murinus.
Watanabe A, Gomi A, Kanaya M, Huang J, Ishii H, Matsuo A, Suzuki M, Tanaka T, Sakata I
Experimental brain research (2026) 2443: 42. 226 308 IHC
Respiratory-Limbic Coupling via a Thalamic Circuit Alleviates Anxiety.
Bi S, Wang X, Luo H, Yue Z, Deng T, Liu Y, Chen X, Zhao J, Shi L, Ma N, Mao L, et al.
Advanced science (Weinheim, Baden-Wurttemberg, Germany) (2026) : e17477. 226 308 IHC; tested species: mouse
Matcha alleviates sneezing response in a murine model of allergic rhinitis.
Ogata S, Uda N, Miura K, Enkhbaatar U, Yamasaki N, Hosomi N, Mori A, Hasebe R, Matsuda N, Higashikawa F, Gamboa M, et al.
NPJ science of food (2026) : . 226 308 IHC; tested species: mouse
Epigenetic memory of colitis promotes tumour growth.
Nagaraja S, Ojeda-Miron L, Zhang R, Oreskovic E, Hock C, Hu Y, Zeve D, Sharma K, Hyman RR, Zhang Q, Castillo A, et al.
Nature (2026) 6528110: 774-783. 226 308 IHC; tested species: mouse
Top-down control of the descending pain modulatory system drives multimodal placebo analgesia.
Livrizzi G, Chang-Weinberg J, Johnson DA, Lubejko ST, Liao J, Kimmey BA, Dong C, Li Y, Beier KT, Corder G, Tian L, et al.
Neuron (2026) : . 226 308 IHC; tested species: mouse
Impairments of spatial memory retrieval via medial mammillary body dysfunction in Alzheimer's disease model.
Huang D, Long Y, Yang Y, Wu J, Yang J, Huang Y, Li Y, Liu P, Yuan M, Song X, Tan X, et al.
Translational psychiatry (2025) 151: 353. 226 308 IHC; tested species: mouse
Sexually dimorphic dopaminergic circuits determine sex preference.
Wei A, Zhao A, Zheng C, Dong N, Cheng X, Duan X, Zhong S, Liu X, Jian J, Qin Y, Yang Y, et al.
Science (New York, N.Y.) (2025) 3876730: eadq7001. 226 308 IHC; tested species: mouse
Experience-dependent dopamine modulation of male aggression.
Dai B, Zheng B, Dai X, Cui X, Yin L, Cai J, Zhuo Y, Tritsch NX, Zweifel LS, Li Y, Lin D, et al.
Nature (2025) 6398054: 430-437. 226 308 IHC; tested species: mouse
Dorsal bed nucleus of the stria terminalis GABA neurons are necessary for chronic unpredictable stress-induced depressive behaviors in adolescent male mice.
Hu W, Wang Q, Jiang L, Zhang L, Sun H, Bao J, Chen X, Yuan G, Yan K, Liu Y, Wu J, et al.
Journal of psychiatric research (2025) 182: 347-357. 226 308 IHC; tested species: mouse
Effects of inhibiting the orexin system on nicotine reward memory and fear memory.
Cui P, Wu D, Dong J, Chen Y, Feng J, Liu X, Chen Z, Ge J, Liu J
Neuropharmacology (2025) 276: 110523. 226 308 IHC; tested species: rat
Prohormone cleavage prediction uncovers a non-incretin anti-obesity peptide.
Coassolo L, B Danneskiold-Samsøe N, Nguyen Q, Wiggenhorn A, Zhao M, Wang DC, Toomer D, Lone J, Wei Y, Patel A, Liparulo I, et al.
Nature (2025) 6418061: 192-201. 226 308 IHC, Clarity; tested species: mouse
Glutamatergic neurons of basolateral amygdala mediate increased exploratory behaviors produced by mildly chronic restraint stress in adolescent mice.
Wang B, Liu H, Shang Y, Xiong Y, Yang J, Zhan Z, Zhang Z, Wang K, Sun T
Progress in neurobiology (2025) 244: 102705. 226 308 IHC; tested species: mouse
GluN2A-NMDA receptor inhibition disinhibits the prefrontal cortex, reduces forced swim immobility, and impairs sensorimotor gating.
Dong YP, Wu Y, Zhao YL, Chen YM, Liu TY, Zhang YH, Xie JY, Zhang JF, Zhang H, Chen H, Peng Y, et al.
Acta pharmacologica Sinica (2025) : . 226 308 IHC; tested species: mouse
Characterization of a novel transgenic mouse model to investigate brain-wide activation of astrocyte Gq signaling.
Crooks AM, Onuska KM, Ngo G, Schmidt SD, Hogan-Cann AE, Eed A, Menon RS, Saksida LM, Bussey TJ, Schmitz TW, Prado VF, et al.
Lab animal (2025) 548: 207-217. 226 308 IHC; tested species: mouse
Hypothalamic Oxytocin Neuronal Activation Induces Bipolar-Like Mood Changes in Mice in a Sex- and Dosage-Dependent Manner.
Tan H, Jin S, Lv W, Guo L, Jiang P, Li Y, Shi M, Wang D, Wang Y, Bao A
Neuroscience bulletin (2025) : . 226 308 IHC; tested species: mouse
Activity of arcuate kisspeptin/neurokinin B neurons and the melanocortin system during pubertal development in female sheep†.
Aerts EG, Griesgraber MJ, Thomson AL, Brown MB, Bowdridge EC, Hardy SL, Seman AD, Goodman RL, Nestor CC, Hileman SM
Biology of reproduction (2025) 1132: 358-372. 226 308 IHC; tested species: sheep
Stress disrupts engram ensembles in lateral amygdala to generalize threat memory in mice.
Lesuis SL, Park S, Hoorn A, Rashid AJ, Mocle AJ, Salter EW, Vislavski S, Gray MT, Torelli AM, DeCristofaro A, Driever WPF, et al.
Cell (2025) 1881: 121-140.e20. 226 308 IHC; tested species: mouse
Inflammatory and anti-inflammatory cytokines bidirectionally modulate amygdala circuits regulating anxiety.
Lee B, Kwon JT, Jeong Y, Caris H, Oh D, Feng M, Davila Mejia I, Zhang X, Ishikawa T, Watson BR, Moffitt JR, et al.
Cell (2025) 1888: 2190-2202.e15. 226 308 IHC; tested species: mouse
Intermittent environmental enrichment induces behavioral despair, while intermittent social isolation impairs spatial learning in rats.
Akkaya A, Aykan D, Gencturk S, Unal G
Pharmacology, biochemistry, and behavior (2025) 250: 174001. 226 308 IHC; tested species: rat
Chronic unpredictable stress during adolescence exerts sex-specific effects on depressive-like behavior and neural activation triggered by tail suspension test.
Hu W, Jiang L, Wang Q, Hu Q, Zhong T, Wu J, Chen X, Liu T
Behavioural brain research (2025) 477: 115314. 226 308 IHC; tested species: mouse
Microglial SIRT2 deficiency aggravates cognitive decline and amyloid pathology in Alzheimer's disease.
Sola-Sevilla N, Garmendia-Berges M, Aleixo M, Mera-Delgado M, Solas M, Tordera RM, García-Carracedo L, Expósito S, Anaya-Cubero E, Fernández-Irigoyen J, Guruceaga E, et al.
Brain, behavior, and immunity (2025) 129: 223-243. 226 308 IHC; tested species: mouse
Modelling of What-Where-When Everyday Memories in Rats.
Kanakis K, Morris RGM, Gobbo F
The European journal of neuroscience (2025) 627: e70278. 226 308 IHC; tested species: rat
Acute systemic inflammation induces region-specific morphological remodeling of astrocytes and microglia concurrent with depression-like behavior.
Zhang AQ, Zhang MM, Li LJ, Yuan MX, Liu RY, Chen P, Wang CW, Wang Y, Zhou JN, Shan QH, Qin XY, et al.
Histochemistry and cell biology (2025) 1631: 112. 226 308 IHC; tested species: mouse
Sparse memory ensembles set brain-wide network states to sustain learned associations.
Haubrich J, Russo G, Manahan-Vaughan D
iScience (2025) 2810: 113574. 226 308 IHC; tested species: mouse
Central amygdalar PKCδ neurons mediate fentanyl withdrawal.
Wooldridge LM, Wu JWK, Jo AY, Zinn M, Lee AM, Mahmood M, Cohen SA, McCall NM, Oswell CS, Rogers SA, Corder G, et al.
Neuropsychopharmacology : official publication of the American College of Neuropsychopharmacology (2025) : . 226 308 IHC; tested species: mouse
Corticotropin-releasing hormone signaling from piriform cortex to amygdala mediates social homophily in opioid addiction.
