Tailor-made Antibodies
and Tools for Life Science
Home | | | | | Technical Support

c-Fos antibody - 226 009

c-Fos is a member of the transcription factor complex AP1
Chicken monoclonal recombinant IgY
Cat. No.: 226 009
Amount: 50 µg
Price: $420.00
Cat. No. 226 009 50 µg purified recombinant IgY, lyophilized. Albumin and azide were added for stabilization. For reconstitution add 50 µl H2O to get a 1mg/ml solution in PBS. Then aliquot and store at -20°C to -80°C until use.
Antibodies should be stored at +4°C when still lyophilized. Do not freeze!
Applications
 
WB: 1 : 1000 up to 1 : 2000 (AP staining) gallery  
ICC: 1 : 500 gallery  
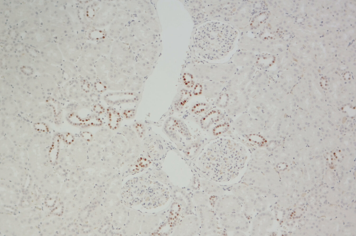
IHC: 1 : 1000 up to 1 : 5000 (see remarks) gallery  
IHC-P: 1 : 500 up to 1 : 1000 gallery  

Western blot (WB); separation of proteins by PAGE and subsequent transfer to a membrane. Detection of target molecules is carried out with antibodies. Some antibodies require special sample preparation steps. For details, please refer to the “Remarks” section.

Immunocytochemistry (ICC) on 4% PFA fixed cells. Immunoreactivity is usually revealed by fluorescence. Some antibodies require special fixation methods. For details, please refer to the “Remarks” section.

Immunohistochemistry (IHC) on 4% PFA perfusion fixed tissue with 24h PFA post fixation. Immunoreactivity is usually revealed by fluorescence or a chromogenic substrate. Some antibodies require special fixation methods or antigen retrieval steps. For details, please refer to the ”Remarks” section.

Immunohistochemistry (IHC-P) of formalin fixed, paraffin embedded (FFPE) tissue (some antibodies require special antigen retrieval steps, please refer to the ”Remarks” section). Immunoreactivity is usually revealed by fluorescence or a chromogenic substrate.

Clone Ch108B5
Subtype IgY (λ light chain)
Immunogen Synthetic peptide corresponding to residues near the amino terminus of rat c-Fos (UniProt Id: P12841)
Reactivity Reacts with: mouse (P01101), rat (P12841), human (P01100).
Other species not tested yet.
Matching control protein/peptide 226-0P
Remarks

This antibody is a chimeric antibody based on the monoclonal rat antibody clone 108B5. The constant regions of the heavy and light chains have been replaced by chicken specific sequences. Therefore, the antibody can be used with standard anti-chicken secondary reagents. The antibody has been expressed in mammalian cells.
IHC: For best results, tissue sections should be stored at -20°C in cryoprotectant solution. Prolonged storage at 4°C leads to a substantial loss of signal.

Data sheet Datasheet 226_009

References for c-Fos - 226 009

Scalable and multiplexed recorders of gene regulation dynamics across weeks.
Zheng L, Shi D, Yan Y, Zhou B, Lim J, Hou Y, An B, Adhinarta JK, Lin M, Ko B, Joesten WC, et al.
Nature (2026) : . 226 009 ICC, IHC; tested species: mouse
Scalable and multiplexed recorders of gene regulation dynamics across weeks.
Zheng L, Shi D, Yan Y, Zhou B, Lim J, Hou Y, An B, Adhinarta JK, Lin M, Ko B, Joesten WC, et al.
Nature (2026) : . 226 009 ICC, IHC; tested species: mouse
Oxytocin ameliorates early life stress-induced anxiety-like behavior by normalizing corticotropin-releasing hormone neuron activity in the PVN.
Li C, Xu Y, Lin B, Huang X, Huang Z, Zheng F, Zhu L, Zhu Y, Yang C
iScience (2026) 294: 115349. 226 009 IHC; tested species: mouse
Rapid modulation of gut microbiota composition by hypothalamic circuits in mice.
Toledo M, Martínez-Martínez S, Van Hul M, Laudo B, Eyre E, Pelicaen R, Puel A, Altirriba J, Gómez-Valadés AG, Inderhees J, Moreno-Indias I, et al.
Nature metabolism (2025) : . 226 009 IHC; tested species: mouse
Gliomas phenocopy an inborn error of metabolism to drive neuronal activity and tumor growth.
Abdullah KG, Miki K, Edgar CK, Wu SA, Xiao Y, Savani MR, Ghoche MT, Kotermanski SE, Huang YT, Traylor JI, Guo L, et al.
bioRxiv : the preprint server for biology (2025) : . 226 009 IHC-P; tested species: mouse
Cat. No.: 226 009
Amount: 50 µg
Price: $420.00
Scalable and multiplexed recorders of gene regulation dynamics across weeks.
Zheng L, Shi D, Yan Y, Zhou B, Lim J, Hou Y, An B, Adhinarta JK, Lin M, Ko B, Joesten WC, et al.
Nature (2026) : . 226 009 ICC, IHC; tested species: mouse
Scalable and multiplexed recorders of gene regulation dynamics across weeks.
Zheng L, Shi D, Yan Y, Zhou B, Lim J, Hou Y, An B, Adhinarta JK, Lin M, Ko B, Joesten WC, et al.
Nature (2026) : . 226 009 ICC, IHC; tested species: mouse
Oxytocin ameliorates early life stress-induced anxiety-like behavior by normalizing corticotropin-releasing hormone neuron activity in the PVN.
Li C, Xu Y, Lin B, Huang X, Huang Z, Zheng F, Zhu L, Zhu Y, Yang C
iScience (2026) 294: 115349. 226 009 IHC; tested species: mouse
Rapid modulation of gut microbiota composition by hypothalamic circuits in mice.
Toledo M, Martínez-Martínez S, Van Hul M, Laudo B, Eyre E, Pelicaen R, Puel A, Altirriba J, Gómez-Valadés AG, Inderhees J, Moreno-Indias I, et al.
Nature metabolism (2025) : . 226 009 IHC; tested species: mouse
Gliomas phenocopy an inborn error of metabolism to drive neuronal activity and tumor growth.
Abdullah KG, Miki K, Edgar CK, Wu SA, Xiao Y, Savani MR, Ghoche MT, Kotermanski SE, Huang YT, Traylor JI, Guo L, et al.
bioRxiv : the preprint server for biology (2025) : . 226 009 IHC-P; tested species: mouse
Background

The Fos gene family consists of 4 members: c-Fos, FosB, FosL1, and FosL2, also called Fos related antigen 1 and 2 (FRA1 and 2). These leucine zipper proteins can dimerize with proteins of the Jun family leading to the formation of the transcription factor complex AP1 (1).
The expression of Fos proteins is rapidly and transiently induced by different extracellular stimuli such as growth factors, cytokines, neurotransmitters, polypeptide hormones and stress (2).
In addition Fos proteins can be phosphorylated by ERK kinases modulating transcriptional activity, protein stability and localization (3). c-Fos is the homologue to the Finkel-Biskis-Jinkins (FBJ) murine osteosarcoma virus oncogene (4).

 

For more information on protein expression pattern, please refer to the overview image in our SYSY Antibodies ATLAS.

Certificates

ISO 9001 2015 Quality Management System and Green Lab Platinum certification level for sustaining laboratory processes.

Newsletter

Sign up for our newsletter and get the latest updates and news.
 

Please provide a valid E-Mail-Address
Please provide a valid First name
Please provide a valid Last name