Tailor-made Antibodies
and Tools for Life Science
Home | | | | | Technical Support

Abeta-pE3 antibody - 218 311

Abeta peptides are major components of neuritic plaques in Alzheimer's disease
Mouse monoclonal purified IgG
Cat. No.: 218 311
Amount: 100 µg
Price: $420.00
Cat. No. 218 311 100 µg purified IgG, lyophilized. Albumin and azide were added for stabilization. For reconstitution add 100 µl H2O to get a 1mg/ml solution in PBS. Then aliquot and store at -20°C to -80°C until use.
Antibodies should be stored at +4°C when still lyophilized. Do not freeze!
Applications
 
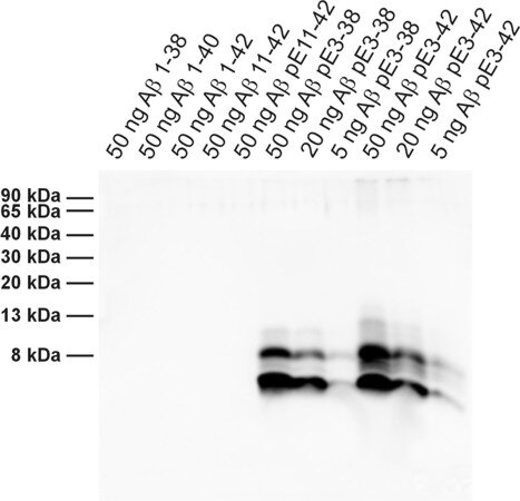
WB: 1 : 1000 (ECL detection) (see remarks) gallery  
IP: external data (see remarks)
ICC: not tested yet
IHC: not tested yet
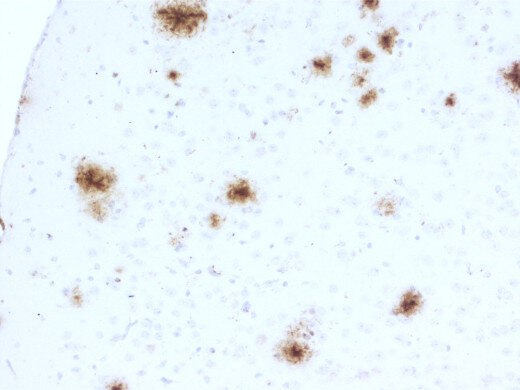
IHC-P: 1 : 1000 up to 1 : 5000 (see remarks) gallery  

Western blot (WB); separation of proteins by PAGE and subsequent transfer to a membrane. Detection of target molecules is carried out with antibodies. Some antibodies require special sample preparation steps. For details, please refer to the “Remarks” section.

Immunoprecipitation (IP); Immunoisolation or pulldown of a target molecule using an antibody. For details and product specific hints, please refer to the ”Remarks” section.

Immunocytochemistry (ICC) on 4% PFA fixed cells. Immunoreactivity is usually revealed by fluorescence. Some antibodies require special fixation methods. For details, please refer to the “Remarks” section.

Immunohistochemistry (IHC) on 4% PFA perfusion fixed tissue with 24h PFA post fixation. Immunoreactivity is usually revealed by fluorescence or a chromogenic substrate. Some antibodies require special fixation methods or antigen retrieval steps. For details, please refer to the ”Remarks” section.

Immunohistochemistry (IHC-P) of formalin fixed, paraffin embedded (FFPE) tissue (some antibodies require special antigen retrieval steps, please refer to the ”Remarks” section). Immunoreactivity is usually revealed by fluorescence or a chromogenic substrate.

Clone 1-57
Subtype IgG2b (κ light chain)
Immunogen Synthetic peptide corresponding to the amino terminal part of human Abeta-pE3 (UniProt Id: P05067)
Epitop AA 3 to 5 from human Abeta-pE3 (UniProt Id: P05067)
Reactivity Reacts with: human (P05067), rat (P08592), mouse (P12023).
Other species not tested yet.
Specificity Specific for Abeta-pE3.
Remarks

WB: Due to the small size of this protein/peptide, we recommend a 16% Schaegger gel system.
Detects purified Abeta pE3. Complex samples like brain extracts still have to be tested. Boil membrane in PBS after blotting for 3min.
IP: This antibody has not yet been successfully tested for this application using our standard protocol, but has been published by customers (see IP references).
IHC-P: Antigen retrieval with citrate buffer pH 6, followed by formic acid treatment, is required for chromogenic detection.
For chromogenic detection, an optimized AGR time of 20 minutes is recommended for best results.