Huo Y, Wang X, Lin X, Yu J, Li B, Liu Z, Guo S, Wang Y, Tang R, Li B, Zhang S, et al.
Neuron (2025) 11321: 3632-3646.e7. 226 308 IHC; tested species: mouse
Astrocytic Connexin43 Channels Are Essential for Breathing Pattern Stabilization in the preBötzinger Complex.
Zhao X, Shi L, Chen Y, Yu H, Wang X, Jing X, Deng T, Zhao K, Zhang X, Liu Y, Yuan F, et al.
CNS neuroscience & therapeutics (2025) 3111: e70668. 226 308 IHC; tested species: mouse
LAMP2A-mediated neuronal hyperexcitability by enhancing NKAβ1 degradation underlies depression-induced allodynia.
Zhang Y, Wu H, Zhang Q, Cong P, Li Z, Wu Q, Huang X, Li X, Feng B, Liu Q, Xiong L, et al.
Cell reports (2025) 444: 115489. 226 308 IHC; tested species: mouse
Activation of glutamatergic neurons in the organum vasculosum of the lamina terminalis induces thirst-driven sniffing.
He W, Shi L, Yue Z, Zhao K, Wang X, Wang K, Jing X, Bi S, Deng T, Zhao X, Tian X, et al.
Cell reports (2025) 442: 115254. 226 308 IHC; tested species: mouse
Distinct neural representations of hunger and thirst in neonatal mice before the emergence of food- and water-seeking behaviors.
Wang DC, Wu Y, Mehaffy C, Espinoza-Campomanes LA, Santos-Valencia F, Franks KM, Luo L
Current biology : CB (2025) 3513: 3106-3118.e4. 226 308 IHC; tested species: mouse
ABBA+BraiAn, an integrated suite for whole-brain mapping, reveals brain-wide differences in immediate-early genes induction upon learning.
Chiaruttini N, Castoldi C, Requie LM, Camarena-Delgado C, Dal Bianco B, Gräff J, Seitz A, Silva BA
Cell reports (2025) 447: 115876. 226 308 IHC; tested species: mouse
Serotonin receptor 4 in the ventral CA3 regulates agomelatine-induced anxiolytic-like behaviors.
Liu XH, Naveed M, Hu XY, Zhu LL, Meng F, Zhou QG, Zhang J
Acta pharmacologica Sinica (2025) : . 226 308 IHC; tested species: mouse
Reversal of auditory cortical hyperexcitability and restoration of synaptic plasticity balance by GluN1-mediated photobiomodulation in noise-induced tinnitus.
Zhang Z, Xue X, He D, Liu P, Zhang C, Jiang Y, Lv S, Wang L, Zhou H, Shen W, Yang S, et al.
Brain research bulletin (2025) 234: 111685. 226 308 IHC; tested species: mouse
Single-cell resolution spatial transcriptomic signature of the retrosplenial cortex during memory consolidation.
Bliese SR, Basu B, Beyer SE, Elsadany M, Michaelson JJ, Chatterjee S
Molecular psychiatry (2025) : . 226 308 IHC; tested species: mouse
Cell-type- and locus-specific epigenetic editing of memory expression.
Coda DM, Watt L, Glauser L, Batiuk MY, Burns AM, Stahl CL, Wong LY, Gräff J
Nature genetics (2025) 5711: 2661-2668. 226 308 IHC; tested species: mouse
Spinal Dorsal Horn Neurons Receiving Descending Input from the Primary Somatosensory Cortex Contribute to Aβ Fiber-Induced Neuropathic Allodynia in Male Rats.
Shinotsuka S, I E, Sueto D, Fujimori K, Yamaura K, Tsuda M
Cells (2025) 1423: . 226 308 IHC; tested species: rat
Electroacupuncture ameliorates visceral hypersensitivity and negative emotions by regulating paraventricular hypothalamic nucleus and colonic corticotropin-releasing factor signaling.
Xu JG, Yuan Y, Ma HK, Huang S, Zhu SL, Li TT, Wang XY, Shen GM, Wang H
World journal of psychiatry (2025) 158: 107342. 226 308 IHC; tested species: mouse
Cortical Control of Itch Sensation by Vasoactive Intestinal Polypeptide-Expressing Interneurons in the Anterior Cingulate Cortex.
Zhang Y, Li J, Wu Y, Si J, Zhu Y, Nian M, Chen C, Ma N, Zhang X, Zhang Y, Lin Y, et al.
Neuroscience bulletin (2025) : . 226 308 IHC; tested species: mouse
The Small Molecule Compound Eupalinolide B Alleviates Neuropathic Pain by Regulating the USP7/Keap1/Nrf2 Pathway.
Yang X, Jiang F, Li J, Wu Y, Xiang H
Journal of neuroimmune pharmacology : the official journal of the Society on NeuroImmune Pharmacology (2025) 201: 106. 226 308 IHC; tested species: mouse
Acute stress suppresses hunger-driven food seeking through PVN activation: Reversal by anxiolytic drug and ghrelin receptor agonist, with anxiolytic-like effects of refeeding.
Tojo R, Tashiro M, Takahashi H, Tamura H
Neuroscience research (2025) 222: 104989. 226 308 IHC; tested species: mouse
Mid-infrared photons relieve tinnitus-like behavior of mice by regulating HCN2 ion channels in the medial geniculate body.
Xue X, Liu P, Zhang C, Zhang Z, Zhou H, Ding Z, Wang L, Jiang Y, Lu S, Shen W, Li X, et al.
Annals of medicine (2025) 571: 2584694. 226 308 IHC; tested species: mouse
A cholinergic spinal pathway for the adaptive control of breathing.
Lin M, Calabrese GB, Incognito AV, Moore MT, Agarwal A, Wilson RJA, Zagoraiou L, Sharples SA, Miles GB, Philippidou P
Cell reports (2025) 448: 116078. 226 308 IHC; tested species: mouse
AgRP neuron activity enhances reward-related consummatory behaviors during energy deficit in mice.
Cassano DA, Barrile F, Reynaldo M, Fernandez G, Cornejo MP, Tolosa MJ, Heredia MF, Ferreira N, Fideles HJ, De Francesco PN, Schiöth HB, et al.
Communications biology (2025) 81: 1152. 226 308 IHC; tested species: mouse
Activity of CaMKII-expressing neurons in medial prefrontal cortex of male and female Long-Evans rats is necessary for encoding odor information and novelty recognition in an odor-based incidental memory test.
Barnard IL, McElroy DL, Young KM, Terstege DJ, Glass AE, Epp JR, Botterill JJ, Howland JG
Cerebral cortex (New York, N.Y. : 1991) (2025) 358: . 226 308 IHC; tested species: rat
Posttraining noradrenergic stimulation maintains hippocampal engram reactivation and episodic-like specificity of remote memory.
Gulmez Karaca K, Bahtiyar S, van Dongen L, Wolf OT, Hermans EJ, Henckens MJAG, Roozendaal B
Neuropsychopharmacology : official publication of the American College of Neuropsychopharmacology (2025) : . 226 308 IHC; tested species: mouse
Heat acclimation defense against exertional heat stroke by improving the function of preoptic TRPV1 neurons.
Li J, Zhou Z, Wu Y, Zhao J, Duan H, Peng Y, Wang X, Fan Z, Yin L, Li M, Liu F, et al.
Theranostics (2025) 154: 1376-1398. 226 308 IHC; tested species: mouse
Chronic stress induces depression through MDGA1-Neuroligin2 mediated suppression of inhibitory synapses in the lateral habenula.
Wang X, Wei H, Hu Z, Jiang J, Dong X, Zhu J, Chen H, Brose N, Lipstein N, Xu T, Connor SA, et al.
Theranostics (2025) 155: 1842-1863. 226 308 IHC; tested species: mouse
Differential Neuronal Activation of Nociceptive Pathways in Neuropathic Pain After Spinal Cord Injury.
He Z, Zhang J, Xu J, Wang Y, Zheng X, Wang W
Cellular and molecular neurobiology (2025) 451: 18. 226 308 IHC; tested species: rat
Protocol to visualize three distinct neuronal ensembles encoding different events in the mouse brain using genetic and viral approaches.
Lesuis SL, Rashid AJ, Hoorn A, Park S, Mocle AJ, Torelli AM, DeCristofaro A, Frankland PW, Hill MN, Josselyn SA
STAR protocols (2025) 62: 103747. 226 308 IHC; tested species: mouse
A neural circuit for sex-dependent conditioned pain hypersensitivity in mice.
Zhang M, Ni Z, Ma J, Liu A, Liu Y, Lou Q, Dong WY, Zhang Z, Li J, Cao P
Nature communications (2025) 161: 3639. 226 308 IHC; tested species: mouse
The basolateral amygdala-anterior cingulate cortex circuit contributes to postherpetic neuralgia-anxiety comorbidity.
