Tailor-made Antibodies
and Tools for Life Science
Home | | | | | Technical Support

Abeta-pE11 antibody - 218 811

Abeta peptides are major components of neuritic plaques in Alzheimer's disease
Mouse monoclonal purified IgG
Cat. No.: 218 811
Amount: 100 µg
Price: $420.00
Cat. No. 218 811 100 µg purified IgG, lyophilized. Azide was added before lyophilization. For reconstitution add 100 µl H2O to get a 1mg/ml solution in PBS. Then aliquot and store at -20°C to -80°C until use.
Antibodies should be stored at +4°C when still lyophilized. Do not freeze!
Applications
 
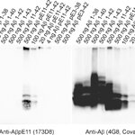
WB: 1 : 1000 (AP staining) (see remarks) gallery  
IP: not tested yet
ICC: not tested yet
IHC: 1 : 200 (see remarks) gallery  
IHC-P: 1 : 500 (see remarks) gallery  

Western blot (WB); separation of proteins by PAGE and subsequent transfer to a membrane. Detection of target molecules is carried out with antibodies. Some antibodies require special sample preparation steps. For details, please refer to the “Remarks” section.

Immunoprecipitation (IP); Immunoisolation or pulldown of a target molecule using an antibody. For details and product specific hints, please refer to the ”Remarks” section.

Immunocytochemistry (ICC) on 4% PFA fixed cells. Immunoreactivity is usually revealed by fluorescence. Some antibodies require special fixation methods. For details, please refer to the “Remarks” section.

Immunohistochemistry (IHC) on 4% PFA perfusion fixed tissue with 24h PFA post fixation. Immunoreactivity is usually revealed by fluorescence or a chromogenic substrate. Some antibodies require special fixation methods or antigen retrieval steps. For details, please refer to the ”Remarks” section.

Immunohistochemistry (IHC-P) of formalin fixed, paraffin embedded (FFPE) tissue (some antibodies require special antigen retrieval steps, please refer to the ”Remarks” section). Immunoreactivity is usually revealed by fluorescence or a chromogenic substrate.

Clone 173D8
Subtype IgG2b (κ light chain)
Immunogen Synthetic peptide corresponding to AA 11 to 16 from human Abeta-pE11 (UniProt Id: P05067)
Reactivity Reacts with: human (P05067), rat (P08592), mouse (P12023).
Other species not tested yet.
Specificity Specific for Abeta-pE11.
Remarks

WB: Due to the small size of this protein/peptide, we recommend a 16% Schaegger gel system.
Detects purified Abeta-pE11. complex samples like brain extracts not tested yet. Boil membrane after blotting in PBS for 3min.
IHC: Antigen retrieval with formic acid is required.
IHC-P: Antigen retrieval with citrate buffer pH 6, followed by formic acid treatment, is required for chromogenic detection.
For chromogenic detection, an optimized AGR time of 20 minutes is recommended for best results.

Data sheet Datasheet 218_811

References for Abeta-pE11 - 218 811

The presubiculum is preserved from neurodegenerative changes in Alzheimer's disease.
Murray CE, Gami-Patel P, Gkanatsiou E, Brinkmalm G, Portelius E, Wirths O, Heywood W, Blennow K, Ghiso J, Holton JL, Mills K, et al.
Acta neuropathologica communications (2018) 61: 62. 218 811 IHC-P; tested species: human
Cat. No.: 218 811
Amount: 100 µg
Price: $420.00
The presubiculum is preserved from neurodegenerative changes in Alzheimer's disease.
Murray CE, Gami-Patel P, Gkanatsiou E, Brinkmalm G, Portelius E, Wirths O, Heywood W, Blennow K, Ghiso J, Holton JL, Mills K, et al.
Acta neuropathologica communications (2018) 61: 62. 218 811 IHC-P; tested species: human
Background

Amyloid deposits, also called plaques, of Alzheimer's patients consist of several protein components like the amyloid beta-peptides (Abeta, ) 1-40/42 and additional C- and N-terminally truncated and modified fragments. Very abundant are the isoaspartate (isoAsp)-Abeta and pyroglutamyl (pGlu)-Abeta peptides. The latter are formed by cyclization of the N-terminal glutamate at position 3 or 11 catalyzed by glutaminyl cyclase (QC) resulting in very amyloidogenic and neurotxic variants of Abeta; Abeta pE3 and Abeta-pE11.
In contrast to extracellular plaques that do not perfectly correlate with Alzheimer´s disease intraneuronal Abeta accumulation and vascular Abeta deposits have gained more and more evidence to be among the crucial factors responsible for progressive neuron loss.

Certificates

ISO 9001 2015 Quality Management System and Green Lab Platinum certification level for sustaining laboratory processes.

Newsletter

Sign up for our newsletter and get the latest updates and news.
 

Please provide a valid E-Mail-Address
Please provide a valid First name
Please provide a valid Last name