Data sheet Datasheet 218_311

References for Abeta-pE3 - 218 311

N-truncated Abeta starting with position four: early intraneuronal accumulation and rescue of toxicity using NT4X-167, a novel monoclonal antibody.
Antonios G, Saiepour N, Bouter Y, Richard BC, Paetau A, Verkkoniemi-Ahola A, Lannfelt L, Ingelsson M, Kovacs GG, Pillot T, Wirths O, et al.
Acta neuropathologica communications (2013) 1: 56. 218 311 WB, IHC-P; tested species: human
Pyroglutamate amyloid β (Aβ) aggravates behavioral deficits in transgenic amyloid mouse model for Alzheimer disease.
Wittnam JL, Portelius E, Zetterberg H, Gustavsson MK, Schilling S, Koch B, Demuth HU, Blennow K, Wirths O, Bayer TA
The Journal of biological chemistry (2012) 28711: 8154-62. 218 311 IP
The presubiculum is preserved from neurodegenerative changes in Alzheimer's disease.
Murray CE, Gami-Patel P, Gkanatsiou E, Brinkmalm G, Portelius E, Wirths O, Heywood W, Blennow K, Ghiso J, Holton JL, Mills K, et al.
Acta neuropathologica communications (2018) 61: 62. 218 311 IHC-P; tested species: human
N-truncated Abeta starting with position four: early intraneuronal accumulation and rescue of toxicity using NT4X-167, a novel monoclonal antibody.
Antonios G, Saiepour N, Bouter Y, Richard BC, Paetau A, Verkkoniemi-Ahola A, Lannfelt L, Ingelsson M, Kovacs GG, Pillot T, Wirths O, et al.
Acta neuropathologica communications (2013) 1: 56. 218 311 WB, IHC-P; tested species: human
Cat. No.: 218 311
Amount: 100 µg
Price: $420.00
N-truncated Abeta starting with position four: early intraneuronal accumulation and rescue of toxicity using NT4X-167, a novel monoclonal antibody.
Antonios G, Saiepour N, Bouter Y, Richard BC, Paetau A, Verkkoniemi-Ahola A, Lannfelt L, Ingelsson M, Kovacs GG, Pillot T, Wirths O, et al.
Acta neuropathologica communications (2013) 1: 56. 218 311 WB, IHC-P; tested species: human
Pyroglutamate amyloid β (Aβ) aggravates behavioral deficits in transgenic amyloid mouse model for Alzheimer disease.
Wittnam JL, Portelius E, Zetterberg H, Gustavsson MK, Schilling S, Koch B, Demuth HU, Blennow K, Wirths O, Bayer TA
The Journal of biological chemistry (2012) 28711: 8154-62. 218 311 IP
The presubiculum is preserved from neurodegenerative changes in Alzheimer's disease.
Murray CE, Gami-Patel P, Gkanatsiou E, Brinkmalm G, Portelius E, Wirths O, Heywood W, Blennow K, Ghiso J, Holton JL, Mills K, et al.
Acta neuropathologica communications (2018) 61: 62. 218 311 IHC-P; tested species: human
N-truncated Abeta starting with position four: early intraneuronal accumulation and rescue of toxicity using NT4X-167, a novel monoclonal antibody.
Antonios G, Saiepour N, Bouter Y, Richard BC, Paetau A, Verkkoniemi-Ahola A, Lannfelt L, Ingelsson M, Kovacs GG, Pillot T, Wirths O, et al.
Acta neuropathologica communications (2013) 1: 56. 218 311 WB, IHC-P; tested species: human
Background

Amyloid deposits, also called plaques, of Alzheimer's patients consist of several protein components like the amyloid beta-peptides (Abeta, ) 1-40/42 and additional C- and N-terminally truncated and modified fragments. Very abundant are the isoaspartate (isoAsp)-Abeta and pyroglutamyl (pGlu)-Abeta peptides. The latter are formed by cyclization of the N-terminal glutamate at position 3 or 11 catalyzed by glutaminyl cyclase (QC) resulting in very amyloidogenic and neurotoxic variants of Abeta; Abeta-pE3 and Abeta pE11.
In contrast to extracellular plaques that do not perfectly correlate with Alzheimer´s disease intraneuronal Abeta accumulation and vascular Abeta deposits have gained more and more evidence to be among the crucial factors responsible for progressive neuron loss.

Certificates

ISO 9001 2015 Quality Management System and Green Lab Platinum certification level for sustaining laboratory processes.

Newsletter

Sign up for our newsletter and get the latest updates and news.
 

Please provide a valid E-Mail-Address
Please provide a valid First name
Please provide a valid Last name