Jiang X, Yan Y, Chen Z, Xiong J, Zhang X, Gu L, Zhang Y, Zhu M, Zhang D, Jiang J
Theranostics (2025) 1510: 4614-4637. 226 308 IHC; tested species: mouse
BNSTGABA neurons regulate autophagy to alleviate depression with gastric dysfunction symptoms.
Yuan Y, Xu J, Zhu S, Ma H, Wang H, Wang X, Shen G
Brain research bulletin (2025) 226: 111360. 226 308 IHC; tested species: mouse
Merkel cell stimulation in fear and sensory signaling.
Korgan AC, Orso R, Sibley IJ, Prendergast KE, Jovanovic T, Bale TL
Neuropsychopharmacology : official publication of the American College of Neuropsychopharmacology (2025) : . 226 308 IHC; tested species: mouse
Dopaminergic neurons in the ventral periaqueductal gray projecting to the dorsal lateral septum regulate comorbid pain and anxiety.
Wang S, Guo Y, Wei B, Lu R, Tan Z, Wei C
Brain research bulletin (2025) 228: 111409. 226 308 IHC; tested species: mouse
Descending projection neurons in the primary sensorimotor cortex regulate neuropathic pain and locomotion in mice.
Wang GH, Hou XY, Liu HZ, Zhou ZR, Lv SS, Yi LX, Li H, Zhang YQ
Nature communications (2025) 161: 5918. 226 308 IHC; tested species: mouse
Leptin signaling in POMC neurons regulates plasma leptin levels and is critical to mediate hypothalamic-pituitary-adrenal axis activation during fasting.
Ferreira NL, Fideles HJ, Marcal AB, Brianezi AP, Nani JVS, Mecawi AS, Rorato R
Scientific reports (2025) 151: 25574. 226 308 IHC; tested species: mouse
A nociceptive amygdala-striatal pathway modulating affective-motivational pain.
Wojick JA, Paranjapye A, Chiu JK, Oswell CS, Mahmood M, Wooldridge LM, Kimmey BA, Sandoval Ortega RA, McCall NM, Han S, Wu JWK, et al.
Science advances (2025) 1130: eado2837. 226 308 IHC; tested species: mouse
Activation of the tail of the ventral tegmental area in response to pup predicting cues in maternal rats.
Pérez-Gozalbo C, Gutiérrez-Arroyo JL, Barneo-Muñoz M, Martínez-García F, Sánchez-Catalán MJ
Brain structure & function (2025) 2307: 121. 226 308 IHC; tested species: rat
The lateral habenula integrates age and experience to promote social transitions in developing rats.
Cobb-Lewis D, George A, Hu S, Packard K, Song M, Nguyen-Lopez O, Tesone E, Rowden J, Wang J, Opendak M
bioRxiv : the preprint server for biology (2024) : . 226 308 IHC; tested species: rat
Genetic identification of medullary neurons underlying congenital hypoventilation.
Cui K, Xia Y, Patnaik A, Salivara A, Lowenstein ED, Isik EG, Knorz AL, Airaghi L, Crotti M, Garratt AN, Meng F, et al.
Science advances (2024) 1025: eadj0720. 226 308 IHC; tested species: mouse
Activation of pyramidal neurons in the infralimbic cortex alleviates LPS-induced depressive-like behavior in mice.
Zhang PF, You WY, Gao YJ, Wu XB
Brain research bulletin (2024) 214: 111008. 226 308 IHC; tested species: mouse
Vagotomy blunts cardiorespiratory responses to vagal afferent stimulation via pre- and postsynaptic effects in the nucleus tractus solitarii.
Hofmann GC, Gama de Barcellos Filho P, Khodadadi F, Ostrowski D, Kline DD, Hasser EM
The Journal of physiology (2024) 6026: 1147-1174. 226 308 IHC; tested species: rat
Obesity alters POMC and kisspeptin neuron crosstalk leading to reduced luteinizing hormone in male mice.
Villa PA, Ruggiero-Ruff RE, Jamieson BB, Campbell RE, Coss D
The Journal of neuroscience : the official journal of the Society for Neuroscience (2024) : . 226 308 IHC; tested species: mouse
Spatial transcriptomics reveal neuron-astrocyte synergy in long-term memory.
Sun W, Liu Z, Jiang X, Chen MB, Dong H, Liu J, Südhof TC, Quake SR
Nature (2024) : . 226 308 IHC; tested species: mouse
A nociceptive amygdala-striatal pathway for chronic pain aversion.
Wojick JA, Paranjapye A, Chiu JK, Mahmood M, Oswell C, Kimmey BA, Wooldridge LM, McCall NM, Han A, Ejoh LL, Chehimi SN, et al.
bioRxiv : the preprint server for biology (2024) : . 226 308 IHC; tested species: mouse
Microbiota-derived acetate attenuates neuroinflammation in rostral ventrolateral medulla of spontaneously hypertensive rats.
Yin X, Duan C, Zhang L, Zhu Y, Qiu Y, Shi K, Wang S, Zhang X, Zhang H, Hao Y, Yuan F, et al.
Journal of neuroinflammation (2024) 211: 101. 226 308 IHC; tested species: rat
Development of activity-based anorexia requires PKC-δ neurons in two central extended amygdala nuclei.
Schnapp WI, Kim J, Wang Y, Timilsena S, Fang C, Cai H
Cell reports (2024) 433: 113933. 226 308 IHC; tested species: mouse
The crucial role of locus coeruleus noradrenergic neurons in the interaction between acute sleep disturbance and headache.
Li B, Cao Y, Yuan H, Yu Z, Miao S, Yang C, Gong Z, Xie W, Li C, Bai W, Tang W, et al.
The journal of headache and pain (2024) 251: 31. 226 308 IHC; tested species: mouse
Hypothalamic representation of the imminence of predator threat detected by the vomeronasal organ in mice.
Nguyen QAT, Rocha A, Chhor R, Yamashita Y, Stadler C, Pontrello C, Yang H, Haga-Yamanaka S
eLife (2024) 12: . 226 308 IHC; tested species: mouse
A discrete subpopulation of PFC-LHb neurons govern cocaine place preference.
Abdel-Hay N, Kabirova M, Yaka R
Translational psychiatry (2024) 141: 269. 226 308 IHC; tested species: mouse
Anterior Cingulate Cortex Contributes to the Hyperlocomotion under Nitrogen Narcosis.
Peng B, Wu XB, Zhang ZJ, Cao DL, Zhao LX, Wu H, Gao YJ
Neuroscience bulletin (2024) : . 226 308 IHC; tested species: mouse
Adaptation to photoperiod via dynamic neurotransmitter segregation.
Maddaloni G, Chang YJ, Senft RA, Dymecki SM
Nature (2024) 6328023: 147-156. 226 308 IHC; tested species: mouse
A neural circuit for lavender-essential-oil-induced antinociception.
Yang Y, Huang H, Zhu MY, Wei HR, Zhang M, Tang L, Gao W, Yang X, Zhang Z, Cao P, Tao W, et al.
Cell reports (2024) 4310: 114800. 226 308 IHC; tested species: mouse
Distinct eLPBChAT projections for methamphetamine withdrawal anxiety and primed reinstatement of conditioned place preference.
Chen W, Guo H, Zhou N, Mai Y, Hu T, Xu X, He T, Wen J, Qin S, Liu C, Wu W, et al.
Theranostics (2024) 147: 2881-2896. 226 308 IHC; tested species: mouse
Reduced excitatory activity in the developing mPFC mediates a PVH-to-PVL transition and impaired social cognition in autism spectrum disorders.
Luo Y, Wang L, Cao Y, Shen Y, Gu Y, Wang L
Translational psychiatry (2024) 141: 325. 226 308 IHC; tested species: mouse
Human TRPV1 is an efficient thermogenetic actuator for chronic neuromodulation.
Maltsev DI, Solotenkov MA, Mukhametshina LF, Sokolov RA, Solius GM, Jappy D, Tsopina AS, Fedotov IV, Lanin AA, Fedotov AB, Krut' VG, et al.
Cellular and molecular life sciences : CMLS (2024) 811: 437. 226 308 IHC; tested species: mouse
Histone lactylation mediated by Fam172a in POMC neurons regulates energy balance.
Chen Z, Wan B, Zhang H, Zhang L, Zhang R, Li L, Zhang Y, Hu C
Nature communications (2024) 151: 10111. 226 308 IHC; tested species: mouse
The lateral habenula integrates age and experience to promote social transitions in developing rats.
Cobb-Lewis D, George A, Hu S, Packard K, Song M, Nikitah I, Nguyen-Lopez O, Tesone E, Rowden J, Wang J, Opendak M, et al.
Cell reports (2024) 438: 114556. 226 308 IHC; tested species: rat
Disrupted basolateral amygdala circuits supports negative valence bias in depressive states.
Bigot M, De Badts CH, Benchetrit A, Vicq É, Moigneu C, Meyrel M, Wagner S, Hennrich AA, Houenou J, Lledo PM, Henry C, et al.
Translational psychiatry (2024) 141: 382. 226 308 IHC; tested species: mouse
Mid-Infrared Photons Alleviate Tinnitus by Activating the KCNQ2 Channel in the Auditory Cortex.
Liu P, Xue X, Zhang C, Zhou H, Ding Z, Wang L, Jiang Y, Zhang Z, Shen W, Yang S, Wang F, et al.
Research (Washington, D.C.) (2024) 7: 0479. 226 308 IHC; tested species: mouse
Chromatin plasticity predetermines neuronal eligibility for memory trace formation.
Santoni G, Astori S, Leleu M, Glauser L, Zamora SA, Schioppa M, Tarulli I, Sandi C, Gräff J
Science (New York, N.Y.) (2024) 3856707: eadg9982. 226 308 IHC; tested species: mouse
The cortical amygdala consolidates a socially transmitted long-term memory.
Liu Z, Sun W, Ng YH, Dong H, Quake SR, Südhof TC
Nature (2024) 6328024: 366-374. 226 308 IHC; tested species: mouse
A noradrenergic pathway for the induction of pain by sleep loss.
Lou Q, Wei HR, Chen D, Zhang Y, Dong WY, Qun S, Wang D, Luo Y, Zhang Z, Jin Y
Current biology : CB (2024) 3412: 2644-2656.e7. 226 308 IHC; tested species: mouse
Examining the engram encoding specificity hypothesis in mice.
Jung JH, Wang Y, Mocle AJ, Zhang T, Köhler S, Frankland PW, Josselyn SA
Neuron (2023) : . 226 308 IHC; tested species: mouse
Structure and Function of Neuronal Circuits Linking Ventrolateral Preoptic Nucleus and Lateral Hypothalamic Area.
Prokofeva K, Saito YC, Niwa Y, Mizuno S, Takahashi S, Hirano A, Sakurai T
The Journal of neuroscience : the official journal of the Society for Neuroscience (2023) 4322: 4075-4092. 226 308 IHC; tested species: mouse
Region-specific heterogeneity in neuronal nuclear morphology in young, aged and in Alzheimer's disease mouse brains.
Das S, Ramanan N
Frontiers in cell and developmental biology (2023) 11: 1032504. 226 308 IHC; tested species: mouse
Oligofructose improves small intestinal lipid-sensing mechanisms via alterations to the small intestinal microbiota.
Weninger SN, Herman C, Meyer RK, Beauchemin ET, Kangath A, Lane AI, Martinez TM, Hasneen T, Jaramillo SA, Lindsey J, Vedantam G, et al.
Microbiome (2023) 111: 169. 226 308 IHC; tested species: rat
Chemogenetic activation of CRF neurons as a model of chronic stress produces sex-specific physiological and behavioral effects.
Montgomery KR, Bridi MS, Folts LM, Marx-Rattner R, Zierden HC, Wulff AB, Kodjo EA, Thompson SM, Bale TL
Neuropsychopharmacology : official publication of the American College of Neuropsychopharmacology (2023) : . 226 308 IHC; tested species: mouse
Increased body weight in mice with fragile X messenger ribonucleoprotein 1 (Fmr1) gene mutation is associated with hypothalamic dysfunction.
Ruggiero-Ruff RE, Villa PA, Hijleh SA, Avalos B, DiPatrizio NV, Haga-Yamanaka S, Coss D
Scientific reports (2023) 131: 12666. 226 308 IHC; tested species: mouse
Bed nucleus of the stria terminalis GABA neurons are necessary for changes in foraging behaviour following an innate threat.
Ly A, Barker A, Hotchkiss H, Prévost ED, McGovern DJ, Kilpatrick Z, Root DH
The European journal of neuroscience (2023) 587: 3630-3649. 226 308 IHC; tested species: mouse
Social memory deficit caused by dysregulation of the cerebellar vermis.
Chao OY, Pathak SS, Zhang H, Augustine GJ, Christie JM, Kikuchi C, Taniguchi H, Yang YM
Nature communications (2023) 141: 6007. 226 308 IHC; tested species: mouse
Examining memory linking and generalization using scFLARE2, a temporally precise neuronal activity tagging system.
Jung JH, Wang Y, Rashid AJ, Zhang T, Frankland PW, Josselyn SA
Cell reports (2023) 4212: 113592. 226 308 IHC; tested species: mouse
Analgesic effect of gastrin-releasing peptide in the dorsal horn.
Saeki A, Yamanaka H, Kobayashi K, Okubo M, Noguchi K
Molecular pain (2022) 18: 17448069221108965. 226 308 IHC; tested species: rat
Endocannabinoid signaling regulates post-operative delirium through glutamatergic mediodorsal thalamus-prelimbic prefrontal cortical projection.
Liu Y, Jia S, Wang J, Wang D, Zhang X, Liu H, Zhou F, Zhang Z, Li Q, Dong H, Zhong H, et al.
Frontiers in aging neuroscience (2022) 14: 1036428. 226 308 IHC; tested species: mouse
Lateral Hypothalamus Calcium/Calmodulin-Dependent Protein Kinase II α Neurons Encode Novelty-Seeking Signals to Promote Predatory Eating.
Tan N, Shi J, Xu L, Zheng Y, Wang X, Lai N, Fang Z, Chen J, Wang Y, Chen Z
Research (Washington, D.C.) (2022) 2022: 9802382. 226 308 IHC; tested species: mouse
Control of non-REM sleep by ventrolateral medulla glutamatergic neurons projecting to the preoptic area.
Teng S, Zhen F, Wang L, Schalchli JC, Simko J, Chen X, Jin H, Makinson CD, Peng Y
Nature communications (2022) 131: 4748. 226 308 IHC; tested species: mouse
Prohormone cleavage prediction uncovers a non-incretin anti-obesity peptide.
Coassolo L, B Danneskiold-Samsøe N, Nguyen Q, Wiggenhorn A, Zhao M, Wang DC, Toomer D, Lone J, Wei Y, Patel A, Liparulo I, et al.
Nature (2025) 6418061: 192-201. 226 308 IHC, Clarity; tested species: mouse
Cat. No.: 226 308
Amount: 50 µg
Price: $430.00
Liver-expressed antimicrobial peptide 2 elevation contributes to age-associated cognitive decline.
Tian J, Guo L, Wang T, Jia K, Swerdlow RH, Zigman JM, Du H
JCI insight (2023) 810: . 226 308 ICC; tested species: mouse
Cav3.1 is a neuronal leucine sensor that mediates satiety and weight loss in response to dietary protein.
Tsang AH, Heeley N, Alcaino C, Hwang E, Lam BY, Rahman T, Darwish T, Nuzzaci D, Kay RG, Sarkar A, Wang R, et al.
Cell metabolism (2026) : . 226 308 IHC; tested species: mouse
Chronic stress alters neurotransmitter co-expression and disrupts context discrimination in a sex-dependent manner.
Mazon C, Betters R, Salmeron-Ceballos G, Tomaziefski A, Coffman C, Simonson R, Tunc-Ozcan E
IBRO neuroscience reports (2026) 20: 160-169. 226 308 IHC; tested species: mouse
Electroacupuncture alleviates inflammatory pain via the activation of GABAergic inhibitory interneurons in mouse spinal dorsal horn.
Zhang J, Bao Y, Zhu M, Wan Q, Zhang J, Cao X, Zou H, Yin Q, Chen Z, Xu G, Zhang X, et al.
Brain research bulletin (2026) 235: 111741. 226 308 IHC; tested species: mouse
GABAergic Inhibition from the Nucleus Tractus Solitarius to Ventrolateral Medulla Phox2b Neurons Modulates Central Respiratory Chemoreflex and Ventilatory Homeostasis.
Shao L, Ji Y, Yu H, Cheng Z, Kong F, Wang X, Zhang B, Wang Y, Song Y, Yuan F, Fu C, et al.
Neuroscience bulletin (2026) : . 226 308 IHC; tested species: mouse
Transcriptional code for circuit integration in the injured brain by transplanted human neurons.
Wang Z, Zheng D, Chou SM, Kang PJ, Ye F, Zhang SC
Cell stem cell (2026) 331: 44-57.e7. 226 308 IHC; tested species: mouse
Electroacupuncture suppresses premature ventricular complexes occurring post-myocardial infarction through corticothalamic circuit.
Zhang F, Wang QY, Wei NX, Zhu X, Wu LB, Shu Q, Chang HM, Wu Y, Luo ZJ, Shao WJ, Wei X, et al.
Cell reports (2026) 451: 116734. 226 308 IHC; tested species: mouse
Accumulation of prosaposin and progranulin around the subfornical organ induces polydipsia in SAP-D-deficient mice.
Hisaki H, Susa T, Okudaira N, Akimoto M, Iizuka M, Matsuda J, Uchida S, Okinaga H, Okazaki T, Tamamori-Adachi M
Biochemistry and biophysics reports (2026) 45: 102388. 226 308 IHC; tested species: mouse
The mechanism of Calhm2 regulating the expression of CaMKIIα in spinal dorsal horn involved in the pathogenesis of bone cancer pain.
Xiong M, Li X, Su S, Xu X, Yu J, Tian W, Wang L, Ke C
Brain research (2026) 1874: 150158. 226 308 IHC; tested species: mouse
The role of the locus coeruleus in giant migrating contractions of colonic motility in Suncus murinus.
Watanabe A, Gomi A, Kanaya M, Huang J, Ishii H, Matsuo A, Suzuki M, Tanaka T, Sakata I
Experimental brain research (2026) 2443: 42. 226 308 IHC
Respiratory-Limbic Coupling via a Thalamic Circuit Alleviates Anxiety.
Bi S, Wang X, Luo H, Yue Z, Deng T, Liu Y, Chen X, Zhao J, Shi L, Ma N, Mao L, et al.
Advanced science (Weinheim, Baden-Wurttemberg, Germany) (2026) : e17477. 226 308 IHC; tested species: mouse
Matcha alleviates sneezing response in a murine model of allergic rhinitis.
Ogata S, Uda N, Miura K, Enkhbaatar U, Yamasaki N, Hosomi N, Mori A, Hasebe R, Matsuda N, Higashikawa F, Gamboa M, et al.
NPJ science of food (2026) : . 226 308 IHC; tested species: mouse
Epigenetic memory of colitis promotes tumour growth.
Nagaraja S, Ojeda-Miron L, Zhang R, Oreskovic E, Hock C, Hu Y, Zeve D, Sharma K, Hyman RR, Zhang Q, Castillo A, et al.
Nature (2026) 6528110: 774-783. 226 308 IHC; tested species: mouse
Top-down control of the descending pain modulatory system drives multimodal placebo analgesia.
Livrizzi G, Chang-Weinberg J, Johnson DA, Lubejko ST, Liao J, Kimmey BA, Dong C, Li Y, Beier KT, Corder G, Tian L, et al.
Neuron (2026) : . 226 308 IHC; tested species: mouse
Impairments of spatial memory retrieval via medial mammillary body dysfunction in Alzheimer's disease model.
Huang D, Long Y, Yang Y, Wu J, Yang J, Huang Y, Li Y, Liu P, Yuan M, Song X, Tan X, et al.
Translational psychiatry (2025) 151: 353. 226 308 IHC; tested species: mouse
Sexually dimorphic dopaminergic circuits determine sex preference.
Wei A, Zhao A, Zheng C, Dong N, Cheng X, Duan X, Zhong S, Liu X, Jian J, Qin Y, Yang Y, et al.
Science (New York, N.Y.) (2025) 3876730: eadq7001. 226 308 IHC; tested species: mouse
Experience-dependent dopamine modulation of male aggression.
Dai B, Zheng B, Dai X, Cui X, Yin L, Cai J, Zhuo Y, Tritsch NX, Zweifel LS, Li Y, Lin D, et al.
Nature (2025) 6398054: 430-437. 226 308 IHC; tested species: mouse
Dorsal bed nucleus of the stria terminalis GABA neurons are necessary for chronic unpredictable stress-induced depressive behaviors in adolescent male mice.
Hu W, Wang Q, Jiang L, Zhang L, Sun H, Bao J, Chen X, Yuan G, Yan K, Liu Y, Wu J, et al.
Journal of psychiatric research (2025) 182: 347-357. 226 308 IHC; tested species: mouse
Effects of inhibiting the orexin system on nicotine reward memory and fear memory.
Cui P, Wu D, Dong J, Chen Y, Feng J, Liu X, Chen Z, Ge J, Liu J
Neuropharmacology (2025) 276: 110523. 226 308 IHC; tested species: rat
Prohormone cleavage prediction uncovers a non-incretin anti-obesity peptide.
Coassolo L, B Danneskiold-Samsøe N, Nguyen Q, Wiggenhorn A, Zhao M, Wang DC, Toomer D, Lone J, Wei Y, Patel A, Liparulo I, et al.
Nature (2025) 6418061: 192-201. 226 308 IHC, Clarity; tested species: mouse
Glutamatergic neurons of basolateral amygdala mediate increased exploratory behaviors produced by mildly chronic restraint stress in adolescent mice.
Wang B, Liu H, Shang Y, Xiong Y, Yang J, Zhan Z, Zhang Z, Wang K, Sun T
Progress in neurobiology (2025) 244: 102705. 226 308 IHC; tested species: mouse
GluN2A-NMDA receptor inhibition disinhibits the prefrontal cortex, reduces forced swim immobility, and impairs sensorimotor gating.
Dong YP, Wu Y, Zhao YL, Chen YM, Liu TY, Zhang YH, Xie JY, Zhang JF, Zhang H, Chen H, Peng Y, et al.
Acta pharmacologica Sinica (2025) : . 226 308 IHC; tested species: mouse
Characterization of a novel transgenic mouse model to investigate brain-wide activation of astrocyte Gq signaling.
Crooks AM, Onuska KM, Ngo G, Schmidt SD, Hogan-Cann AE, Eed A, Menon RS, Saksida LM, Bussey TJ, Schmitz TW, Prado VF, et al.
Lab animal (2025) 548: 207-217. 226 308 IHC; tested species: mouse
Hypothalamic Oxytocin Neuronal Activation Induces Bipolar-Like Mood Changes in Mice in a Sex- and Dosage-Dependent Manner.
Tan H, Jin S, Lv W, Guo L, Jiang P, Li Y, Shi M, Wang D, Wang Y, Bao A
Neuroscience bulletin (2025) : . 226 308 IHC; tested species: mouse
Activity of arcuate kisspeptin/neurokinin B neurons and the melanocortin system during pubertal development in female sheep†.
Aerts EG, Griesgraber MJ, Thomson AL, Brown MB, Bowdridge EC, Hardy SL, Seman AD, Goodman RL, Nestor CC, Hileman SM
Biology of reproduction (2025) 1132: 358-372. 226 308 IHC; tested species: sheep
Stress disrupts engram ensembles in lateral amygdala to generalize threat memory in mice.
Lesuis SL, Park S, Hoorn A, Rashid AJ, Mocle AJ, Salter EW, Vislavski S, Gray MT, Torelli AM, DeCristofaro A, Driever WPF, et al.
Cell (2025) 1881: 121-140.e20. 226 308 IHC; tested species: mouse
Inflammatory and anti-inflammatory cytokines bidirectionally modulate amygdala circuits regulating anxiety.
Lee B, Kwon JT, Jeong Y, Caris H, Oh D, Feng M, Davila Mejia I, Zhang X, Ishikawa T, Watson BR, Moffitt JR, et al.
Cell (2025) 1888: 2190-2202.e15. 226 308 IHC; tested species: mouse
Intermittent environmental enrichment induces behavioral despair, while intermittent social isolation impairs spatial learning in rats.
Akkaya A, Aykan D, Gencturk S, Unal G
Pharmacology, biochemistry, and behavior (2025) 250: 174001. 226 308 IHC; tested species: rat
Chronic unpredictable stress during adolescence exerts sex-specific effects on depressive-like behavior and neural activation triggered by tail suspension test.
Hu W, Jiang L, Wang Q, Hu Q, Zhong T, Wu J, Chen X, Liu T
Behavioural brain research (2025) 477: 115314. 226 308 IHC; tested species: mouse
Microglial SIRT2 deficiency aggravates cognitive decline and amyloid pathology in Alzheimer's disease.
Sola-Sevilla N, Garmendia-Berges M, Aleixo M, Mera-Delgado M, Solas M, Tordera RM, García-Carracedo L, Expósito S, Anaya-Cubero E, Fernández-Irigoyen J, Guruceaga E, et al.
Brain, behavior, and immunity (2025) 129: 223-243. 226 308 IHC; tested species: mouse
Modelling of What-Where-When Everyday Memories in Rats.
Kanakis K, Morris RGM, Gobbo F
The European journal of neuroscience (2025) 627: e70278. 226 308 IHC; tested species: rat
Acute systemic inflammation induces region-specific morphological remodeling of astrocytes and microglia concurrent with depression-like behavior.
Zhang AQ, Zhang MM, Li LJ, Yuan MX, Liu RY, Chen P, Wang CW, Wang Y, Zhou JN, Shan QH, Qin XY, et al.
Histochemistry and cell biology (2025) 1631: 112. 226 308 IHC; tested species: mouse
Sparse memory ensembles set brain-wide network states to sustain learned associations.
Haubrich J, Russo G, Manahan-Vaughan D
iScience (2025) 2810: 113574. 226 308 IHC; tested species: mouse
Central amygdalar PKCδ neurons mediate fentanyl withdrawal.
Wooldridge LM, Wu JWK, Jo AY, Zinn M, Lee AM, Mahmood M, Cohen SA, McCall NM, Oswell CS, Rogers SA, Corder G, et al.
Neuropsychopharmacology : official publication of the American College of Neuropsychopharmacology (2025) : . 226 308 IHC; tested species: mouse
Corticotropin-releasing hormone signaling from piriform cortex to amygdala mediates social homophily in opioid addiction.
Huo Y, Wang X, Lin X, Yu J, Li B, Liu Z, Guo S, Wang Y, Tang R, Li B, Zhang S, et al.
Neuron (2025) 11321: 3632-3646.e7. 226 308 IHC; tested species: mouse
Astrocytic Connexin43 Channels Are Essential for Breathing Pattern Stabilization in the preBötzinger Complex.
Zhao X, Shi L, Chen Y, Yu H, Wang X, Jing X, Deng T, Zhao K, Zhang X, Liu Y, Yuan F, et al.
CNS neuroscience & therapeutics (2025) 3111: e70668. 226 308 IHC; tested species: mouse
LAMP2A-mediated neuronal hyperexcitability by enhancing NKAβ1 degradation underlies depression-induced allodynia.
Zhang Y, Wu H, Zhang Q, Cong P, Li Z, Wu Q, Huang X, Li X, Feng B, Liu Q, Xiong L, et al.
Cell reports (2025) 444: 115489. 226 308 IHC; tested species: mouse
Activation of glutamatergic neurons in the organum vasculosum of the lamina terminalis induces thirst-driven sniffing.
He W, Shi L, Yue Z, Zhao K, Wang X, Wang K, Jing X, Bi S, Deng T, Zhao X, Tian X, et al.
Cell reports (2025) 442: 115254. 226 308 IHC; tested species: mouse
Distinct neural representations of hunger and thirst in neonatal mice before the emergence of food- and water-seeking behaviors.
Wang DC, Wu Y, Mehaffy C, Espinoza-Campomanes LA, Santos-Valencia F, Franks KM, Luo L
Current biology : CB (2025) 3513: 3106-3118.e4. 226 308 IHC; tested species: mouse
ABBA+BraiAn, an integrated suite for whole-brain mapping, reveals brain-wide differences in immediate-early genes induction upon learning.
Chiaruttini N, Castoldi C, Requie LM, Camarena-Delgado C, Dal Bianco B, Gräff J, Seitz A, Silva BA
Cell reports (2025) 447: 115876. 226 308 IHC; tested species: mouse
Serotonin receptor 4 in the ventral CA3 regulates agomelatine-induced anxiolytic-like behaviors.
Liu XH, Naveed M, Hu XY, Zhu LL, Meng F, Zhou QG, Zhang J
Acta pharmacologica Sinica (2025) : . 226 308 IHC; tested species: mouse
Reversal of auditory cortical hyperexcitability and restoration of synaptic plasticity balance by GluN1-mediated photobiomodulation in noise-induced tinnitus.
Zhang Z, Xue X, He D, Liu P, Zhang C, Jiang Y, Lv S, Wang L, Zhou H, Shen W, Yang S, et al.
Brain research bulletin (2025) 234: 111685. 226 308 IHC; tested species: mouse
Single-cell resolution spatial transcriptomic signature of the retrosplenial cortex during memory consolidation.
Bliese SR, Basu B, Beyer SE, Elsadany M, Michaelson JJ, Chatterjee S
Molecular psychiatry (2025) : . 226 308 IHC; tested species: mouse
Cell-type- and locus-specific epigenetic editing of memory expression.
Coda DM, Watt L, Glauser L, Batiuk MY, Burns AM, Stahl CL, Wong LY, Gräff J
Nature genetics (2025) 5711: 2661-2668. 226 308 IHC; tested species: mouse
Spinal Dorsal Horn Neurons Receiving Descending Input from the Primary Somatosensory Cortex Contribute to Aβ Fiber-Induced Neuropathic Allodynia in Male Rats.
Shinotsuka S, I E, Sueto D, Fujimori K, Yamaura K, Tsuda M
Cells (2025) 1423: . 226 308 IHC; tested species: rat
Electroacupuncture ameliorates visceral hypersensitivity and negative emotions by regulating paraventricular hypothalamic nucleus and colonic corticotropin-releasing factor signaling.
Xu JG, Yuan Y, Ma HK, Huang S, Zhu SL, Li TT, Wang XY, Shen GM, Wang H
World journal of psychiatry (2025) 158: 107342. 226 308 IHC; tested species: mouse
Cortical Control of Itch Sensation by Vasoactive Intestinal Polypeptide-Expressing Interneurons in the Anterior Cingulate Cortex.
Zhang Y, Li J, Wu Y, Si J, Zhu Y, Nian M, Chen C, Ma N, Zhang X, Zhang Y, Lin Y, et al.
Neuroscience bulletin (2025) : . 226 308 IHC; tested species: mouse
The Small Molecule Compound Eupalinolide B Alleviates Neuropathic Pain by Regulating the USP7/Keap1/Nrf2 Pathway.
Yang X, Jiang F, Li J, Wu Y, Xiang H
Journal of neuroimmune pharmacology : the official journal of the Society on NeuroImmune Pharmacology (2025) 201: 106. 226 308 IHC; tested species: mouse
Acute stress suppresses hunger-driven food seeking through PVN activation: Reversal by anxiolytic drug and ghrelin receptor agonist, with anxiolytic-like effects of refeeding.
Tojo R, Tashiro M, Takahashi H, Tamura H
Neuroscience research (2025) 222: 104989. 226 308 IHC; tested species: mouse
Mid-infrared photons relieve tinnitus-like behavior of mice by regulating HCN2 ion channels in the medial geniculate body.
Xue X, Liu P, Zhang C, Zhang Z, Zhou H, Ding Z, Wang L, Jiang Y, Lu S, Shen W, Li X, et al.
Annals of medicine (2025) 571: 2584694. 226 308 IHC; tested species: mouse
A cholinergic spinal pathway for the adaptive control of breathing.
Lin M, Calabrese GB, Incognito AV, Moore MT, Agarwal A, Wilson RJA, Zagoraiou L, Sharples SA, Miles GB, Philippidou P
Cell reports (2025) 448: 116078. 226 308 IHC; tested species: mouse
AgRP neuron activity enhances reward-related consummatory behaviors during energy deficit in mice.
Cassano DA, Barrile F, Reynaldo M, Fernandez G, Cornejo MP, Tolosa MJ, Heredia MF, Ferreira N, Fideles HJ, De Francesco PN, Schiöth HB, et al.
Communications biology (2025) 81: 1152. 226 308 IHC; tested species: mouse
Activity of CaMKII-expressing neurons in medial prefrontal cortex of male and female Long-Evans rats is necessary for encoding odor information and novelty recognition in an odor-based incidental memory test.
Barnard IL, McElroy DL, Young KM, Terstege DJ, Glass AE, Epp JR, Botterill JJ, Howland JG
Cerebral cortex (New York, N.Y. : 1991) (2025) 358: . 226 308 IHC; tested species: rat
Posttraining noradrenergic stimulation maintains hippocampal engram reactivation and episodic-like specificity of remote memory.
Gulmez Karaca K, Bahtiyar S, van Dongen L, Wolf OT, Hermans EJ, Henckens MJAG, Roozendaal B
Neuropsychopharmacology : official publication of the American College of Neuropsychopharmacology (2025) : . 226 308 IHC; tested species: mouse
Heat acclimation defense against exertional heat stroke by improving the function of preoptic TRPV1 neurons.
Li J, Zhou Z, Wu Y, Zhao J, Duan H, Peng Y, Wang X, Fan Z, Yin L, Li M, Liu F, et al.
Theranostics (2025) 154: 1376-1398. 226 308 IHC; tested species: mouse
Chronic stress induces depression through MDGA1-Neuroligin2 mediated suppression of inhibitory synapses in the lateral habenula.
Wang X, Wei H, Hu Z, Jiang J, Dong X, Zhu J, Chen H, Brose N, Lipstein N, Xu T, Connor SA, et al.
Theranostics (2025) 155: 1842-1863. 226 308 IHC; tested species: mouse
Differential Neuronal Activation of Nociceptive Pathways in Neuropathic Pain After Spinal Cord Injury.
He Z, Zhang J, Xu J, Wang Y, Zheng X, Wang W
Cellular and molecular neurobiology (2025) 451: 18. 226 308 IHC; tested species: rat
Protocol to visualize three distinct neuronal ensembles encoding different events in the mouse brain using genetic and viral approaches.
Lesuis SL, Rashid AJ, Hoorn A, Park S, Mocle AJ, Torelli AM, DeCristofaro A, Frankland PW, Hill MN, Josselyn SA
STAR protocols (2025) 62: 103747. 226 308 IHC; tested species: mouse
A neural circuit for sex-dependent conditioned pain hypersensitivity in mice.
Zhang M, Ni Z, Ma J, Liu A, Liu Y, Lou Q, Dong WY, Zhang Z, Li J, Cao P
Nature communications (2025) 161: 3639. 226 308 IHC; tested species: mouse
The basolateral amygdala-anterior cingulate cortex circuit contributes to postherpetic neuralgia-anxiety comorbidity.
Jiang X, Yan Y, Chen Z, Xiong J, Zhang X, Gu L, Zhang Y, Zhu M, Zhang D, Jiang J
Theranostics (2025) 1510: 4614-4637. 226 308 IHC; tested species: mouse
BNSTGABA neurons regulate autophagy to alleviate depression with gastric dysfunction symptoms.
Yuan Y, Xu J, Zhu S, Ma H, Wang H, Wang X, Shen G
Brain research bulletin (2025) 226: 111360. 226 308 IHC; tested species: mouse
Merkel cell stimulation in fear and sensory signaling.
Korgan AC, Orso R, Sibley IJ, Prendergast KE, Jovanovic T, Bale TL
Neuropsychopharmacology : official publication of the American College of Neuropsychopharmacology (2025) : . 226 308 IHC; tested species: mouse
Dopaminergic neurons in the ventral periaqueductal gray projecting to the dorsal lateral septum regulate comorbid pain and anxiety.
Wang S, Guo Y, Wei B, Lu R, Tan Z, Wei C
Brain research bulletin (2025) 228: 111409. 226 308 IHC; tested species: mouse
Descending projection neurons in the primary sensorimotor cortex regulate neuropathic pain and locomotion in mice.
Wang GH, Hou XY, Liu HZ, Zhou ZR, Lv SS, Yi LX, Li H, Zhang YQ
Nature communications (2025) 161: 5918. 226 308 IHC; tested species: mouse
Leptin signaling in POMC neurons regulates plasma leptin levels and is critical to mediate hypothalamic-pituitary-adrenal axis activation during fasting.
Ferreira NL, Fideles HJ, Marcal AB, Brianezi AP, Nani JVS, Mecawi AS, Rorato R
Scientific reports (2025) 151: 25574. 226 308 IHC; tested species: mouse
A nociceptive amygdala-striatal pathway modulating affective-motivational pain.
Wojick JA, Paranjapye A, Chiu JK, Oswell CS, Mahmood M, Wooldridge LM, Kimmey BA, Sandoval Ortega RA, McCall NM, Han S, Wu JWK, et al.
Science advances (2025) 1130: eado2837. 226 308 IHC; tested species: mouse
Activation of the tail of the ventral tegmental area in response to pup predicting cues in maternal rats.
Pérez-Gozalbo C, Gutiérrez-Arroyo JL, Barneo-Muñoz M, Martínez-García F, Sánchez-Catalán MJ
Brain structure & function (2025) 2307: 121. 226 308 IHC; tested species: rat
The lateral habenula integrates age and experience to promote social transitions in developing rats.
Cobb-Lewis D, George A, Hu S, Packard K, Song M, Nguyen-Lopez O, Tesone E, Rowden J, Wang J, Opendak M
bioRxiv : the preprint server for biology (2024) : . 226 308 IHC; tested species: rat
Genetic identification of medullary neurons underlying congenital hypoventilation.
Cui K, Xia Y, Patnaik A, Salivara A, Lowenstein ED, Isik EG, Knorz AL, Airaghi L, Crotti M, Garratt AN, Meng F, et al.
Science advances (2024) 1025: eadj0720. 226 308 IHC; tested species: mouse
Activation of pyramidal neurons in the infralimbic cortex alleviates LPS-induced depressive-like behavior in mice.
Zhang PF, You WY, Gao YJ, Wu XB
Brain research bulletin (2024) 214: 111008. 226 308 IHC; tested species: mouse
Vagotomy blunts cardiorespiratory responses to vagal afferent stimulation via pre- and postsynaptic effects in the nucleus tractus solitarii.
Hofmann GC, Gama de Barcellos Filho P, Khodadadi F, Ostrowski D, Kline DD, Hasser EM
The Journal of physiology (2024) 6026: 1147-1174. 226 308 IHC; tested species: rat
Obesity alters POMC and kisspeptin neuron crosstalk leading to reduced luteinizing hormone in male mice.
Villa PA, Ruggiero-Ruff RE, Jamieson BB, Campbell RE, Coss D
The Journal of neuroscience : the official journal of the Society for Neuroscience (2024) : . 226 308 IHC; tested species: mouse
Spatial transcriptomics reveal neuron-astrocyte synergy in long-term memory.
Sun W, Liu Z, Jiang X, Chen MB, Dong H, Liu J, Südhof TC, Quake SR
Nature (2024) : . 226 308 IHC; tested species: mouse
A nociceptive amygdala-striatal pathway for chronic pain aversion.
Wojick JA, Paranjapye A, Chiu JK, Mahmood M, Oswell C, Kimmey BA, Wooldridge LM, McCall NM, Han A, Ejoh LL, Chehimi SN, et al.
bioRxiv : the preprint server for biology (2024) : . 226 308 IHC; tested species: mouse
Microbiota-derived acetate attenuates neuroinflammation in rostral ventrolateral medulla of spontaneously hypertensive rats.
Yin X, Duan C, Zhang L, Zhu Y, Qiu Y, Shi K, Wang S, Zhang X, Zhang H, Hao Y, Yuan F, et al.
Journal of neuroinflammation (2024) 211: 101. 226 308 IHC; tested species: rat
Development of activity-based anorexia requires PKC-δ neurons in two central extended amygdala nuclei.
Schnapp WI, Kim J, Wang Y, Timilsena S, Fang C, Cai H
Cell reports (2024) 433: 113933. 226 308 IHC; tested species: mouse
The crucial role of locus coeruleus noradrenergic neurons in the interaction between acute sleep disturbance and headache.
Li B, Cao Y, Yuan H, Yu Z, Miao S, Yang C, Gong Z, Xie W, Li C, Bai W, Tang W, et al.
The journal of headache and pain (2024) 251: 31. 226 308 IHC; tested species: mouse
Hypothalamic representation of the imminence of predator threat detected by the vomeronasal organ in mice.
Nguyen QAT, Rocha A, Chhor R, Yamashita Y, Stadler C, Pontrello C, Yang H, Haga-Yamanaka S
eLife (2024) 12: . 226 308 IHC; tested species: mouse
A discrete subpopulation of PFC-LHb neurons govern cocaine place preference.
Abdel-Hay N, Kabirova M, Yaka R
Translational psychiatry (2024) 141: 269. 226 308 IHC; tested species: mouse
Anterior Cingulate Cortex Contributes to the Hyperlocomotion under Nitrogen Narcosis.
Peng B, Wu XB, Zhang ZJ, Cao DL, Zhao LX, Wu H, Gao YJ
Neuroscience bulletin (2024) : . 226 308 IHC; tested species: mouse
Adaptation to photoperiod via dynamic neurotransmitter segregation.
Maddaloni G, Chang YJ, Senft RA, Dymecki SM
Nature (2024) 6328023: 147-156. 226 308 IHC; tested species: mouse
A neural circuit for lavender-essential-oil-induced antinociception.
Yang Y, Huang H, Zhu MY, Wei HR, Zhang M, Tang L, Gao W, Yang X, Zhang Z, Cao P, Tao W, et al.
Cell reports (2024) 4310: 114800. 226 308 IHC; tested species: mouse
Distinct eLPBChAT projections for methamphetamine withdrawal anxiety and primed reinstatement of conditioned place preference.
Chen W, Guo H, Zhou N, Mai Y, Hu T, Xu X, He T, Wen J, Qin S, Liu C, Wu W, et al.
Theranostics (2024) 147: 2881-2896. 226 308 IHC; tested species: mouse
Reduced excitatory activity in the developing mPFC mediates a PVH-to-PVL transition and impaired social cognition in autism spectrum disorders.
Luo Y, Wang L, Cao Y, Shen Y, Gu Y, Wang L
Translational psychiatry (2024) 141: 325. 226 308 IHC; tested species: mouse
Human TRPV1 is an efficient thermogenetic actuator for chronic neuromodulation.
Maltsev DI, Solotenkov MA, Mukhametshina LF, Sokolov RA, Solius GM, Jappy D, Tsopina AS, Fedotov IV, Lanin AA, Fedotov AB, Krut' VG, et al.
Cellular and molecular life sciences : CMLS (2024) 811: 437. 226 308 IHC; tested species: mouse
Histone lactylation mediated by Fam172a in POMC neurons regulates energy balance.
Chen Z, Wan B, Zhang H, Zhang L, Zhang R, Li L, Zhang Y, Hu C
Nature communications (2024) 151: 10111. 226 308 IHC; tested species: mouse
The lateral habenula integrates age and experience to promote social transitions in developing rats.
Cobb-Lewis D, George A, Hu S, Packard K, Song M, Nikitah I, Nguyen-Lopez O, Tesone E, Rowden J, Wang J, Opendak M, et al.
Cell reports (2024) 438: 114556. 226 308 IHC; tested species: rat
Disrupted basolateral amygdala circuits supports negative valence bias in depressive states.
Bigot M, De Badts CH, Benchetrit A, Vicq É, Moigneu C, Meyrel M, Wagner S, Hennrich AA, Houenou J, Lledo PM, Henry C, et al.
Translational psychiatry (2024) 141: 382. 226 308 IHC; tested species: mouse
Mid-Infrared Photons Alleviate Tinnitus by Activating the KCNQ2 Channel in the Auditory Cortex.
Liu P, Xue X, Zhang C, Zhou H, Ding Z, Wang L, Jiang Y, Zhang Z, Shen W, Yang S, Wang F, et al.
Research (Washington, D.C.) (2024) 7: 0479. 226 308 IHC; tested species: mouse
Chromatin plasticity predetermines neuronal eligibility for memory trace formation.
Santoni G, Astori S, Leleu M, Glauser L, Zamora SA, Schioppa M, Tarulli I, Sandi C, Gräff J
Science (New York, N.Y.) (2024) 3856707: eadg9982. 226 308 IHC; tested species: mouse
The cortical amygdala consolidates a socially transmitted long-term memory.
Liu Z, Sun W, Ng YH, Dong H, Quake SR, Südhof TC
Nature (2024) 6328024: 366-374. 226 308 IHC; tested species: mouse
A noradrenergic pathway for the induction of pain by sleep loss.
Lou Q, Wei HR, Chen D, Zhang Y, Dong WY, Qun S, Wang D, Luo Y, Zhang Z, Jin Y
Current biology : CB (2024) 3412: 2644-2656.e7. 226 308 IHC; tested species: mouse
Examining the engram encoding specificity hypothesis in mice.
Jung JH, Wang Y, Mocle AJ, Zhang T, Köhler S, Frankland PW, Josselyn SA
Neuron (2023) : . 226 308 IHC; tested species: mouse
Structure and Function of Neuronal Circuits Linking Ventrolateral Preoptic Nucleus and Lateral Hypothalamic Area.
Prokofeva K, Saito YC, Niwa Y, Mizuno S, Takahashi S, Hirano A, Sakurai T
The Journal of neuroscience : the official journal of the Society for Neuroscience (2023) 4322: 4075-4092. 226 308 IHC; tested species: mouse
Region-specific heterogeneity in neuronal nuclear morphology in young, aged and in Alzheimer's disease mouse brains.
Das S, Ramanan N
Frontiers in cell and developmental biology (2023) 11: 1032504. 226 308 IHC; tested species: mouse
Oligofructose improves small intestinal lipid-sensing mechanisms via alterations to the small intestinal microbiota.
Weninger SN, Herman C, Meyer RK, Beauchemin ET, Kangath A, Lane AI, Martinez TM, Hasneen T, Jaramillo SA, Lindsey J, Vedantam G, et al.
Microbiome (2023) 111: 169. 226 308 IHC; tested species: rat
Chemogenetic activation of CRF neurons as a model of chronic stress produces sex-specific physiological and behavioral effects.
Montgomery KR, Bridi MS, Folts LM, Marx-Rattner R, Zierden HC, Wulff AB, Kodjo EA, Thompson SM, Bale TL
Neuropsychopharmacology : official publication of the American College of Neuropsychopharmacology (2023) : . 226 308 IHC; tested species: mouse
Increased body weight in mice with fragile X messenger ribonucleoprotein 1 (Fmr1) gene mutation is associated with hypothalamic dysfunction.
Ruggiero-Ruff RE, Villa PA, Hijleh SA, Avalos B, DiPatrizio NV, Haga-Yamanaka S, Coss D
Scientific reports (2023) 131: 12666. 226 308 IHC; tested species: mouse
Bed nucleus of the stria terminalis GABA neurons are necessary for changes in foraging behaviour following an innate threat.
Ly A, Barker A, Hotchkiss H, Prévost ED, McGovern DJ, Kilpatrick Z, Root DH
The European journal of neuroscience (2023) 587: 3630-3649. 226 308 IHC; tested species: mouse
Social memory deficit caused by dysregulation of the cerebellar vermis.
Chao OY, Pathak SS, Zhang H, Augustine GJ, Christie JM, Kikuchi C, Taniguchi H, Yang YM
Nature communications (2023) 141: 6007. 226 308 IHC; tested species: mouse
Examining memory linking and generalization using scFLARE2, a temporally precise neuronal activity tagging system.
Jung JH, Wang Y, Rashid AJ, Zhang T, Frankland PW, Josselyn SA
Cell reports (2023) 4212: 113592. 226 308 IHC; tested species: mouse
Analgesic effect of gastrin-releasing peptide in the dorsal horn.
Saeki A, Yamanaka H, Kobayashi K, Okubo M, Noguchi K
Molecular pain (2022) 18: 17448069221108965. 226 308 IHC; tested species: rat
Endocannabinoid signaling regulates post-operative delirium through glutamatergic mediodorsal thalamus-prelimbic prefrontal cortical projection.
Liu Y, Jia S, Wang J, Wang D, Zhang X, Liu H, Zhou F, Zhang Z, Li Q, Dong H, Zhong H, et al.
Frontiers in aging neuroscience (2022) 14: 1036428. 226 308 IHC; tested species: mouse
Lateral Hypothalamus Calcium/Calmodulin-Dependent Protein Kinase II α Neurons Encode Novelty-Seeking Signals to Promote Predatory Eating.
Tan N, Shi J, Xu L, Zheng Y, Wang X, Lai N, Fang Z, Chen J, Wang Y, Chen Z
Research (Washington, D.C.) (2022) 2022: 9802382. 226 308 IHC; tested species: mouse
Control of non-REM sleep by ventrolateral medulla glutamatergic neurons projecting to the preoptic area.
Teng S, Zhen F, Wang L, Schalchli JC, Simko J, Chen X, Jin H, Makinson CD, Peng Y
Nature communications (2022) 131: 4748. 226 308 IHC; tested species: mouse
Prohormone cleavage prediction uncovers a non-incretin anti-obesity peptide.
Coassolo L, B Danneskiold-Samsøe N, Nguyen Q, Wiggenhorn A, Zhao M, Wang DC, Toomer D, Lone J, Wei Y, Patel A, Liparulo I, et al.
Nature (2025) 6418061: 192-201. 226 308 IHC, Clarity; tested species: mouse
Background

The Fos gene family consists of 4 members: c-Fos, FosB, FosL1, and FosL2, also called Fos related antigen 1 and 2 (FRA1 and 2). These leucine zipper proteins can dimerize with proteins of the Jun family leading to the formation of the transcription factor complex AP1 (1).
The expression of Fos proteins is rapidly and transiently induced by different extracellular stimuli such as growth factors, cytokines, neurotransmitters, polypeptide hormones and stress (2).
In addition Fos proteins can be phosphorylated by ERK kinases modulating transcriptional activity, protein stability and localization (3). c-Fos is the homologue to the Finkel-Biskis-Jinkins (FBJ) murine osteosarcoma virus oncogene (4).

 

For more information on protein expression pattern, please refer to the overview image in our SYSY Antibodies ATLAS.

Certificates

ISO 9001 2015 Quality Management System and Green Lab Platinum certification level for sustaining laboratory processes.

Newsletter

Sign up for our newsletter and get the latest updates and news.
 

Please provide a valid E-Mail-Address
Please provide a valid First name
Please provide a valid Last name